PD-L2 Monoclonal Antibody
-
中文名稱:PD-L2鼠單克隆抗體
-
貨號:CSB-MA017667A0m
-
規格:¥1320
-
圖片:
-
Western Blot
Positive WB detected in: HepG2 whole cell lysate, Hela whole cell lysate, PC-3 whole cell lysate, A549 whole cell lysate
All lanes PD-L2 antibody at 1:2000
Secondary
Goat polyclonal to mouse IgG at 1/50000 dilution
Predicted band size: 31,21 KDa
Observed band size: 45-50 KDa
Exposure time:5min -
Western Blot
Positive WB detected in: Hela whole cell lysate at 20μg, 10μg, 5μg, 2.5μg, 1.25μg
All lanes: PD-L2 antibody at 1:2000
Secondary
Goat polyclonal to mouse IgG at 1/50000 dilution
Predicted band size: 31,21 KDa
Observed band size: 45-50 KDa
Exposure time:5min -
Western Blot
Positive WB detected in: 15μg hela whole cell lysate PD-L2 antibody at 1:5000, 1:10000, 1:20000, 1:40000, 1:80000, 1:160000, 1:320000, 1:640000
Secondary
Goat polyclonal to mouse IgG at 1/50000 dilution
Predicted band size: 31,21 KDa
Observed band size: 45-50 KDa
Exposure time:5min -
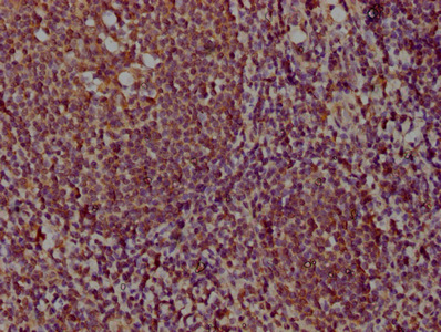
IHC image of CSB-MA017667A0m diluted at 1:100 and staining in paraffin-embedded human tonsil tissue performed on a Leica BondTM system. After dewaxing and hydration, antigen retrieval was mediated by high pressure in a citrate buffer (pH 6.0). Section was blocked with 10% normal goat serum 30min at RT. Then primary antibody (1% BSA) was incubated at 4°C overnight. The primary is detected by a biotinylated secondary antibody and visualized using an HRP conjugated SP system.
-
Immunofluorescence staining of HepG2 cells with CSB-MA017667A0m at 1:100, counter-stained with DAPI. The cells were incubated with the antibody overnight at 4°C. Nuclear DNA was labeled in blue with DAPI. The secondary antibody was FITC-conjugated AffiniPure Goat Anti-Mouse IgG (H+L).
-
Immunofluorescence staining of Hela cells with CSB-MA017667A0m at 1:100, counter-stained with DAPI. The cells were incubated with the antibody overnight at 4°C. Nuclear DNA was labeled in blue with DAPI. The secondary antibody was FITC-conjugated AffiniPure Goat Anti-Mouse IgG (H+L).
-
Immunofluorescence staining of Raji cells with CSB-MA017667A0m at 1:100, counter-stained with DAPI. The cells were incubated with the antibody overnight at 4°C. Nuclear DNA was labeled in blue with DAPI. The secondary antibody was FITC-conjugated AffiniPure Goat Anti-Mouse IgG (H+L).
-
Immunofluorescence staining of U251 cells with CSB-MA017667A0m at 1:100, counter-stained with DAPI. The cells were incubated with the antibody overnight at 4°C. Nuclear DNA was labeled in blue with DAPI. The secondary antibody was FITC-conjugated AffiniPure Goat Anti-Mouse IgG (H+L).
-
Overlay histogram showing 293 cells transfected with PD-L2 stained with CSB-MA017667A0m (red line). The cells were incubated in 10% normal goat serum to block non-specific protein-protein interactions followed by the antibody (2µg/1*106cells) for 1 h at 4°C. The secondary antibody used was R-PE-conjugated Goat Anti-Mouse IgG(H+L) at 1/100 dilution for 30min at 4°C. Isotype control antibody (green line) was mouse IgG2b (2µg/1*106cells) used under the same conditions. Acquisition of >10,000 events was performed.
