APOBEC3G Antibody
-
中文名稱:APOBEC3G兔多克隆抗體
-
貨號:CSB-PA117483
-
規格:¥1100
-
圖片:
-
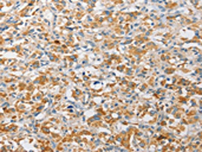
The image on the left is immunohistochemistry of paraffin-embedded Human thyroid cancer tissue using CSB-PA117483(APOBEC3G Antibody) at dilution 1/30, on the right is treated with fusion protein. (Original magnification: ×200)
-
The image on the left is immunohistochemistry of paraffin-embedded Human gastric cancer tissue using CSB-PA117483(APOBEC3G Antibody) at dilution 1/30, on the right is treated with fusion protein. (Original magnification: ×200)
-
Gel: 12%SDS-PAGE, Lysate: 40 μg, Lane 1-3: PC3 cells, Jurkat cells, Raji cells, Primary antibody: CSB-PA117483(APOBEC3G Antibody) at dilution 1/240, Secondary antibody: Goat anti rabbit IgG at 1/8000 dilution, Exposure time: 30 seconds
-
-
其他:
產品詳情
-
Uniprot No.:
-
基因名:APOBEC3G
-
別名:A3G antibody; ABC3G_HUMAN antibody; APOBEC related cytidine deaminase antibody; APOBEC related protein antibody; APOBEC-related cytidine deaminase antibody; APOBEC-related protein 9 antibody; APOBEC-related protein antibody; APOBEC3G antibody; Apolipoprotein B editing enzyme catalytic polypeptide like 3G antibody; Apolipoprotein B mRNA editing enzyme catalytic polypeptide 3G antibody; Apolipoprotein B mRNA editing enzyme catalytic polypeptide like 3G antibody; Apolipoprotein B mRNA editing enzyme catalytic subunit 3G antibody; apolipoprotein B mRNA editing enzyme cytidine deaminase antibody; apolipoprotein B mRNA editing enzyme; catalytic polypeptide-like antibody; ARCD antibody; ARP-9 antibody; ARP9 antibody; bK150C2.7 antibody; CEM-15 antibody; CEM15 antibody; deoxycytidine deaminase antibody; dJ494G10.1 antibody; DNA dC dU editing enzyme APOBEC 3G antibody; DNA dC->dU editing enzyme antibody; DNA dC->dU-editing enzyme APOBEC-3G antibody; EC 3.5.4. antibody; FLJ12740 antibody; MDS019 antibody; OTTHUMP00000028911 antibody; phorbolin-like protein antibody; phorbolin-like protein MDS019 antibody
-
宿主:Rabbit
-
反應種屬:Human
-
免疫原:Fusion protein of Human APOBEC3G
-
免疫原種屬:Homo sapiens (Human)
-
標記方式:Non-conjugated
-
抗體亞型:IgG
-
純化方式:Antigen affinity purification
-
濃度:It differs from different batches. Please contact us to confirm it.
-
保存緩沖液:-20°C, pH7.4 PBS, 0.05% NaN3, 40% Glycerol
-
產品提供形式:Liquid
-
應用范圍:ELISA,WB,IHC
-
推薦稀釋比:
Application Recommended Dilution ELISA 1:1000-1:2000 WB 1:200-1:1000 IHC 1:25-1:100 -
Protocols:
-
儲存條件:Upon receipt, store at -20°C or -80°C. Avoid repeated freeze.
-
貨期:Basically, we can dispatch the products out in 1-3 working days after receiving your orders. Delivery time maybe differs from different purchasing way or location, please kindly consult your local distributors for specific delivery time.
-
用途:For Research Use Only. Not for use in diagnostic or therapeutic procedures.
相關產品
靶點詳情
-
功能:DNA deaminase (cytidine deaminase) which acts as an inhibitor of retrovirus replication and retrotransposon mobility via deaminase-dependent and -independent mechanisms. Exhibits potent antiviral activity against Vif-deficient HIV-1. After the penetration of retroviral nucleocapsids into target cells of infection and the initiation of reverse transcription, it can induce the conversion of cytosine to uracil in the minus-sense single-strand viral DNA, leading to G-to-A hypermutations in the subsequent plus-strand viral DNA. The resultant detrimental levels of mutations in the proviral genome, along with a deamination-independent mechanism that works prior to the proviral integration, together exert efficient antiretroviral effects in infected target cells. Selectively targets single-stranded DNA and does not deaminate double-stranded DNA or single- or double-stranded RNA. Exhibits antiviral activity also against simian immunodeficiency viruses (SIVs), hepatitis B virus (HBV), equine infectious anemia virus (EIAV), xenotropic MuLV-related virus (XMRV) and simian foamy virus (SFV). May inhibit the mobility of LTR and non-LTR retrotransposons.
