-
中文名稱:ASPN兔多克隆抗體
-
貨號:CSB-PA002230LA01HU
-
規格:¥440
-
圖片:
-
Western blot
All lanes: ASPN antibody at 14 μg/ml
Lane 1: Mouse heart tissue
Lane 2: Mouse liver tissue
Lane 3: HL60 whole cell lysate
Secondary
Goat polyclonal to rabbit IgG at 1/10000 dilution
Predicted band size: 43 kDa
Observed band size: 43 kDa -
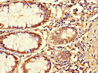
Immunohistochemistry of paraffin-embedded human colon cancer using CSB-PA002230LA01HU at dilution of 1:100
-
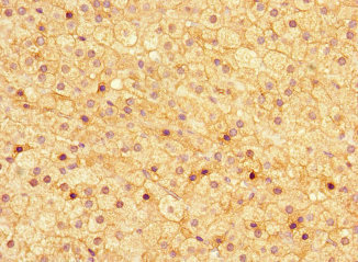
Immunohistochemistry of paraffin-embedded human adrenal gland tissue using CSB-PA002230LA01HU at dilution of 1:100
-
-
其他:
產品詳情
-
產品名稱:Rabbit anti-Homo sapiens (Human) ASPN Polyclonal antibody
-
Uniprot No.:
-
基因名:ASPN
-
別名:ASPN antibody; ASPN protein antibody; ASPN_HUMAN antibody; Asporin (LRR class 1) antibody; Asporin antibody; Asporin proteoglycan antibody; FLJ20129 antibody; LRR class 1 antibody; Periodontal ligament associated protein 1 antibody; Periodontal ligament-associated protein 1 antibody; PLAP 1 antibody; PLAP-1 antibody; PLAP1 antibody; SLRR 1C antibody; SLRR1C antibody; Small leucine rich protein 1C antibody
-
宿主:Rabbit
-
反應種屬:Human, Mouse
-
免疫原:Recombinant Human Asporin protein (33-380AA)
-
免疫原種屬:Homo sapiens (Human)
-
標記方式:Non-conjugated
本頁面中的產品,ASPN Antibody (CSB-PA002230LA01HU),的標記方式是Non-conjugated。對于ASPN Antibody,我們還提供其他標記。見下表:
-
克隆類型:Polyclonal
-
抗體亞型:IgG
-
純化方式:>95%, Protein G purified
-
濃度:It differs from different batches. Please contact us to confirm it.
-
保存緩沖液:Preservative: 0.03% Proclin 300
Constituents: 50% Glycerol, 0.01M PBS, PH 7.4 -
產品提供形式:Liquid
-
應用范圍:ELISA, WB, IHC
-
推薦稀釋比:
Application Recommended Dilution WB 1:1000-1:5000 IHC 1:20-1:200 -
Protocols:
-
儲存條件:Upon receipt, store at -20°C or -80°C. Avoid repeated freeze.
-
貨期:Basically, we can dispatch the products out in 1-3 working days after receiving your orders. Delivery time maybe differs from different purchasing way or location, please kindly consult your local distributors for specific delivery time.
-
用途:For Research Use Only. Not for use in diagnostic or therapeutic procedures.
引用文獻
相關產品
靶點詳情
-
功能:Negatively regulates periodontal ligament (PDL) differentiation and mineralization to ensure that the PDL is not ossified and to maintain homeostasis of the tooth-supporting system. Inhibits BMP2-induced cytodifferentiation of PDL cells by preventing its binding to BMPR1B/BMP type-1B receptor, resulting in inhibition of BMP-dependent activation of SMAD proteins. Critical regulator of TGF-beta in articular cartilage and plays an essential role in cartilage homeostasis and osteoarthritis (OA) pathogenesis. Negatively regulates chondrogenesis in the articular cartilage by blocking the TGF-beta/receptor interaction on the cell surface and inhibiting the canonical TGF-beta/Smad signal. Binds calcium and plays a role in osteoblast-driven collagen biomineralization activity.
