ALK Antibody
-
中文名稱:ALK兔多克隆抗體
-
貨號:CSB-PA847171
-
規格:¥1100
-
圖片:
-
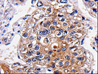
The image is immunohistochemistry of paraffin-embedded Human cervical cancer tissue using CSB-PA847171(ALK Antibody) at dilution 1/25. (Original magnification: ×200)
-
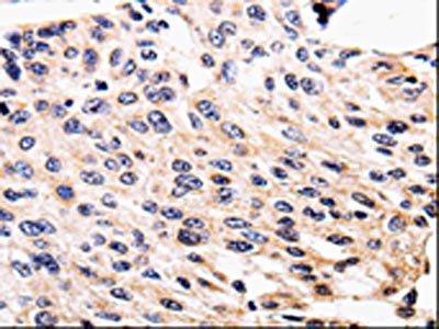
The image is immunohistochemistry of paraffin-embedded Human liver cancer tissue using CSB-PA847171(ALK Antibody) at dilution 1/25. (Original magnification: ×200)
-
-
其他:
產品詳情
-
Uniprot No.:
-
基因名:
-
別名:Alk antibody; ALK tyrosine kinase receptor antibody; ALK/EML4 fusion gene; included antibody; ALK/NPM1 fusion gene; included antibody; ALK_HUMAN antibody; anaplastic lymphoma kinase (Ki-1) antibody; Anaplastic lymphoma kinase antibody; Anaplastic lymphoma kinase Ki1 antibody; anaplastic lymphoma receptor tyrosine kinase antibody; CD 246 antibody; CD246 antibody; CD246 antigen antibody; EC 2.7.10.1 antibody; Ki 1 antibody; Ki1 antibody; mutant anaplastic lymphoma kinase antibody; NBLST 3 antibody; NBLST3 antibody; Tcrz antibody; TFG/ALK antibody
-
宿主:Rabbit
-
反應種屬:Human,Mouse
-
免疫原:Synthetic peptide of Human ALK
-
免疫原種屬:Homo sapiens (Human)
-
標記方式:Non-conjugated
-
抗體亞型:IgG
-
純化方式:Antigen affinity purification
-
濃度:It differs from different batches. Please contact us to confirm it.
-
保存緩沖液:-20°C, pH7.4 PBS, 0.05% NaN3, 40% Glycerol
-
產品提供形式:Liquid
-
應用范圍:ELISA,IHC
-
推薦稀釋比:
Application Recommended Dilution ELISA 1:1000-1:5000 IHC 1:25-1:100 -
Protocols:
-
儲存條件:Upon receipt, store at -20°C or -80°C. Avoid repeated freeze.
-
貨期:Basically, we can dispatch the products out in 1-3 working days after receiving your orders. Delivery time maybe differs from different purchasing way or location, please kindly consult your local distributors for specific delivery time.
-
用途:For Research Use Only. Not for use in diagnostic or therapeutic procedures.
相關產品
靶點詳情
-
功能:Neuronal receptor tyrosine kinase that is essentially and transiently expressed in specific regions of the central and peripheral nervous systems and plays an important role in the genesis and differentiation of the nervous system. Transduces signals from ligands at the cell surface, through specific activation of the mitogen-activated protein kinase (MAPK) pathway. Phosphorylates almost exclusively at the first tyrosine of the Y-x-x-x-Y-Y motif. Following activation by ligand, ALK induces tyrosine phosphorylation of CBL, FRS2, IRS1 and SHC1, as well as of the MAP kinases MAPK1/ERK2 and MAPK3/ERK1. Acts as a receptor for ligands pleiotrophin (PTN), a secreted growth factor, and midkine (MDK), a PTN-related factor, thus participating in PTN and MDK signal transduction. PTN-binding induces MAPK pathway activation, which is important for the anti-apoptotic signaling of PTN and regulation of cell proliferation. MDK-binding induces phosphorylation of the ALK target insulin receptor substrate (IRS1), activates mitogen-activated protein kinases (MAPKs) and PI3-kinase, resulting also in cell proliferation induction. Drives NF-kappa-B activation, probably through IRS1 and the activation of the AKT serine/threonine kinase. Recruitment of IRS1 to activated ALK and the activation of NF-kappa-B are essential for the autocrine growth and survival signaling of MDK. Thinness gene involved in the resistance to weight gain: in hypothalamic neurons, controls energy expenditure acting as a negative regulator of white adipose tissue lipolysis and sympathetic tone to fine-tune energy homeostasis.
