UBE2Z Monoclonal Antibody
-
中文名稱:UBE2Z Monoclonal Antibody
-
貨號:CSB-MA105090
-
規格:¥1320
-
圖片:
-
Flow cytometric analysis of UBE2Z expression in HepG2 cells using UBE2Z antibody. Green, isotype control; red, UBE2Z.
-
Western blotting analysis using UBE2Z antibody. Total cell lysates (30 μg) from various cell lines were loaded and separated by SDS-PAGE. The blot was incubated with UBE2Z antibody and HRP-conjugated goat anti-mouse secondary antibody respectively.
-
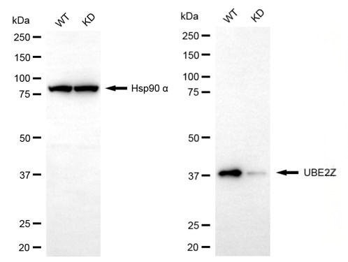
Western blotting analysis using UBE2Z antibody. UBE2Z expression in wild-type (WT) and UBE2Z shRNA knockdown (KD) HeLa cells with 20 μg of total cell lysates. Hsp90 α serves as a loading control. The blot was incubated with UBE2Z antibody and HRP-conjugated goat anti-mouse secondary antibody respectively.
-
-
其他:
產品詳情
-
產品名稱:Mouse anti-Homo sapiens (Human) UBE2Z Monoclonal antibody
-
Uniprot No.:
-
基因名:
-
別名:UBE2Z; Ubiquitin Conjugating Enzyme E2 Z; USE1; Uba6-Specific E2 Conjugating Enzyme 1; Ubiquitin-Conjugating Enzyme E2 Z; E2 Ubiquitin-Conjugating Enzyme Z; Ubiquitin Carrier Protein Z; Ubiquitin-Protein Ligase Z; UBA6-Specific Enzyme E2; FLJ13855; Ubiquitin-Conjugating Enzyme E2Z; Ubiquitin Conjugating Enzyme E2Z; EC 2.3.2.23; EC 6.3.2.19; HOYS7; Use1
-
宿主:Mouse
-
反應種屬:Human, Mouse, Rat
-
免疫原:Recombinant Human UBE2Z protein
-
免疫原種屬:Homo sapiens (Human)
-
標記方式:Non-conjugated
-
克隆類型:Monoclonal
-
抗體亞型:Mouse IgG2b
-
純化方式:Affinity-chromatography
-
克隆號:21A9
-
濃度:It differs from different batches. Please contact us to confirm it.
-
保存緩沖液:PBS (pH 7.4) containing 50% glycerol, and 0.02% sodium azide.
-
產品提供形式:Liquid
-
應用范圍:ELISA, WB, FC
-
推薦稀釋比:
Application Recommended Dilution WB 1:400-1:2000 FC 1:100-1:1000 -
Protocols:
-
儲存條件:Upon receipt, store at -20°C or -80°C. Avoid repeated freeze.
-
貨期:Basically, we can dispatch the products out in 1-3 working days after receiving your orders. Delivery time maybe differs from different purchasing way or location, please kindly consult your local distributors for specific delivery time.
-
用途:For Research Use Only. Not for use in diagnostic or therapeutic procedures.
相關產品
靶點詳情
-
功能:Catalyzes the covalent attachment of ubiquitin to other proteins. Specific substrate for UBA6, not charged with ubiquitin by UBE1. May be involved in apoptosis regulation.
-
基因功能參考文獻:
- The SNP rs46522 in UBE2Z gene is associated with the risk of coronary Artery disease in the individuals of Chinese Han descent with type 2 diabetes and is of synergistic effect with Body mass index. PMID: 28840129
- we found that USE1 proteins were frequently overexpressed in human lung cancer. Furthermore, overexpression of USE1 promoted in vivo and in vitro proliferation, migration, and invasion. PMID: 28376205
- Association of UBE2Z single nucleotide polymorphism rs46522 with the susceptibility to coronary artery disease in an Iranian population. PMID: 26602883
- UBE2Z was widely expressed in human tissues and is located on chromosome 17q21. PMID: 17160626
- In tissue culture cells, Uba6 is required for charging a previously uncharacterized Uba6-specific E2 (Use1), whereas Ube1 is required for charging the cell-cycle E2s Cdc34A and Cdc34B PMID: 17597759
顯示更多
收起更多
-
亞細胞定位:Cytoplasm. Nucleus.
-
蛋白家族:Ubiquitin-conjugating enzyme family
-
組織特異性:Widely expressed. Highly in placenta, pancreas, spleen and testis.
-
數據庫鏈接:
Most popular with customers
-
-
YWHAB Recombinant Monoclonal Antibody
Applications: ELISA, WB, IHC, IF, FC
Species Reactivity: Human, Mouse, Rat
-
Phospho-YAP1 (S127) Recombinant Monoclonal Antibody
Applications: ELISA, WB, IHC
Species Reactivity: Human
-
-
-
-
-















