APEX1 Antibody
-
中文名稱:APEX1兔多克隆抗體
-
貨號:CSB-PA242845
-
規格:¥1100
-
圖片:
-
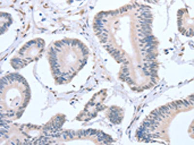
The image on the left is immunohistochemistry of paraffin-embedded Human colon cancer tissue using CSB-PA242845(APEX1 Antibody) at dilution 1/20, on the right is treated with fusion protein. (Original magnification: ×200)
-
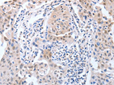
The image on the left is immunohistochemistry of paraffin-embedded Human lung cancer tissue using CSB-PA242845(APEX1 Antibody) at dilution 1/20, on the right is treated with fusion protein. (Original magnification: ×200)
-
Gel: 12%SDS-PAGE, Lysate: 40 μg, Lane 1-6: Hela cells, human liver cancer tissue, Raji cells, Jurkat cells, 293T cells, PC3 cells, Primary antibody: CSB-PA242845(APEX1 Antibody) at dilution 1/450, Secondary antibody: Goat anti rabbit IgG at 1/8000 dilution, Exposure time: 1 minute
-
-
其他:
產品詳情
-
Uniprot No.:
-
基因名:
-
別名:AP endonuclease 1 antibody; AP endonuclease class I antibody; AP lyase antibody; APE 1 antibody; APE antibody; APE-1 antibody; APEN antibody; APEX 1 antibody; APEX antibody; APEX nuclease (multifunctional DNA repair enzyme) 1 antibody; Apex nuclease 1 antibody; APEX nuclease antibody; APEX1 antibody; APEX1_HUMAN antibody; Apurinic endonuclease antibody; Apurinic-apyrimidinic endonuclease 1 antibody; Apurinic/apyrimidinic (abasic) endonuclease antibody; Apurinic/apyrimidinic endonuclease 1 antibody; Apurinic/apyrimidinic exonuclease antibody; APX antibody; BAP1 antibody; Deoxyribonuclease (apurinic or apyrimidinic) antibody; DNA (apurinic or apyrimidinic site) lyase antibody; DNA-(apurinic or apyrimidinic site) lyase; mitochondrial antibody; EC 4.2.99.18 antibody; HAP 1 antibody; HAP1 antibody; Human Apurinic endonuclease 1 antibody; MGC139790 antibody; Multifunctional DNA repair enzyme antibody; Redox factor 1 antibody; Redox factor-1 antibody; REF 1 antibody; REF 1 protein antibody; REF-1 antibody; REF1 antibody; REF1 protein antibody
-
宿主:Rabbit
-
反應種屬:Human,Mouse,Rat
-
免疫原:Fusion protein of Human APEX1
-
免疫原種屬:Homo sapiens (Human)
-
標記方式:Non-conjugated
-
抗體亞型:IgG
-
純化方式:Antigen affinity purification
-
濃度:It differs from different batches. Please contact us to confirm it.
-
保存緩沖液:-20°C, pH7.4 PBS, 0.05% NaN3, 40% Glycerol
-
產品提供形式:Liquid
-
應用范圍:ELISA,WB,IHC
-
推薦稀釋比:
Application Recommended Dilution ELISA 1:2000-1:5000 WB 1:500-1:2000 IHC 1:15-1:50 -
Protocols:
-
儲存條件:Upon receipt, store at -20°C or -80°C. Avoid repeated freeze.
-
貨期:Basically, we can dispatch the products out in 1-3 working days after receiving your orders. Delivery time maybe differs from different purchasing way or location, please kindly consult your local distributors for specific delivery time.
-
用途:For Research Use Only. Not for use in diagnostic or therapeutic procedures.
