ANPEP Antibody
-
中文名稱:ANPEP兔多克隆抗體
-
貨號:CSB-PA001827LA01HU
-
規格:¥440
-
圖片:
-
Western Blot
Positive WB detected in: Mouse kidney tissue
All lanes: ANPEP antibody at 3.4µg/ml
Secondary
Goat polyclonal to rabbit IgG at 1/50000 dilution
Predicted band size: 110 kDa
Observed band size: 110 kDa -
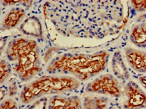
Immunohistochemistry of paraffin-embedded human kidney tissue using CSB-PA001827LA01HU at dilution of 1:100
-
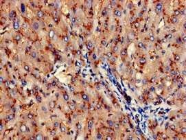
Immunohistochemistry of paraffin-embedded human liver tissue using CSB-PA001827LA01HU at dilution of 1:100
-
Immunofluorescent analysis of HepG2 cells using CSB-PA001827LA01HU at dilution of 1:100 and Alexa Fluor 488-congugated AffiniPure Goat Anti-Rabbit IgG(H+L)
-
-
其他:
產品詳情
-
產品描述:
ANPEP polyclonal antibody is produced by immunizing rabbits with a recombinant protein corresponding to the amino acids 34-219 of human ANPEP protein. This ANPEP antibody is purified from serum using protein G affinity chromatography. Its purity is 95%+. It is supplied as a liquid solution in a buffer containing stabilizers. The specificity and sensitivity of this ANPEP polyclonal antibody for human and mouse ANPEP protein have been verified in ELISA, WB, IHC, and IF applications.
ANPEP protein mainly cleaves amino-terminal amino acids from peptide substrates, which is important for the breakdown of proteins and peptides in various biological processes, including digestion, protein catabolism, and the generation of bioactive peptides. ANPEP plays a role in several physiological and pathological processes, including angiogenesis, tumor growth, and inflammation. ANPEP also serves as the cellular receptor for several viruses, including the human coronavirus 229E.
-
產品名稱:Rabbit anti-Homo sapiens (Human) ANPEP Polyclonal antibody
-
Uniprot No.:
-
基因名:
-
別名:Alanyl (membrane) aminopeptidase antibody; Alanyl aminopeptidase antibody; Aminopeptidase M antibody; Aminopeptidase N antibody; AMPN_HUMAN antibody; ANPEP antibody; AP M antibody; AP N antibody; AP-M antibody; AP-N antibody; APN antibody; CD 13 antibody; CD13 antibody; CD13 antigen antibody; gp150 antibody; hAPN antibody; LAP 1 antibody; LAP1 antibody; Microsomal aminopeptidase antibody; Myeloid plasma membrane glycoprotein CD13 antibody; p150 antibody; PEPN antibody
-
宿主:Rabbit
-
反應種屬:Human, Mouse
-
免疫原:Recombinant Human Aminopeptidase N protein (34-219AA)
-
免疫原種屬:Homo sapiens (Human)
-
標記方式:Non-conjugated
本頁面中的產品,ANPEP Antibody (CSB-PA001827LA01HU),的標記方式是Non-conjugated。對于ANPEP Antibody,我們還提供其他標記。見下表:
-
克隆類型:Polyclonal
-
抗體亞型:IgG
-
純化方式:>95%, Protein G purified
-
濃度:It differs from different batches. Please contact us to confirm it.
-
保存緩沖液:Preservative: 0.03% Proclin 300
Constituents: 50% Glycerol, 0.01M PBS, pH 7.4 -
產品提供形式:Liquid
-
應用范圍:ELISA, WB, IHC, IF
-
推薦稀釋比:
Application Recommended Dilution WB 1:500-1:5000 IHC 1:20-1:200 IF 1:50-1:200 -
Protocols:
-
儲存條件:Upon receipt, store at -20°C or -80°C. Avoid repeated freeze.
-
貨期:Basically, we can dispatch the products out in 1-3 working days after receiving your orders. Delivery time maybe differs from different purchasing way or location, please kindly consult your local distributors for specific delivery time.
-
用途:For Research Use Only. Not for use in diagnostic or therapeutic procedures.
相關產品
靶點詳情
-
功能:Broad specificity aminopeptidase which plays a role in the final digestion of peptides generated from hydrolysis of proteins by gastric and pancreatic proteases. Also involved in the processing of various peptides including peptide hormones, such as angiotensin III and IV, neuropeptides, and chemokines. May also be involved the cleavage of peptides bound to major histocompatibility complex class II molecules of antigen presenting cells. May have a role in angiogenesis and promote cholesterol crystallization. May have a role in amino acid transport by acting as binding partner of amino acid transporter SLC6A19 and regulating its activity.; (Microbial infection) Acts as a receptor for human coronavirus 229E/HCoV-229E. In case of human coronavirus 229E (HCoV-229E) infection, serves as receptor for HCoV-229E spike glycoprotein.; (Microbial infection) Mediates as well Human cytomegalovirus (HCMV) infection.
