ARC Antibody
-
中文名稱:ARC兔多克隆抗體
-
貨號:CSB-PA786870
-
規格:¥1100
-
圖片:
-
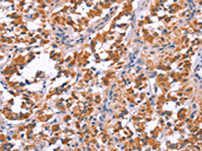
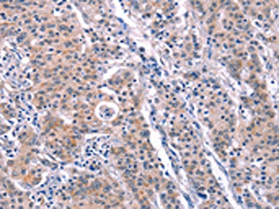
The image on the left is immunohistochemistry of paraffin-embedded Human thyroid cancer tissue using CSB-PA786870(ARC Antibody) at dilution 1/25, on the right is treated with fusion protein. (Original magnification: ×200)
-
The image on the left is immunohistochemistry of paraffin-embedded Human gastric cancer tissue using CSB-PA786870(ARC Antibody) at dilution 1/25, on the right is treated with fusion protein. (Original magnification: ×200)
-
Gel: 8%SDS-PAGE, Lysate: 40 μg, Lane: Human lymphoma tissue, Primary antibody: CSB-PA786870(ARC Antibody) at dilution 1/200, Secondary antibody: Goat anti rabbit IgG at 1/8000 dilution, Exposure time: 10 seconds
-
-
其他:
產品詳情
-
Uniprot No.:
-
基因名:ARC
-
別名:activity regulated cytoskeleton associated protein antibody; activity regulated gene 3.1 protein homolog antibody; Activity-regulated cytoskeleton-associated protein antibody; Activity-regulated gene 3.1 protein homolog antibody; Arc antibody; ARC/ARG3.1 antibody; ARC_HUMAN antibody; Arg 3.1 antibody; Arg3.1 antibody
-
宿主:Rabbit
-
反應種屬:Human,Mouse,Rat
-
免疫原:Fusion protein of Human ARC
-
免疫原種屬:Homo sapiens (Human)
-
標記方式:Non-conjugated
-
抗體亞型:IgG
-
純化方式:Antigen affinity purification
-
濃度:It differs from different batches. Please contact us to confirm it.
-
保存緩沖液:-20°C, pH7.4 PBS, 0.05% NaN3, 40% Glycerol
-
產品提供形式:Liquid
-
應用范圍:ELISA,WB,IHC
-
推薦稀釋比:
Application Recommended Dilution ELISA 1:2000-1:5000 WB 1:200-1:1000 IHC 1:50-1:200 -
Protocols:
-
儲存條件:Upon receipt, store at -20°C or -80°C. Avoid repeated freeze.
-
貨期:Basically, we can dispatch the products out in 1-3 working days after receiving your orders. Delivery time maybe differs from different purchasing way or location, please kindly consult your local distributors for specific delivery time.
-
用途:For Research Use Only. Not for use in diagnostic or therapeutic procedures.
相關產品
靶點詳情
-
功能:Master regulator of synaptic plasticity that self-assembles into virion-like capsids that encapsulate RNAs and mediate intercellular RNA transfer in the nervous system. ARC protein is released from neurons in extracellular vesicles that mediate the transfer of ARC mRNA into new target cells, where ARC mRNA can undergo activity-dependent translation. ARC capsids are endocytosed and are able to transfer ARC mRNA into the cytoplasm of neurons. Acts as a key regulator of synaptic plasticity: required for protein synthesis-dependent forms of long-term potentiation (LTP) and depression (LTD) and for the formation of long-term memory. Regulates synaptic plasticity by promoting endocytosis of AMPA receptors (AMPARs) in response to synaptic activity: this endocytic pathway maintains levels of surface AMPARs in response to chronic changes in neuronal activity through synaptic scaling, thereby contributing to neuronal homeostasis. Acts as a postsynaptic mediator of activity-dependent synapse elimination in the developing cerebellum by mediating elimination of surplus climbing fiber synapses. Accumulates at weaker synapses, probably to prevent their undesired enhancement. This suggests that ARC-containing virion-like capsids may be required to eliminate synaptic material. Required to transduce experience into long-lasting changes in visual cortex plasticity and for long-term memory. Involved in postsynaptic trafficking and processing of amyloid-beta A4 (APP) via interaction with PSEN1. In addition to its role in synapses, also involved in the regulation of the immune system: specifically expressed in skin-migratory dendritic cells and regulates fast dendritic cell migration, thereby regulating T-cell activation.