-
基因功能參考文獻:
- It has been shown that HCMV has evolved mutational robustness against IFN-beta by limiting the presence of APOBEC3G hot spots in essential open reading frames of its genome. PMID: 30045985
- We found that A3G regulates the expression of several cellular proteins, which influences the capacity of the host cell to replicate measles virus. PMID: 29925665
- Low APOBEC3G expression is associated with HIV-1 replication. PMID: 29677220
- study concludes that hA3G may restrict porcine endogenous retrovirus (PERV) by both deamination-dependent mechanisms and inhibition of DNA strand transfer during PERV reverse transcription. PMID: 29610985
- two stem-loop structures within the 5'-untranslated region of A3G mRNA are crucial for translation inhibition by Vif in HIV-infected cells, and most Vif alleles neutralize A3G translation efficiently PMID: 27996044
- DNA substrate selection by APOBEC3G PMID: 29596531
- these findings indicate that A3G is associated with cervical intraepithelial neoplasia , suggesting its important roles in human papillomavirus-induced pathophysiological processes such as cervical intraepithelial neoplasia progression and viral elimination PMID: 28590025
- These findings report genetic variants possibly associated with susceptibility to HIV-1 infection (CUL5 rs11212495, rs7103534, rs7117111) and partial viral load control (APOBEC3G rs2294367). PMID: 28302043
- analysis indicated that IL-6 also increased the expression of A3B through JAK1/STAT3 signaling pathway, which formed a positive feedback to maintain the continuous expression of A3B and IL-6, and thereby promoted the prolonged non-resolving inflammation PMID: 28646470
- The goal of this methods review is through example of our research on APOBEC3G, describe the application of cross-linking methods to characterize and quantify macromolecular interactions and their functional implications PMID: 26988126
- Our results identify APOBEC3G as a new candidate biomarker for tumor-infiltrating T lymphocytes and favorable prognoses for HGSOC. PMID: 27016308
- propose that APOBEC3G has the ability to induce T cell plasticity and modulate immune response. PMID: 27282578
- The results show for the first time the nuclear translocation of A3G in activated-proliferating CD4(+) T cells. PMID: 26987686
- Mouse mammary tumour virus only moderately susceptible to inhibition by the human APOBEC3G. PMID: 28809145
- Data suggest that heat shock proteins, in particular Hsp90, stimulate APOBEC3-mediated DNA deamination activity toward hepatitis B viral DNA, suggesting a potential physiological role in mutagenesis/carcinogenesis and viral innate immunity; Hsp90 stimulates deamination activity of APOBEC3G, APOBEC3B, and APOBEC3C during co-expression in human liver HepG2 cells. PMID: 28637869
- Study indicates that the A3G rs8177832 polymorphism is associated with a decreased risk of chronic hepatitis B virus infection and hepatocellular carcinoma (HCC), while the rs2011861 polymorphism is associated with an increased risk of HCC. PMID: 28127197
- APOBEC3G through its variants rs6001417, rs8177832, and rs35228531, in this study interferes with HIV-1/HBV co-infection could be due the HIV-1 mono-infection in a population from Burkina Faso. PMID: 27449138
- APOBEC3DE binds to itself, APOBEC3F, and APOBEC3G and antagonizes APOBEC3F and, to a lesser extent, APOBEC3G restriction of hepatitis B virus replication. PMID: 27289067
- cyclin F functions as an intrinsic cellular regulator of HIV-1 Vif and has a negative regulatory effect on the maintenance of viral infectivity by restoring APOBEC3G expression. Gene Indexing Project Expand All Collapse All PMID: 28184007
- These results indicate that APOBEC3 proteins can be copackaged and can comutate the same genomes, and can cooperate to inhibit HIV replication. PMID: 27439715
- Here, the authors show that APOBEC3G polyubiquitination is essential for its HIV-1 vif-induced degradation. PMID: 27297094
- DNA mutagenic activity and capacity for HIV-1 restriction of the cytidine deaminase APOBEC3G depend on whether DNA or RNA binds to tyrosine 315 PMID: 28381554
- The findings suggest that APOBEC3G polymorphisms alone may not have significant predictive power for inferring genetic susceptibility to vertical transmission of HIV in children perinatally exposed to HIV PMID: 27245545
- APOBEC3G binds viral RNA and DNA in vitro; this binding may constitute the basis of APOBEC3G antiviral activity. PMID: 28029777
- an APOBEC3F/APOBEC3G hetero-oligomer can form that has unique properties compared to each APOBEC3 alone. This hetero-oligomer has increased efficiency of virus hypermutation, raising the idea that we still may not fully realize the antiviral mechanisms of endogenous APOBEC3 enzymes. Hetero-oligomerization may be a mechanism to increase their antiviral activity in the presence of Vif. PMID: 27881650
- using novel human A3G transgenic mouse models that express varying levels of A3G as is seen in humans, this study clearly demonstrates that polymorphic vif alleles can have differential anti-A3G activity in vivo PMID: 27363431