-
基因功能參考文獻:
- Crosslinking of CD13 by mAb C or E is required to inhibit adhesion, as monovalent Fab fragments are not sufficient. Thus, C and E antibodies recognize a distinct epitope on CD13, and binding to this epitope interferes with both CD13-mediated cell adhesion and enzymatic activity. PMID: 29789790
- Data indicate the expression of aminopeptidase N (CD13) in small cell lung cancer (SCLC) tumor and suggest pre-therapeutic CD13 analysis for testing as investigational predictive biomarker for patient selection. PMID: 29110838
- CD13 may be a marker for onychofibroblasts within nail matrix onychodermis PMID: 28708295
- This is the first report presenting CD13 and FLI1 as important mediators of resistance to BRAF inhibition with potential as drug targets in BRAF inhibitors refractory melanoma. PMID: 29048432
- CD13 enrichment was correlated with early recurrences, and poor prognosis in patients with hepatocellular carcinoma. PMID: 29145632
- Patients with acute myeloid leukemia developing leukemia-specific acute hypoxic respiratory failure within 15 days had higher CD13 expression by leukemic cells. PMID: 28323433
- Data suggest that CNGRC-GG-D(KLAKLAK)2 peptide actively participates in the downregulation of aminopeptidase N/CD13. PMID: 26655501
- CGRP and IL-4 positively regulated APN/CD13 expression and activity in psoriatic fibroblasts. PMID: 28387421
- this study shows that CD13 significantly contributes to tissue infiltration by monocytic myeloid-derived suppressor cells and monocytes, thereby contributing to the pathogenesis of hepatic inflammation PMID: 28739875
- data reveal a novel role for CD13 in inducing homotypic aggregation in neutrophils, which results in a transmigration deficiency; this mechanism may be relevant to neutrophil micro-aggregation in vivo PMID: 27467268
- CD13 expression is associated with hepatoblastoma invasiveness and could be a novel prognostic marker for hepatoblastoma. PMID: 25682862
- Data indicate that fluorogenic substrates can be successfully used to identify aminopeptidase N and to measure their activity in cell lysates. PMID: 26449746
- Data show that CD13 anntigen and receptor tyrosine kinase-like orphan receptor 2 (ROR2) identify a cardiac lineage precursor pool that is capable of successful engraftment into the porcine heart. PMID: 26771355
- The substrate Angiotensin II, the enzymes aminopeptidases-A, B, M as well as IRAP were detected in the jejunal mucosa. PMID: 26311161
- 14-3-3epsilon might directly bind to CD13, which transmits its signal in chondrocytes to induce a catabolic phenotype similar to that observed in osteoarthritis. PMID: 26208633
- Alanyl aminopeptidase expression is confined to mature zymogenic chief cells and its expression is lost en route to metaplasia. PMID: 26514774
- Aminopeptidase N activity in tissue and plasma from colorectal cancer patients is an independent prognostic factor of 5-year survival. PMID: 25929234
- Expression of APN/CD13 is a potential unfavorable factor to predict the efficacy and prognosis of post-operative chemotherapy in NSCLC patients, especially in lung adenocarcinoma patients. PMID: 25879366
- We identified a unique HCC line, Li-7, which not only shows heterogeneity for a CD13(+) CSC hierarchy, but also undergoes a "population change" upon CSC differentiation PMID: 25885470
- This study permitted the identification of the novel human LAP1C isoform and partially unraveled the molecular basis of LAP1 regulation. PMID: 25461922
- Together these experiments reveal potential enzymatic and signalling roles for APN in osteosarcoma and establish a starting point for an in-depth analysis of the role of APN in regulating invasiveness. PMID: 25340499
- Postulate that the interaction of ADAM17 with CD13 and its downregulation following CD13 engagement has important implications in acute myeloid leukemia cells. PMID: 25246708
- CD13 could play an important role as a T cell chemoattractant, in a positive feedback loop that contributes to rheumatoid arthritis synovitis. PMID: 25219368
- This study showed that CD13 and CD33 expression associated with poor prognosis in patients with MM implicating the need of analysis of these markers in MM diagnosis. PMID: 24991573
- Aberrant expression of CD13 in >/= 5% of blasts of patients with SR-aALL is an adverse prognostic factor, delineating a subgroup of patients with SR-aALL that should be considered for more aggressive treatment. PMID: 24411984
- Molecular mechanisms regulating CD13-mediated adhesion. PMID: 24627994
- CD13 participates in phagocytic processes in dendritic cells and macrophages. PMID: 24063007