-
Immunoprecipitating PD-L2 in Hela whole cell lysate
Lane 1: Mouse control IgG instead of CSB-MA017667A0m in Hela whole cell lysate
Lane 2: CSB-MA017667A0m (2µl) + Hela whole cell lysate (500µg)
Lane 3: Hela whole cell lysate (20µg)
For western blotting, the blot was detected with CSB-MA017667A0m at 1:2000, and a HRP-conjugated Protein G antibody was used as the secondary antibody at 1:2000
-
-
其他:
產品詳情
-
產品描述:PD-L2單克隆抗體(CUSABIO貨號:CSB-MA017667A0m)是針對程序性死亡配體2(PD-L2)研發的高特異性科研工具,該靶點作為PD-1受體重要配體之一,在腫瘤微環境中通過介導免疫檢查點信號參與調控T細胞活性,是腫瘤免疫逃逸機制研究的重點對象。本產品經多重實驗驗證,可穩定應用于人源樣本的ELISA、Western Blot、免疫組化(IHC)、免疫熒光(IF)、流式細胞術(FC)及免疫沉淀(IP)檢測,其種屬特異性嚴格限定于人類,滿足精準科研需求??贵w采用雜交瘤技術制備,具有高批次一致性與低交叉反應特性,適用于腫瘤免疫微環境分析、免疫治療機制探索及PD-1/PD-L信號通路相關研究,尤其在肺癌、黑色素瘤等實體瘤的免疫抑制機制解析中具有重要應用價值??蒲腥藛T可通過該抗體進行體外細胞模型構建、組織切片蛋白定位及信號通路互作研究,為開發新型免疫檢查點抑制劑提供可靠的實驗支持,助力癌癥免疫治療領域的前沿探索。
-
產品名稱:Mouse anti-Homo sapiens (Human) PDCD1LG2 Monoclonal Antibody antibody
-
Uniprot No.:
-
基因名:
-
別名:B7 dendritic cell molecule antibody; B7-DC antibody; B7DC antibody; bA574F11.2 antibody; Btdc antibody; Butyrophilin B7 DC antibody; Butyrophilin B7-DC antibody; Butyrophilin B7DC antibody; CD 273 antibody; CD273 antibody; CD273 antigen antibody; MGC142238 antibody; MGC142240 antibody; PD 1 ligand 2 antibody; PD L2 antibody; PD-1 ligand 2 antibody; PD-L2 antibody; PD1 ligand 2 antibody; PD1L2_HUMAN antibody; PDCD 1 ligand 2 antibody; PDCD1 ligand 2 antibody; PDCD1L2 antibody; Pdcd1lg2 antibody; PDL 2 antibody; PDL2 antibody; Programmed cell death 1 ligand 2 antibody; Programmed death ligand 2 antibody
-
宿主:Mouse
-
反應種屬:Human
-
免疫原:Recombinant Human Programmed cell death 1 ligand 2 protein (21-118AA)
-
免疫原種屬:Homo sapiens (Human)
-
標記方式:Non-conjugated
-
克隆類型:Monoclonal Antibody
-
抗體亞型:IgG2b
-
純化方式:>95%,Protein A purified
-
克隆號:7F11D11
-
濃度:It differs from different batches. Please contact us to confirm it.
-
保存緩沖液:Preservative: 0.03% Proclin 300
Constituents: 50% Glycerol, 0.01M PBS, PH 7.4 -
產品提供形式:Liquid
-
應用范圍:ELISA, WB, IHC, IF, FC, IP
-
推薦稀釋比:
Application Recommended Dilution WB 1:5000-1:640000 IHC 1:50-1:200 IF 1:50-1:200 FC 1:50-1:200 IP 2μl-5μl -
Protocols:
-
儲存條件:Upon receipt, store at -20°C or -80°C. Avoid repeated freeze.
-
貨期:Basically, we can dispatch the products out in 1-3 working days after receiving your orders. Delivery time maybe differs from different purchasing way or location, please kindly consult your local distributors for specific delivery time.
-
用途:For Research Use Only. Not for use in diagnostic or therapeutic procedures.
相關產品
靶點詳情
-
功能:Involved in the costimulatory signal, essential for T-cell proliferation and IFNG production in a PDCD1-independent manner. Interaction with PDCD1 inhibits T-cell proliferation by blocking cell cycle progression and cytokine production.
