SMURF1 Monoclonal Antibody
-
中文名稱:SMURF1鼠單克隆抗體
-
貨號:CSB-MA875720A0m
-
規格:¥1320
-
圖片:
-
Western Blot
Positive WB detected in: Hela whole cell lysate, HepG2 whole cell lysate, MCF7 whole cell lysate, A549 whole cell lysate, PC-3 whole cell lysate
All lanes: SMURF1 antibody at 1:1000
Secondary
Goat polyclonal to mouse IgG at 1/50000 dilution
Predicted band size: 86 kDa
Observed band size: 86 KDa
Exposure time:5min -
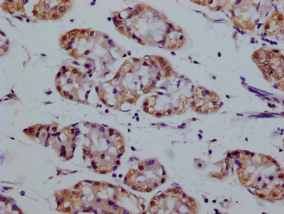
IHC image of CSB-MA875720A0m diluted at 1:100 and staining in paraffin-embedded human prostate tissue performed on a Leica BondTM system. After dewaxing and hydration, antigen retrieval was mediated by high pressure in a citrate buffer (pH 6.0). Section was blocked with 10% normal goat serum 30min at RT. Then primary antibody (1% BSA) was incubated at 4°C overnight. The primary is detected by a biotinylated secondary antibody and visualized using an HRP conjugated SP system.
-
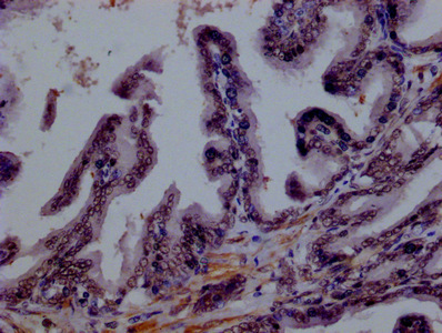
IHC image of CSB-MA875720A0m diluted at 1:100 and staining in paraffin-embedded human stomach tissue performed on a Leica BondTM system. After dewaxing and hydration, antigen retrieval was mediated by high pressure in a citrate buffer (pH 6.0). Section was blocked with 10% normal goat serum 30min at RT. Then primary antibody (1% BSA) was incubated at 4°C overnight. The primary is detected by a biotinylated secondary antibody and visualized using an HRP conjugated SP system.
-
Immunofluorescence staining of Hela cells with CSB-MA875720A0m at 1:100, counter-stained with DAPI. The cells were fixed in 4% formaldehyde and blocked in 10% normal Goat Serum. The cells were incubated with the antibody overnight at 4°C. Nuclear DNA was labeled in blue with DAPI. The secondary antibody was FITC-conjugated AffiniPure Goat Anti-Mouse IgG (H+L).
-
Immunofluorescence staining of HepG2 cells with CSB-MA875720A0m at 1:100, counter-stained with DAPI. The cells were fixed in 4% formaldehyde and blocked in 10% normal Goat Serum. The cells were incubated with the antibody overnight at 4°C. Nuclear DNA was labeled in blue with DAPI. The secondary antibody was FITC-conjugated AffiniPure Goat Anti-Mouse IgG (H+L).
-
Overlay Peak curve showing Hela cells stained with CSB-MA875720A0m (red line) at 1:100. The cells were incubated in 10% normal goat serum to block non-specific protein-protein interactions followed by the antibody (1μg/1*106cells) for 1h at 4°C. The secondary antibody used was FITC-conjugated Goat Anti-Mouse IgG(H+L) at 1/100 dilution for 30min at 4°C. Isotype control antibody (green line) was mouse IgG1 (1μg/1*106cells) used under the same conditions. Acquisition of >10,000 events was performed.
