AIF1 Antibody
-
中文名稱:AIF1兔多克隆抗體
-
貨號:CSB-PA149571
-
規格:¥1100
-
圖片:
-
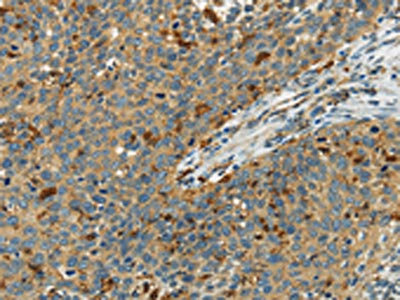
The image on the left is immunohistochemistry of paraffin-embedded Human breast cancer tissue using CSB-PA149571(AIF1 Antibody) at dilution 1/40, on the right is treated with fusion protein. (Original magnification: ×200)
-
The image on the left is immunohistochemistry of paraffin-embedded Human cervical cancer tissue using CSB-PA149571(AIF1 Antibody) at dilution 1/40, on the right is treated with fusion protein. (Original magnification: ×200)
-
Gel: 10%SDS-PAGE,Lysate: 40 μg,,Primary antibody: CSB-PA149571(AIF1 Antibody) at dilution 1/500 dilution,Secondary antibody: Goat anti rabbit IgG at 1/8000 dilution,Exposure time: 4 minutes
-
-
其他:
產品詳情
-
Uniprot No.:
-
基因名:AIF1
-
別名:AIF 1 antibody; AIF-1 antibody; Aif1 antibody; AIF1 protein antibody; AIF1_HUMAN antibody; Allograft inflammatory factor 1 antibody; Allograft inflammatory factor 1 splice variant G antibody; allograft inflammatory factor-1 splice variant Hara-1 antibody; balloon angioplasty responsive transcription antibody; BART 1 antibody; G1 antibody; G1 putative splice variant of allograft inflamatory factor 1 antibody; IBA 1 antibody; IBA1 antibody; interferon gamma responsive transcript antibody; Interferon responsive transcript 1 antibody; interferon responsive transcript factor 1 antibody; Ionized calcium binding adapter molecule 1 antibody; Ionized calcium-binding adapter molecule 1 antibody; ionized calcium-binding adapter molecule antibody; IRT 1 antibody; IRT1 antibody; Microglia response factor antibody; MRF1 antibody; Protein g1 antibody
-
宿主:Rabbit
-
反應種屬:Human,Mouse,Rat
-
免疫原:Full length fusion protein
-
免疫原種屬:Homo sapiens (Human)
-
標記方式:Non-conjugated
-
抗體亞型:IgG
-
純化方式:Antigen affinity purification
-
濃度:It differs from different batches. Please contact us to confirm it.
-
保存緩沖液:-20°C, pH7.4 PBS, 0.05% NaN3, 40% Glycerol
-
產品提供形式:Liquid
-
應用范圍:ELISA,WB,IHC
-
推薦稀釋比:
Application Recommended Dilution ELISA 1:1000-1:2000 WB 1:200-1:1000 IHC 1:50-1:200 -
Protocols:
-
儲存條件:Upon receipt, store at -20°C or -80°C. Avoid repeated freeze.
-
貨期:Basically, we can dispatch the products out in 1-3 working days after receiving your orders. Delivery time maybe differs from different purchasing way or location, please kindly consult your local distributors for specific delivery time.
-
用途:For Research Use Only. Not for use in diagnostic or therapeutic procedures.
相關產品
靶點詳情
-
功能:Actin-binding protein that enhances membrane ruffling and RAC activation. Enhances the actin-bundling activity of LCP1. Binds calcium. Plays a role in RAC signaling and in phagocytosis. May play a role in macrophage activation and function. Promotes the proliferation of vascular smooth muscle cells and of T-lymphocytes. Enhances lymphocyte migration. Plays a role in vascular inflammation.