-
基因功能參考文獻:
- Baseline Circulating tumor cell count could be a predictive biomarker for EGFR-mutated and ALK-rearranged non-small cell lung cancer , which allows for better guidance and monitoring of patients over the course of molecular targeted therapies. PMID: 29582563
- EML4-ALK fusion variant V3 is a high-risk feature for anaplastic lymphoma kinase-driven non-small cell lung cancer PMID: 29363116
- In this paper, we reviewed fusion partner genes with ALK, detection methods for ALK-rearrangement (ALK-R), and the ALK-tyrosine kinase inhibitor, crizotinib, used in non-small-cell lung cancer patients. PMID: 29488330
- The EML4-ALK fusion gene may be a strong oncogene in younger patients with lung adenocarcinoma. PMID: 29517858
- Brigatinib, a next-generation ALK inhibitor, shows promising activity in ALK-rearranged NSCLC that have previously received crizotinib with response rates in ALTA ranging from 42-50%, intracranial response 42-67% and median progression-free survival 9.2-12.9 months. Randomized Phase III trial, ALTA-1 L is investigating brigatinib in ALK inhibitor-naive patients PMID: 29451020
- Study based on 47 tissue samples from spitzoid tumors revealed 2 BAP1-inactived cases. The absence of anomalous expression of translocation-related proteins ALK and ROS1 in this series, composed predominantly of low-grade/low-risk tumors, indicates that translocated spitzoid lesions may not be as prevalent as initially suggested, at least in some populations. PMID: 29623743
- The results further combined 3D-QSAR can not only profile the binding mechanism between the 2,4-Diarylaminopyrimidines inhibitors and ALK, but also supply the useful information for the rational design of a more potential small molecule inhibitor bound to ALK receptor. PMID: 30001602
- Non-Small Cell Lung Cancers positive for ALK mutation by immunohistochemistry but not detected by Fluorescence in situ Hybridization show good response to crizotinib and merit treatment with the same PMID: 30082557
- the results from three transcriptome-based platforms (Nanostring Elements, Agena LungFusion panel and ThermoFisher NGS fusion panel) were compared to those obtained from ALK, ROS1 and RET Fluorescence In Situ Hybridization on 51 clinical specimens. PMID: 28181564
- ALK Rearrangement is associated with lung Adenocarcinoma. PMID: 29938474
- lung adenocarcinoma in Asian patients aged =50 years had a higher gene mutation rate than in those aged >50 years, especially EML4-ALK and ROS1 fusion. Mutation analysis may be helpful in determining targeted therapy for the majority of these patients PMID: 30107055
- Double Mutations of EGFR and ALK Gene in Non-small Cell Lung Cancer PMID: 30201068
- characteristics of the expression of epidermal growth factor receptor (EGFR), anaplastic lymphoma kinase (ALK), V-Ki-ras2 Kirsten rat sarcoma viral oncogene homologue (KRAS) in non-small cell lung cancer PMID: 30037374
- did identify ALK molecular changes and immunohistochemical staining patterns that have not been previously described in blue/cellular blue nevi or deep penetrating nevi PMID: 29923908
- Anaplastic lymphoma kinase (ALK) is a novel regulator of NLRP3 inflammasome activation in macrophages. Mechanically, ALK-mediated NF-kappaB activation was required for the priming step of NLRP3 upregulation, whereas ALK-mediated lipid peroxidation contributed to the sensing step of NLRP3-NEK7 complex formation. PMID: 29723525
- ALK expression is therefore a helpful marker to distinguish EFH from cutaneous syncytial myoepithelioma PMID: 27438515
- ALK protein expression was found in a significant number of patients and was correlated with advanced stage and high-risk neuroblastoma. PMID: 28546523
- The method was successfully applied to a phase I clinical study of ALK-positive advanced NSCLC patients. PMID: 29455091