-
-
其他:
產品詳情
-
產品描述:CUSABIO貨號:CSB-MA875720A0m SMURF1單克隆抗體是專為科研工作者設計的特異性檢測工具,靶向調控細胞信號轉導的關鍵因子SMURF1蛋白。SMURF1作為HECT結構域泛素連接酶家族成員,通過介導TGF-β/BMP信號通路參與細胞遷移、凋亡調控及腫瘤微環境形成等生物學過程,在腫瘤發生發展與轉移機制研究中具有重要科研價值。本產品采用雜交瘤技術制備,經嚴格驗證適用于酶聯免疫吸附(ELISA)、蛋白質印跡(WB)、免疫組織化學(IHC)、免疫熒光(IF)及流式細胞術(FC)等多種實驗體系,能夠特異性識別人類來源的SMURF1抗原表位。其高批次穩定性與低交叉反應特性確保了實驗數據的可靠性,特別適用于腫瘤生物學研究、信號通路解析、泛素化修飾機制探索等基礎科研領域。該抗體在Hela細胞裂解液及人肝組織樣本中展現出優異檢測性能,為研究者深入探究SMURF1在細胞周期調控、上皮間質轉化(EMT)及腫瘤轉移中的分子機制提供了高質量試劑支持,是信號轉導研究與腫瘤微環境分析的重要工具。
-
產品名稱:Mouse anti-Homo sapiens (Human) SMURF1 Monoclonal antibody
-
Uniprot No.:
-
基因名:
-
別名:E3 ubiquitin-protein ligase SMURF1 antibody; hSMURF1 antibody; KIAA1625 antibody; Smad specific E3 ubiquitin ligase 1 antibody; SMAD specific E3 ubiquitin protein ligase 1 antibody; Smad ubiquitination regulatory factor 1 antibody; SMAD-specific E3 ubiquitin-protein ligase 1 antibody; SMUF1_HUMAN antibody; SMURF 1 antibody; smurf1 antibody
-
宿主:Mouse
-
反應種屬:Human
-
免疫原:Recombinant Human E3 ubiquitin-protein ligase SMURF1 protein (198-374AA)
-
免疫原種屬:Homo sapiens (Human)
-
標記方式:Non-conjugated
-
克隆類型:Monoclonal
-
抗體亞型:IgG2a
-
純化方式:>95%, Protein G purified
-
克隆號:1A9H4
-
濃度:It differs from different batches. Please contact us to confirm it.
-
保存緩沖液:Preservative: 0.03% Proclin 300
Constituents: 50% Glycerol, 0.01M PBS, PH 7.4 -
產品提供形式:Liquid
-
應用范圍:ELISA, WB, IHC, IF, FC
-
推薦稀釋比:
Application Recommended Dilution WB WB:1:1000-1:5000 IHC 1:50-1:200 IF 1:50-1:200 FC 1:50-1:200 -
Protocols:
-
儲存條件:Upon receipt, store at -20°C or -80°C. Avoid repeated freeze.
-
貨期:Basically, we can dispatch the products out in 1-3 working days after receiving your orders. Delivery time maybe differs from different purchasing way or location, please kindly consult your local distributors for specific delivery time.
-
用途:For Research Use Only. Not for use in diagnostic or therapeutic procedures.
相關產品
靶點詳情
-
功能:E3 ubiquitin-protein ligase that acts as a negative regulator of BMP signaling pathway. Mediates ubiquitination and degradation of SMAD1 and SMAD5, 2 receptor-regulated SMADs specific for the BMP pathway. Promotes ubiquitination and subsequent proteasomal degradation of TRAF family members and RHOA. Promotes ubiquitination and subsequent proteasomal degradation of MAVS. Plays a role in dendrite formation by melanocytes.
