ACSBG2 Antibody
-
中文名稱:ACSBG2兔多克隆抗體
-
貨號:CSB-PA685911LA01HU
-
規格:¥440
-
圖片:
-
Western blot
All lanes: ACSBG2 antibody at 4µg/ml
Lane 1: A431 whole cell lysate
Lane 2: K562 whole cell lysate
Lane 3: A549 whole cell lysate
Secondary
Goat polyclonal to rabbit IgG at 1/10000 dilution
Predicted band size: 75, 69, 54, 52 kDa
Observed band size: 52 kDa -
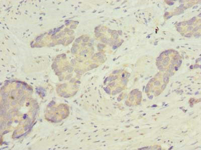
Immunohistochemistry of paraffin-embedded human gastric cancer using CSB-PA685911LA01HU at dilution of 1:100
-
Immunohistochemistry of paraffin-embedded human testis tissue using CSB-PA685911LA01HU at dilution of 1:100
-
-
其他:
產品詳情
-
產品名稱:Rabbit anti-Homo sapiens (Human) ACSBG2 Polyclonal antibody
-
Uniprot No.:
-
基因名:
-
別名:ACSBG2 antibody; BGR antibody; UNQ2443/PRO5005Long-chain-fatty-acid--CoA ligase ACSBG2 antibody; EC 6.2.1.3 antibody; Acyl-CoA synthetase bubblegum family member 2 antibody; Arachidonate--CoA ligase ACSBG2 antibody; EC 6.2.1.15 antibody; Bubblegum-related protein antibody; PRTD-NY3 antibody
-
宿主:Rabbit
-
反應種屬:Human
-
免疫原:Recombinant Human Long-chain-fatty-acid--CoA ligase ACSBG2 protein (301-600AA)
-
免疫原種屬:Homo sapiens (Human)
-
標記方式:Non-conjugated
本頁面中的產品,ACSBG2 Antibody (CSB-PA685911LA01HU),的標記方式是Non-conjugated。對于ACSBG2 Antibody,我們還提供其他標記。見下表:
-
克隆類型:Polyclonal
-
抗體亞型:IgG
-
純化方式:>95%, Protein G purified
-
濃度:It differs from different batches. Please contact us to confirm it.
-
保存緩沖液:Preservative: 0.03% Proclin 300
Constituents: 50% Glycerol, 0.01M PBS, PH 7.4 -
產品提供形式:Liquid
-
應用范圍:ELISA, WB, IHC
-
推薦稀釋比:
Application Recommended Dilution WB 1:500-1:2000 IHC 1:20-1:200 -
Protocols:
-
儲存條件:Upon receipt, store at -20°C or -80°C. Avoid repeated freeze.
-
貨期:Basically, we can dispatch the products out in 1-3 working days after receiving your orders. Delivery time maybe differs from different purchasing way or location, please kindly consult your local distributors for specific delivery time.
-
用途:For Research Use Only. Not for use in diagnostic or therapeutic procedures.
相關產品
靶點詳情
-
功能:Catalyzes the conversion of fatty acids such as long chain and very long-chain fatty acids to their active form acyl-CoAs for both synthesis of cellular lipids, and degradation via beta-oxidation. Can activate diverse saturated, monosaturated and polyunsaturated fatty acids. Has increased ability to activate oleic and linoleic acid. May play a role in spermatogenesis.
-
基因功能參考文獻:
- A new gene exhibiting 50-fold difference in expression level between adult and fetal human testes was cloned and named the BGR-like gene. It was exclusively expressed in testes and was a testes-specific isoform of the BGR gene. PMID: 15685348
- The limited tissue expression pattern and limited substrate specificity rule out a likely role for this enzyme in X-linked adrenoleukodystrophy pathology. PMID: 16371355
-
亞細胞定位:Cytoplasm. Membrane; Peripheral membrane protein.
-
蛋白家族:ATP-dependent AMP-binding enzyme family, Bubblegum subfamily
-
組織特異性:Testis-specific.
-
數據庫鏈接:
Most popular with customers
-
-
YWHAB Recombinant Monoclonal Antibody
Applications: ELISA, WB, IHC, IF, FC
Species Reactivity: Human, Mouse, Rat
-
Phospho-YAP1 (S127) Recombinant Monoclonal Antibody
Applications: ELISA, WB, IHC
Species Reactivity: Human
-
-
-
-
-















