ADAMTS2 Antibody
-
中文名稱:ADAMTS2兔多克隆抗體
-
貨號:CSB-PA801690
-
規格:¥1100
-
圖片:
-
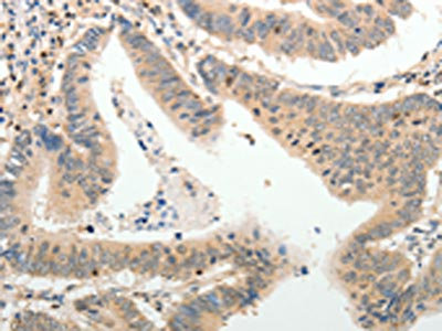
The image on the left is immunohistochemistry of paraffin-embedded Human colon cancer tissue using CSB-PA801690(ADAMTS2 Antibody) at dilution 1/25, on the right is treated with synthetic peptide. (Original magnification: ×200)
-
The image on the left is immunohistochemistry of paraffin-embedded Human gastric cancer tissue using CSB-PA801690(ADAMTS2 Antibody) at dilution 1/25, on the right is treated with synthetic peptide. (Original magnification: ×200)
-
Gel: 6%SDS-PAGE, Lysate: 40 μg, Lane 1-2: A431 and 293T cell, Primary antibody: CSB-PA801690(ADAMTS2 Antibody) at dilution 1/200 dilution, Secondary antibody: Goat anti rabbit IgG at 1/8000 dilution, Exposure time: 1 minute
-
-
其他:
產品詳情
-
Uniprot No.:
-
基因名:ADAMTS2
-
別名:A disintegrin and metalloproteinase with thrombospondin motifs 2 antibody; A disintegrin like and metalloprotease (reprolysin type) with thrombospondin type 1 motif 2 antibody; ADAM metallopeptidase with thrombospondin type 1 motif 2 antibody; ADAM TS 2 antibody; ADAM TS2 antibody; ADAM-TS 2 antibody; ADAM-TS2 antibody; ADAMTS 3 antibody; ADAMTS-2 antibody; ADAMTS2 antibody; ATS2_HUMAN antibody; EC 3.4.24.14 antibody; EDS VIIB antibody; EDS VIIC antibody; hPCPNI antibody; NPI antibody; PC I NP antibody; PC I-NP antibody; PCINP antibody; PCPNI antibody; pNPI antibody; Procollagen I N proteinase antibody; Procollagen I N-proteinase antibody; Procollagen I/II amino propeptide processing enzyme antibody; Procollagen I/II amino propeptide-processing enzyme antibody; Procollagen N endopeptidase antibody; Procollagen N-endopeptidase antibody
-
宿主:Rabbit
-
反應種屬:Human
-
免疫原:Synthetic peptide of Human ADAMTS2
-
免疫原種屬:Homo sapiens (Human)
-
標記方式:Non-conjugated
-
抗體亞型:IgG
-
純化方式:Antigen affinity purification
-
濃度:It differs from different batches. Please contact us to confirm it.
-
保存緩沖液:-20°C, pH7.4 PBS, 0.05% NaN3, 40% Glycerol
-
產品提供形式:Liquid
-
應用范圍:ELISA,WB,IHC
-
推薦稀釋比:
Application Recommended Dilution ELISA 1:1000-1:2000 WB 1:200-1:1000 IHC 1:25-1:100 -
Protocols:
-
儲存條件:Upon receipt, store at -20°C or -80°C. Avoid repeated freeze.
-
貨期:Basically, we can dispatch the products out in 1-3 working days after receiving your orders. Delivery time maybe differs from different purchasing way or location, please kindly consult your local distributors for specific delivery time.
-
用途:For Research Use Only. Not for use in diagnostic or therapeutic procedures.
相關產品
靶點詳情
-
功能:Cleaves the propeptides of type I and II collagen prior to fibril assembly. Does not act on type III collagen. Cleaves lysyl oxidase LOX at a site downstream of its propeptide cleavage site to produce a short LOX form with reduced collagen-binding activity.
-
基因功能參考文獻:
- We identified three novel homozygous loss-of-function mutations (c.2927_2928delCT, p.(Pro976Argfs*42); c.669_670dupG, p.(Pro224Argfs*24); and c.2751-2A>T) and one compound heterozygous mutation (c.2T>C, p.? and c.884_887delTGAA, p.(Met295Thrfs26*)) in ADAMTS2 in five patients from four unrelated families PMID: 26765342
- Data indicate that ADAMTS2 and 3 cleave the amino-propeptide of fibrillar collagens and regulate blood vessels homeostasis and lymphangiogenesis. Also, ADAMTS2 deficiency leads to the dermatosparactic type of Ehlers-Danlos syndrome. [review] PMID: 25863161
- IL-1a is a strong positive regulator of ADAMTS-2 and ADAMTS-3 expression. PMID: 26232334
- ADAMTS2 was significantly overexpressed in Fibrous dysplasia (FD) tissues, but rarely expressed in normal bone tissues, suggesting that ADAMTS2 could be a potential biomarker for FD PMID: 25674217
- Pathway inhibition studies revealed that ADAMTS-2 upregulation by IL-6 was mediated by JNK pathway. PMID: 24752352
- Data show that ADAMTS-2 is able to reduce proliferation of endothelial cells, and to induce their retraction and detachment from the substrate resulting in apoptosis. PMID: 20574651
- Determination of the processing, activity and cleavage specificity of the bovine ADAMTS2 protein. PMID: 16046392
- when conditioned media of TSP2-transfectants were added to cultures of bovine pulmonary microvascular endothelial cells (BPMEC), the BPMEC proliferation was significantly inhibited; suggesting that human TSP2 is a potential inhibitor of angiogenesis PMID: 11788898
- Although exons 3-5 or 14-16 encode protein domains that have not been recognized as crucial for ADAMTS-2 activity, the aminoprocollagen processing was strongly impaired, providing evidence for the requirement of these domains for proper enzyme function PMID: 15373769
顯示更多
收起更多
-
相關疾?。?/div>Ehlers-Danlos syndrome 7C (EDS7C)亞細胞定位:Secreted, extracellular space, extracellular matrix.組織特異性:Expressed at high level in skin, bone, tendon and aorta and at low levels in thymus and brain.數據庫鏈接:
Most popular with customers
-
-
YWHAB Recombinant Monoclonal Antibody
Applications: ELISA, WB, IHC, IF, FC
Species Reactivity: Human, Mouse, Rat
-
Phospho-YAP1 (S127) Recombinant Monoclonal Antibody
Applications: ELISA, WB, IHC
Species Reactivity: Human
-
-
-
-
-















