ASNS Antibody
-
中文名稱:ASNS兔多克隆抗體
-
貨號:CSB-PA596240
-
規格:¥1100
-
圖片:
-
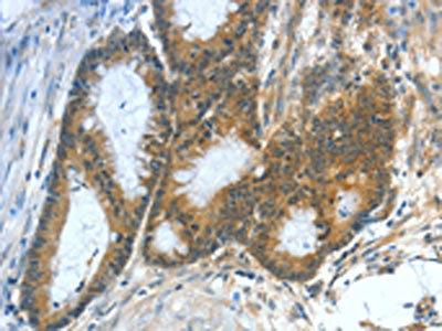
The image on the left is immunohistochemistry of paraffin-embedded Human colon cancer tissue using CSB-PA596240(ASNS Antibody) at dilution 1/50, on the right is treated with fusion protein. (Original magnification: ×200)
-
Gel: 15%SDS-PAGE, Lysate: 40 μg, Lane 1-2: Lovo cells, 231 cells, Primary antibody: CSB-PA596240(ASNS Antibody) at dilution 1/1000, Secondary antibody: Goat anti rabbit IgG at 1/8000 dilution, Exposure time: 1 minute
-
-
其他:
產品詳情
-
Uniprot No.:
-
基因名:ASNS
-
別名:asnS antibody; ASNS_HUMAN antibody; ASNSD antibody; Asparagine synthetase [glutamine-hydrolyzing] antibody; Asparagine synthetase antibody; Cell cycle control protein TS11 antibody; Glutamine dependent asparagine synthetase 3 antibody; Glutamine dependent asparagine synthetase antibody; Glutamine hydrolyzing antibody; Glutamine-dependent asparagine synthetase antibody; OTTHUMP00000024510 antibody; OTTHUMP00000204938 antibody; OTTHUMP00000204939 antibody; OTTHUMP00000204940 antibody; OTTHUMP00000204941 antibody; OTTHUMP00000204942 antibody; TS11 antibody; TS11 cell cycle control protein antibody
-
宿主:Rabbit
-
反應種屬:Human,Mouse,Rat
-
免疫原:Fusion protein of Human ASNS
-
免疫原種屬:Homo sapiens (Human)
-
標記方式:Non-conjugated
-
抗體亞型:IgG
-
純化方式:Antigen affinity purification
-
濃度:It differs from different batches. Please contact us to confirm it.
-
保存緩沖液:-20°C, pH7.4 PBS, 0.05% NaN3, 40% Glycerol
-
產品提供形式:Liquid
-
應用范圍:ELISA,WB,IHC
-
推薦稀釋比:
Application Recommended Dilution ELISA 1:1000-1:5000 WB 1:500-1:2000 IHC 1:50-1:200 -
Protocols:
-
儲存條件:Upon receipt, store at -20°C or -80°C. Avoid repeated freeze.
-
貨期:Basically, we can dispatch the products out in 1-3 working days after receiving your orders. Delivery time maybe differs from different purchasing way or location, please kindly consult your local distributors for specific delivery time.
-
用途:For Research Use Only. Not for use in diagnostic or therapeutic procedures.
相關產品
靶點詳情
-
基因功能參考文獻:
- basal ASNS expression at protein levels was significantly correlated with sensitivity to combined treatment. These results provide mechanistic insights into the role of GCN2 in the amino acid response and a rationale for further investigation of GCN2 inhibitors for the treatment of cancer. PMID: 30061420
- The expression of ASNS was significantly elevated when ATF6 was over expressed. The expressions of these 2 genes were both decreased in hepatocellular carcinoma (HCC)patients, and it was more significantly with ASNS. The mRNA levels of ASNS and ATF6 were positively correlated with each other. rs34050735 was associated with HCC in the case-control study and also an independent predictor of overall survival of HCC patients. PMID: 28629319
- our study demonstrated that ASNS had an important role in the growth of human lung cancer cells by inhibiting the proliferation and arresting cell cycle of lung cancer cells PMID: 27444726
- review of ASNS function, structure, mutations and roles in genetic disease and asparaginase drug resistance PMID: 29084849
- Transient knockdown of ASNS inhibited cell proliferation and colony formation in AGS and MKN-45 cells. Stable knockdown of ASNS conferred sensitivity to cisplatin in these cells. Depletion of ASNS and cisplatin treatment exerted synergistic effects on tumor growth in AGS xenografts. Moreover, ASNS was found to be up-regulated in human gastric cancer tissues compared with matched normal colon tissues. PMID: 27251594
- role of ASNS in melanoma cells A375 and human epidermoid carcinoma cell line A431 PMID: 25858017
- Polymorphisms of ASNS are associated with an increased risk of asparaginase-related complications in children with acute lymphoblastic leukemia. PMID: 24907114
- Data shows that high ASNS expression in NK/T cell lymphoma is correlated with worse clinicopathological features. PMID: 24913732
- ASNS deficiency is correlated with poor therapeutic response and worse survivals in patients with rectal cancer receiving neoadjuvant CCRT PMID: 24729124
- cell differentiation was enhanced when asparagine in the culture media was depleted by an addition of L-asparaginase, indicating that downregulation of asparagine synthetase gene expression PMID: 24398846