- there are many treatment options for targeting ALK+ non-small-cell lung cancerbut the best treatment sequence remains unanswered PMID: 28589737
- The results of this real-life analysis suggest that the prognosis of NSCLC patients with theALK translocation may be better than that of the overall NSCLC population, but the outcomes were poorer than those of ALK+ NSCLC patients included in clinical studies. PMID: 28762087
- Our data suggest that targeting Src signaling may be an effective approach to the treatment of ALK-non-small cell lung cancer (NSCLC) with acquired resistance to ALK inhibitors. PMID: 29048652
- The frequencies of ALK, ROS1 and RET rearrangements are low in non-adenocarcinoma NSCLC patients. And their clinical characteristics are similar to those in lung adenocarcinoma. Fusions of the above 3 genes are not prognostic factor for non-adnocarcinoma NSCLC patients. PMID: 27635639
- Patients whose tumors harbor ALK rearrangements or fusions respond to treatment with crizotinib and alectinib, including tumors not normally associated with ALK mutations, such as non-Langerhans cell histiocytosis or renal cell carcinoma. Comprehensive genomic profiling using next-generation sequencing can detect targetable ALK fusions irrespective of tumor type or fusions partner PMID: 29079636
- In xenografts in mice, trametinib inhibited the growth of EML4-ALK-positive non-small cell lung cancer and RAS-mutant neuroblastoma but not ALK-addicted neuroblastoma. PMID: 29184034
- In this review, we will discuss the current methods used in ALK rearrangement detection with emphasis on their key advantages and disadvantages. PMID: 29143897
- Here, we report our experience with ceritinib in terms of its efficacy and safety among ALK-positive nonsmall cell lung cancer patients who were previously exposed to crizotinib. PMID: 29199678
- A negative ALK immunohistochemistry result obviates the need for a FISH test barring those with a strong clinical profile, and a positive ALK immunohistochemistry result is sufficient basis for the initiation of treatment. PMID: 29199679
- Mutation testing at diagnosis is feasible in the vast majority of patients with Stage IV adenocarcinoma of the lung. Patients with EGFR or EML4ALK mutation and those who received pemetrexed maintenance had better clinical outcomes. PMID: 29199690
- Our analysis indicated that ALK-EML4 positive non-small-cell lung cancers comprised a unique subgroup of adenocarcinomas with distinct clinicopathological characteristics. Incidence of ALK positivity was found to be higher in females and never smokers. PMID: 29199691
- Manual Immunohistochemistry is equally effective in the detection of ALK-rearranged cases as automated methods. It can be easily integrated as a screening method into routine practice thus reducing the cost of automated systems. PMID: 29199692
- Data from the initial studies revealed, EGFR mutations, and ALK gene rearrangements are mutually exclusive and as mutual causes of resistance to EGFR-TKIs or ALK-TKIs. However, this mutual exclusivity is being challenged with the increasing evidence showing the coexistence of both EGFR and ALK PMID: 29199696
- We report higher frequency of ALK positivity (10.9%) in patients with adenocarcinoma of the lung. ALK by immunohistochemistry is more sensitive than FISH for ALK detection with high concordance. These patients had good clinical outcome with TKIs targeting ALK fusion protein. PMID: 29199697
- Among 718 patients with newly diagnosed metastasised non-squamous NSCLC, 12% (31/265) showed a positive test result for ALK rearrangements PMID: 28557060
- status had a profound influence on the ALK-related prognosis of NSCLC. ALK rearrangement predicted a better prognosis in the general population with NSCLC, but a poor survival in the non-smoking population. PMID: 29191580