- Antigen CD13, by influencing the adipogenic potential of human amniotic mesenchymal stem cells, could be an in utero risk factor for obesity. PMID: 23488598
- NGR-LDP could bind to CD13-expressing HT-1080 cells. PMID: 23206754
- results indicate that APN/CD13 could be an important diagnostic biomarker and therapeutic target for Malignant fibrous histiocytoma . PMID: 23677132
- Activities of aminopeptidases N and B and insulin-regulated aminopeptidase could be useful non-invasive biomarkers of Alzheimer's disease from the earliest stages. PMID: 23500679
- High CD13 expression is associated with Philadelphia chromosome negative B cell acute lymphoblastic leukemia. PMID: 23643324
- results showed that ANPEP downregulation in prostate cancer (PC) was frequently associated with aberrant promoter hypermethylation, suggesting that epigenetic mechanisms are involved in silencing of ANPEP in PC cells PMID: 23322201
- CD13 expression plays a role in supporting the survival of cancer stem cells and that there is an epithelial-mesenchymal transition-associated reduction in reactive oxygen species elevation. PMID: 21879266
- The hAPN crystal structure provides the first example of a dimeric M1 family member and the observed structural features provide novel insights into the mechanism of peptide processing and signal transduction. PMID: 22932899
- Inhibiting CD13 with bestatin may enhance the differentiation-inducing activity of all-trans-retinoic acid in NB4 cells. PMID: 22040956
- Coexpression of APN/CD13 correlated significantly with tumor type and neoangiogenesis in breast cancer. PMID: 21611838
- Myeloid cell surface peptidase CD13 is highly and specifically expressed on a subset of dendritic cells (DCs) responsible for cross-presentation: transgenic CD8+ murine splenic DCs. PMID: 22544935
- The overall effects of APN on the expression of fibronectin, tenascin-C, and MMPs in fibroblasts propose an important role for APN in the regulation of keratinocyte-mediated ECM remodeling and fibroblast contractile activity. PMID: 22065384
- Staining of tissue microarrays generated from a large series of melanoma samples and control tissues demonstrated a higher APN expression in primary melanoma lesions when compared with nevi and metastases PMID: 22307972
- A peptide-targeted gene vector for highly efficient receptor-mediated intracellular delivery is used to target gene loaded poly(lactic acid)-poly(ethylene glycol) nanoparticles to vascular endothelial cells overexpressing CD13. PMID: 21376765
- Murine gamma-herpesvirus-68 glycoprotein (gp)150-specific T-cell receptor epitope transgene activates antiviral CD4+ T cells that are maintained throughout long-term infection and even during quiescent latency. PMID: 22079983
- We identified a variant in each of 3 genes (RFC1, SCN1A, ANPEP) potentially implicated in susceptibility to severe neurological complications in West Nile Virus disease. PMID: 21881118
- APN expression and enzymatic function is reduced in aggressive meningiomas, and that alterations in the balance between APN and SPARC might favor meningioma invasion PMID: 19236378
- analysis of the critical role of flanking residues in NGR-to-isoDGR transition and CD13/integrin receptor switching PMID: 20064928
- Stromal aminopeptidase N expression correlates with angiogenesis in non-small-cell lung cancer. PMID: 19908113
- data demonstrate that the glycosylation of aminopeptidase N at N291 blocks human coronavirus-229E infection PMID: 11774469
- tested the hypothesis that CD13 influences proliferation of monocytoid cells by retarding the velocity of the cell cycle PMID: 11999577
- CD13/APN is an important target of Ras signaling in angiogenesis and is a limiting factor in angiogenic progression. PMID: 12406907
- inhibiting CD13/aminopeptidase N on the cell-surface of acute promyelocytic leukemia cells increases ATRA-induced differentiation PMID: 12443882
顯示更多
收起更多
-
亞細胞定位:Cell membrane; Single-pass type II membrane protein.
-
蛋白家族:Peptidase M1 family
-
組織特異性:Expressed in epithelial cells of the kidney, intestine, and respiratory tract; granulocytes, monocytes, fibroblasts, endothelial cells, cerebral pericytes at the blood-brain barrier, synaptic membranes of cells in the CNS. Also expressed in endometrial st
-
數據庫鏈接:
Most popular with customers
-
YWHAB Recombinant Monoclonal Antibody
Applications: ELISA, WB, IHC, IF, FC
Species Reactivity: Human, Mouse, Rat
-
Phospho-YAP1 (S127) Recombinant Monoclonal Antibody
Applications: ELISA, WB, IHC
Species Reactivity: Human
-
-
-
-
-
-















