-
中文名稱:BAG5兔多克隆抗體
-
貨號:CSB-PA890743HA01HU
-
規格:¥440
-
圖片:
-
Western blot
All lanes: BAG family molecular chaperone regulator 5 antibody at 2μg/ml
Lane 1: Mouse kidney tissue
Lane 2: Mouse brain tissue
Lane 3: Hela whole cell lysate
Secondary
Goat polyclonal to rabbit IgG at 1/10000 dilution
Predicted band size: 52, 57 kDa
Observed band size: 52 kDa -
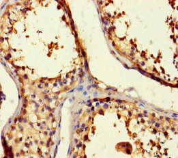
Immunohistochemistry of paraffin-embedded human testis tissue using CSB-PA890743HA01HU at dilution of 1:100
-
-
其他:
產品詳情
-
產品名稱:Rabbit anti-Homo sapiens (Human) BAG5 Polyclonal antibody
-
Uniprot No.:
-
基因名:
-
別名:BAG family molecular chaperone regulator 5 antibody; BAG-5 antibody; BAG5 antibody; BAG5_HUMAN antibody; Bcl 2 associated athanogene 5 antibody; Bcl-2-associated athanogene 5 antibody; BCL2 associated athanogene 5 antibody; KIAA0873 antibody
-
宿主:Rabbit
-
反應種屬:Human, Mouse
-
免疫原:Recombinant Human BAG family molecular chaperone regulator 5 protein (1-447AA)
-
免疫原種屬:Homo sapiens (Human)
-
標記方式:Non-conjugated
本頁面中的產品,BAG5 Antibody (CSB-PA890743HA01HU),的標記方式是Non-conjugated。對于BAG5 Antibody,我們還提供其他標記。見下表:
-
克隆類型:Polyclonal
-
抗體亞型:IgG
-
純化方式:>95%, Protein G purified
-
濃度:It differs from different batches. Please contact us to confirm it.
-
保存緩沖液:Preservative: 0.03% Proclin 300
Constituents: 50% Glycerol, 0.01M PBS, PH 7.4 -
產品提供形式:Liquid
-
應用范圍:ELISA, WB, IHC
-
推薦稀釋比:
Application Recommended Dilution WB 1:1000-1:5000 IHC 1:20-1:200 -
Protocols:
-
儲存條件:Upon receipt, store at -20°C or -80°C. Avoid repeated freeze.
-
貨期:Basically, we can dispatch the products out in 1-3 working days after receiving your orders. Delivery time maybe differs from different purchasing way or location, please kindly consult your local distributors for specific delivery time.
-
用途:For Research Use Only. Not for use in diagnostic or therapeutic procedures.
引用文獻
- Bcl-2-associated athanogene 5 (BAG5) regulates Parkin-dependent mitophagy and cell death De Snoo M L, et al,Cell Death & Disease,2019
相關產品
靶點詳情
-
功能:Inhibits both auto-ubiquitination of PRKN and ubiquitination of target proteins by PRKN. May function as a nucleotide exchange factor for HSP/HSP70, promoting ADP release, and activating Hsp70-mediated refolding.
-
基因功能參考文獻:
- BAG5 was found as a expression variability marker in an 8-cell human embryo. PMID: 26288249
- Subsequent BAG5 upregulation ameliorated the tumor-suppressive effects of miR-127-3p overexpression in epithelial ovarian cancer (EOC). In conclusion, miR-127-3p functions as a tumor suppressor in EOC, and its influence on EOC is directly through regulation of BAG5. PMID: 27571744
- High BAG5 expression is associated with pancreatic cancer. PMID: 27571739
- This study showed that BAG2 (Bcl-2 associated athanogene family protein 2) and BAG5 (Bcl-2-associated athanogene family protein 5) stabilise pathogenic ataxin3-80Q by inhibiting its ubiquitination. PMID: 25006867
- BAG5 protects against mitochondrial oxidative damage through regulating PINK1 degradation. PMID: 24475098
- BAG5 is a binding partners of LRRK2 and part of a complex that promotes clearance of Golgi-derived vesicles through the autophagy-lysosome system. PMID: 24510904
- Bag5 is overexpressed in prostate cancer and plays a role in endoplamic reticulum-stress induced apoptosis. Furthermore we have identified GRP78/BiP as a novel interaction partner of Bag5. PMID: 23448667
- BAG5 directly interacts with Parkin and stabilizes Parkin via the ubiquitin-mediated proteasomal pathway. PMID: 21131737
- A novel function for BAG5 as a modulator of CHIP E3 ubiquitin ligase activity with implications for CHIP-mediated regulation of alpha-syn oligomerization. PMID: 21358815
- We replicated the association of BCL2L11 and CASP9 with non-Hodgkin's lymphoma risk at the gene and SNP level, and identified novel associations with BCLAF1 and BAG5. PMID: 20855536
- Bcl-2-associated athanogene 5 (BAG5) is a negative regulator of both Hsp70 and parkin function that sensitizes dopaminergic neurons to injury-induced death. PMID: 15603737
顯示更多
收起更多
-
數據庫鏈接:
Most popular with customers
-
-
YWHAB Recombinant Monoclonal Antibody
Applications: ELISA, WB, IHC, IF, FC
Species Reactivity: Human, Mouse, Rat
-
Phospho-YAP1 (S127) Recombinant Monoclonal Antibody
Applications: ELISA, WB, IHC
Species Reactivity: Human
-
-
-
-
-















