-
中文名稱:CARM1兔多克隆抗體
-
貨號:CSB-PA771462LA01HU
-
規格:¥440
-
圖片:
-
Western Blot
Positive WB detected in: Hela whole cell lysate, MCF-7 whole cell lysate, NIH/3T3 whole cell lysate, Jurkat whole cell lysate, Mouse brain tissue, Mouse liver tissue, Mouse kidney tissue
All lanes: CARM1 antibody at 3.4μg/ml
Secondary
Goat polyclonal to rabbit IgG at 1/50000 dilution
Predicted band size: 66, 64, 42 kDa
Observed band size: 66, 42 kDa -
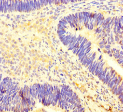
Immunohistochemistry of paraffin-embedded human ovarian cancer using CSB-PA771462LA01HU at dilution of 1:100
-
Immunofluorescent analysis of Hela cells using CSB-PA771462LA01HU at dilution of 1:100 and Alexa Fluor 488-congugated AffiniPure Goat Anti-Rabbit IgG(H+L)
-
-
其他:
產品詳情
-
產品名稱:Rabbit anti-Homo sapiens (Human) CARM1 Polyclonal antibody
-
Uniprot No.:
-
基因名:CARM1
-
別名:carm1 antibody; CARM1_HUMAN antibody; Coactivator associated arginine methyltransferase 1 antibody; Coactivator-associated arginine methyltransferase 1 antibody; Histone arginine methyltransferase CARM 1 antibody; Histone arginine methyltransferase CARM1 antibody; Histone-arginine methyltransferase CARM1 antibody; PRMT 4 antibody; PRMT4 antibody; Protein arginine methyltransferase antibody; Protein arginine N methyltransferase 4 antibody; Protein arginine N-methyltransferase 4 antibody
-
宿主:Rabbit
-
反應種屬:Human, Mouse
-
免疫原:Recombinant Human Histone-arginine methyltransferase CARM1 protein (209-379AA)
-
免疫原種屬:Homo sapiens (Human)
-
標記方式:Non-conjugated
本頁面中的產品,CARM1 Antibody (CSB-PA771462LA01HU),的標記方式是Non-conjugated。對于CARM1 Antibody,我們還提供其他標記。見下表:
-
克隆類型:Polyclonal
-
抗體亞型:IgG
-
純化方式:>95%, Protein G purified
-
濃度:It differs from different batches. Please contact us to confirm it.
-
保存緩沖液:Preservative: 0.03% Proclin 300
Constituents: 50% Glycerol, 0.01M PBS, PH 7.4 -
產品提供形式:Liquid
-
應用范圍:ELISA, WB, IHC, IF
-
推薦稀釋比:
Application Recommended Dilution WB 1:2000-1:5000 IHC 1:20-1:200 IF 1:50-1:200 -
Protocols:
-
儲存條件:Upon receipt, store at -20°C or -80°C. Avoid repeated freeze.
-
貨期:Basically, we can dispatch the products out in 1-3 working days after receiving your orders. Delivery time maybe differs from different purchasing way or location, please kindly consult your local distributors for specific delivery time.
-
用途:For Research Use Only. Not for use in diagnostic or therapeutic procedures.
引用文獻
- Inhibiting UPF1 methylation enhances tumor immunotherapy sensitivity by reducing nonsense-mediated mRNA decay S Zhu, Y Bai, D Zhang, C Huang, X Qian, P Li, T Xie,Cell Reports,2025
相關產品
靶點詳情
-
功能:Methylates (mono- and asymmetric dimethylation) the guanidino nitrogens of arginyl residues in several proteins involved in DNA packaging, transcription regulation, pre-mRNA splicing, and mRNA stability. Recruited to promoters upon gene activation together with histone acetyltransferases from EP300/P300 and p160 families, methylates histone H3 at 'Arg-17' (H3R17me), forming mainly asymmetric dimethylarginine (H3R17me2a), leading to activate transcription via chromatin remodeling. During nuclear hormone receptor activation and TCF7L2/TCF4 activation, acts synergically with EP300/P300 and either one of the p160 histone acetyltransferases NCOA1/SRC1, NCOA2/GRIP1 and NCOA3/ACTR or CTNNB1/beta-catenin to activate transcription. During myogenic transcriptional activation, acts together with NCOA3/ACTR as a coactivator for MEF2C. During monocyte inflammatory stimulation, acts together with EP300/P300 as a coactivator for NF-kappa-B. Acts as coactivator for PPARG, promotes adipocyte differentiation and the accumulation of brown fat tissue. Plays a role in the regulation of pre-mRNA alternative splicing by methylation of splicing factors. Also seems to be involved in p53/TP53 transcriptional activation. Methylates EP300/P300, both at 'Arg-2142', which may loosen its interaction with NCOA2/GRIP1, and at 'Arg-580' and 'Arg-604' in the KIX domain, which impairs its interaction with CREB and inhibits CREB-dependent transcriptional activation. Also methylates arginine residues in RNA-binding proteins PABPC1, ELAVL1 and ELAV4, which may affect their mRNA-stabilizing properties and the half-life of their target mRNAs.
