ACSL5 Antibody
-
中文名稱:ACSL5兔多克隆抗體
-
貨號:CSB-PA891734LA01HU
-
規格:¥440
-
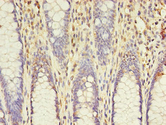
圖片:
-
其他:
產品詳情
-
產品名稱:Rabbit anti-Homo sapiens (Human) ACSL5 Polyclonal antibody
-
Uniprot No.:
-
基因名:
-
別名:ACSL5 antibody; ACS5 antibody; FACL5 antibody; UNQ633/PRO1250 antibody; Long-chain-fatty-acid--CoA ligase 5 antibody; EC 6.2.1.3 antibody; Arachidonate--CoA ligase antibody; EC 6.2.1.15 antibody; Long-chain acyl-CoA synthetase 5 antibody; LACS 5 antibody
-
宿主:Rabbit
-
反應種屬:Human
-
免疫原:Recombinant Human Long-chain-fatty-acid--CoA ligase 5 protein (33-683AA)
-
免疫原種屬:Homo sapiens (Human)
-
標記方式:Non-conjugated
本頁面中的產品,ACSL5 Antibody (CSB-PA891734LA01HU),的標記方式是Non-conjugated。對于ACSL5 Antibody,我們還提供其他標記。見下表:
-
克隆類型:Polyclonal
-
抗體亞型:IgG
-
純化方式:>95%, Protein G purified
-
濃度:It differs from different batches. Please contact us to confirm it.
-
保存緩沖液:Preservative: 0.03% Proclin 300
Constituents: 50% Glycerol, 0.01M PBS, PH 7.4 -
產品提供形式:Liquid
-
應用范圍:ELISA, IHC
-
推薦稀釋比:
Application Recommended Dilution IHC 1:20-1:200 -
Protocols:
-
儲存條件:Upon receipt, store at -20°C or -80°C. Avoid repeated freeze.
-
貨期:Basically, we can dispatch the products out in 1-3 working days after receiving your orders. Delivery time maybe differs from different purchasing way or location, please kindly consult your local distributors for specific delivery time.
-
用途:For Research Use Only. Not for use in diagnostic or therapeutic procedures.
相關產品
靶點詳情
-
功能:Catalyzes the conversion of long-chain fatty acids to their active form acyl-CoAs for both synthesis of cellular lipids, and degradation via beta-oxidation. ACSL5 may activate fatty acids from exogenous sources for the synthesis of triacylglycerol destined for intracellular storage. Utilizes a wide range of saturated fatty acids with a preference for C16-C18 unsaturated fatty acids. It was suggested that it may also stimulate fatty acid oxidation. At the villus tip of the crypt-villus axis of the small intestine may sensitize epithelial cells to apoptosis specifically triggered by the death ligand TRAIL. May have a role in the survival of glioma cells.
-
基因功能參考文獻:
- our study has demonstrated that ACS5 expression was increased in colorectal cancer (CRC) cells and CRC tissues and its upregulation closely correlated to poor tumor differentiation and excess muscular layer in patients with CRC PMID: 28808653
- These results suggest that ACSL1, ACSL4 and ACSL5 expression is regulated by ER signaling pathways and ACSL5 is a potential novel biomarker for predicting prognosis of breast cancer patients. PMID: 28498416
- Functional variant (rs2256368:A>G) affecting ACSL5 exon 20 skipping was identified as a causal factor linked to the migraine-associated rs12355831:A>G, suggesting that the activation of long-chain fatty acids by the spliced ACSL5-Delta20 molecules is involved in migraine pathology. PMID: 27189022
- colorectal adenocarcinomas with low (n=41; group 1) or high (n=31; group 2) ACSL5 levels were identified. In a one-year follow-up, tumour recurrence was significantly increased in group 1. PMID: 28153554
- ACSL5 mediates antiproliferative activities via Wnt2B palmitoylation with diminished Wnt activity. The molecular pathway is probably relevant for intestinal homeostasis, overwhelmed by other pathways in carcinogenesis. PMID: 25356045
- Uncoupling of ACSL5 and mitochondrial mortalin by mutated TP53 could be important in colorectal carcinogenesis. PMID: 24770931
- Down-regulation of ACSL5 is associated with colorectal cancer. PMID: 24222123
- Levels of acyl-coenzyme A synthetase 5 in urothelial cells and corresponding neoplasias reflect cellular differentiation. PMID: 23348389
- High ACSL5 transcript levels associate with systemic lupus erythematosus and apoptosis in Jurkat T lymphocytes and peripheral blood cells PMID: 22163040
- The data strongly indicate that human but not rat acyl-CoA synthetase 5 is sensitive to triacsin C and does not compensate for other triacsin C-sensitive ACSL isoforms. PMID: 22171129
- Increased ACSL5 is associated with Fatty Liver. PMID: 20470896
- expression of ACS5 in the gastric body and the small intestine with metaplasia or heterotopia PMID: 15736044
- ACS5 is a very suitable marker molecule for the detection of villus atrophy in the small intestine. PMID: 15809837
- SREBP-1c-mediated insulin regulation of acyl-CoA synthestase 5 expression indicate that ACS-5 is involved in the anabolic fate of fatty acids. PMID: 16198472
- Existence of a link between ACSL5 genotype and diet responsiveness. PMID: 17495181
- Suggest an ACSL5-dependent regulatory mechanism that contributes to the cellular renewal along the crypt-villus axis in human small intestine. PMID: 17681178
- Oncostatin M directly lowers the plasma triglycerides in hyperlipidemia by stimulating the transcription of ACSL3/5 in the liver. PMID: 17761945
- Expression of ACSL5 in human epidermis is reported. PMID: 18228202
- These results indicate that ACSL5 is a critical factor for survival of glioma cells under acidic tumor microenvironment. PMID: 18806831
- These results reveal a mechanism for elevated transcription of ACSL5 in skeletal muscle of carriers of the rs2419621(T) allele, associated with more rapid diet-induced weight loss. PMID: 19218499
顯示更多
收起更多
-
亞細胞定位:Mitochondrion. Endoplasmic reticulum. Mitochondrion outer membrane; Single-pass type III membrane protein. Endoplasmic reticulum membrane; Single-pass type III membrane protein. Cell membrane.
-
蛋白家族:ATP-dependent AMP-binding enzyme family
-
數據庫鏈接:
Most popular with customers
-
YWHAB Recombinant Monoclonal Antibody
Applications: ELISA, WB, IHC, IF, FC
Species Reactivity: Human, Mouse, Rat
-
Phospho-YAP1 (S127) Recombinant Monoclonal Antibody
Applications: ELISA, WB, IHC
Species Reactivity: Human
-
-
-
-
-
-















