CREB3L2 Antibody
-
中文名稱:CREB3L2兔多克隆抗體
-
貨號:CSB-PA754617ESR2HU
-
規格:¥440
-
圖片:
-
Western blot
All lanes: CREB3L2 antibody at 6μg/ml
Lane 1: Mouse liver tissue
Lane 2: Mouse lung tissue
Secondary
Goat polyclonal to rabbit IgG at 1/10000 dilution
Predicted band size: 58, 51, 28 kDa
Observed band size: 58 kDa -
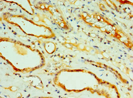
Immunohistochemistry of paraffin-embedded human kidney tissue using CSB-PA754617ESR2HU at dilution of 1:100
-
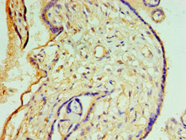
Immunohistochemistry of paraffin-embedded human placenta tissue using CSB-PA754617ESR2HU at dilution of 1:100
-
Immunofluorescent analysis of HepG2 cells using CSB-PA754617ESR2HU at dilution of 1:100 and Alexa Fluor 488-congugated AffiniPure Goat Anti-Rabbit IgG(H+L)
-
-
其他:
產品詳情
-
產品名稱:Rabbit anti-Homo sapiens (Human) CREB3L2 Polyclonal antibody
-
Uniprot No.:
-
基因名:
-
別名:B ZIB transcription factor antibody; Basic transcription factor 2 antibody; BBF2 human homolog on chromosome 7 antibody; BBF2H7 antibody; BZIB transcription factor antibody; cAMP responsive element binding protein 3 like 2 antibody; cAMP-responsive element-binding protein 3-like protein 2 antibody; CR3L2_HUMAN antibody; Creb3l2 antibody; Cyclic AMP-responsive element-binding protein 3-like protein 2 antibody; FUS/BBF2H7 protein antibody; MGC131709 antibody; MGC71006 antibody; Processed cyclic AMP-responsive element-binding protein 3-like protein 2 antibody; TCAG_1951439 antibody
-
宿主:Rabbit
-
反應種屬:Human, Mouse
-
免疫原:Recombinant Human Cyclic AMP-responsive element-binding protein 3-like protein 2 protein (1-247AA)
-
免疫原種屬:Homo sapiens (Human)
-
標記方式:Non-conjugated
-
克隆類型:Polyclonal
-
抗體亞型:IgG
-
純化方式:Antigen Affinity Purified
-
濃度:It differs from different batches. Please contact us to confirm it.
-
保存緩沖液:PBS with 0.02% sodium azide, 50% glycerol, pH7.3.
-
產品提供形式:Liquid
-
應用范圍:ELISA, WB, IHC, IF
-
推薦稀釋比:
Application Recommended Dilution WB 1:200-1:1000 IHC 1:20-1:200 IF 1:50-1:200 -
Protocols:
-
儲存條件:Upon receipt, store at -20°C or -80°C. Avoid repeated freeze.
-
貨期:Basically, we can dispatch the products out in 1-3 working days after receiving your orders. Delivery time maybe differs from different purchasing way or location, please kindly consult your local distributors for specific delivery time.
-
用途:For Research Use Only. Not for use in diagnostic or therapeutic procedures.
相關產品
靶點詳情
-
功能:Transcription factor involved in unfolded protein response (UPR). In the absence of endoplasmic reticulum (ER) stress, inserted into ER membranes, with N-terminal DNA-binding and transcription activation domains oriented toward the cytosolic face of the membrane. In response to ER stress, transported to the Golgi, where it is cleaved in a site-specific manner by resident proteases S1P/MBTPS1 and S2P/MBTPS2. The released N-terminal cytosolic domain is translocated to the nucleus to effect transcription of specific target genes. Plays a critical role in chondrogenesis by activating the transcription of SEC23A, which promotes the transport and secretion of cartilage matrix proteins, and possibly that of ER biogenesis-related genes. In a neuroblastoma cell line, protects cells from ER stress-induced death. In vitro activates transcription of target genes via direct binding to the CRE site.
-
基因功能參考文獻:
- UPR transducer BBF2H7 allows export of type II collagen in a cargo- and developmental stage-specific manner. PMID: 28500182
- These data suggest that the secreted luminal BBF2H7 C-terminus is involved in Hedgehog ligand-dependent cancer cell proliferation through activation of Hedgehog signaling. BBF2H7 C-terminus may be a novel target for the development of anticancer drugs. PMID: 25955804
- the BBF2H7-mediated Sec23A pathway is required for ER-to-Golgi procollagen trafficking to promote collagen synthesis PMID: 22495181
- FUS-CREB3L2/L1-positive sarcomas show a specific gene expression profile with upregulation of CD24 and FOXL1. PMID: 21536545
- We characterized a widely expressed transcript of CREB3L2 generated by an intronic polyadenylation site in intron 4 of the gene. PMID: 20878102
- The human Creb3L2 can activate SPCG transcription in a heterologous system(Drosophila embryos), which suggests a general and direct role for this family of bZip transcription factors in mediating high-level secretory capacity. PMID: 21041443
- Fusion of the FUS and CREB3L2 genes in a supernumerary ring chromosome is associated with low-grade fibromyxoid sarcoma. PMID: 20471519
- BBF2H7 was fused with FUS in a low grade myxoid liposarcoma. PMID: 12915480
- CREB3L2 is not only structurally, but also functionally very similar to CREB3L1. PMID: 17117415
- BBF2H7, a novel transmembrane bZIP transcription factor, is a new type of endoplasmic reticulumm stress transducer. PMID: 17178827
- Presence of FUS/CREB3L2 and FUS/CREB3L1 in low-grade fibromyxoid sarcoma and sclerosing epithelioid fibrosarcoma suggests these neoplasms may be related. PMID: 17721195
- findings identify a novel CREB3L2-PPARgamma gene fusion mutation in thyroid carcinoma and reveal a thyroid signaling pathway that is regulated by intramembrane proteolysis and disrupted in cancer PMID: 18757431
- We characterized the promoter region of CREB3L2, showing that it is asymmetrically bidirectional PMID: 19212619
顯示更多
收起更多
-
相關疾病:A chromosomal aberration involving CREB3L2 is found in low grade fibromyxoid sarcoma (LGFMS). Translocation t(7;16)(q33;p11) with FUS.
-
亞細胞定位:Endoplasmic reticulum membrane; Single-pass type II membrane protein.; [Processed cyclic AMP-responsive element-binding protein 3-like protein 2]: Nucleus.
-
蛋白家族:BZIP family, ATF subfamily
-
組織特異性:Widely expressed with highest levels in placenta, lung, spleen and intestine, and lowest levels in heart, brain, skeletal muscle, thymus, colon and leukocytes. In fetal tissues, the weakest expression is detected in brain and heart.
-
數據庫鏈接:
Most popular with customers
-
-
Phospho-YAP1 (S127) Recombinant Monoclonal Antibody
Applications: ELISA, WB, IHC
Species Reactivity: Human
-
-
-
-
-
-















