-
中文名稱:CFAP52兔多克隆抗體
-
貨號:CSB-PA839781LA01HU
-
規格:¥440
-
圖片:
-
Western blot
All lanes: CFAP52 antibody at 4µg/ml
Lane 1: HepG2 whole cell lysate
Lane 2: K562 whole cell lysate
Lane 3: U937 whole cell lysate
Lane 4: A549 whole cell lysate
Secondary
Goat polyclonal to rabbit IgG at 1/10000 dilution
Predicted band size: 69, 70, 61 kDa
Observed band size: 69 kDa -
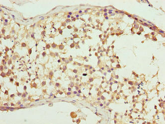
Immunohistochemistry of paraffin-embedded human testis tissue using CSB-PA839781LA01HU at dilution of 1:100
-
-
其他:
產品詳情
-
產品名稱:Rabbit anti-Homo sapiens (Human) CFAP52 Polyclonal antibody
-
Uniprot No.:
-
基因名:CFAP52
-
別名:CFAP52 antibody; WDR16 antibody; WDRPUHCilia- and flagella-associated protein 52 antibody; WD repeat-containing protein 16 antibody; WD40-repeat protein up-regulated in HCC antibody
-
宿主:Rabbit
-
反應種屬:Human
-
免疫原:Recombinant Human Cilia- and flagella-associated protein 52 protein (101-400AA)
-
免疫原種屬:Homo sapiens (Human)
-
標記方式:Non-conjugated
本頁面中的產品,CFAP52 Antibody (CSB-PA839781LA01HU),的標記方式是Non-conjugated。對于CFAP52 Antibody,我們還提供其他標記。見下表:
-
克隆類型:Polyclonal
-
抗體亞型:IgG
-
純化方式:>95%, Protein G purified
-
濃度:It differs from different batches. Please contact us to confirm it.
-
保存緩沖液:Preservative: 0.03% Proclin 300
Constituents: 50% Glycerol, 0.01M PBS, PH 7.4 -
產品提供形式:Liquid
-
應用范圍:ELISA, WB, IHC
-
推薦稀釋比:
Application Recommended Dilution WB 1:1000-1:5000 IHC 1:20-1:200 -
Protocols:
-
儲存條件:Upon receipt, store at -20°C or -80°C. Avoid repeated freeze.
-
貨期:Basically, we can dispatch the products out in 1-3 working days after receiving your orders. Delivery time maybe differs from different purchasing way or location, please kindly consult your local distributors for specific delivery time.
-
用途:For Research Use Only. Not for use in diagnostic or therapeutic procedures.
引用文獻
- Loss of RNA-binding protein HuR leads to defective ependymal cells and hydrocephalus X Han,Journal of neuroscience,2023
相關產品
靶點詳情
-
功能:May play a role in cell growth and/or survival.
-
基因功能參考文獻:
- WDRPUH is a novel WD-repeat-containing protein highly expressed in human hepatocellular carcinoma and involved in cell proliferation PMID: 15967112
-
亞細胞定位:Cytoplasm. Cell projection, cilium, flagellum.
-
蛋白家族:CFAP52 family
-
組織特異性:Highly expressed in testis. Up-regulated in hepatocellular carcinoma (HCC).
-
數據庫鏈接:
Most popular with customers
-
-
Phospho-YAP1 (S127) Recombinant Monoclonal Antibody
Applications: ELISA, WB, IHC
Species Reactivity: Human
-
-
-
-
-
-