相關產品
靶點詳情
-
功能:Multifunctional protein that plays a central role in the cellular response to oxidative stress. The two major activities of APEX1 are DNA repair and redox regulation of transcriptional factors. Functions as a apurinic/apyrimidinic (AP) endodeoxyribonuclease in the DNA base excision repair (BER) pathway of DNA lesions induced by oxidative and alkylating agents. Initiates repair of AP sites in DNA by catalyzing hydrolytic incision of the phosphodiester backbone immediately adjacent to the damage, generating a single-strand break with 5'-deoxyribose phosphate and 3'-hydroxyl ends. Does also incise at AP sites in the DNA strand of DNA/RNA hybrids, single-stranded DNA regions of R-loop structures, and single-stranded RNA molecules. Has a 3'-5' exoribonuclease activity on mismatched deoxyribonucleotides at the 3' termini of nicked or gapped DNA molecules during short-patch BER. Possesses a DNA 3' phosphodiesterase activity capable of removing lesions (such as phosphoglycolate) blocking the 3' side of DNA strand breaks. May also play a role in the epigenetic regulation of gene expression by participating in DNA demethylation. Acts as a loading factor for POLB onto non-incised AP sites in DNA and stimulates the 5'-terminal deoxyribose 5'-phosphate (dRp) excision activity of POLB. Plays a role in the protection from granzymes-mediated cellular repair leading to cell death. Also involved in the DNA cleavage step of class switch recombination (CSR). On the other hand, APEX1 also exerts reversible nuclear redox activity to regulate DNA binding affinity and transcriptional activity of transcriptional factors by controlling the redox status of their DNA-binding domain, such as the FOS/JUN AP-1 complex after exposure to IR. Involved in calcium-dependent down-regulation of parathyroid hormone (PTH) expression by binding to negative calcium response elements (nCaREs). Together with HNRNPL or the dimer XRCC5/XRCC6, associates with nCaRE, acting as an activator of transcriptional repression. Stimulates the YBX1-mediated MDR1 promoter activity, when acetylated at Lys-6 and Lys-7, leading to drug resistance. Acts also as an endoribonuclease involved in the control of single-stranded RNA metabolism. Plays a role in regulating MYC mRNA turnover by preferentially cleaving in between UA and CA dinucleotides of the MYC coding region determinant (CRD). In association with NMD1, plays a role in the rRNA quality control process during cell cycle progression. Associates, together with YBX1, on the MDR1 promoter. Together with NPM1, associates with rRNA. Binds DNA and RNA.
-
基因功能參考文獻:
- Study identified that APEX1 rs2307486 variants conferred an increased risk of mercaptopurine-related early onset neutropenia in pediatric acute lymphoblastic leukemia. PMID: 28882023
- The redox domain of APE1 is necessary for the active mode of stimulation of DNA glycosylases (OGG1, MPG, MBD4). APE1-catalyzed oligomerization along DNA induces helix distortions, which in turn enable conformational selection and stimulation of DNA glycosylases. PMID: 29475157
- APE1 removes 3' mismatches and DNA damage by placing the 3' group within the intra-helical DNA cavity via a non-base flipping mechanism. PMID: 29374164
- This study identified 2837 genes whose expression is significantly changed following APE1 knockdown in pancreatic ductal adenocarcinoma. PMID: 28922540
- MCP- and CP-induced oxidative stress alters APE1-dependent BER-pathway and also mediates cell survival signalling mechanisms via APE1 regulation, thereby promoting lung cancer cell survival and proliferation. PMID: 28887667
- Study uncovered a novel interaction between APE1 and PRDX1, which existed in both the nuclear and cytosolic fractions. The loss of APE1 interaction with PRDX1 promotes APE1 redox function to activate binding of the transcription factor NF-kappaB onto the promoter of IL-8 involved in cancer invasion and metastasis, resulting in its upregulation. PMID: 27388124
- APE1 contributes to the protective effects of resveratrol against neonatal hypoxicischemic brain injuries, and suggest that DNA repair enzymes, including APE1, may be a unique strategy for neuroprotection against this disease. PMID: 29039534
- Studied the association between single-nucleotide polymorphism of apurinic/apyrimidinic endonuclease 1 (APEX1) rs1760944 and risk of nasopharyngeal carcinoma in a Chinese population. PMID: 28464393
- this study demonstrates a novel role of extracellular APE1 in IL-6-dependent cellular responses. PMID: 28751279
- Our results showed that DNA base excision repair proteins APE-1 and XRCC-1 are overexpressed in tongue squamous cell carcinoma and that XRCC-1 is associated with better clinical staging and nodal status. PMID: 27925687
