AMY2A Antibody
-
中文名稱:AMY2A兔多克隆抗體
-
貨號:CSB-PA201757
-
規格:¥1100
-
圖片:
-
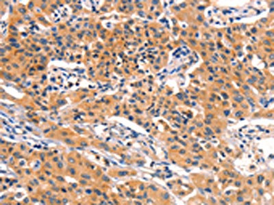
The image on the left is immunohistochemistry of paraffin-embedded Human lung cancer tissue using CSB-PA201757(AMY2A Antibody) at dilution 1/50, on the right is treated with fusion protein. (Original magnification: ×200)
-
The image on the left is immunohistochemistry of paraffin-embedded Human thyroid cancer tissue using CSB-PA201757(AMY2A Antibody) at dilution 1/50, on the right is treated with fusion protein. (Original magnification: ×200)
-
Gel: 15%SDS-PAGE, Lysate: 40 μg, Lane: Mouse pancreas tissue, Primary antibody: CSB-PA201757(AMY2A Antibody) at dilution 1/1400, Secondary antibody: Goat anti rabbit IgG at 1/8000 dilution, Exposure time: 1 second
-
-
其他:
產品詳情
-
Uniprot No.:
-
基因名:AMY2A
-
別名:AMY2A antibody; Pancreatic alpha-amylase antibody; PA antibody; EC 3.2.1.1 antibody; 1,4-alpha-D-glucan glucanohydrolase antibody
-
宿主:Rabbit
-
反應種屬:Human,Mouse
-
免疫原:Fusion protein of Human AMY2A
-
免疫原種屬:Homo sapiens (Human)
-
標記方式:Non-conjugated
-
抗體亞型:IgG
-
純化方式:Antigen affinity purification
-
濃度:It differs from different batches. Please contact us to confirm it.
-
保存緩沖液:-20°C, pH7.4 PBS, 0.05% NaN3, 40% Glycerol
-
產品提供形式:Liquid
-
應用范圍:ELISA,WB,IHC
-
推薦稀釋比:
Application Recommended Dilution ELISA 1:2000-1:10000 WB 1:1000-1:5000 IHC 1:50-1:200 -
Protocols:
-
儲存條件:Upon receipt, store at -20°C or -80°C. Avoid repeated freeze.
-
貨期:Basically, we can dispatch the products out in 1-3 working days after receiving your orders. Delivery time maybe differs from different purchasing way or location, please kindly consult your local distributors for specific delivery time.
-
用途:For Research Use Only. Not for use in diagnostic or therapeutic procedures.
相關產品
靶點詳情
-
基因功能參考文獻:
- Data show that serum amylase was found to be correlated with waist circumference, ghrelin and PYY3-36. PMID: 26495778
- Data show that amylase-alpha2A autoantibodies may help to diagnosis of autoimmune pancreatitis (AIP) and to differentiate AIP subtypes. PMID: 26335011
- Studies indicate that chloride activates alpha-amylases and ACE, and gaining insight into the potential mechanisms by which chloride functions in PSII. PMID: 21366335
- Mammalian pancreatic alpha-amylases share a common carbohydrate binding activity and specifically bind to the intestinal brush border. PMID: 22584580
- We demonstrated that AMY2A is frequently silenced in gastric carcinoma deletion 1p21.1. PMID: 20428766
- A new approach for the discovery and subsequent structural elucidation of oligosaccharide-based inhibitors of alpha-amylases based upon autoglucosylation of known alpha-glucosidase inhibitors is presented. PMID: 15304511
- Autoantibody against amylase alpha-2A is a novel diagnostic marker for both autoimmune pancreatitis and fulminant type 1 diabetes. PMID: 19001184
顯示更多
收起更多
-
亞細胞定位:Secreted, extracellular space.
-
蛋白家族:Glycosyl hydrolase 13 family
-
組織特異性:Detected in pancreas (at protein level).
-
數據庫鏈接:
Most popular with customers
-
-
YWHAB Recombinant Monoclonal Antibody
Applications: ELISA, WB, IHC, IF, FC
Species Reactivity: Human, Mouse, Rat
-
Phospho-YAP1 (S127) Recombinant Monoclonal Antibody
Applications: ELISA, WB, IHC
Species Reactivity: Human
-
-
-
-
-















