CA3 Antibody
-
中文名稱:CA3兔多克隆抗體
-
貨號:CSB-PA298167
-
規格:¥1100
-
圖片:
-
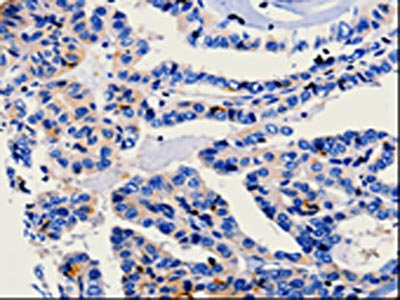
The image on the left is immunohistochemistry of paraffin-embedded Human thyroid cancer tissue using CSB-PA298167(CA3 Antibody) at dilution 1/25, on the right is treated with fusion protein. (Original magnification: ×200)
-
Gel: 10%SDS-PAGE, Lysate: 30 μg, Lane: Human fetal kidney tissue, Primary antibody: CSB-PA298167(CA3 Antibody) at dilution 1/250, Secondary antibody: Goat anti rabbit IgG at 1/8000 dilution, Exposure time: 5 seconds
-
-
其他:
產品詳情
-
Uniprot No.:
-
基因名:CA3
-
別名:CA III antibody; CA-III antibody; Ca3 antibody; CAH3_HUMAN antibody; CAIII antibody; Car3 antibody; Carbonate dehydratase III antibody; Carbonic anhydrase 3 antibody; Carbonic anhydrase III antibody; Carbonic anhydrase III muscle specific antibody; EC 4.2.1.1 antibody; Epididymis secretory sperm binding protein Li 167mP antibody; HEL S 167mP antibody
-
宿主:Rabbit
-
反應種屬:Human,Mouse,Rat
-
免疫原:Fusion protein of Human CA3
-
免疫原種屬:Homo sapiens (Human)
-
標記方式:Non-conjugated
-
抗體亞型:IgG
-
純化方式:Antigen affinity purification
-
濃度:It differs from different batches. Please contact us to confirm it.
-
保存緩沖液:-20°C, pH7.4 PBS, 0.05% NaN3, 40% Glycerol
-
產品提供形式:Liquid
-
應用范圍:ELISA,WB,IHC
-
推薦稀釋比:
Application Recommended Dilution ELISA 1:1000-1:5000 WB 1:200-1:1000 IHC 1:10-1:50 -
Protocols:
-
儲存條件:Upon receipt, store at -20°C or -80°C. Avoid repeated freeze.
-
貨期:Basically, we can dispatch the products out in 1-3 working days after receiving your orders. Delivery time maybe differs from different purchasing way or location, please kindly consult your local distributors for specific delivery time.
-
用途:For Research Use Only. Not for use in diagnostic or therapeutic procedures.
相關產品
靶點詳情
-
功能:Reversible hydration of carbon dioxide.
-
基因功能參考文獻:
- CAIII and Hsp70 expressions were higher in LPRD patients that in non-LPRD patients, suggesting the possibility as one of biomomarker in LPRD diagnosis. PMID: 26847302
- this study detected the formation and colocalization of 6-nitrotryptophan-containing proteins and CAIII in the skin of atopic dermatitis patients, not only in the lesional part but also in the nonlesional part, through histochemical analyses PMID: 24838180
- Report that anti-CAIII antibodies may be useful for diagnosing microscopic polyangiitis. PMID: 23981757
- The carbonic anhydrase CA3 isoform displayed an increased abundance during muscle aging, which was independently verified by immunoblotting of differently aged human skeletal muscle samples. PMID: 22797148
- The generation of CA III and IV autoantibodies, antioxidant enzymes, and cytokines might influence each other. PMID: 23049597
- Crystallization and preliminary X-ray analysis of human carbonic anhydrase III PMID: 11976500
- Data show that inserting histidine residues into the active site cavity of carbonic anhydrase II or III results in rates of proton transfer to the zinc-bound hydroxide that are antagonistic or suppressive with respect to the corresponding single mutants. PMID: 12171926
- Proton transfer within the active-site cavity of carbonic anhydrase III PMID: 12484342
- myoglobin/carbonic anhydrase III ratio in the blood proved to be a more specific indicator for myocardial damage than myoglobin alone after myocardial infarction. PMID: 12745799
- CAIII expression is upregulated in kidney cortex samples from the end-stage kidney of a patient with Dent's disease owing to the G506E mutation of CLCN5 PMID: 18322545
- CAIII promotes transformation and invasion capability in hepatoma cells through FAK signaling pathway. PMID: 18444244
- The level of CAIII is specifically insufficient in the skeletal muscle of myasthenia gravis patients. PMID: 19301202
顯示更多
收起更多
-
亞細胞定位:Cytoplasm.
-
蛋白家族:Alpha-carbonic anhydrase family
-
組織特異性:Muscle specific.
-
數據庫鏈接:
Most popular with customers
-
YWHAB Recombinant Monoclonal Antibody
Applications: ELISA, WB, IHC, IF, FC
Species Reactivity: Human, Mouse, Rat
-
Phospho-YAP1 (S127) Recombinant Monoclonal Antibody
Applications: ELISA, WB, IHC
Species Reactivity: Human
-
-
-
-
-
-