-
基因功能參考文獻:
- Nedd8 binding to Smurf plays important roles in the regulation of cell migration and the BMP and TGFbeta signaling pathways. PMID: 28169289
- Expression of Smurf1 was increased with WHO grade and was consistent with poor prognosis of gliomas. PMID: 28321604
- Smurf1 interacts with and targets Securin, an inhibitor of sister-chromatid separation, for poly-ubiquitination and proteasomal degradation. PMID: 28658604
- Smurf1 overexpression decreases USP25 protein turnover, and the E3 ligase enzymatic activity of Smurf1 is required for USP25 degradation. PMID: 29518389
- SMURF1 can be potentially used as a clinical biomarker and target for novel treatment of human GC. PMID: 28731194
- Uev1A appears to be involved in the BMP signaling pathway in which it collaborates with a ubiquitin E3 ligase Smurf1 to promote Smad1 degradation in a Ubc13-independent manner. PMID: 28771228
- High smurf1 expression is associated with neoplasms. PMID: 27036023
- activation of AMPK upregulated Smad6 and Smurf1 and thereby enhanced their interactions, resulting in its proteosome-dependent degradation of ALK2. PMID: 28847510
- we propose that the PKA-Smurf1-PIPKIgamma pathway has an important role in pulmonary tumorigenesis and imposes substantial clinical impact on development of novel diagnostic markers and therapeutic targets for lung cancer treatment. PMID: 28581524
- SMURF1 is increased in patients with pulmonary arterial hypertension PMID: 27214554
- Data suggest that SMURF1 is required for S phase progression; SMURF1 promotes ubiquitination-dependent degradation of WEE1; these functions of SMURF1 appear to be linked and may be important in cell proliferation and tumorigenesis. (SMURF1 = SMAD specific E3 ubiquitin protein ligase 1; WEE1 = wee 1 homolog [S pombe] protein) PMID: 28294307
- Taken together, our study for the first time clarified that the E3 ligase Smurf1 regulates USP5 protein stability and USP5-mediated TNF-alpha production through the ubiquitin proteasome pathway. PMID: 27133717
- results reveal the regulatory circuit between RUNX2 and SMURF1 controls RUNX2 expression and regulates odntoblastic differentiation in hDPSCs. PMID: 25260729
- EGF/Smurf1 inhibits Wnt/beta-catenin-induced osteogenic differentiation and that Smurf1 downregulates Wnt/b-catenin signaling by enhancing proteasomal degradation of beta-catenin. PMID: 26015066
- a model that CD166 regulates MCAM through a signaling flow from activation of PI3K/AKT and c-Raf/MEK/ERK signaling to the inhibition of potential MCAM ubiquitin E3 ligases, betaTrCP and Smurf1. PMID: 26004137
- SND1 promoted expression of the E3 ubiquitin ligase Smurf1, leading to RhoA ubiquitination and degradation. PMID: 25596283
- NF-kappaB bind to the -411 to -420 region of the SMURF1 promoter and plays an essential role in the expression of SMURF1. PMID: 26252093
- Smurf1 determines cell apoptosis rates downstream of DNA damage-induced ATR/Chk1 signalling by promoting degradation of RhoB. PMID: 25249323
- The role of SMURF1 and inhibition of BMP signaling in maintaining a CSC-like population was confirmed by the loss of a CD44(high) expressing. PMID: 25471937
- Results suggest that elevated transcription and expression levels of ubiquitin ligase E3s WWP1, Smurf1 and Smurf2 genes may be the mechanisms of occurrence, development and metastasis of prostate cancer. PMID: 25051198
- Fbxo3 promotes the proteasomal degradation of Smurf1. Fbxo3 promotes the poly-ubiquitination of Smurf1. PMID: 25721664
- TRIB2 associated-ubiquitin E3 ligases beta-transducin repeat-containing E3 ubiquitin protein ligase (beta-TrCP), COP1 and Smad ubiquitination regulatory factor 1 (Smurf1) reduced TCF4/beta-Catenin expression, and these effects could be enhanced by TRIB2. PMID: 25311538
- association of cortactin with Pfn-1 is regulated by c-Abl-mediated cortactin phosphorylation PMID: 24700460
- Smurf1 is localized within the Hirano bodies of Alzheimer's disease brains. PMID: 24238996
