CST3 Antibody
-
中文名稱:CST3兔多克隆抗體
-
貨號:CSB-PA06197A0Rb
-
規格:¥440
-
圖片:
-
Western blot
All lanes: CST3 antibody at 2µg/ml
Lane 1: High values of serum at 1: 10
Lane 2: High values of serum at 1: 100
Secondary
Goat polyclonal to rabbit IgG at 1/10000 dilution
Predicted band size: 16 kDa
Observed band size: 16 kDa -
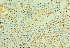
Immunohistochemistry of paraffin-embedded human breast cancer using CSB-PA06197A0Rb at dilution of 1:100
-
Immunohistochemistry of paraffin-embedded human ovarian cancer using CSB-PA06197A0Rb at dilution of 1:100
-
-
其他:
產品詳情
-
產品名稱:Rabbit anti-Homo sapiens (Human) CST3 Polyclonal antibody
-
Uniprot No.:
-
基因名:
-
別名:AD 8 antibody; AD8 antibody; Amyloid angiopathy and cerebral hemorrhage antibody; ARMD11 antibody; bA218C14.4 (cystatin C) antibody; bA218C14.4 antibody; Cst 3 antibody; Cst3 antibody; CST3 protein antibody; Cystatin 3 antibody; Cystatin-3 antibody; Cystatin-C antibody; Cystatin3 antibody; CystatinC antibody; CYTC_HUMAN antibody; Epididymis secretory protein Li 2 antibody; Gamma trace antibody; Gamma-trace antibody; HCCAA antibody; HEL S 2 antibody; MGC117328 antibody; Neuroendocrine basic polypeptide antibody; Post gamma globulin antibody; Post-gamma-globulin antibody
-
宿主:Rabbit
-
反應種屬:Human
-
免疫原:Recombinant Human Cystatin-C protein (27-146AA)
-
免疫原種屬:Homo sapiens (Human)
-
標記方式:Non-conjugated
本頁面中的產品,CST3 Antibody (CSB-PA06197A0Rb),的標記方式是Non-conjugated。對于CST3 Antibody,我們還提供其他標記。見下表:
-
克隆類型:Polyclonal
-
抗體亞型:IgG
-
純化方式:>95%, Protein G purified
-
濃度:It differs from different batches. Please contact us to confirm it.
-
保存緩沖液:Preservative: 0.03% Proclin 300
Constituents: 50% Glycerol, 0.01M PBS, PH 7.4 -
產品提供形式:Liquid
-
應用范圍:ELISA, WB, IHC
-
推薦稀釋比:
Application Recommended Dilution WB 1:1000-1:5000 IHC 1:20-1:200 -
Protocols:
-
儲存條件:Upon receipt, store at -20°C or -80°C. Avoid repeated freeze.
-
貨期:Basically, we can dispatch the products out in 1-3 working days after receiving your orders. Delivery time maybe differs from different purchasing way or location, please kindly consult your local distributors for specific delivery time.
-
用途:For Research Use Only. Not for use in diagnostic or therapeutic procedures.
相關產品
靶點詳情
-
功能:As an inhibitor of cysteine proteinases, this protein is thought to serve an important physiological role as a local regulator of this enzyme activity.
