Whitlow linker Monoclonal Antibody
-
中文名稱:Whitlow linker CAR檢測工具
-
貨號:CSB-MA234468A0m
-
規格:¥3000
-
圖片:
-
The Binding Activity of Whitlow linker with Anti-Whitlow linker antibody
Activity: Measured by its binding ability in a functional ELISA. Immobilized scFv-based Anti-CD19 CAR recombinant antibody at 2 μg/mL can bind Anti-Whitlow linker antibody. The EC50 is 5.147 to 5.761 ng/mL. -
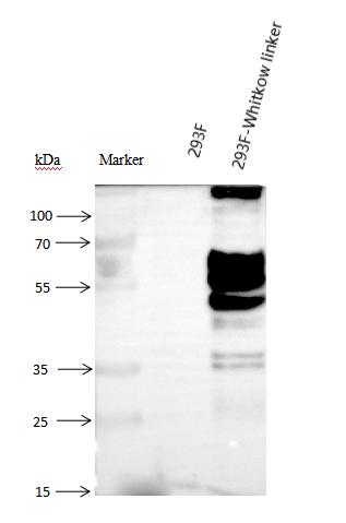
Western Blot
Positive WB detected in: 293F whole cell lysate, scFv-based Anti-CD19 CAR containing a Whitlow linker (293F/CD19 CAR) whole cell lysate
All lanes: Whitlow linker antibody at 1:1000
Secondary
Goat polyclonal to mouse IgG at 1/50000 dilution
Predicted band size: 50-200 kDa
Observed band size: 50-200 KDa
Exposure time:5s -
Untransfected HEK-293F cells (green line) and transfected scFv-based Anti-CD19 CAR containing a Whitlow/218 linker stable cells (red line) were stained with anti-Whitlow linker antibody (2μg/1*106cells), washed and then followed by FITC-conjugated anti-Mouse IgG Fc antibody and analyzed with flow cytometry.
-
-
其他:
產品詳情
-
產品描述:CUSABIO貨號:CSB-MA234468A0m Whitlow linker單克隆抗體是針對人類Whitlow linker蛋白研發的高特異性科研試劑,適用于Western Blot、流式細胞術及ELISA等主流檢測平臺。該抗體經多維度驗證可特異性識別Whitlow linker靶點,該蛋白作為細胞連接復合體的重要組分,在維持組織屏障完整性和細胞間通訊中發揮關鍵作用。本品采用雜交瘤技術制備,具備嚴格的批次一致性,在蛋白質印跡實驗中能清晰呈現目標條帶,流式檢測中可實現精準的細胞表面標記分析。研究人員可將其應用于細胞黏附機制研究、上皮組織穩態調控、細胞信號轉導通路解析等前沿領域,特別適用于探索Whitlow linker在細胞極性建立、創傷修復等生理過程中的分子機制。本產品為深入理解細胞連接相關蛋白網絡提供可靠工具,是開展細胞生物學、分子互作及疾病機理研究的優選試劑,有效支持科研人員在蛋白質功能研究與分子通路探索中獲得高質量實驗數據。
-
基因名:Whitlow linker
-
別名:Whitlow/218 Linker (E3U7Q); Whitlow linker
-
宿主:Mouse
-
反應種屬:Homo sapiens (Human)
-
免疫原:Whitlow linker-KLH
-
標記方式:Non-conjugated
-
克隆類型:Monoclonal
-
抗體亞型:IgG2b
-
純化方式:>95%, Protein G purified
-
克隆號:18A3G5
-
濃度:It differs from different batches. Please contact us to confirm it.
-
保存緩沖液:Preservative: 0.03% Proclin 300
Constituents: 50% Glycerol, 0.01M PBS, PH 7.4 -
產品提供形式:Liquid
-
應用范圍:ELISA, WB, FC
-
推薦稀釋比:
Application Recommended Dilution WB WB:1:1000-1:5000 FC 1:50-1:200 -
Protocols:
-
儲存條件:Upon receipt, store at -20°C or -80°C. Avoid repeated freeze.
-
貨期:Basically, we can dispatch the products out in 1-3 working days after receiving your orders. Delivery time maybe differs from different purchasing way or location, please kindly consult your local distributors for specific delivery time.
-
用途:For Research Use Only. Not for use in diagnostic or therapeutic procedures.
Most popular with customers
-
-
YWHAB Recombinant Monoclonal Antibody
Applications: ELISA, WB, IHC, IF, FC
Species Reactivity: Human, Mouse, Rat
-
Phospho-YAP1 (S127) Recombinant Monoclonal Antibody
Applications: ELISA, WB, IHC
Species Reactivity: Human
-
-
-
-
-