- CKIP-1 controlled Smurf1 expression in colon cancer PMID: 23995790
- Inhibiting Smurf1 mediated ubiquitination of Smad1/5. PMID: 24828823
- Results suggest that EGF-induced SMURF1 plays a role in breast cancer cell migration and invasion through the downregulation of RhoA. PMID: 24241683
- impaired phosphorylation and ubiquitination by p70S6K and Smurf1 increase the protein stability of TRIB2 in liver cancer PMID: 24089522
- Data indicate that Smad ubiquitin regulatory factor Smurf1 regulates cell migration through ubiquitination of tumor necrosis factor receptor-associated factor 4 (TRAF4). PMID: 23760265
- Resistance exercise resulted in a significant downregulation of MSTN and FBXO32 mRNA expression and a significant upregulation in FSTL3 and SMURF1 mRNA expression, and carbohydrate and protein feeding have little influence on the these markers expression. PMID: 22476926
- Smurf1 turnover is mediated by Ckip-1 and Rpt6. PMID: 23032291
- The expression of SMURF1 is enhanced in hepatocellular carcinoma, which may have played a role in the disease through affecting apoptosis and proliferation of hepatic cancer cells. PMID: 23042388
- USP9X is an important regulatory protein of SMURF1. PMID: 23184937
- Ndfip1 negatively regulates RIG-I-dependent immune signaling by enhancing E3 ligase Smurf1-mediated MAVS degradation. PMID: 23087404
- A Cdh1-APC/Smurf1/RhoA pathway that mediates axonal growth suppression in the developing mammalian brain. PMID: 22949615
- Smurf1 is a negative feedback regulator for IFN-gamma signaling by targeting STAT1 for ubiquitination and proteasomal degradation. PMID: 22474288
- Inflammatory cytokines led to direct activation of Smurf1 and downregulation of miR-17, thereby increasing degradation of Smurf1-mediated osteoblast-specific factors. PMID: 21898695
- studies uncover a cell-cycle-independent function of Cdh1, establishing Cdh1 as an upstream component that governs Smurf1 activity PMID: 22152476
- SMURF1 is an amplified oncogene driving multiple tumorigenic phenotypes in pancreatic cancer PMID: 21887346
- Data report that the C2 domain of Smurf1 is necessary and sufficient for binding RhoA, and therefore is crucial for targeting RhoA for ubiquitination. PMID: 21708152
- ER stress induces Smurf1 degradation and WFS1 up-regulation PMID: 21454619
- the Smurf1 C2 domain has a role in substrate selection and cellular localization PMID: 21402695
- This study provided the first evidence that Smurf1 functions as an E3 ligase to promote the ubiquitination and proteasomal degradation of KLF2. PMID: 21382345
- These results suggest a new role of Smurf1 in inflammation and immunity through controlling the degradation of TRAFs. PMID: 19937093
- plasma membrane localization of Smad7 by Smurf1 requires the C2 domain of Smurf1 and is essential for the inhibitory effect of Smad7 in the transforming growth factor-beta signaling pathway PMID: 12151385
- CRM1-dependent nuclear export of Smurf1 is essential for the negative regulation of TGF-beta signaling by Smad7. PMID: 12519765
- Smurf1 links the Cdc42/Rac1-PAR6 polarity complex to degradation of RhoA in lamellipodia and filopodia to prevent RhoA signaling during dynamic membrane movements PMID: 14657501
- Smad7 and Smurf1 have roles in regulation of TGF-beta signaling in scleroderma fibroblasts PMID: 14722617
- rhoA GTP-Binding Protein is targeted for ubiquitination and degradation via Smurf1 PMID: 15710384
- Smad6 interacts with Runx2 and mediates Smad ubiquitin regulatory factor 1-induced Runx2 degradation PMID: 16299379
顯示更多
收起更多
-
亞細胞定位:Cytoplasm. Cell membrane; Peripheral membrane protein; Cytoplasmic side.
-
組織特異性:Expressed in melanocytes.
-
數據庫鏈接:
Most popular with customers
-
-
YWHAB Recombinant Monoclonal Antibody
Applications: ELISA, WB, IHC, IF, FC
Species Reactivity: Human, Mouse, Rat
-
Phospho-YAP1 (S127) Recombinant Monoclonal Antibody
Applications: ELISA, WB, IHC
Species Reactivity: Human
-
-
-
-
-















