CHID1 Antibody
-
中文名稱:CHID1兔多克隆抗體
-
貨號:CSB-PA883614LA01HU
-
規格:¥440
-
圖片:
-
Western blot
All lanes: CHID1 antibody at 0.2μg/ml
Lane 1: Hela whole cell lysate
Lane 2: U251 whole cell lysate
Secondary
Goat polyclonal to rabbit IgG at 1/10000 dilution
Predicted band size: 45, 48, 42 kDa
Observed band size: 45 kDa -
Immunohistochemistry analysis of human breast cancer using CSB-PA883614LA01HU at dilution of 1:100
-
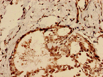
Immunohistochemistry analysis of human pancreatic tissue using CSB-PA883614LA01HU at dilution of 1:100
-
Western Blot
Positive WB detected in: U251 whole cell lysate, 293 whole cell lysate, THP-1 whole cell lysate, PC-3 whole cell lysate
All lanes: CHID1 antibody at 1:2000
Secondary
Goat polyclonal to rabbit IgG at 1/50000 dilution
Predicted band size: 45, 48, 42 kDa
Observed band size: 45 kDa
-
-
其他:
產品詳情
-
產品名稱:Rabbit anti-Homo sapiens (Human) CHID1 Polyclonal antibody
-
Uniprot No.:
-
基因名:CHID1
-
別名:CHID1 antibody; CHID1_HUMAN antibody; Chitinase domain containing 1 antibody; Chitinase domain-containing protein 1 antibody; FLJ42707 antibody; GL008 antibody; MGC3234 antibody; PSEC0104 antibody; SB139 antibody; SI-CLP antibody; SICLP antibody; Stabilin 1 interacting chitinase like protein antibody; Stabilin-1-interacting chitinase-like protein antibody
-
宿主:Rabbit
-
反應種屬:Human
-
免疫原:Recombinant Human Chitinase domain-containing protein 1 protein (20-393AA)
-
免疫原種屬:Homo sapiens (Human)
-
標記方式:Non-conjugated
本頁面中的產品,CHID1 Antibody (CSB-PA883614LA01HU),的標記方式是Non-conjugated。對于CHID1 Antibody,我們還提供其他標記。見下表:
-
克隆類型:Polyclonal
-
抗體亞型:IgG
-
純化方式:>95%, Protein G purified
-
濃度:It differs from different batches. Please contact us to confirm it.
-
保存緩沖液:Preservative: 0.03% Proclin 300
Constituents: 50% Glycerol, 0.01M PBS, PH 7.4 -
產品提供形式:Liquid
-
應用范圍:ELISA, WB, IHC
-
推薦稀釋比:
Application Recommended Dilution WB 1:500-1:5000 IHC 1:20-1:200 -
Protocols:
-
儲存條件:Upon receipt, store at -20°C or -80°C. Avoid repeated freeze.
-
貨期:Basically, we can dispatch the products out in 1-3 working days after receiving your orders. Delivery time maybe differs from different purchasing way or location, please kindly consult your local distributors for specific delivery time.
-
用途:For Research Use Only. Not for use in diagnostic or therapeutic procedures.
相關產品
靶點詳情
-
功能:Saccharide- and LPS-binding protein with possible roles in pathogen sensing and endotoxin neutralization. Ligand-binding specificity relates to the length of the oligosaccharides, with preference for chitotetraose (in vitro).
-
基因功能參考文獻:
- This review comprehensively analyzes recent data about expression pattern, and involvement of human YKL-40, YKL-39 and SI-CLP in cancer. [review] PMID: 26733160
- stabilin-1-interacting chitinase-like protein functions as a regulator of the inflammatory response in rheumatoid arthritis by macrophages. PMID: 24470346
- Structure of human stabilin-1 interacting chitinase-like protein (SI-CLP) reveals a saccharide-binding cleft with lower sugar-binding selectivity. PMID: 20724479
- The crystals of SI-CLP belong to the space group P3(2)21 with unit cell parameters a=b=99.79 A, c=250.53 A, alpha=beta=90 degrees, gamma=120 degrees. PMID: 19275751
-
亞細胞定位:Secreted. Lysosome.
-
蛋白家族:Glycosyl hydrolase 18 family
-
組織特異性:Expressed in cells of monocytic, T, B and epithelial origin.
-
數據庫鏈接:
Most popular with customers
-
-
YWHAB Recombinant Monoclonal Antibody
Applications: ELISA, WB, IHC, IF, FC
Species Reactivity: Human, Mouse, Rat
-
Phospho-YAP1 (S127) Recombinant Monoclonal Antibody
Applications: ELISA, WB, IHC
Species Reactivity: Human
-
-
-
-
-