- For the first time, this work identifies Ref-1 as a novel molecular effector in T-ALL and demonstrates that Ref-1 redox inhibition results in potent inhibition of leukemia T cells, including relapsed T-ALL. These data also support E3330 as a specific Ref-1 small-molecule inhibitor for leukemia PMID: 28446640
- Apurinic/apyrimidinic endonuclease 1 is downregulated in Pleomorphic Adenomas of salivary gland and overexpressed in Carcinoma ex Pleomorphic Adenomas, the increased expression of this protein is associated with a more aggressive behavior in Carcinoma ex Pleomorphic Adenomas, which suggests that this protein may represent a prognostic biomarker in the studied Salivary Gland Tumors. PMID: 28523411
- our study demonstrates that elevation of acetylation level of APE1 in tumor could be a novel mechanism by which cells handle the elevated levels of DNA damages in response to genotoxic stress and maintain sustained proliferation. PMID: 27655688
- The chemotherapy-naive serum APE1 level, which correlated with its tissue level inversely associated with progression-free survival of platinum-containing doublet chemotherapy, whereas post-treatment serum APE1 level was inversely associated with overall survival. PMID: 27813497
- HOGG1 Ser326Cys, APE1 Asp148Glu and XRCC1 Arg399Gln polymorphisms are correlated with the risk and clinicopathological features of PACG. PMID: 28396513
- Through the characterization of the interactomes of APE1 with RNA and other proteins, we demonstrate here a role for APE1 in pri-miRNA processing and stability via association with the DROSHA-processing complex during genotoxic stress. We also show that endonuclease activity of APE1 is required for the processing of miR-221/222 in regulating expression of the tumor suppressor PTEN. PMID: 28986522
- the APEX1 Asp148Glu polymorphism might be important in stimulating the development of prostate cancer rather than its invasiveness in various populations, especially for Asians. PMID: 27248666
- our data reinforce the concept that non-synonymous APE1 variants present in the human population may act as cancer susceptibility alleles PMID: 27050370
- Data suggest that APE1 could be a potential target for NSCLC metastasis and AT101 is a potent inhibitor in further treatment of NSCLC patients. PMID: 27074577
- Our findings suggest that constitutive overexpression of APE1 in esophageal adenocarcinoma may be an adaptive pro-survival mechanism that protects against the genotoxic lethal effects of bile reflux episodes. PMID: 26934647
- our study demonstrates that increased acetylation levels of APE1 in tumor cells inhibit the limited N-terminal proteolysis of APE1 and thereby maintain the functions of APE1 to promote tumor cells' sustained proliferation and survival. PMID: 26981776
- Data indicate that apurinic/apyrimidinic endonuclease-1 (APE1) efficiently process an abasic ribonucleoside 5'-monophosphates (rNMPs) site in DNA and have weak endoribonuclease and 3'-exonuclease activities on r8oxoG substrate. PMID: 28977421
- These results suggested that the expression of APE1 was an important basis for the maintenance of poly (ADP-ribose) polymerase 1, and the deletion of APE1 may be related to the resistance of triple-negative breast cancer to olaparib. PMID: 29064327
- Alleles in mitochondrial transcription factor A (TFAM) and AP endonuclease 1 (APE1) are associated with reduced cognitive performance. PMID: 28242328
- Study shows that TRX1 and APEX1 expressions are up regulated in new Multiple Sclerosis (MS) patients compared to controls and might be implicated in pathogenesis of the disease. PMID: 28844667
- Ku antigen displays the AP lyase activity on a certain type of double-stranded DNA. PMID: 27129632
- study demonstrates that APE1 overexpression is an independent prognostic marker, but exclusively in ERG-negative prostate cancers PMID: 28467610
- These results suggest that degradation of endogenous APE1 by Parkin occur when cells are stressed to activate Parkin, and imply a role of Parkin in maintaining the quality of APE1, and loss of Parkin may contribute to elevated APE1 levels in glioblastoma. PMID: 27148961
- The efficiency of AP site cleavage by APE1 was affected by the benzo[a]pyrenyl-DNA adduct (BPDE-dG) in the opposite strand. PMID: 28065385
- Enforced expression of hOGG1 and hAPE significantly protected thalamic neurons and motor neurons from retrograde apoptosis induced by target deprivation and axotomy. PMID: 27364693
