-
中文名稱:DUOX2兔多克隆抗體
-
貨號:CSB-PA007229ESR1HU
-
規格:¥440
-
圖片:
-
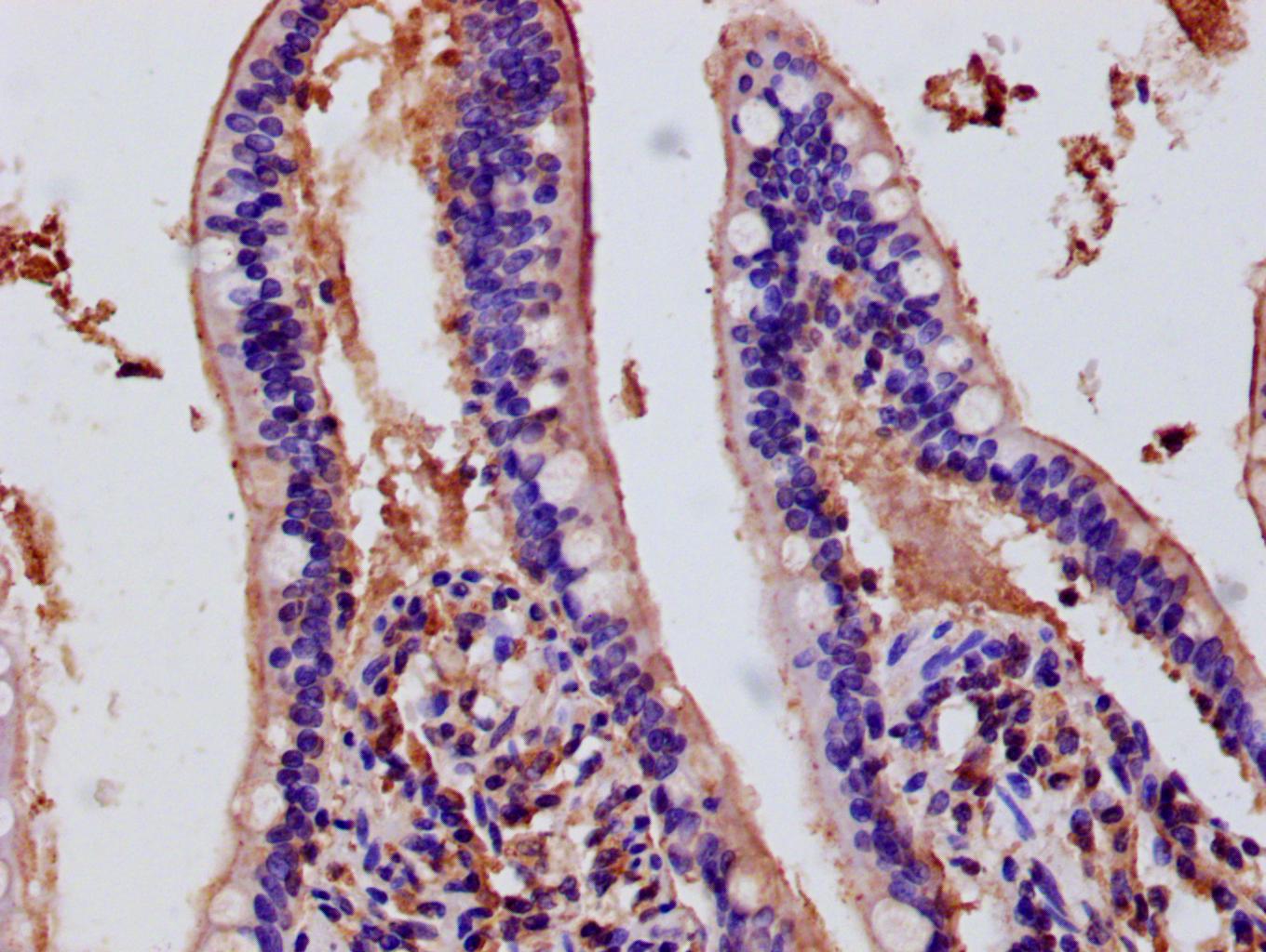
Immunohistochemistry of paraffin-embedded human small intestine tissue using CSB-PA007229ESR1HU at dilution of 1:50
-
Positive WB detected in: Hela whole cell lysate, A549 whole cell lysate, PC3 whole cell lysate, 293 whole cell lysate, Ntera-2 whole cell lysate
All lanes: DUOX2 antibody at 1:500
Secondary
Goat polyclonal to rabbit IgG at 1/50000 dilution
Predicted band size: 176 kDa
Observed band size: 176 kDa -
Immunofluorescence staining of Jurkat cells with CSB-PA007229ESR1HU at 1:50, counter-stained with DAPI. The cells were fixed in 4% formaldehyde and blocked in 10% normal Goat Serum. The cells were incubated with the antibody overnight at 4°C. Nuclear DNA was labeled in blue with DAPI. The secondary antibody was FITC-conjugated AffiniPure Goat Anti-Rabbit IgG (H+L).
