COLEC11 Antibody
-
中文名稱:COLEC11兔多克隆抗體
-
貨號:CSB-PA861154ESR2HU
-
規格:¥3900
-
圖片:
-
Western blot
All lanes: COLEC11 antibody at 4μg/ml + Rat liver tissue
Secondary
Goat polyclonal to rabbit IgG at 1/10000 dilution
Predicted band size: 29, 27, 22, 30, 25, 24, 31 kDa
Observed band size: 29 kDa -
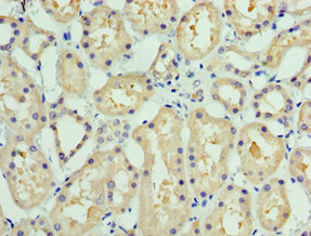
Immunohistochemistry of paraffin-embedded human kidney tissue using CSB-PA861154ESR2HU at dilution of 1:100
-
-
其他:
產品詳情
-
產品名稱:Rabbit anti-Homo sapiens (Human) COLEC11 Polyclonal antibody
-
Uniprot No.:
-
基因名:COLEC11
-
別名:CL K1 antibody; CL K1 I antibody; CL K1 II antibody; CL K1 IIa antibody; CL K1 IIb antibody; CL-K1 antibody; CLK1 antibody; COL11_HUMAN antibody; COLEC 11 antibody; COLEC11 antibody; Collectin 11 antibody; Collectin kidney I antibody; Collectin kidney protein 1 antibody; Collectin sub family member 11 antibody; Collectin-11 antibody; Collectin11 antibody; DKFZp686N1868 antibody; MGC129470 antibody; MGC129471 antibody; MGC3279 antibody
-
宿主:Rabbit
-
反應種屬:Human, Rat
-
免疫原:Recombinant Human Collectin-11 protein (26-271AA)
-
免疫原種屬:Homo sapiens (Human)
-
標記方式:Non-conjugated
-
克隆類型:Polyclonal
-
抗體亞型:IgG
-
純化方式:Antigen Affinity Purified
-
濃度:It differs from different batches. Please contact us to confirm it.
-
保存緩沖液:PBS with 0.02% sodium azide, 50% glycerol, pH7.3.
-
產品提供形式:Liquid
-
應用范圍:ELISA, WB, IHC
-
推薦稀釋比:
Application Recommended Dilution WB 1:500-1:2000 IHC 1:20-1:200 -
Protocols:
-
儲存條件:Upon receipt, store at -20°C or -80°C. Avoid repeated freeze.
-
貨期:Basically, we can dispatch the products out in 1-3 working days after receiving your orders. Delivery time maybe differs from different purchasing way or location, please kindly consult your local distributors for specific delivery time.
-
用途:For Research Use Only. Not for use in diagnostic or therapeutic procedures.
相關產品
靶點詳情
-
功能:Lectin that plays a role in innate immunity, apoptosis and embryogenesis. Calcium-dependent lectin that binds self and non-self glycoproteins presenting high mannose oligosaccharides with at least one terminal alpha-1,2-linked mannose epitope. Primarily recognizes the terminal disaccharide of the glycan. Also recognizes a subset of fucosylated glycans and lipopolysaccharides. Plays a role in innate immunity through its ability to bind non-self sugars presented by microorganisms and to activate the complement through the recruitment of MAPS1. Also plays a role in apoptosis through its ability to bind in a calcium-independent manner the DNA present at the surface of apoptotic cells and to activate the complement in response to this binding. Finally, plays a role in development, probably serving as a guidance cue during the migration of neural crest cells and other cell types during embryogenesis.
-
基因功能參考文獻:
- this study demonstrates the role of CL-11 and the molecular mechanisms involved in modulating retinal pigment epithelial cell phagocytosis and cytokine production PMID: 28772263
- High CLK1 expression is associated with cardiovascular disease. PMID: 27341702
- The exclusion of the MASP1 and COLEC11 Loci in two individuals from different consanguineous families and the absence of mutations in four further individuals sequenced for both genes raises the possibility that that there is further genetic heterogeneity of 3MC syndrome PMID: 26789649
- identify collectin CL-LK as a novel soluble C-type lectin able to bind M. tuberculosis, and characterize mycobacterial mannose-capped lipoarabinomannan as a primary ligand for CL-LK PMID: 26173080
- Data indicate differences in the plasma concentrations of collectin liver 1 and collectin kidney 1, M-ficolin and H-ficol in systemic lupus erythematosus (SLE) patients compared to a group of healthy controls. PMID: 26154564
- promoter polymorphism COLEC11-9570C>T (rs3820897) was associated with decreased levels of CL-K1. PMID: 25710878
- the sugar specificity of CL-K1 was established. PMID: 25912189
- These results suggest that specific diseases may affect CL-K1 synthesis in an organ dependent manner and that elevated plasma CL-K1 levels are associated with the presence of DIC. PMID: 24474086
- Most plasma CL-K1 was found in complex with CL-L1 in a ratio suggesting a heteromeric subunit of 1 CL-L1 & 2 CL-K1 polypeptides. It associated with MASPs 1, 2 & 3. On binding mannan or DNA in the presence of MASP-2, the complex deposited C4b. PMID: 24174618
- Data suggest that collectin 11 (CL-11), e.g. via complement, may play a role in response to particles and surfaces presenting extracellular DNA, such as apopototic cells. PMID: 23954398
- collectin-11 associates with all the known MBL-associated serine proteases (MASP-1, MASP-2 and MASP-3) as well as the lectin complement pathway regulator MAP-1. PMID: 23220946
- Data show that the concentration of collectin kidney 1 (CL-K1, COLEC11) in plasma was 0.34 +/- 0.13 microg/ml and that in mannan-binding lectin (MBL) was 1.72 +/- 1.51 microg/ml. PMID: 21893516
- these findings demonstrate a role for complement pathway factors in fundamental developmental processes and in the etiology of 3MC syndrome. PMID: 21258343
- CL-11 plays a role in activation of the complement system and in the defense against invading microorganisms PMID: 20956340
顯示更多
收起更多
-
相關疾?。?/div>3MC syndrome 2 (3MC2)亞細胞定位:Secreted.蛋白家族:COLEC10/COLEC11 family組織特異性:Ubiquitous. Detected in adrenal gland, kidney, liver, ovaries and testis (at protein level).數據庫鏈接:
Most popular with customers
-
-
YWHAB Recombinant Monoclonal Antibody
Applications: ELISA, WB, IHC, IF, FC
Species Reactivity: Human, Mouse, Rat
-
Phospho-YAP1 (S127) Recombinant Monoclonal Antibody
Applications: ELISA, WB, IHC
Species Reactivity: Human
-
-
-
-
-