-
基因功能參考文獻:
- D-repeat of ASPN gene is mainly associated with male patients. The D13 polymorphism plays a protective role for osteoarthritis in Caucasians male individuals while D14 plays a risk factor for knee osteoarthritis in male patients. PMID: 30407347
- Suggest that the D14 allele of the ASPN polymorphism could exert an influence on primary osteoarthritis of the knee etiology in a Mexican Mestizo population. PMID: 26620055
- ASPN D-repeat polymorphism is not associated with an increased Knee Osteoarthritis risk. PMID: 28889984
- Meta-analysis result based on previously published studies demonstrated that the ASPN D13 allele was a protective factor for OA of knee, hip, and hand. For D14 and D15 allele, meta-analysis did not demonstrate statistically significant association. PMID: 29561445
- higher expression of asporin was noticed in CRC tissues and it was correlated with later clinical stage of the patients. Asporin promoted the migration and invasion of the tumor cells partially through an EGFR/Src/cortactin- signaling pathway. PMID: 27705916
- ASPN D15 is associated with increased risk of symmetrical hand osteoarthritis particularly in individuals with low variation in work tasks. PMID: 29233086
- we found that asporin can be downregulated by bone morphogenetic protein 4 in Hs578T cells and its upregulation may be facilited by serum-free cultivation or by three dimensional growth PMID: 27409832
- Asporin promotes epithelial mesenchymal transformation, invasion, and migration of pancreatic cancer cellss by activating CD44-AKT/ERK-NF-kappaB pathway in paracrine and autocrine manner. PMID: 28400334
- High ASPN expression in stroma is associated with prostate cancer progression. PMID: 28152543
- To test the associations of ASPN variations with risk of subsequent oncologic outcomes. PMID: 26446945
- Collectively, our findings indicate that ASPN is upregulated and plays an oncogenic role in gastric cancer progression and metastasis by influencing the EGFR signaling pathway. PMID: 25673058
- Our results showed that ASPN rs13301537 T to C change and variant C genotype may contribute to knee OA risk in a Chinese Han population. PMID: 25030405
- this is the first case-control study in Mexican women that suggests that menopause and the D-repeat polymorphism in the ASPN gene are associated with knee OA PMID: 26016288
- Osteomodulin, osteoglycin, and asporin appear to be distinctly regulated in osteoarthritis labrum compared to OA cartilage. PMID: 25371314
- Asporin may represent a new therapeutic target molecule for the development of drugs aimed at manipulating the cancer microenvironment. PMID: 24441039
- This meta-analysis shows that the ASPN D14, D13, and D15 alleles are not associated with the development of osteoarthritis in Europeans and Asians. [Meta-Analysis] PMID: 24306268
- A meta-analysis suggest that the D-repeat of asporin gene (ASPN) may not be a major susceptibility locus in the Caucasian and Asian populations with knee osteoarthritis. PMID: 23942062
- polymorphisms within the ASPN gene could influence knee osteoarthritis susceptibility PMID: 23733110
- D14-PLAP-1 suppressed BMP-2 signal transduction more efficiently than D13-PLAP-1; stronger affinity of D14-PLAP-1 protein to BMP-2 compared with D13-PLAP-1 protein. D repeat polymorphism of PLAP-1/asporin has influence on functions of PDL cells. PMID: 24453179
- Our data suggest that the D15 asporin allele could be considered a knee osteoarthritis risk allele significant only for women in the Iranian population. PMID: 24078942
- The asporin-encoding gene is a promising candidate as a susceptibility gene for osteoarthritis and degenerative disc disease. [Review] PMID: 24003854
- Asporin is associated with hand osteoarthritis progression. PMID: 23357225
- mir-101 and mir-21 target PLAP-1 to regulate its expression during osteogenic differentiation of PDLCs. PMID: 22367347
- Our results show an obvious association between the D repeat polymorphism of ASPN and Developmental dysplasia of the hip PMID: 21329514
- Data indicate that the expression of ASPN gene is finely regulated in cartilage and suggest a major role of Sp1. PMID: 21528154
- ASPN plays positive roles in the mineralization of dental pulp stem cells and predentin to dentin. PMID: 21413025
- The ratio of Asporin to TGF-beta1 (transforming growth factor-beta1) mRNA in patients with severe cartilage damage was higher than that in osteoartritis patients with mild cartilage damage PMID: 19997821
- Association of an asporin repeat polymorphism with ankylosing spondylitis in Han Chinese population: a case-control study, is reported. PMID: 20144272
- these findings provide another functional link between extracellular matrix proteins, TGF-beta activity and disease, suggesting new therapeutic strategies for osteoarthritis. PMID: 15640800
- No significant differences were observed in any of the multiple comparisons performed in osteoarthritis and controls PMID: 16542493
- expression may be associated with the process of cytodifferentiation of periodontal ligament cells PMID: 16632759
- Association of the D14 allele with knee osteoarthritis susceptibility in Han Chinese. PMID: 17024313
- the association of the ASPN D14 allele and knee OA has global relevance [meta-analysis] PMID: 17517696
- This study further highlighted the significance of asporin in osteoarthritis. PMID: 17603749
- Characterization of the human ASPN promoter region revealed a region from -126 to -82 that is sufficient for full promoter activity; however, TGF-beta1 failed to increase activity through the ASPN promoter. PMID: 17804408
- describe mechanisms for asporin function and regulation in human articular cartilage; asporin blocks chondrogenesis and inhibits TGF-beta1-induced expression of matrix genes and the resulting chondrocyte phenotypes. PMID: 17827158
- The frequency of the aspartic acid repeat polymorphism was examined. These results suggest that asporin may play a role in OA susceptibility of the knee in the Korean female population. PMID: 18178444
- ASPN is a lumbar-disc degeneration (LDD) gene in Asians, and common risk factors may be considered for osteoarthritis and LDD. PMID: 18304494
- Asporin is up-regulated in disease states. It binds to various growth factors, including TGF-beta and BMP-2, and negatively regulates their activity. By inhibiting binding of TGF-beta1 to its type II receptor, asporin forms a functional feedback loop. PMID: 18336287
- These data suggest that polymorphisms within ASPN are not a major influence in susceptibility to hand or knee OA in US Caucasians. PMID: 18434216
- In the discs of Caucasian subjects there was greatest expression of asporin in the more degenerate human discs in vivo. PMID: 19327154
- Asporin has a role in osteoblast-driven collagen biomineralization activity. PMID: 19589127
顯示更多
收起更多
-
相關疾病:Osteoarthritis 3 (OS3); Intervertebral disc disease (IDD)
-
亞細胞定位:Secreted, extracellular space, extracellular matrix.
-
蛋白家族:Small leucine-rich proteoglycan (SLRP) family, SLRP class I subfamily
-
組織特異性:Higher levels in osteoarthritic articular cartilage, aorta, uterus. Moderate expression in small intestine, heart, liver, bladder, ovary, stomach, and in the adrenal, thyroid, and mammary glands. Low expression in trachea, bone marrow, and lung. Colocaliz
-
數據庫鏈接:
Most popular with customers
-
-
YWHAB Recombinant Monoclonal Antibody
Applications: ELISA, WB, IHC, IF, FC
Species Reactivity: Human, Mouse, Rat
-
-
-
-
-
-