-
基因功能參考文獻:
- Small interfering RNA (siRNA)-mediated silencing of AIF-1 expression resulted in a reduction in cell proliferation and migration in human HCC cells. PMID: 30188879
- It may be speculated that Iba-1 protein besides its major function (involvement in phagocytosis) can perform the role of a transcriptional factor. PMID: 30136808
- This study shown the AIF1 expression in Microglia and Astrocytes in stroke, Alzheimer's disease, and Lewy body dementia. PMID: 28398520
- involved in the immunological process underlying rheumatoid arthritis PMID: 26585362
- Using double labeling with Iba-1 and cd68 could determine the physiological state of microglia in brain contusion based on their morphology and immunoreactivity. PMID: 27442380
- The results of our study suggest that the AIF1 gene polymorphisms have no influence on long-term kidney allograft function. PMID: 26324213
- Data showed that AIF-1 promoted the proliferation of HepG2 cells by accelerating the activation of IGF-1R and its downstream signaling pathway, which confirms that AIF-1 plays a crucial role in the development of hepatocellular carcinoma cells. PMID: 25998745
- AIF-1 functions as a tumor suppressor possibly by regulating beta-catenin in gastric cancer. the level of AIF-1 expression may serve as a protective prognostic indicator for gastric cancer. PMID: 24337893
- AIF-1, which induced chemokines and enhanced chemotaxis of monocytes, may represent a molecular target for the therapy of immune-inflammatory disorders PMID: 24796669
- The results of this study suggest a lack of association between AIF-1 gene polymorphisms and response to sulphasalazine treatment in rheumatoid arthritis. PMID: 25026748
- The results of this study suggest that the patients with the rs2259571 CC AIF1 genotype have a poorer response to therapy with Methotrexate. PMID: 24018427
- We are unable to find statistically significant association between COX-2 and AIF-1 gene polymorphisms and allograft survival. PMID: 23777936
- The overexpressed AIF-1, the novel inflammatory polypeptide derived from macrophage lineages, is closely associated with atherogenesis via affecting the blood composition and promoting macrophage uptake and foam cell formation. PMID: 23867161
- AIF-1 can protect rheumatoid arthritis fibroblast-like synoviocytes from apoptosis induced by NO by upregulating the expression of p-Akt and p-BAD. PMID: 23547889
- daintain/AIF-1 reinforced the resistance of breast cancer cells to cisplatin by inhibition of cell apoptosis and reduction of intracellular cisplatin accumulation PMID: 23221708
- Serum AIF-1 concentration correlated with albuminuria and eGFR in patients with type 2 diabetes and it could be a marker of diabetic nephropathy as well as activated macrophages. PMID: 22560794
- Our results suggest that the AIF1 rs2259571 CC genotype is associated with the active form of RA. PMID: 22106834
- The serum AIF-1 concentrations were positively correlated with levels of fasting plasma glucose, hemoglobin A1c, triglycerides, and uric acid, and with waist circumference and BMI, and were inversely correlated with HDL cholesterol levels. PMID: 22225958
- Overexpression of AIF-1 stimulates migration and proliferation of human vascular smooth muscle cells, whereas IRT-1 exerts opposite effects. PMID: 22116621
- Our data suggest that SNPs in or near the AIF1 locus contribute to obesity risk in the Greek population. PMID: 21720444
- daintain/AIF-1 activates p38 MAPK signaling pathway contributing to up-regulation of TNF-alpha in MDA-MB-231 and MCF-7 cells. PMID: 21509525
- AIF-1 shows promise that it can be a potential biomarker for cardiac allograft rejection. PMID: 20850992
- data demonstrated that expression profiles of AIF-1 and TLR-2 correlated with biopsy-proven allograft rejection in both peripheral blood and local tissue, suggesting their potential as diagnostic biomarkers for early detection of allograft rejection PMID: 21168672