-
基因功能參考文獻:
- Urinary cystatin-C levels were increased in type 2 diabetic patients with early diabetic nephropathy. PMID: 29673928
- Age and cystatin C were found to be significant risk factors for cardiovascular events in a pre-diabetic cohort. PMID: 29661604
- Increased cystatin C levels may be associated with enhanced risks of composite endpoints in patients with ST-elevation acute myocardial infarction undergoing elective percutaneous coronary intervention PMID: 29891036
- Data suggest that kinetics of degradation/proteolysis versus of aggregation of amyloid beta(1-40) and amyloid beta(1-42) at specific concentrations of amyloid beta, cathepsin B, and cystatin C can be modeled and predicted. PMID: 29046353
- Serum CysC, at the time of CRRT (Continuous Renal Replacement Therapy cessation), is an independent predictor of the successful weaning from CRRT in critically ill patients with acute kidney injury. PMID: 29870981
- The serum levels of cystatin C and urine NGAL, urine OPN can be used as a good marker for assessing the renal effect of obesity which can lead end stage renal disease in pediatric population. PMID: 30035656
- The average of estimated glomerular filtration rate (eGFRave) based on creatinine (eGFRcre) and eGFR based on cystatin C (eGFRcys) best predicted the exacerbation of renal function in allogeneic hematopoietic cell transplantation (allo-HCT). PMID: 29086660
- Studied serum Cystatin C as a biomarker in bladder urothelial neoplasm; results found serum Cystatin C not to be a reliable marker in predicting bladder urothelial tumors tumorigenesis and clinicopathological characteristics. PMID: 29789781
- bladder cancer (BCa) patients have lower serum cysC concentration than the control group. Serum cysC may be considered as a potential marker of BCa but not its aggressiveness. PMID: 29749360
- Postoperative serum Cystatin C, IL-18 and Uric acid after 24h were significantly associated with acute kidney injury PMID: 29627485
- Serum CysC is a strong predictor of AKI and the short-term prognosis of CCU patients. PMID: 29179178
- Neutrophil gelatinase-associated lipocalin concentrations in the urine and serum on the second day of intensive care unit admission could be used to predict the development of acute kidney injury in the following three to seven days in the intensive care unit; however, the cystatin C concentration did not have predictive value PMID: 28142264
- Study demonstrated that the binding of CST3 and PSAP decreased the inhibitory effects of CST3 on proteinase in vitro. The co-localization of both proteins was detected in cultured cells and in Bunina body-containing motor neurons from patients with amyotrophic lateral sclerosis, suggesting that they might be involved in the process of Bunina body formation. PMID: 29249381
- elevated cystatin C is independently associated with adverse vascular outcomes in people with suspected or established CAD in terms of all-cause mortality, cardiovascular mortality, and total adverse vascular events [meta-analysis] PMID: 28599259
- Cognitive function was significantly and inversely associated with cystatin C and microalbuminuria, in the relatively younger general Japanese population. PMID: 28865325
- This paper discusses the current findings regarding the role of Cyst C in cancer progression and the clinical implications emerging from these studies--{review} PMID: 29654808
- We enrolled 43 stable coronary artery disease (CAD) male patients to examine the relationship between cystatin C-adiponectin (CysC-APN) complex and coronary plaque characteristics. In multivariate analysis, CysC-APN complex levels were identified as the strongest negative factor for fibrotic components and the strongest positive factor for both necrotic and lipidic plus necrotic components. PMID: 28321013
- Urinary cystatin C is an independent risk predictor in patients with acute myocardial infarction. PMID: 28778467
- serum Cys-C levels predict renal function in patients with prostate neoplasia, but were not a biomarker for the development of prostate neoplasia, and were not correlated with the clinicopathological characteristics of prostate cancer . PMID: 28812020
- There were no associations between serum cysC levels and renal involvement in patients with primary Sjogren's syndrome. PMID: 25367815
- cystatin-C should be considered an early biomarker of AKI PMID: 28552392
- CysC is as an early acute kidney injury biomarker and predictive of persistent acute kidney injury on aminoglycoside treatment. PMID: 27743042
- Cystatin C may be considered a biological marker for vascular dysfunction and subclinical atherosclerosis in SCD. PMID: 27582023
- Serum cystatin C level was significantly associated with subclinical atherosclerosis. An increase in cystatin C level could be a valuable surrogate marker for the risk of cardiovascular disease in patients with type 2 diabetes mellitus. PMID: 29090609
- Mild-to-moderate kidney dysfunction modifies the relationship between CysC and high-risk coronary lesion, but not NGAL. PMID: 27680774
- Increasing cystatin C and cathepsin B reported in serum of colorectal cancer patients. PMID: 28182342
- Both cystatin C and beta 2 macroglobulin are elevated in type 2 diabetics with diabetic nephropathy. Cystatin C may be useful in the early diagnosis of diabetic nephropathy PMID: 28182344
- Results from nuclear magnetic resonance structural data and molecular dynamics modeling point to conformational requirements and special importance of some amino acid residues in cystatin 3 C-terminal for the its interaction with amyloid beta fragments. PMID: 27714883