- This study supported the hypothesis that the APE1 rs1760944 T>G polymorphism may be associated with N,N-dimethylformamide -induced abnormal liver function in the Chinese Han population. PMID: 27463724
- Repair of the uracil adjacent to cisplatin ICLs proceeds through the classical BER pathway, highlighting the importance of specific proteins in this redundant pathway. Removal of uracil is followed by the generation of an abasic site and subsequent cleavage by AP endonuclease 1 (APE1). Inhibition of either the repair or redox domain of APE1 gives rise to cisplatin resistance. PMID: 28110804
- Overexpressed APE1 promotes ovarian cancer growth and metastasis. Downregulated APE1 could suppress cell activity via AP-1 pathway, suggesting that APE1 gene may be a potential therapeutic target for ovarian cancer. PMID: 27553367
- Our results indicate that the tumor-associated APE1 R237C variant is a possible susceptibility factor, but not likely a driver of cancer cell phenotypes. PMID: 28181292
- Association of the APE1 single nucleotide polymorphism rs3136820 and the levels of abasic sites in human leukocytes derived from breast cancer patients PMID: 27539671
- APE1 acetylation is an integral part of the base excision repair pathway for maintaining genomic integrity. PMID: 27994014
- Effects of monovalent (K(+)) and divalent (Mg(2+), Mn(2+), Ca(2+), Zn(2+), Cu(2+), and Ni(2+)) metal ions on DNA binding and catalytic stages of APEX1 were studied. PMID: 27063150
- Individuals with the variant TG genotypes had a significantly increased risk of female infertility. Whereas, a significant association between 1349T > G polymorphism and female infertility risk was not observed. PMID: 26790616
- APE1 Accelerates turnover of OGG1 by preventing retrograde binding to the abasic-site product. PMID: 28345889
- The results demonstrate a crucial role of APE1 3' to 5' exonuclease activity in combating mutations in CpG clusters caused by an intermediate of DNA demethylation during base excision repair. PMID: 27183823
- In an in vivo model of restenosis, which is characterized by oxidative stress, endothelial activation, and smooth muscle cell proliferation, Thioredoxin-1 protein levels are reduced in the endothelium of the carotids. APEX1 acts anti-apoptotic in endothelial cells. This anti-apoptotic effect depends on the first 20 amino acids of APEX1 PMID: 27835927
- While DNA conformational alteration is negligible, APE1 enzyme shows characteristic changes in the alpha helix and beta strand ratio after incubation with G. lucidum extract. The enhanced reactivity of APE1 at the molecular level in the presence of G. lucidium is attributed to this effect. PMID: 27240987
- These results strongly indicate that anti-inflammatory effects in TNF-alpha-stimulated endothelial cells by acetylation are tightly linked to secreted APE1/Ref-1, which inhibits TNF-alpha binding to TNFR1 by reductive conformational change, with suggestion as an endogenous inhibitor of vascular inflammation. PMID: 26964514
- Polymorphism in XRCC1 and APE1 gene is associated with an increased risk of COPD. PMID: 27107596
- Data indicate conserved amino acid residues in the nucleotide incision repair (NIR)-specific enzymes of human APE1 and Bacillus subtilis ExoA.. PMID: 27343627
- Based on these results, we conclude that the APEX gene polymorphism Ile64Val may be associated with an increased risk of colorectal cancer. PMID: 26146106
- Serum levels of APE1/Ref-1 in bladder cancer patients were significantly elevated compared to those of the control group. Serum APE1/Ref-1 levels are associated with tumor stage, grade, muscle invasion, and recurrence. PMID: 25672588
- OGG1 and APE1 polymorphisms are associated with stage- and sex-specific risk of colorectal carcinoma in the Taiwanese population. PMID: 27022219
- Our study suggested that the APE1 protein is important for the proliferation and growth of ovarian cancer cells. APE1 silencing might enhance drug-sensitivity, and thus APE1 might serve as a novel anti-OC therapeutic target. PMID: 27802207
- Our study identified that the APE1 -656 T>G polymorphism may contribute to the susceptibility of noise-induced hearing loss. PMID: 26507517
顯示更多
收起更多
-
亞細胞定位:Nucleus. Nucleus, nucleolus. Nucleus speckle. Endoplasmic reticulum. Cytoplasm.; [DNA-(apurinic or apyrimidinic site) endonuclease, mitochondrial]: Mitochondrion.
-
蛋白家族:DNA repair enzymes AP/ExoA family
-
數據庫鏈接:
Most popular with customers
-
-
YWHAB Recombinant Monoclonal Antibody
Applications: ELISA, WB, IHC, IF, FC
Species Reactivity: Human, Mouse, Rat
-
Phospho-YAP1 (S127) Recombinant Monoclonal Antibody
Applications: ELISA, WB, IHC
Species Reactivity: Human
-
-
-
-
-