-
基因功能參考文獻:
- The ARC complex revealed association with verbal and total IQ in child. PMID: 28671113
- Study identified several rare mutations that reduced ARC expression in schizophrenia patients. Furthermore, DNA methylation of ARC in schizophrenia patients may be associated with a downregulation of ARC mRNA expression. These findings suggest that multiple rare ARC variants and DNA methylation of ARC might contribute to the pathogenesis of schizophrenia. PMID: 27464451
- missense mutations in TRIAD3 abolished the interaction of TRIAD3A with Arc, disrupting Arc ubiquitination, and consequently Arc degradation. PMID: 27995769
- ARC confers resistance to sunitinib in renal cell carcinoma through alternate angiogenesis pathways PMID: 26995091
- We tested whether ARC variants are associated with six measures of cognitive functioning in 670 healthy subjects in the Norwegian Cognitive NeuroGenetics (NCNG) by extracting data from its Genome-Wide Association Study (GWAS). PMID: 26516611
- this is the first report associating an ARC SNP with schizophrenia and supports recent large-scale GWAS findings implicating the ARC complex in schizophrenia risk PMID: 26474411
- we propose that the peculiar characteristics of Arc protein, such as its optimal expression after ongoing experience or familiar behavior could explain how familiarization and recognition memories are stored and preserved in the mammalian brain--{REVIEW} PMID: 26380114
- mRNA levels of ARC and SGK1 did not differ significantly between the schizophrenia or control samples. PMID: 26038830
- Arc is a flexible multi-domain protein that exists in monomeric and oligomeric forms, compatible with a diverse, hub-like role in plasticity-related processes. PMID: 25748042
- Degradation of Arc by clathrin-localized Triad3A regulates the availability of synaptic AMPA receptors. PMID: 24945773
- we report a novel ARC single nucleotide polymorphism associated with a reduced risk of developing Alzheimer disease. PMID: 22622366
- analysis of dynamic, multifaceted control of Arc synthesis during mAchR signaling PMID: 22584581
- Strong fibrinogen and Abeta deposition is demonstrated in small- and medium-sized vessels, but not in large cerebral arteries, of 24-month-old transgenic arcAbeta mice. PMID: 22302811
- Arc Expression Is Increased in medial frontal cortex of patients with Alzheimer's Disease. PMID: 22036569
- Arc/MS2 mRNA assembles into particles that move independently, bidirectionally, and intermittently. These observations identify several phases of Arc mRNA movement that serve as potential points for regulating Arc mRNA localization. PMID: 17120280
顯示更多
收起更多
-
亞細胞定位:Extracellular vesicle membrane; Lipid-anchor. Cell junction, synapse, postsynaptic cell membrane; Lipid-anchor. Cell junction, synapse. Cell junction, synapse, postsynaptic density. Early endosome membrane. Cell projection, dendrite. Cytoplasm, cytoskeleton. Cytoplasm, cell cortex. Cell projection, dendritic spine. Cytoplasmic vesicle, secretory vesicle, acrosome.
-
蛋白家族:ARC/ARG3.1 family
-
數據庫鏈接:
Most popular with customers
-
-
YWHAB Recombinant Monoclonal Antibody
Applications: ELISA, WB, IHC, IF, FC
Species Reactivity: Human, Mouse, Rat
-
Phospho-YAP1 (S127) Recombinant Monoclonal Antibody
Applications: ELISA, WB, IHC
Species Reactivity: Human
-
-
-
-
-