-
-
其他:
產品詳情
-
產品描述:
The DUOX2 antibody is generated in the rabbit immunized with a peptide corresponding to the amino acids 1-100 of the recombinant human DUOX2 protein. This antibody occurs as an unconjugated IgG isotype. It only reacts with human DUOX2 protein, which is an enzyme primarily expressed in the thyroid gland and plays a critical role in the synthesis of thyroid hormones. DUOX2 also has a role in protecting the thyroid gland against oxidative stress by eliminating harmful reactive oxygen species (ROS).
This polyclonal antibody against DUOX2 is purified by the antigen affinity method. It has been passed through rigorous quality tests in ELISA, WB, IHC, and IF applications.
-
產品名稱:Rabbit anti-Homo sapiens (Human) DUOX2 Polyclonal antibody
-
Uniprot No.:
-
基因名:
-
別名:Dual oxidase 2 antibody; Dual oxidase like domains 2 antibody; Dual oxidase2 antibody; DUOX2 antibody; DUOX2_HUMAN antibody; Flavoprotein NADPH oxidase antibody; Large NOX 2 antibody; LNOX2 antibody; Long NOX 2 antibody; NADH/NADPH thyroid oxidase p138 tox antibody; NADH/NADPH thyroid oxidase p138-tox antibody; NADPH oxidase/peroxidase DUOX2 antibody; NADPH thyroid oxidase 2 antibody; Nicotinamide adenine dinucleotide phosphate oxidase antibody; NOXEF2 antibody; p138 thyroid oxidase antibody; P138 TOX antibody; TDH6 antibody; THOX2 antibody; Thyroid oxidase 2 antibody
-
宿主:Rabbit
-
反應種屬:Human
-
免疫原:Recombinant Human Dual oxidase 2 protein (1-100AA)
-
免疫原種屬:Homo sapiens (Human)
-
標記方式:Non-conjugated
-
克隆類型:Polyclonal
-
抗體亞型:IgG
-
純化方式:Antigen Affinity Purified
-
濃度:It differs from different batches. Please contact us to confirm it.
-
保存緩沖液:Preservative: 0.03% Proclin 300
Constituents: 50% Glycerol, 0.01M PBS, pH 7.4 -
產品提供形式:Liquid
-
應用范圍:ELISA, WB, IHC, IF
-
推薦稀釋比:
Application Recommended Dilution WB 1000-5000 IHC 1:20-1:200 IF 1:20-1:200 -
Protocols:
-
儲存條件:Upon receipt, store at -20°C or -80°C. Avoid repeated freeze.
-
貨期:Basically, we can dispatch the products out in 1-3 working days after receiving your orders. Delivery time maybe differs from different purchasing way or location, please kindly consult your local distributors for specific delivery time.
-
用途:For Research Use Only. Not for use in diagnostic or therapeutic procedures.
引用文獻
- Overstretch causes lipid accumulation in vascular smooth muscle cells dependent on NADPH oxidase 1 J Zhang, Q Li, S Ding, W Xu, J Su, J Cui,Mechanobiology in Medicine,2025
相關產品
靶點詳情
-
功能:Generates hydrogen peroxide which is required for the activity of thyroid peroxidase/TPO and lactoperoxidase/LPO. Plays a role in thyroid hormones synthesis and lactoperoxidase-mediated antimicrobial defense at the surface of mucosa. May have its own peroxidase activity through its N-terminal peroxidase-like domain.