- ASNS and MMP19, along with eIF3a, are the sensitivity factors for cisplatin treatment and may serve as potential candidate molecular markers for predicting cisplatin sensitivity of advanced nasopharyngeal carcinoma. PMID: 23956056
- A conditional interaction between the ASNS polymorphism and an early response to chemotherapy among pediatric patients with acute lymphoblastic leukemia. PMID: 24268318
- study indicates that asparagine synthesis is essential for the development and function of the brain. PMID: 24139043
- expression of ASNS was higher in hepatocellular carcinoma tissues; expression of ASNS is an independent factor affecting the survival of HCC patients, and low ASNS expression in HCC was correlated with worse surgical outcomes PMID: 23764751
- Identifying the roles of ASNS in fetal development, tissue differentiation, and tumor growth may reveal that ASNS function extends beyond asparagine biosynthesis. PMID: 23403946
- Subcellular translocation of asparagine synthetase may play an important role in L-asparaginase resistance in leukemia cells. PMID: 21505976
- Activation of asparagine synthetase by amino acid limitation results in dynamic changes in genomic histone association. PMID: 22978410
- AsnS mRNA expression level in tumor cells reflects the sensitivity of cells to L-asparaginase. PMID: 20561401
- High expression of asparagine synthetase is associated with a poor outcome in ALL children. PMID: 19035175
- Role of Sp1 and Sp3 in the nutrient-regulated expression of the human asparagine synthetase gene PMID: 11867623
- ATF4 is a mediator of the nutrient-sensing response pathway that activates asparagine synthetase gene PMID: 11960987
- Genomic sequences necessary for transcriptional activation by amino acid deprivation of mammalian cells. activation of asparagine synthetase gene by endoplasmic reticulum stress. PMID: 12097650
- documentation of the comparison between CHOP and AS transcriptional control elements used by the amino acid pathway PMID: 12351626
- ATF3-FL and C/EBPbeta act as transcriptional suppressors for the ASNS gene to counterbalance the transcription rate activated by ATF4 following amino acid deprivation PMID: 15385533
- The Asparagine Synthetase), which is a housekeeping gene, is repressed and the promoting region of the gene is highly methylated. PMID: 15674423
- coorelation between methylation of ASNS and acute lymphoblastic leukemia PMID: 16598302
- results suggest that the presence of MELAS and NARP mtDNA mutations elicits upregulation of CHOP and ASNS genes through the elevation of ATF4 expression and its binding to the amino acid regulatory element and nutrient-sensing response element-1 PMID: 17276738
- RNA interference decreases capacity of mesenchymal stem cells to protect acute lymphoblastic leukemia cells from asparaginase, whereas enforced ASNS expression conferred enhanced protection. PMID: 17380207
- ASNS (asparagine synthetase) transcription activity was up-regulated in HepG2 cells treated with the UPR activators thapsigargin and tunicamycin PMID: 18840095
- These findings provide rationale for evaluation of ASNS protein expression as a predictive biomarker of clinical L-ASP activity in ovarian cancer. PMID: 18852115
- CHOP is a member of the transcription factor network that controls the stress-induced regulation of specific C/EBP-ATF4-containing genes, such as ASNS PMID: 18940792
- DNA polymorphism of a tandem repeated sequence is associated with the asparagine synthetase gene in acute lymphoblastic leukemia PMID: 19054556
- Declined asparagine synthetase mRNA expression and enhanced sensitivity to asparaginase in HL-60 cells committed to monocytic differentiation. PMID: 19414379
- ASNS protein expression predicts L-asparaginase chemotherapeutic activity in a large, diverse set of ovarian cancer cell lines. PMID: 18852115
- ASNS RNAi potentiates L-asparaginase chemotherapeutic activity in ovarian cancer cell lines from the NCI-60, and ASNS mRNA expression predicts L-asparaginase activity in the ovarian subpanel of the NCI-60. PMID: 17088436
顯示更多
收起更多
-
相關疾?。?/div>Asparagine synthetase deficiency (ASNSD)數據庫鏈接:
Most popular with customers
-
-
YWHAB Recombinant Monoclonal Antibody
Applications: ELISA, WB, IHC, IF, FC
Species Reactivity: Human, Mouse, Rat
-
Phospho-YAP1 (S127) Recombinant Monoclonal Antibody
Applications: ELISA, WB, IHC
Species Reactivity: Human
-
-
-
-
-















