AZGP1 Antibody
-
中文名稱:AZGP1兔多克隆抗體
-
貨號:CSB-PA11039A0Rb
-
規格:¥440
-
圖片:
-
Western blot
All lanes: AZGP1 antibody at 4µg/ml
Lane 1: PC-3 whole cell lysate
Lane 2: HepG2 whole cell lysate
Lane 3: K562 whole cell lysate
Secondary
Goat polyclonal to rabbit IgG at 1/10000 dilution
Predicted band size: 35 kDa
Observed band size: 35 kDa -
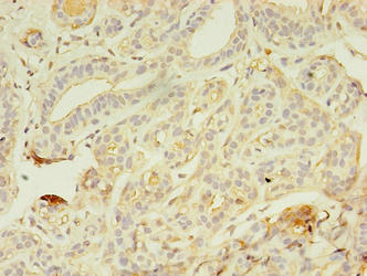
Immunohistochemistry of paraffin-embedded human prostate cancer using CSB-PA11039A0Rb at dilution of 1:100
-
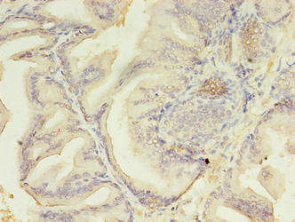
Immunohistochemistry of paraffin-embedded human breast cancer using CSB-PA11039A0Rb at dilution of 1:100
-
-
其他:
產品詳情
-
產品名稱:Rabbit anti-Homo sapiens (Human) AZGP1 Polyclonal antibody
-
Uniprot No.:
-
基因名:AZGP1
-
別名:Alpha 2 glycoprotein 1 zinc antibody; Alpha 2 glycoprotein 1 zinc binding antibody; Alpha 2 glycoprotein zinc antibody; Azgp1 antibody; ZA2G antibody; ZA2G_HUMAN antibody; ZAG antibody; Zinc alpha 2 glycoprotein precursor antibody; Zinc-alpha-2-glycoprotein antibody; Zn alpha 2 glycoprotein antibody; Zn alpha 2 GP antibody; Zn alpha2 glycoprotein antibody; Zn-alpha-2-glycoprotein antibody; Zn-alpha-2-GP antibody; ZNGP1 antibody
-
宿主:Rabbit
-
反應種屬:Human
-
免疫原:Recombinant Human Zinc-alpha-2-glycoprotein protein (61-210AA)
-
免疫原種屬:Homo sapiens (Human)
-
標記方式:Non-conjugated
本頁面中的產品,AZGP1 Antibody (CSB-PA11039A0Rb),的標記方式是Non-conjugated。對于AZGP1 Antibody,我們還提供其他標記。見下表:
-
克隆類型:Polyclonal
-
抗體亞型:IgG
-
純化方式:>95%, Protein G purified
-
濃度:It differs from different batches. Please contact us to confirm it.
-
保存緩沖液:Preservative: 0.03% Proclin 300
Constituents: 50% Glycerol, 0.01M PBS, PH 7.4 -
產品提供形式:Liquid
-
應用范圍:ELISA, WB, IHC
-
推薦稀釋比:
Application Recommended Dilution WB 1:500-1:5000 IHC 1:20-1:200 -
Protocols:
-
儲存條件:Upon receipt, store at -20°C or -80°C. Avoid repeated freeze.
-
貨期:Basically, we can dispatch the products out in 1-3 working days after receiving your orders. Delivery time maybe differs from different purchasing way or location, please kindly consult your local distributors for specific delivery time.
-
用途:For Research Use Only. Not for use in diagnostic or therapeutic procedures.
相關產品
靶點詳情
-
功能:Stimulates lipid degradation in adipocytes and causes the extensive fat losses associated with some advanced cancers. May bind polyunsaturated fatty acids.