-
基因功能參考文獻:
- Our study demonstrates the existence of a TET1/DUOX2/ROS/EMT axis that could play a role in colon cancer chemo-resistance and the aggressiveness of this cancer. PMID: 29715584
- Letter/Case Report: biallelic, inactivating DUOX2 mutations described here might license overgrowth of mucosa-associated bacteria, which triggers colitis. PMID: 28683258
- DUOX2 knockdown with short interfering RNA significantly decreased IFN-gamma-induced VEGF-A or HIF-1alpha up-regulation. PMID: 27637085
- High expression of DUOX2 is associated with dilated cardiomyopathy and impaired left ventricular function accompanied by increased risk of death. PMID: 29320567
- Human neutrophil elastase is involved in transactivation of TLR4 through activation of DUOX-2/EGFR and synergistically enhances IL-12p40 production by macrophages stimulated with LPS. PMID: 27282560
- Monoallelic TSHR mutations are significantly associated with positive newborn screen for congenital hypothyroidism, and the association is further strengthened by the coexistence of monoallelic DUOX2 mutations. PMID: 29092890
- In addition to thyroid hormonogenesis, the DUOX2 N-terminal domain may play a role in thyroid development. PMID: 28666341
- This study reports the pedigree with goitrous congenital hypothyroidism (GCH) due to the coexistence of heterozygous mutations in the DUOX2 and DUOXA2 genes. PMID: 28541007
- DUOX2 nonsense mutation plays a role in the pathogenesis of congenital hypothyroidism. PMID: 28633507
- Expression of DUOX2 mRNA and protein was lower in gastric mucosa of patients with H. pylori infection compared to the uninfected. Among the H. pylori-infected patients, those having CagA IgG or VacA in the serum had lower DUOX2 expression levels than those infected with H. pylori without either virulence factor. PMID: 27048452
- xome sequencing identified candidate variants, including a missense mutation in DUOX2 that impaired its function and a frameshift mutation in CSF2RB that was associated with Crohn's Disease in an independent cohort of Ashkenazi Jewish individuals. PMID: 27373512
- Data suggest that mutations in DUOX2 may be the most common cause of both permanent congenital hypothyroidism and transient hypothyroidism; severity of disease due to DUOX2 mutations may be milder than that due to other causes. This study involved neonatal screening of 48 Japanese boys and girls. PMID: 27166716
- DUOX2 Mutation is associated with Congenital Hypothyroidism. PMID: 27557340
- Nox4 and Duox1/Duox2 mediate redox activation of mesenchymal cell migration by PDGF. PMID: 27110716
- The high prevalence of DUOX2 mutations in this cohort of children with Congenial hypothyroidism appears striking and surprising. The clinical implications were discussed. PMID: 27498126
- study expanded the mutational spectrum of the DUOX2 and thyroglobulin genes and provided the best estimation of the DUOX2 mutation rate (29%) for congenital hypothyroidism/subclinical congenital hypothyroidism patients in Guangxi Zhuang Autonomous Region of China PMID: 27108200
- Seven different recurrent mutations [p.G488R (n=13), p.A649E (n=3), p.R885Q (n=3), p.I1080T (n=2), and p.A1206T (n=2) in DUOX2; p.Y138X (n=9) in DUOXA2) were identified as the mutations underlying congenital hypothyroidism. PMID: 26709262
- Transient congenital hypothyroidism is caused by compound heterozygous mutations affecting the NADPH-oxidase domain of DUOX2. PMID: 26565538
- the house dust mite-dependent TLR2-Duox2 signalling axis promotes NF-kappaB activation, which induces IL-8 and CCL20 production and mediates epidermal keratinocyte inflammation PMID: 26174504
- Results identified 2 mutations in DUOX2 gene from patient with congenital hypothyroidism and report new cryptic splicing sites in the intron 17 and exon 18. PMID: 26506010
- inactivating mutations in the DUOXA2 (p.Y246X) and DUOX2 (p.R885Q) genes were identified in a set of dizygotic twins with congenital hypothyroidism PMID: 27349010
- Prevalence of DUOX2 pathogenic variants is 29% among patients with congenital hypothyroidism in Guangxi, China. Monoallelic and biallelic DUOX2 variants are associated with transient, while triallelic variants are associated with permanent disease. PMID: 26349762
- The prognosis of Japanese patients with DUOX2 defects was usually transient Congenital hypothyroidism. Delayed improvement of thyroglobulin indicates that these patients have subclinical hypothyroidism. PMID: 26742565
- Data indicate dual oxidase 2 protein (DUOX2) mutation-carrying pedigree presenting pseudodominant inheritance of nonautoimmune hypothyroidism. PMID: 25263060
- The folding of DUOX2 appears to be a key event in the trafficking of the DUOX2/DUOXA2 complex as it promotes an appropriate conformation of the N-terminal region, which is propitious to subsequent covalent interactions with the maturation factor, DUOXA2. PMID: 25761904