-
基因功能參考文獻:
- N-terminal EVH1 domain of CARM1 is necessary and sufficient for substrate recognition and is required for methylation of most CARM1 substrates. PMID: 28537268
- SKP2 promotes HCC progression and its nuclear functions of autophagy induction with CARM1 and AMPK, which may provide a potential target for HCC therapy. PMID: 29991055
- The Overexpression of CARM1 Promotes Human Osteosarcoma Cell Proliferation through the pGSK3beta/beta-Catenin/cyclinD1 Signaling Pathway PMID: 28924379
- The CARM1-PKM2 axis serves as a metabolic reprogramming mechanism in tumorigenesis. PMID: 29058718
- Arginine (di)methylated human leukocyte antigen class I peptides, which are asymmetrically dimethylated, most likely by CARM1, are favorably presented by HLA-B*07. PMID: 27503676
- Estrogen receptor recruits steroid receptor coactivator-3 primary coactivator and secondary coactivators, p300/CBP and CARM1 to regulate genetic transcription. PMID: 28844863
- Arginine methylation of MDH1 by CARM1 regulates cellular redox homeostasis and suppresses glutamine metabolism of pancreatic cancer. PMID: 27840030
- Here, the crystal structures of human CARM1 with the S-adenosylmethione (SAM) mimic sinefungin and three different peptide sequences from histone H3 and PABP1 are presented, with both nonmethylated and singly methylated arginine residues exemplified. PMID: 26551522
- CARM1 associates with major nonsense-mediated mRNA decay factor UPF1 and promotes its occupancy on premature terminating codon-containing transcripts in spinal muscular atrophy. PMID: 26656492
- Monitoring of the CARM1-dependent production of monomethylated and dimethylated peptides over time by self-assembled monolayer and matrix-assisted laser desorption ionization mass spectrometry revealed that methylation by CARM1 is distributive. PMID: 26848779
- no obvious association of CARM1 isoform expression and clinical correlates in breast cancer PMID: 26030442
- disruption of CARM1 enhances the nuclear retention of mRNAs containing IRAlus PMID: 25792598
- Data indicate that coactivator-associated arginine methyltransferase 1 (CARM1) regulates neural differentiation through Nanog homeobox protein and microRNA miR92a. PMID: 25392304
- Like insulin, CARM1 overexpression increased CDK2 and CDK4 expression. In addition, CARM1 knockdown reduced the number of insulin-induced G2/M phase cells PMID: 25934150
- a noncoding variant in the CARM1-promoter functions as a regulator of gene transcription and homocysteine levels PMID: 25064859
- O-GlcNAcylation of CARM1 at its C-terminus is an important determinant for CARM1 substrate specificity. PMID: 25585345
- PRMT4 has a role in arginine methylation, which negatively regulates retinoblastoma tumor suppressor protein and promotes E2F-1 dissociation PMID: 25348716
- PBMCs from patients with ACS showed higher levels of CARM1 mRNA and protein expression.CARM1 regulated the transcription of IP-10, IL-8, and MCP-1. miR-15a modulated CARM1 expression through targeted binding to CARM1 3'-UTR. PMID: 24530761
- high-glucose-induced CARM1 expression increases RPE cell apoptosis via H3R17 asymmetric dimethylation PMID: 25072916
- CARM1 and PRMT1 are dysregulated in lung cancer; only CARM1 expression was found to be correlated with tumor differentiation and neither CARM1 nor PRMT1 expression was correlated with survival. PMID: 24211191
- Overexpression of PRMT4 represses miR-223 via methylation of RUNX1 and blocks myeloid differentiation. PMID: 24332853
- CARM1 overexpression was associated with poorly characterized clinicopathologic parameters and HER2 overexpression in invasive breast cancer. PMID: 23915145
- we identify BAF155 as a substrate for arginine methyltransferase CARM1. PMID: 24434208
- increased cytoplasmic CARM1, relative to nuclear levels, appear to be associated with self-identified African ethnicity and this result is being further investigated using quantified genetic ancestry measures. PMID: 23663560
- CARM1 could be a potential marker of luminal class subclassification and for target therapy, particularly in the ER-positive luminal-like subgroup. PMID: 23887673
- Arginine 42 of histone H3 (H3R42), is dimethylated by the methyltransferases coactivator arginine methyltransferase 1 (CARM1) and protein arginine methyltransferase 6 (PRMT6) in vitro and in vivo. PMID: 23980157