-
基因功能參考文獻:
- Circulating ZAG levels were significantly higher in patients with CS than in controls. ZAG levels positively correlated to 24-h urinary free cortisol, body mass index, non-esterified fatty acids, glucose, LDL-C, and type 2 diabetes mellitus, and were inversely related to total adiponectin levels.(p=0.035). In multivariate analysis ZAG levels only correlated with body mass index (p=0.012), type 2 diabetes mellitus. PMID: 28440767
- Our study reveals that reduced AZGP1 expression correlates with in vitro cellular migration and invasion. In vivo, it is associated with higher metastatic risk and shorter survival in patients with soft tissue sarcomas PMID: 29357838
- results indicate that changes in the circulating level of S100A1 protein occur in metabolic syndrome patients; the strong correlation between serum zinc-alpha2-glycoprotein and S100A1 might suggest that production or release of these two proteins could be related mechanistically PMID: 28825380
- Study reports expression of Zinc-alpha2-glycoprotein (ZAG) in neurons. The level of ZAG was lower in temporal lobe epilepsy patients and time-dependently decreased in PTZ-treated rats. In addition, ZAG was shown to interact with p-ERK and TGF-beta. ZAG was found to be synthesized in neurons, and both the AZGP1 mRNA and ZAG protein levels were decreased in epilepsy patients and rat models. PMID: 28576733
- Our study provides prospective phase III validation that absent/low AZGP1 expression provides independent prognostic value in PC PMID: 28486686
- This study demonstrated that differential expression of zinc-alpha-2-glycoprotein (AZGP1) was detected in the serums of Alzheimer's Disease patients compared with healthy controls PMID: 27911324
- ZAG has the potential to alleviate hepatosteatosis, making it a promising therapeutic target for fatty liver. PMID: 27264075
- we found that AZGP1 inhibited cell migration and invasion through the regulation of the PTEN/Akt and CD44s pathways. Collectively, our findings revealed the molecular mechanism of AZGP1 expression in HCC, providing new insights into the mechanisms underlying tumor progression. PMID: 27993894
- Absent or weak expression of AZGP1 protein was associated with worse recurrence free survival (RFS), disease specific survival, and overall survival after radical prostatectomy for prostate cancer. PMID: 27325561
- Absent alpha-2-glycoprotein 1 zinc-binding(AZGP1) expression is an independent predictor of biochemical relapse in margin-positive localized prostate cancer and is associated with increased prostate cancer-specific mortality PMID: 27473574
- Data show increased levels of lysozyme C (LYZ), lacritin (LACRT) and zinc-alpha-2 glycoprotein 1 (AZGP1) in pooled tear fluid sample from Graves' disease (GD) patients with moderate-to-severe Graves' orbitopathy (GO) compared with GD patients without clinical signs of GO. PMID: 28419103
- From various categories of proteins that have been detected in prostate tissue by proteomics, only secreted protein Zinc alpha 2-glycoprotein showed a clear signal in the urine, proving its discriminative potential for the early diagnosis of prostate cancer PMID: 27711093
- results indicate ZAG as a possible predictive marker of Gleason grade. The inverse association between grade and tissue expression with a rising serum protein level is similar to that seen with prostate-specific antigen. In addition, the results for both ZAG and PSMB-6 highlight the challenges in trying to associate the protein levels in serum with tissue expression PMID: 20661134
- reduced AZGP1 expression is strongly related to adverse prostate cancer prognosis, independently of established clinic-pathological variables and PTEN deletions. PMID: 26383228
- Zinc-alpha2-glycoprotein inhibits insulin-induced glucose uptake in human adipocytes by impairing insulin signaling at the level of AKT in a PP2A-dependent manner. PMID: 26068931
- It was concluded that the lipid-binding groove in ZA2G contains at least two distinct fatty acid-binding sites. PMID: 26487699
- AZGP1 is a negative regulator of fibrosis progression in kidney and heart PMID: 25788525
- Plasma ZAG was elevated in smokers, and correlated with male gender, smoking amount and duration, nicotine dependence, and metabolic syndrome. PMID: 25708842
- Increased serum ZAG concentrations induced, at least partly, by Sp1 may cause an increase in vascular tone through the activation of RhoA PMID: 25427682
- comprehensive evaluation of AZGP1 variation at the mRNA and protein level in colon cancer; study demonstrated that AZGP1 is a potential serum marker of colon cancer that may be correlated with tumorigenesis PMID: 25561225
- ZAG protein accumulates in plasma in ESRD and hemodialysis patients but this increase is not directly correlated to the decrease in GFR. PMID: 25076420
- we demonstrated a significant increase in ZAG in critically ill patients temporally related to recovery from sepsis PMID: 25580089
