EDIL3 Antibody
-
中文名稱:EDIL3兔多克隆抗體
-
貨號:CSB-PA931107
-
規格:¥1100
-
圖片:
-
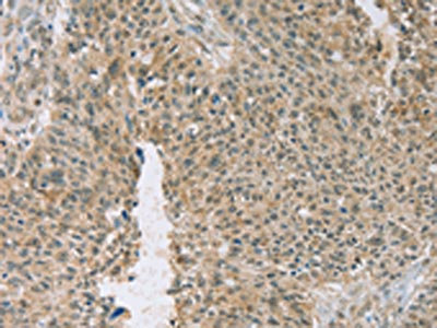
The image on the left is immunohistochemistry of paraffin-embedded Human cervical cancer tissue using CSB-PA931107(EDIL3 Antibody) at dilution 1/20, on the right is treated with fusion protein. (Original magnification: ×200)
-
The image on the left is immunohistochemistry of paraffin-embedded Human ovarian cancer tissue using CSB-PA931107(EDIL3 Antibody) at dilution 1/20, on the right is treated with fusion protein. (Original magnification: ×200)
-
Gel: 8%SDS-PAGE, Lysate: 40 μg, Lane: Human kidney cancer tissue, Primary antibody: CSB-PA931107(EDIL3 Antibody) at dilution 1/250, Secondary antibody: Goat anti rabbit IgG at 1/8000 dilution, Exposure time: 2 minutes
-
-
其他:
產品詳情
-
Uniprot No.:
-
基因名:
-
別名:DEL1 antibody; Developmental endothelial locus 1 antibody; Developmentally regulated endothelial cell locus 1 protein antibody; Developmentally-regulated endothelial cell locus 1 protein antibody; Edil3 antibody; EDIL3_HUMAN antibody; EGF like repeat and discoidin I like domain containing protein 3 antibody; EGF like repeats and discoidin I like domains 3 antibody; EGF like repeats and discoidin I like domains protein 3 antibody; EGF-like repeat and discoidin I-like domain-containing protein 3 antibody; Integrin binding protein DEL1 antibody; Integrin-binding protein DEL1 antibody
-
宿主:Rabbit
-
反應種屬:Human,Mouse
-
免疫原:Fusion protein of Human EDIL3
-
免疫原種屬:Homo sapiens (Human)
-
標記方式:Non-conjugated
-
抗體亞型:IgG
-
純化方式:Antigen affinity purification
-
濃度:It differs from different batches. Please contact us to confirm it.
-
保存緩沖液:-20°C, pH7.4 PBS, 0.05% NaN3, 40% Glycerol
-
產品提供形式:Liquid
-
應用范圍:ELISA,WB,IHC
-
推薦稀釋比:
Application Recommended Dilution ELISA 1:1000-1:2000 WB 1:200-1:1000 IHC 1:25-1:100 -
Protocols:
-
儲存條件:Upon receipt, store at -20°C or -80°C. Avoid repeated freeze.
-
貨期:Basically, we can dispatch the products out in 1-3 working days after receiving your orders. Delivery time maybe differs from different purchasing way or location, please kindly consult your local distributors for specific delivery time.
-
用途:For Research Use Only. Not for use in diagnostic or therapeutic procedures.
相關產品
靶點詳情
-
功能:Promotes adhesion of endothelial cells through interaction with the alpha-v/beta-3 integrin receptor. Inhibits formation of vascular-like structures. May be involved in regulation of vascular morphogenesis of remodeling in embryonic development.
-
基因功能參考文獻:
- EDIL3 may be implicated in retinal neovascularization in vitro. Silencing EDIL3 expression was demonstrated to impair the proliferative, migratory and tube forming capabilities of HRECs in vitro. PMID: 28765888
- these data reveal an unrecognised function of endogenous Del-1 as a local inhibitor of ischaemia-induced angiogenesis by restraining LFA-1-dependent homing of pro-angiogenic haematopoietic cells to ischaemic tissues PMID: 28447099
- Del-1-induced HSC proliferation and myeloid lineage commitment were mediated by beta3 integrin on hematopoietic progenitors. PMID: 28846069
- Del-1 pre-treatment of blood before addition of islets diminished coagulation activation and islet damage PMID: 26676803
- Del-1 on circulating EVs is a promising marker to improve identification of patients with early-stage breast cancer and distinguish breast cancer from benign breast tumors and noncancerous diseases. PMID: 26603257
- Overexpressed EDIL3 promotes anchorage-independent tumor growth in human pancreatic cancer. PMID: 26735172
- Overexpression of the Del-1 gene potentiates proliferation and invasion of lung carcinoma cells. PMID: 26545781
- The importance of interaction between EDIL3 and integrin alphaV. PMID: 25273699
- The reciprocal regulation between Del-1 and inflammation may contribute to optimally balance the protective and the potentially harmful effects of inflammatory cell recruitment. PMID: 24416060
- Downregulation of developmentally regulated endothelial cell locus-1 inhibits the growth of colon cancer. PMID: 19292890
- Del-1 may act as a gatekeeper of adrenal gland inflammation and may regulate the integrity of the hypothalamic-pituitary-adrenal axis stress response, thereby modulating adrenal (dys)function in the course of SIRS. PMID: 23364949
- database search for EGF domain sequences shows that this RGD finger is likely an evolutionary insertion and unique to the EGF domain of Del-1 PMID: 22601780
- Del-1 mediates phosphatidylserine- and integrin-dependent endothelial uptake of microparticles by endocytosis. PMID: 22388320
- High expression level of EDIL3 predicts poor prognosis of hepatocellular carcinoma patients. PMID: 20857535
- Del1 mediates vascular smooth muscle cell adhesion, migration, and proliferation through interaction with integrin alpha(v)beta(3). PMID: 11959660
- acts as an angiogenic factor in the context of solid tumor formation; the increase in vascularization accelerates tumor growth through decreased apoptosis PMID: 12074641
- Alpha v beta 5, alpha v beta 5 and their ligands Del-1 and L1 play an important role in the process of tumor cells moving from the original place. PMID: 18090124
顯示更多
收起更多
-
亞細胞定位:Secreted.
-
數據庫鏈接:
Most popular with customers
-
-
YWHAB Recombinant Monoclonal Antibody
Applications: ELISA, WB, IHC, IF, FC
Species Reactivity: Human, Mouse, Rat
-
Phospho-YAP1 (S127) Recombinant Monoclonal Antibody
Applications: ELISA, WB, IHC
Species Reactivity: Human
-
-
-
-
-















