-
中文名稱:DLST兔多克隆抗體
-
貨號:CSB-PA861526LA01HU
-
規格:¥440
-
圖片:
-
Western Blot
Positive WB detected in: Rat liver tissue, Rat kidney tissue
All lanes: DLST antibody at 5.9μg/ml
Secondary
Goat polyclonal to rabbit IgG at 1/50000 dilution
Predicted band size: 49, 40 kDa
Observed band size: 49 kDa -
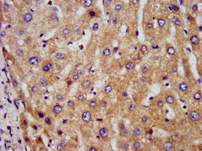
IHC image of CSB-PA861526LA01HU diluted at 1:300 and staining in paraffin-embedded human liver tissue performed on a Leica BondTM system. After dewaxing and hydration, antigen retrieval was mediated by high pressure in a citrate buffer (pH 6.0). Section was blocked with 10% normal goat serum 30min at RT. Then primary antibody (1% BSA) was incubated at 4°C overnight. The primary is detected by a biotinylated secondary antibody and visualized using an HRP conjugated SP system.
-
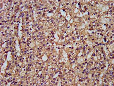
IHC image of CSB-PA861526LA01HU diluted at 1:300 and staining in paraffin-embedded human adrenal gland tissue performed on a Leica BondTM system. After dewaxing and hydration, antigen retrieval was mediated by high pressure in a citrate buffer (pH 6.0). Section was blocked with 10% normal goat serum 30min at RT. Then primary antibody (1% BSA) was incubated at 4°C overnight. The primary is detected by a biotinylated secondary antibody and visualized using an HRP conjugated SP system.
-
Immunofluorescence staining of HepG2 cells with CSB-PA861526LA01HU at 1:100, counter-stained with DAPI. The cells were fixed in 4% formaldehyde, permeabilized using 0.2% Triton X-100 and blocked in 10% normal Goat Serum. The cells were then incubated with the antibody overnight at 4°C. The secondary antibody was Alexa Fluor 488-congugated AffiniPure Goat Anti-Rabbit IgG(H+L).
-
-
其他:
產品詳情
-
產品名稱:Rabbit anti-Homo sapiens (Human) DLST Polyclonal antibody
-
Uniprot No.:
-
基因名:DLST
-
別名:2-oxoglutarate dehydrogenase complex component E2 antibody; Dihydrolipoamide S succinyltransferase (E2 component of 2 oxo glutarate complex) antibody; Dihydrolipoamide S succinyltransferase antibody; Dihydrolipoamide succinyltransferase component of 2 oxoglutarate dehydrogenase complex antibody; Dihydrolipoamide succinyltransferase component of 2-oxoglutarate dehydrogenase complex antibody; Dihydrolipoyllysine residue succinyltransferase component of 2 oxoglutarate dehydrogenase complex antibody; Dihydrolipoyllysine residue succinyltransferase component of 2 oxoglutarate dehydrogenase complex mitochondrial antibody; Dihydrolipoyllysine-residue succinyltransferase component of 2-oxoglutarate dehydrogenase complex antibody; Dlst antibody; DLTS antibody; E2 antibody; E2K antibody; mitochondrial antibody; ODO2_HUMAN antibody; OGDC-E2 antibody
-
宿主:Rabbit
-
反應種屬:Human, Rat
-
免疫原:Recombinant Human Dihydrolipoyllysine-residue succinyltransferase component of 2-oxoglutarate dehydrogenase complex, mitochondrial protein (76-225AA)
-
免疫原種屬:Homo sapiens (Human)
-
標記方式:Non-conjugated
本頁面中的產品,DLST Antibody (CSB-PA861526LA01HU),的標記方式是Non-conjugated。對于DLST Antibody,我們還提供其他標記。見下表:
-
克隆類型:Polyclonal
-
抗體亞型:IgG
-
純化方式:>95%, Protein G purified
-
濃度:It differs from different batches. Please contact us to confirm it.
-
保存緩沖液:Preservative: 0.03% Proclin 300
Constituents: 50% Glycerol, 0.01M PBS, pH 7.4 -
產品提供形式:Liquid
-
應用范圍:ELISA, WB, IHC, IF
-
推薦稀釋比:
Application Recommended Dilution WB 1:500-1:5000 IHC 1:200-1:500 IF 1:50-1:200 -
Protocols:
-
儲存條件:Upon receipt, store at -20°C or -80°C. Avoid repeated freeze.
-
貨期:Basically, we can dispatch the products out in 1-3 working days after receiving your orders. Delivery time maybe differs from different purchasing way or location, please kindly consult your local distributors for specific delivery time.
-
用途:For Research Use Only. Not for use in diagnostic or therapeutic procedures.
引用文獻
- Spinal cord ischemia reperfusion injury induces cuproptosis in neurons L Xie, H Wu, Q He, W Shi, X Xiao, T Yu,Cell & Bioscience,2025
相關產品
靶點詳情
-
功能:Dihydrolipoamide succinyltransferase (E2) component of the 2-oxoglutarate dehydrogenase complex. The 2-oxoglutarate dehydrogenase complex catalyzes the overall conversion of 2-oxoglutarate to succinyl-CoA and CO(2). The 2-oxoglutarate dehydrogenase complex is mainly active in the mitochondrion. A fraction of the 2-oxoglutarate dehydrogenase complex also localizes in the nucleus and is required for lysine succinylation of histones: associates with KAT2A on chromatin and provides succinyl-CoA to histone succinyltransferase KAT2A.
-
基因功能參考文獻:
- RNAi knockdown of DLST led to decreased cell viability and induction of apoptosis in human T-ALL cell lines PMID: 26876595
- 2-oxoglutarate dehydrogenase complex (OGDHC), the key regulatory enzyme of Krebs cycle. [review] PMID: 22235656
- Data show that the dihydrolipoamide succinyltransferase gene is bifunctional, and truncated mRNA transcribed from it contributes to the biogenesis of the mitochondrial respiratory complexes. PMID: 12805207
- Association between late-onset Alzheimer disease shows strong linkage disequilibrium across the DLST locus. PMID: 15038610
-
亞細胞定位:Mitochondrion matrix. Nucleus.
-
蛋白家族:2-oxoacid dehydrogenase family
-
數據庫鏈接:
Most popular with customers
-
-
YWHAB Recombinant Monoclonal Antibody
Applications: ELISA, WB, IHC, IF, FC
Species Reactivity: Human, Mouse, Rat
-
Phospho-YAP1 (S127) Recombinant Monoclonal Antibody
Applications: ELISA, WB, IHC
Species Reactivity: Human
-
-
-
-
-