- results show that AZGP-1, hCAP-D3, and E-cadherin are potentially useful immunohistochemical markers to predict BCR, and that AZGP-1 can be used as an independent prognostic marker of aggressive prostate cancer. PMID: 24508823
- ZAG plays an important role in modulating whole-body and adipose tissue insulin sensitivity. ZAG in subcutaneous, but not in visceral AT, was markedly reduced in obesity. PMID: 24753506
- overexpression of AZGP1 suppressed the activation of the mTOR pathway and endogenous FASN-regulated fatty acid synthesis, mitigating the malignant phenotype of LoVo cells PMID: 24918753
- thyroid hormone up-regulates the production of zinc-alpha2-glycoprotein in the liver but not in the adipose tissue. PMID: 24465683
- Both intracellular and extracellular localization of ZAG2 is identified in the brains of Krabbe's disease patients but not in control brains. PMID: 24374959
- AZGP1 and PIP were found in significantly lower levels in invasive breast tissue. PMID: 24114735
- AZGP1 might serve as a candidate tumor suppressor and a potential prognostic biomarker in gastric carcinogenesis. PMID: 23935945
- Zinc binding may be important for ZAG binding to fatty acids and the beta-adrenergic receptor. PMID: 24188824
- Circulating AZGP1 is elevated in chronic hemodialysis patients and sharply increases during the early phase of acute kidney injury. PMID: 23849457
- In cancer cachexia, ZAG release from white adipocytes is elevated and closely related to body weight loss. In cardiac cachexia, ZAG and circulating free fatty acids are closely related, suggesting a causative role in fat catabolism. [Review] PMID: 23448999
- Overproduction of ZAG in white adipose tissue in chronic kidney disease could be a major contributor to metabolic disturbances associated with CKD. PMID: 23423258
- High urine zinc alpha2-glycoprotein expression is associated with prostate cancer. PMID: 23634719
- Our data showed that the elevated AZGP1 and decreased PEDF and PRDX2 expressions in CRC serum and tissues were correlated with liver metastases. higher AZGP1 was also associated with a poorer disease-free survival. PMID: 23393224
- cbZAG is lower in cord blood compared with maternal serum and correlates with gestational age at delivery, suggesting a role during the accelerated fetal growth during latter pregnancy PMID: 23272038
- prostate ZAG staining correlated with a favorable outcome after prostatectomy for high-grade prostate cancer. PMID: 22935975
- HCC patients with high AZGP1 expression survived longer, with better overall survival and disease-free survival. In addition, low AZGP1 expression associated with worse relapse-free survival (P = 0.046) and distant metastatic progression-free survival PMID: 22625427
- High serum Zn-alpha-2-glycoprotein is associated with preeclampsia. PMID: 21791968
- Reduced expression of AZGP1 led to a significant increase in the expression of lipogenic genes, thereby resulting in higher lipid levels. PMID: 22739111
- Urinary PGDS, not ZA2G, may serve as a biomarker for active LN and upon validation in larger studies, may become the non-invasive test to evaluate the disease activity in future management of LN. PMID: 22498882
- ZAG could be involved in modulating lipid metabolism in adipose tissue and is associated with insulin resistance. PMID: 22442679
- These results indicate that ZAG, which is present on the human sperm membrane, plays a critical role in the acrosome reaction and subsequently, may be involved in sperm fertility. PMID: 21790656
- The genotypes of rs4215 in ZAG gene are significantly associated with obesity in Chinese north Han population. GG genotype subjects in rs4215 site have an increased susceptibility to obesity when compared with the AA+AG genotype subjects. PMID: 22425975
- AZGP1 is a potential molecular marker for biochemical relapse in men with margin-positive, localized PC. PMID: 21432866
- AZGP1 identified as a biomarker candidate for chronic pancreatitis. PMID: 21443201
- The adipokine zinc-alpha2-glycoprotein activates AMP kinase in human primary skeletal muscle cells. PMID: 21457004
- ZAG may contribute to adipose atrophy associated with cancer cachexia in human beings. PMID: 21245862
- Macrophage-associated inflammation may play a significant role in the downregulation of ZAG in adipose tissue in obesity. PMID: 20595026
- PCR array analysis revealed that AZGP1-induced epithelial transdifferentiation was accompanied by a series of concerted cellular events including a shift in the energy metabolism and prosurvival signals PMID: 20581862
顯示更多
收起更多
-
亞細胞定位:Secreted.
-
蛋白家族:MHC class I family
-
組織特異性:Blood plasma, seminal plasma, urine, saliva, sweat, epithelial cells of various human glands, liver.
-
數據庫鏈接:
Most popular with customers
-
-
YWHAB Recombinant Monoclonal Antibody
Applications: ELISA, WB, IHC, IF, FC
Species Reactivity: Human, Mouse, Rat
-
Phospho-YAP1 (S127) Recombinant Monoclonal Antibody
Applications: ELISA, WB, IHC
Species Reactivity: Human
-
-
-
-
-