- AIF-1 can induce IL-6 secretion on mononuclear cells and fibroblast chemotaxis. AIF-1 may accordingly provide an attractive new target for antifibrotic therapy in SSc as well as Scl GVHD. PMID: 21040744
- findings suggest that the impact of AIF-1 on endothelial cells would stimulate angiogenesis and consequently affect the progression of infantile hemangiomas PMID: 19745784
- AIF-1 binds and polymerizes F actin and also regulates Rac1 activity and vascular smooth muscle migration PMID: 12714565
- more AIF-1 immunoreactive macrophages/microglial cells and, interestingly, neurones were observed in Creutzfeldt-Jakob disease patients PMID: 12887599
- AIF-1 enhances VSMC growth by autocrine production of G-CSF, and AIF-1 expression may influence VSMC-inflammatory cell communication. PMID: 15117732
- Genomic rearrangement of AIF1 in arteriosclerosis was studied. PMID: 15784173
- The ability of AIF-1 to activate vascular smooth muscle is lost by mutation in the EF-hand calcium-binding region. PMID: 15922740
- Overexpression of allograft inflammatory factor-1 is associated with development of coronary artery vasculopathy PMID: 16049345
- These data indicate that AIF-1 mediates atherogenesis-initiated signaling and activation of macrophages. PMID: 16291819
- The subtle regulation of allograft inflammatory factor-1 in the involution of hemangiomas will help design a new anti-angiogenic therapy for some tumors. [REVIEW] PMID: 17010532
- The molecular conformational change induced by Ca(2+)-binding of Iba1 is different from that found in the classical EF-hand proteins, which demonstrates that Iba1 has an unique molecular switching mechanism dependent on Ca(2+)-binding. PMID: 17011575
- AIF-1 is a novel molecular component of podocytes and the upregulation of AIF-1 in an anti-GBM nephritis model may mainly be a consequence of its expression in infiltrating cells. PMID: 17035944
- Crystals of AIF-1 were grown at 291 K using PEG-8000 as precipitant, and diffraction extends to 3.3 A resolution. PMID: 17073733
- association of a nonsynonymous change within the AIF-1 gene with systemic sclerosis, and linkage with TNFA alleles within 50 kb of this gene PMID: 17498268
- a genetic association between AIF1 and the anti-centromere antibodies-positive subset of systemic sclerosis. PMID: 17522098
- Using immunohistochemistry, we found that AIF-1 is expressed at low levels in normal skin, but is highly upregulated in various inflammatory skin disorders PMID: 17533487
- These results suggest that AIF-1 may participate in the early pathogenesis of systemic sclerosis by promoting tissue T cell infiltration and production of cytokines capable of inducing the expression of a fibrotic phenotype in normal fibroblasts. PMID: 17907195
- daintain/AIF-1 can promote the growth of breast tumors via activating NF-kappaB signaling, which consequently up-regulates the expression of cyclin D1. PMID: 18341653
- The AIF1 rs2269475 T allele is associated with increased risk of rheumatoid arthritis development. PMID: 18721278
- AIF-1 expression regulates endothelial cell activation, signal transduction, and vasculogenesis. PMID: 18787073
- AIF-1 plays a role in inflammatory nerve disease and vascular smooth muscle cell proliferation and may be a new molecular target for treatment. PMID: 18816612
- Genetic variants of the HLA-A, HLA-B and AIF1 loci show independent associations with type 1 diabetes in Norwegian families PMID: 18987644
顯示更多
收起更多
-
亞細胞定位:Cytoplasm, cytoskeleton. Cell projection, ruffle membrane; Peripheral membrane protein; Cytoplasmic side. Cell projection, phagocytic cup.
-
組織特異性:Detected in T-lymphocytes and peripheral blood mononuclear cells.
-
數據庫鏈接:
Most popular with customers
-
-
YWHAB Recombinant Monoclonal Antibody
Applications: ELISA, WB, IHC, IF, FC
Species Reactivity: Human, Mouse, Rat
-
-
-
-
-
-