- Mucosal dysbiosis leads to increased expression of DUOX2, which might be a marker of perturbed mucosal homeostasis in patients with early-stage inflammatory bowel disease. PMID: 26261005
- DUOX2 played an important role in innate immunity against Klebsiella pneumoniae cytoinvasion through the reactive oxygen species pathway in T24 cells. PMID: 26046128
- Taken together these data suggest that chemopotentiation by LDFRT in gastric cancer cells may be due, at least in part, to increased ROS production (DUOX2) without upregulation of the DNA repair machinery PMID: 26207686
- findings demonstrate that PKCalpha plays a critical role in HCC development by inducing DUOX2 expression and ROS generation, and propose a strategy to target PKCalpha/DUOX2 as a potential adjuvant therapy for HCC treatment PMID: 26056003
- DUOX2 variants are a relatively common cause of congenital hypothyroidism with normal-sized or enlarged eutopic thyroid PMID: 25248169
- Duox2 proteins possessing the A-loops of Nox1 or Nox5 co-expressed with DuoxA2 showed enhanced O2 () release, and Duox1 proteins possessing the A-loops of Nox1 or Nox5 co-expressed with DuoxA1 acquired O2 () leakage PMID: 25586178
- Heterozygous mutations in DUOX2 may affect protein function and cause congenital hypothyroidism. PMID: 25616291
- Genotypes and phenotypes of congenital goitre and hypothyroidism caused by mutations in dual oxidase 2 genes. PMID: 24735383
- An increase of DUOX2 expression was seen in association with an expansion of Proteobacteria in both ulcerative colitis and Crohn disease, while expression of APOA1 gene was downregulated and associated with Crohn disease-specific alterations in Firmicutes PMID: 25003194
- Further, ROS generated by Duox enzymes localized adjacent to nuclear speckles altered the splicing of viral genes PMID: 24128054
- Despite the high sequence similarity shared between DUOX1 and DUOX2, the two isoforms present distinct regulations, tissue expression and catalytic functions PMID: 24161126
- family showed potential linkage to DUOX2 locus and we detected a nonsense mutation (R434X) in both cases and the mutation segregated with disease status in the family PMID: 24127536
- The present data open new perspectives for a better understanding of the pathophysiology of thyroid autoimmune diseases considering DUOX2-mediated oxidative damages. PMID: 23010498
- DUOX2 is Significantly Upregulated in Active Ulcerative Colitis and during Progression to Dysplasia. PMID: 24492313
- The most robust clinical parameters for selecting patients for DUOX2 analysis have been identified, and several DUOX2 variants have been functionally characterized. PMID: 24423310
- Underscore the importance of DUOX1 and DUOX2 in vesicant-induced IL-6 secretion in human airway epithelial cells. PMID: 24164541
- upregulated in chronic rhinosinusitis as a part of inflammatory response PMID: 23281318
- A key function of DUOX2 in the establishment of a late antiviral state triggered by the synergistic autocrine/paracrine action of IFNbeta and TNFalpha secreted during respiratory virus infection. PMID: 23545780
- Duox2 was expressed at elevated levels in many human cancers, most notably tumors of the prostate, lung, colon and breast. PMID: 23404210
- p.G488R missense mutation in the DUOX2 gene of the congenital hypothyroidism patients is associated with thyroid dysfunction that presents during the neonatal period. PMID: 23457309
- Report shows that ROS levels in PC3 cells are constitutively maintained by DUOX 1 and 2 enzymes, and these ROS positively regulate AKT signalling through inactivating phosphatases, leading to increased resistance to apoptosis. PMID: 23225414
- Study indicates a complex profile of protein interactions required for activity and localization of the DUOX1 and DOOX2 enzymes. PMID: 23362256
- p.Arg376Trp mutation in DUOX2 was found in newborns of congenital hypothyroidism. PMID: 22336364
- The dramatic increase in reactive oxygen species induced in pancreatic cancer cells by the combination of lipopolysaccharide and interferon-gamma depends critically on the upregulation of, and signaling through, the Toll-like receptor (TLR)4 pathway. PMID: 23296709
- Two functionally important single-nucleotide polymorphisms within the promoter differentially regulate DUOX2/DUOXA2 transcription in response to exogenous double-stranded DNA. PMID: 22592922
顯示更多
收起更多
-
相關疾病:Thyroid dyshormonogenesis 6 (TDH6)
-
亞細胞定位:Apical cell membrane; Multi-pass membrane protein. Cell junction.
-
蛋白家族:Peroxidase family
-
組織特異性:Expressed in colon, small intestine, duodenum and tracheal surface epithelial cells (at protein level). Expressed in thyrocytes. Also detected in kidney, liver, lung, pancreas, prostate, salivary glands, rectum and testis.
-
數據庫鏈接:
Most popular with customers
-
YWHAB Recombinant Monoclonal Antibody
Applications: ELISA, WB, IHC, IF, FC
Species Reactivity: Human, Mouse, Rat
-
Phospho-YAP1 (S127) Recombinant Monoclonal Antibody
Applications: ELISA, WB, IHC
Species Reactivity: Human
-
-
-
-
-
-