- The findings of the current studies may be important for future design of hCC dimerization inhibitors. PMID: 27573935
- High cystatin C was associated with increased risk of mortality but not with poor functional outcome in patients with acute intracerebral hemorrhage. PMID: 27578255
- this results identified cystatin 3 as a biomarker in patients with seasonal allergic rhinitis PMID: 28633877
- Serum and urine levels of cystatin C were significantly higher in children with acute kidney injury. [Review and Meta-Analysis] PMID: 28372557
- serum level in acute kidney injury patients helps predict risk of chronic kidney disease stage 3 PMID: 27658322
- Circulating CysC and Gal-3 were associated with greater left atrial dilatation in patients with heart failure with reduced left ventricular ejection fraction. PMID: 28830298
- Application of the cystatin C-based equations most accurately estimate glomerular filtration rate in Chinese patients with chronic kidney disease. PMID: 27125433
- This study tested the utility of neutrophil gelatinase-associated lipocalin (NGAL) and cystatin C (CysC) in addition to standard creatinine for early determination of Acute Kidney Injury (AKI) After Heart Operations Using Cardiopulmonary Bypass. The results support the notion that CysC and NGAL should be viewed as comparable for early AKI detection. PMID: 27862029
- The strong association between epicardial adipose tissue (EAT) and cystatin C demonstrated herein indicates that EAT accumulation may play an important role in Cystatin C secretion, possibly contributing to cardiometabolic risk in T2DM patients. PMID: 28922364
- A high CysC level had predictive value regarding the severity of vascular lesions in acute coronary syndrome. PMID: 28143410
- Elevated levels of cystatin C were detected in early diagnosis of right heart failure in patients with systemic sclerosis. PMID: 27414726
- biomarker of renal dysfunction, acute-on-chronic liver failure, and hepatorenal syndrome in decompensated liver cirrhosis PMID: 28545169
- Data suggest that melanoma cells internalize/absorb cystatin C from culture media, leading to increased intracellular cystatin C levels; cystatin E/M is internalized as well but at modest rate due to down-regulation of cell migration; however, the effect of intracellular cystatin E/M on down-regulation of legumain activity is pronounced. PMID: 28630039
- An elevated preoperative Cys-C level was demonstrated to be related with worse survival in patients with renal cell carcinoma(RCC). Measuring preoperative serum Cys-C might be a simple way for finding poor prognostic patients and patients with elevated preoperative Cys-C level should be more closely followed up PMID: 28586363
- Acute kidney injury is common following deliberate self-poisoning with a combination washing powder containing oxalic acid and potassium permanganate and cystatin C monitoring may under estimate the severity of poisoning. PMID: 28535124
- Cystatin C significantly decreased the lipopolysaccharide-stimulated release and expression of interleukin-1beta and tumor necrosis factor-alpha in monocyte and peripheral blood mononuclear cultures from healthy donors and Crohn's patients. Cystatin C was internalized by monocytes via an active endocytic process, decreased phosphorylation of the MAP kinase pathway ERK-1/2, and altered surface markers. PMID: 27190304
- Fibrillation of CysC therefore likely initiates from the monomer and does not require domain-swapping. The non-swapped oligomers likely represent a dead-end offshoot of the amyloid pathway and must dissociate to monomers prior to rearranging to amyloid fibrils. These prefibrillar CysC oligomers were potent inhibitors of aggregation of the Alzheimer's-related peptide, beta-amyloid. PMID: 28487367
- CysC plays an important regulatory role in combating cell death via the autophagic pathway in atherosclerosis. PMID: 27079462
- Data show that cystatin C deposition in minimally affected samples was limited to the basement membrane (BM) between the dermis and epidermis. PMID: 28067897
- Urinary cystatin C levels in the acute kidney injury (AKI) preterm infant group were not significantly higher than in no-AKI group on day of life 1, 3 and 7. PMID: 27020372
- Serum cystatin C level was found to be associated with the development and worsening of AKI [Acute kidney injury ] in ICU [intensive care unit ] patients with sepsis. PMID: 28332367
- Elevated cystatin C levels at admission were independently associated with impaired myocardial perfusion, poor cardiac functional recovery and development of congestive heart failure in patients with anterior STEMI undergoing PCI. PMID: 26498756
顯示更多
收起更多
-
相關疾病:Amyloidosis 6 (AMYL6); Macular degeneration, age-related, 11 (ARMD11)
-
亞細胞定位:Secreted.
-
蛋白家族:Cystatin family
-
組織特異性:Expressed in submandibular and sublingual saliva but not in parotid saliva (at protein level). Expressed in various body fluids, such as the cerebrospinal fluid and plasma. Expressed in highest levels in the epididymis, vas deferens, brain, thymus, and ov
-
數據庫鏈接:
Most popular with customers
-
-
YWHAB Recombinant Monoclonal Antibody
Applications: ELISA, WB, IHC, IF, FC
Species Reactivity: Human, Mouse, Rat
-
Phospho-YAP1 (S127) Recombinant Monoclonal Antibody
Applications: ELISA, WB, IHC
Species Reactivity: Human
-
-
-
-
-