- thousands of mutation clusters introduced along primate evolution which exhibit features that strongly fit the known patterns of APOBEC3G mutagenesis. These results suggest that APOBEC3G-induced mutations have contributed to the evolution of all genomes PMID: 27056836
- the effect of APOBEC3G over-expression upon AATF gene expression, was examined. PMID: 27611213
- The results disclosed no association between the single nucleotide polymorphisms of APOBEC3G and susceptibility to HIV-1, or effects of these polymorphisms on the CD4(+) T cell count or clinical phase of disease. PMID: 27730383
- APOBEC-3G serves as a suppressor of cervical cancer cell proliferation and invasion. PMID: 26722417
- Findings support a role for APOBEC3G/F proteins in the generation of plasma drug-resistant minority human immunodeficiency virus type 1 variants (DRMVs). However, this role seems to be limited to a small subset of mutations and does not explain most of the DRMVs evaluated. PMID: 26482266
- STAT3 plays an important role in IFN-induced A3G production, and HBsAg may correlated with poor response to IFN treatment PMID: 27003258
- Atomic Force spectroscopy revealed two distinct binding modes by which A3G interacts with ssDNA. One mode requires sequence specificity, as demonstrated by stronger and more stable complexes with deaminase specific ssDNA than with nonspecific ssDNA. PMID: 26503602
- results demonstrate that the up-regulation of A3G in pancreatic cancer cells induces anoikis resistance, and they provide novel insight into the mechanism by which A3G affects the malignant behavior of pancreatic cancer cells PMID: 26178819
- Data show that restriction factor APOBEC3G (A3G) is susceptible to degradation by the HIV-1 Vif protein, whereas restriction factor APOBEC3B (A3B) is resistant to Vif. PMID: 26668372
- This study demonstrates an association of rs6001417, rs8177832, and rs35228531 of APOBEC3G with HIV-1 infection in a population from Burkina Faso. PMID: 26741797
- Results were consistent with Pokeweed antiviral protein activity inhibiting translation of Vif, which in turn reduces the effect of Vif to inactivate the host restriction factor APOBEC3G. PMID: 26275799
- USF1 gene can take part in basal transcription regulation of the human A3G gene in hepatocyte, and the identified E-box represented a binding site for the USF1. PMID: 26772882
- Incomplete APOBEC3G/F neutralization by a single Vif amino acid substitution. PMID: 26055363
- This study identifies a new cellular complex, HDAC6/A3G, involved in the autophagic degradation of Vif, and suggests that HDAC6 represents a new antiviral factor capable of controlling HIV-1 infectiveness by counteracting Vif and its functions. PMID: 26105074
- Human APOBEC3G C-terminal directly binds hepatitis C virus non-structural protein NS3 at its C-terminus. PMID: 25811715
- The data predicts a mechanistic model of RNA inhibition of ssDNA binding to APOBEC3G in which competitive and allosteric interactions determine RNA-bound versus ssDNA-bound conformational states. PMID: 26424853
- This study showed a high level of APOBEC3F/3G editing in HIV-2 sequences from antiretroviral-naive patients. PMID: 25985400
- upregulated in the skin of Lichen planus patients PMID: 25384438
- APOBEC3G is more efficient at mutating retroviral DNA than APOBEC3F. PMID: 26048885
- A3G and A3F inhibit porcine endogenous retrovirus replication. PMID: 26016442
- These results highlight that the N-terminal domain of the full length A3G protein has an important influence on its DNA sequence specificity and mutator activity. PMID: 25974865
- Vif continues to protect HIV-1 from the deleterious effects of APOBEC3G, even after packaging of APOBEC3G has occurred. PMID: 25304135
- The rather indiscriminate RNA binding characteristics of A3G and A3F promote functionality by enabling recruitment into a wide range of retroviral particles whose packaged RNA genomes comprise divergent sequences. PMID: 25590131
- It may be concluded hepatitis B virus up-regulates HBD-3 and A3G expression in vivo and in vitro in placental trophoblast and lack of this up-regulation is possibly associated with intrauterine transmission of hepatitis B. PMID: 25196417
顯示更多
收起更多
-
亞細胞定位:Cytoplasm. Nucleus. Cytoplasm, P-body. Note=Mainly cytoplasmic. Small amount are found in the nucleus. During HIV-1 infection, virion-encapsidated in absence of HIV-1 Vif.
-
蛋白家族:Cytidine and deoxycytidylate deaminase family
-
組織特異性:Expressed in spleen, testes, ovary and peripheral blood leukocytes and CD4+ lymphocytes. Also expressed in non-permissive peripheral blood mononuclear cells, and several tumor cell lines; no expression detected in permissive lymphoid and non-lymphoid cell
-
數據庫鏈接:
Most popular with customers
-
-
YWHAB Recombinant Monoclonal Antibody
Applications: ELISA, WB, IHC, IF, FC
Species Reactivity: Human, Mouse, Rat
-
Phospho-YAP1 (S127) Recombinant Monoclonal Antibody
Applications: ELISA, WB, IHC
Species Reactivity: Human
-
-
-
-
-















