CDH12 Antibody
-
中文名稱:CDH12兔多克隆抗體
-
貨號:CSB-PA13109A0Rb
-
規格:¥440
-
圖片:
-
Western blot
All lanes: CDH12 antibody at 2µg/ml
Lane 1: EC109 whole cell lysate
Lane 2: 293T whole cell lysate
Secondary
Goat polyclonal to rabbit IgG at 1/10000 dilution
Predicted band size: 89, 85 kDa
Observed band size: 85 kDa -
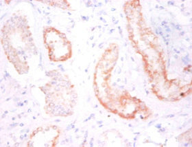
Immunohistochemistry of paraffin-embedded human kidney tissue using CSB-PA13109A0Rb at dilution of 1:50
-
Immunofluorescent analysis of PC-3 cells cells using CSB-PA13109A0Rb at dilution of 1:100 and Alexa Fluor 488-congugated AffiniPure Goat Anti-Rabbit IgG(H+L)
-
-
其他:
產品詳情
-
產品名稱:Rabbit anti-Homo sapiens (Human) CDH12 Polyclonal antibody
-
Uniprot No.:
-
基因名:CDH12
-
別名:Br cadherin antibody; BR-cadherin antibody; Brain cadherin antibody; CAD12_HUMAN antibody; cadherin 12 (N cadherin 2) antibody; Cadherin 12 antibody; Cadherin 12 precursor antibody; Cadherin 12 type 2 (N cadherin 2) antibody; Cadherin 12 type 2 antibody; Cadherin neural type 2 antibody; Cadherin-12 antibody; CDH12 antibody; CDHB antibody; FLJ34857 antibody; N cadherin 2 antibody; N-cadherin 2 antibody; Neural type cadherin 2 antibody; Neuronal cadherin 2 antibody
-
宿主:Rabbit
-
反應種屬:Human
-
免疫原:Recombinant Human Cadherin-12 protein (56-605AA)
-
免疫原種屬:Homo sapiens (Human)
-
標記方式:Non-conjugated
本頁面中的產品,CDH12 Antibody (CSB-PA13109A0Rb),的標記方式是Non-conjugated。對于CDH12 Antibody,我們還提供其他標記。見下表:
-
克隆類型:Polyclonal
-
抗體亞型:IgG
-
純化方式:>95%, Protein G purified
-
濃度:It differs from different batches. Please contact us to confirm it.
-
保存緩沖液:Preservative: 0.03% Proclin 300
Constituents: 50% Glycerol, 0.01M PBS, PH 7.4 -
產品提供形式:Liquid
-
應用范圍:ELISA, WB, IHC, IF
-
推薦稀釋比:
Application Recommended Dilution WB 1:500-1:2000 IHC 1:20-1:200 IF 1:50-1:200 -
Protocols:
-
儲存條件:Upon receipt, store at -20°C or -80°C. Avoid repeated freeze.
-
貨期:Basically, we can dispatch the products out in 1-3 working days after receiving your orders. Delivery time maybe differs from different purchasing way or location, please kindly consult your local distributors for specific delivery time.
-
用途:For Research Use Only. Not for use in diagnostic or therapeutic procedures.
相關產品
靶點詳情
-
功能:Cadherins are calcium-dependent cell adhesion proteins. They preferentially interact with themselves in a homophilic manner in connecting cells; cadherins may thus contribute to the sorting of heterogeneous cell types.
-
基因功能參考文獻:
- CDH12 may influence CRC cell progression. PMID: 26762412
- CDH12 may play an important role in the invasion and metastasis of salivary adenoid cystic carcinoma PMID: 21573496
- E2F4, PHACTR3, PRAME family member and CDH12 most probably play important role in non-small-cell lung cancer geneses PMID: 19473719
-
亞細胞定位:Cell membrane; Single-pass type I membrane protein.
-
組織特異性:Brain.
-
數據庫鏈接:
Most popular with customers
-
-
YWHAB Recombinant Monoclonal Antibody
Applications: ELISA, WB, IHC, IF, FC
Species Reactivity: Human, Mouse, Rat
-
Phospho-YAP1 (S127) Recombinant Monoclonal Antibody
Applications: ELISA, WB, IHC
Species Reactivity: Human
-
-
-
-
-