- Data show the transcriptional regulation of the human ferritin gene by coordinated regulation of Nrf2 and protein arginine methyltransferases PRMT1 and PRMT4. PMID: 23699174
- CARM1 represses replicative senescence by methylating HuR. PMID: 23837869
- Inhibition of CARM1 decreases PELP1 oncogenic activity. PMID: 23486015
- the miR-181c-CARM1 pathway has an important role in regulating the differentiation of human embryonic stem cells PMID: 23301034
- These findings reveal an important and so far unknown connection between PRMT4 and the chromatin remodeller Mi2 in c-Myb signalling. PMID: 23505388
- Findings indicate that expression of PRMT4/CARM1 and PRMT6 is deregulated in melanoma. PMID: 23265702
- found that CARM1 facilitates Sox2-mediated transactivation and directly methylates Sox2 at arginine 113 PMID: 22046437
- Signal transduction in cell death and survival involves a role for CARM1 in arginine methylation. PMID: 21445011
- A coactivator role of CARM1 in the dysregulation of beta-catenin activity in colorectal cancer cell growth and gene expression PMID: 21478268
- Findings suggest that coexpression of CARM1 and ERalpha may provide a better biomarker of well-differentiated breast cancer. PMID: 21282336
- CARM1 was particularly overexpressed in colorectal cancers while CARM1 expression was not prevalent in prostate and breast cancers. PMID: 20462455
- The physical interaction of CARM1 and PCAF is likely pivotal for the activation of PCAF in the downstream of CARM1 pathway for inducing myogenin under Tetradecanoylphorbol Acetate -induced differentiation. PMID: 20213728
- phosphorylation of CARM1 by PKA at a single serine is necessary and sufficient for direct binding to the unliganded hormone-binding domain of ERalpha, and the interaction is necessary for cAMP activation of ERalpha PMID: 20360387
- Methylates PAB1 and TARPP, suggesting a role in regulating transcription/translation. PMID: 11850402
- The CBP/p300 acetylase and the CARM1 methyltransferase can positively regulate the expression of estrogen-responsive genes, there is a crosstalk between lysine acetylation and arginine methylation on chromatin PMID: 12498683
- CARM1 plays a significant role in promoting the differentiation of early thymocyte progenitors, possibly through its direct action on TARPP. PMID: 15096520
- overexpression of CARM1 is involved in the development of prostate carcinoma PMID: 15221992
- results show that CARM1/PRMT4 is a novel transcriptional coactivator of NF-kappaB and functions as a promoter-specific regulator of NF-kappaB recruitment to chromatin PMID: 15616592
- CARM1 affects pre-mRNA splicing in an isoform-specific manner PMID: 15944154
- arginine methylation of CBP is required for IFN-gamma induction of MHC-II. A kinetic analysis shows that CIITA, CARM1, and H3-R17 methylation all precede CBP loading on the MHC-II promoter during IFN-gamma treatment. PMID: 16254053
- CARM1 has a role in signal-dependent control of gluconeogenic key enzyme genes PMID: 16330542
- CARM1 participates in NF-kappaB-mediated transcription through H3-R17 methylation and support a nonnuclear receptor-associated function for CARM1. PMID: 16497732
- CARM1 is essential for androgen receptor (AR) function and may play a role in prostate cancer progression. PMID: 16705743
- Results suggest that members of the SRC coactivator family, such as SRC-3, serve as substrates for the enzymatic coactivator coactivator-associated arginine methyltransferase 1 (CARM1). PMID: 16923966
顯示更多
收起更多
-
亞細胞定位:Nucleus. Cytoplasm. Note=Mainly nuclear during the G1, S and G2 phases of the cell cycle. Cytoplasmic during mitosis, after breakup of the nuclear membrane.
-
蛋白家族:Class I-like SAM-binding methyltransferase superfamily, Protein arginine N-methyltransferase family
-
組織特異性:Overexpressed in prostate adenocarcinomas and high-grade prostatic intraepithelial neoplasia.
-
數據庫鏈接:
Most popular with customers
-
-
YWHAB Recombinant Monoclonal Antibody
Applications: ELISA, WB, IHC, IF, FC
Species Reactivity: Human, Mouse, Rat
-
Phospho-YAP1 (S127) Recombinant Monoclonal Antibody
Applications: ELISA, WB, IHC
Species Reactivity: Human
-
-
-
-
-















