ANGPTL7 Antibody
-
中文名稱:ANGPTL7兔多克隆抗體
-
貨號:CSB-PA001715LA01HU
-
規格:¥440
-
圖片:
-
Western blot
All lanes: ANGPTL7 antibody at 2µg/ml
Lane 1: MCF-7 whole cell lysate
Lane 2: Colo320 whole cell lysate
Lane 3: HepG2 whole cell lysate
Secondary
Goat polyclonal to rabbit IgG at 1/10000 dilution
Predicted band size: 41 kDa
Observed band size: 41 kDa -
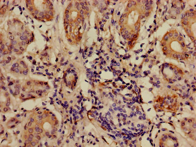
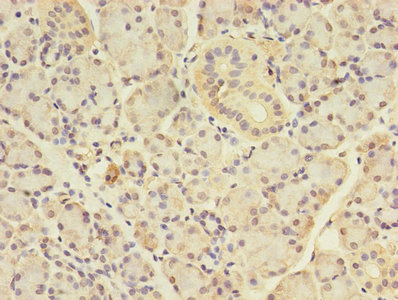
Immunohistochemistry of paraffin-embedded human salivary gland tissue using CSB-PA001715LA01HU at dilution of 1:100
-
Immunohistochemistry of paraffin-embedded human pancreatic tissue using CSB-PA001715LA01HU at dilution of 1:100
-
-
其他:
產品詳情
-
產品描述:
The ANGPTL7 antibody is a polyclonal antibody generated in rabbits by immunization with recombinant human ANGPTL7 protein consisting of amino acids 27-296. This antibody is capable of detecting ANGPTL7 in human samples, indicating its specificity for this target protein. The ANGPTL7 antibody has been purified using Protein G, resulting in a purity of greater than 95%.
The ANGPTL7 polyclonal antibody is a valuable tool for researchers interested in studying the role of ANGPTL7 in human physiology and disease. It has validated validity in ELISA, WB, and IHC applications, increasing its versatility in experimental settings.
-
產品名稱:Rabbit anti-Homo sapiens (Human) ANGPTL7 Polyclonal antibody
-
Uniprot No.:
-
基因名:ANGPTL7
-
別名:Angiopoietin like 7 antibody; Angiopoietin like factor (CDT6) antibody; Angiopoietin like factor antibody; Angiopoietin related protein 7 antibody; Angiopoietin-like factor antibody; Angiopoietin-like protein 7 antibody; Angiopoietin-related protein 7 antibody; ANGL7_HUMAN antibody; ANGPTL7 antibody; AngX antibody; CDT6 antibody; Cornea derived transcript 6 protein antibody; Cornea-derived transcript 6 protein antibody; dJ647M16.1 antibody; OTTHUMP00000001986 antibody; RP4-647M16.2 antibody
-
宿主:Rabbit
-
反應種屬:Human
-
免疫原:Recombinant Human Angiopoietin-related protein 7 protein (27-296AA)
-
免疫原種屬:Homo sapiens (Human)
-
標記方式:Non-conjugated
本頁面中的產品,ANGPTL7 Antibody (CSB-PA001715LA01HU),的標記方式是Non-conjugated。對于ANGPTL7 Antibody,我們還提供其他標記。見下表:
-
克隆類型:Polyclonal
-
抗體亞型:IgG
-
純化方式:>95%, Protein G purified
-
濃度:It differs from different batches. Please contact us to confirm it.
-
保存緩沖液:Preservative: 0.03% Proclin 300
Constituents: 50% Glycerol, 0.01M PBS, PH 7.4 -
產品提供形式:Liquid
-
應用范圍:ELISA, WB, IHC
-
推薦稀釋比:
Application Recommended Dilution WB 1:500-1:5000 IHC 1:20-1:200 -
Protocols:
-
儲存條件:Upon receipt, store at -20°C or -80°C. Avoid repeated freeze.
-
貨期:Basically, we can dispatch the products out in 1-3 working days after receiving your orders. Delivery time maybe differs from different purchasing way or location, please kindly consult your local distributors for specific delivery time.
-
用途:For Research Use Only. Not for use in diagnostic or therapeutic procedures.
相關產品
靶點詳情
-
功能:Has a role in the formation and organization of the extracellular matrix. In the eye, it functions as a mediator of dexamethasone-induced matrix deposition in the trabecular meshwork, the tissue responsible for the outflow of the ocular aqueous humor and for the maintenance of intraocular pressure. Is a negative regulator of angiogenesis in the cornea, and plays a major role in maintaining corneal avascularity and transparency.
-
基因功能參考文獻:
- obesity increases the level of ANGPTL7 in both plasma and adipose tissue. Increased expression of ANGPTL7 might play a minor role in the regulation of TG level in obese subjects either directly or through interaction with other ANGPTL protein members. Physical exercise reduced the level of ANGPTL7 highlighting the potential for targeting this protein as a therapeutic target for regulating dyslipidemia. PMID: 28264047
- ANGPTL7, which is abundantly expressed in keratocytes, plays a major role in maintaining corneal avascularity and transparency. PMID: 25622036
- ANGPTL7 is markedly down regulated in metastatic liver cancer. PMID: 25854806
- Angiopoietin-like 7 is a novel pro-angiogenetic factor over-expressed in cancer PMID: 24903490
- Together with previous findings, these properties strengthen ANGPTL7's candidacy for the regulation of intraocular pressure and glaucoma. PMID: 21199193
- Induction of ANGPTL7 secretion by glaucoma stimuli and increased concentration of ANGPTL7 in glaucomatous AH suggest that ANGPTL7 is overexpressed in glaucoma. PMID: 18421092
顯示更多
收起更多
-
亞細胞定位:Secreted.
-
組織特異性:Higly expressed in the cornea (at protein level). Expression is restricted to the stromal layer. Also detected at the junction between the corneal stromal layer and the conjuctiva. Not detected in the sclera.
-
數據庫鏈接:
Most popular with customers
-
YWHAB Recombinant Monoclonal Antibody
Applications: ELISA, WB, IHC, IF, FC
Species Reactivity: Human, Mouse, Rat
-
Phospho-YAP1 (S127) Recombinant Monoclonal Antibody
Applications: ELISA, WB, IHC
Species Reactivity: Human
-
-
-
-
-
-















