CBS Antibody
-
中文名稱:CBS兔多克隆抗體
-
貨號:CSB-PA205503
-
規格:¥1100
-
圖片:
-
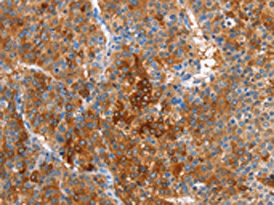
The image on the left is immunohistochemistry of paraffin-embedded Human liver cancer tissue using CSB-PA205503(CBS Antibody) at dilution 1/25, on the right is treated with fusion protein. (Original magnification: ×200)
-
Gel: 8%SDS-PAGE, Lysate: 40 μg, Lane 1-2: Mouse pancreas tissue, human fetal liver tissue, Primary antibody: CSB-PA205503(CBS Antibody) at dilution 1/550, Secondary antibody: Goat anti rabbit IgG at 1/8000 dilution, Exposure time: 3 seconds
-
-
其他:
產品詳情
-
Uniprot No.:
-
基因名:CBS
-
別名:AI047524 antibody; AI303044 antibody; Beta thionase antibody; Beta-thionase antibody; Cbs antibody; Cbs cystathionine beta-synthase antibody; CBS_HUMAN antibody; Cystathionine beta synthase antibody; Cystathionine beta-synthase antibody; EC 4.2.1.22 antibody; HIP 4 antibody; HIP4 antibody; Methylcysteine synthase antibody; MGC18856 antibody; MGC18895 antibody; MGC37300 antibody; OTTHUMP00000109416 antibody; OTTHUMP00000109418 antibody; Serine sulfhydrase antibody
-
宿主:Rabbit
-
反應種屬:Human,Mouse,Rat
-
免疫原:Fusion protein of Human CBS
-
免疫原種屬:Homo sapiens (Human)
-
標記方式:Non-conjugated
-
抗體亞型:IgG
-
純化方式:Antigen affinity purification
-
濃度:It differs from different batches. Please contact us to confirm it.
-
保存緩沖液:-20°C, pH7.4 PBS, 0.05% NaN3, 40% Glycerol
-
產品提供形式:Liquid
-
應用范圍:ELISA,WB,IHC
-
推薦稀釋比:
Application Recommended Dilution ELISA 1:2000-1:5000 WB 1:200-1:1000 IHC 1:25-1:100 -
Protocols:
-
儲存條件:Upon receipt, store at -20°C or -80°C. Avoid repeated freeze.
-
貨期:Basically, we can dispatch the products out in 1-3 working days after receiving your orders. Delivery time maybe differs from different purchasing way or location, please kindly consult your local distributors for specific delivery time.
-
用途:For Research Use Only. Not for use in diagnostic or therapeutic procedures.
相關產品
靶點詳情
-
功能:Hydro-lyase catalyzing the first step of the transsulfuration pathway, where the hydroxyl group of L-serine is displaced by L-homocysteine in a beta-replacement reaction to form L-cystathionine, the precursor of L-cysteine. This catabolic route allows the elimination of L-methionine and the toxic metabolite L-homocysteine. Also involved in the production of hydrogen sulfide, a gasotransmitter with signaling and cytoprotective effects on neurons.
-
相關疾病:Cystathionine beta-synthase deficiency (CBSD)
-
亞細胞定位:Cytoplasm. Nucleus.
-
蛋白家族:Cysteine synthase/cystathionine beta-synthase family
-
組織特異性:In the adult strongly expressed in liver and pancreas, some expression in heart and brain, weak expression in lung and kidney. In the fetus, expressed in brain, liver and kidney.
-
數據庫鏈接:
Most popular with customers
-
-
YWHAB Recombinant Monoclonal Antibody
Applications: ELISA, WB, IHC, IF, FC
Species Reactivity: Human, Mouse, Rat
-
Phospho-YAP1 (S127) Recombinant Monoclonal Antibody
Applications: ELISA, WB, IHC
Species Reactivity: Human
-
-
-
-
-