- ALK and KRAS mutations are associated with acquired resistance to crizotinib in ALK-positive non-small cell lung cancer PMID: 28601386
- Case Report: cutaneous anaplastic lymphoma kinase-positive anaplastic large-cell lymphoma with linear distributional lesions and sarcomatoid histologic features. PMID: 29053547
- Our data strongly suggest adapting the guidelines and using dichotomous ALK-IHC as standard companion diagnostic test to select patients with NSCLC who benefit from ALK-targeting therapy PMID: 28183714
- Results suggest that ALK generated by alternative transcription Initiation induces chromatin structural changes and heterochromatinization through phosphorylation of AKAP8 in the nucleus. PMID: 29093346
- TrkA plays an important role in the pathogenesis of NPM-ALK(+) T-cell lymphoma. PMID: 28557340
- NLRR1 appears to be an extracellular negative regulator of ALK signalling in neuroblastoma and neuronal development. PMID: 27604320
- the present study suggests that HER2 has an important role in the regulation of the cancer stem-like cells phenotype in ALK translocated lung cancers that is mainly orchestrated by HER2/HER3 heterodimers. PMID: 28656214
- point out the importance of taking into account both histopathologic and ALK immunohistochemical features to interpret ALK fluorescence in situ hybridization analyses in inflammatory and necrotic tumors PMID: 26945447
- despite the marginal occurrence of ALK gene amplification/high polisomy, we did not observed any ALK, MET and ROS deregulation in sarcomatoid carcinoma of head and neck PMID: 27262592
- we reviewed the literature related to characteristics of metastatic ovarian malignancies that form from lung tumors, the utility of ALK inhibition for treating ALK-positive NSCLC, the molecular diagnosis of ALK rearrangement and the role of next generation sequencing for ALK rearrangement detection. PMID: 28362192
- The study reviews the drug-resistance mechanism of lung neoplasm cells with rearranged ALK. The resultant ALK fusion protein is aberrantly overexpressed and dimerized through the oligomerization domains, such as the coiled-coil domain, in the fusion partner that induces abnormal constitutive activation of ALK tyrosine kinase. Gene amplification or mutation confers tumor resistance to kinase inhibitors. [review] PMID: 29336091
- The combination of ribociclib, a dual inhibitor of cyclin-dependent kinase (CDK) 4 and 6, and the ALK inhibitor ceritinib demonstrated higher cytotoxicity and synergy scores (P = 0.006) in cell lines with ALK mutations as compared with cell lines lacking mutations or alterations in ALK . PMID: 27986745
- microRNA expression profiles had clinicopathological implications that were related to EGFR and KRAS mutations, as well as ALK-rearrangement in lung adenocarcinoma. PMID: 28035073
- Report accurate detect ALK gene rearrangements which could be used for diagnostic screening of lung cancer patients. PMID: 28032602
- Combining measurements of sweyjawbu expression and the ratio of the 5' and 3' portions of the ALK transcript provided accurate identification of ALK rearrangement-positive lymphomas. PMID: 27974674
- ALK point mutations are associated lung cancer. PMID: 26992209
顯示更多
收起更多
-
相關疾病:Neuroblastoma 3 (NBLST3)
-
亞細胞定位:Cell membrane; Single-pass type I membrane protein. Note=Membrane attachment was crucial for promotion of neuron-like differentiation and cell proliferation arrest through specific activation of the MAP kinase pathway.
-
蛋白家族:Protein kinase superfamily, Tyr protein kinase family, Insulin receptor subfamily
-
組織特異性:Expressed in brain and CNS. Also expressed in the small intestine and testis, but not in normal lymphoid cells.
-
數據庫鏈接:
Most popular with customers
-
-
Phospho-YAP1 (S127) Recombinant Monoclonal Antibody
Applications: ELISA, WB, IHC
Species Reactivity: Human
-
-
-
-
-
-