-
基因功能參考文獻:
- Our results confirm and extend prior studies of PD-L1 and provide new data of PD-L2 expression in lymphomas PMID: 29122656
- High PD-L2 expression may be a target of immunotherapy in patients with PD-L1-negative Non-small Cell Lung Cancer. PMID: 30275216
- The high-affinity PD-1 mutant could compete with the binding of antibodies specific to PD-L1 or PD-L2 on cancer cells. PMID: 29890018
- the binding affinities of the PD-1-PD-L1/PD-L2 co-inhibitory receptor system, was characterized. PMID: 27447090
- Tumor PDCD1LG2 expression is inversely associated with Crohn-like lymphoid reaction to colorectal cancer, suggesting a possible role of PDCD1LG2-expressing tumor cells in inhibiting the development of tertiary lymphoid tissues during colorectal carcinogenesis. PMID: 29038297
- The biopsy tumor key protein measurements demonstrate substantial between-tumor variation in expression ratios of these proteins and suggest that programmed cell death 1 ligand 2 PD-L2 is present in some tumors at levels sufficient to contribute to programmed cell death-1 PD-1-dependent T-cell regulation and possibly to affect responses to PD-1- and programmed cell death 1 ligand 1 PD-L1-blocking drugs. PMID: 28546465
- the positive rate of PD-L2 did not show any differences between primary tumors and metastatic lymph nodes. In multivariate analysis, PD-L1 expression, PD-L2 expression, a low density of CD8(+) T cells in primary tumors, and PD-1 expression on CD8(+) T cells in primary tumors were associated with poor prognosis. PMID: 28754154
- in some tumor types, PD-L2 expression is more closely linked to Th1/IFNG expression and PD-1 and CD8 signaling than PD-L1 PMID: 27837027
- Clinical response to pembrolizumab in patients with head and neck squamous cell carcinoma (HNSCC)may be related partly to blockade of PD-1/PD-L2 interactions. Therapy targeting both PD-1 ligands may provide clinical benefit in these patients. PMID: 28619999
- PD-L2 is regulated by both interferon beta and gamma signaling. PMID: 28494868
- Overexpression of PD-L1 and PD-L2 Is Associated with Poor Prognosis in Patients with Hepatocellular Carcinoma PMID: 27456947
- Data suggest that hormonal 1,25-dihydroxyvitamin D is a direct transcriptional inducer of genes encoding PDL1 and PDL2 in myeloid cells/macrophages; this up-regulation of gene expression appears to be species- and cells-specific. PMID: 29061851
- PD-L2 copy number gains were not related to PD-L2 augmentation in non-small cell lung cancer. PMID: 27050074
- PD-L2 expression has been reported in 52% of esophageal adenocarcinomas but little is known about the expression of other immune checkpoints PMID: 28561677
- Low PD-L2 expression is associated with pediatric solid tumors. PMID: 28488345
- this study shows that higher PD-L2 expression on blood dendritic cells, from Plasmodium falciparum-infected individuals, correlates with lower parasitemia PMID: 27533014
- PD-L1/PD-L2 copy number alterations are a defining feature of classical Hodgkin lymphoma. PMID: 27069084
- PDL2 was overexpressed in Epstein Barr virus-associated gastric adenocarcinoma. PMID: 26980034
- higher expression of PD-L1 and PD-L2 on CD1a(+) cells than that on CD83(+) cells in cutaneous squamous cell carcinoma tumour tissues may contribute to negative regulation in anti-tumour immune responses PMID: 28052400
- stable ectopic expression of wild-type PDCD1LG2 and the PDCD1LG2-IGHV7-81 fusion showed, in coculture, significantly reduced T-cell activation. PMID: 27268263
- The expression levels of PD-1, PD-L1 and PD-L2 in CD3(+) T cells and CD19(+) B cells and serum IFN-gamma level in progressive hepatocellular carcinoma patients were significantly higher than controls. PMID: 27609582
- Downregulation of the immunosuppressive molecules, PD-1 and PD-L1, may imply that over-activation of immune cells in multiple sclerosis occurs through signaling dysfunction of these molecules and PD-L2 plays no important role in this context PMID: 27921410
- an IL-27/Stat3 axis induces expression of programmed cell death 1 ligands (PD-L1/2) on infiltrating macrophages in lymphoma PMID: 27564404
- High PD-L2 expression is associated with Renal Cell Carcinoma. PMID: 26464193
- knocking down in dendritic cells results in activation of inflammatory T cells PMID: 26599163
- We observed cogain or coamplification of CD274 and PDCD1LG2 in 32 of 48 cervical and 10 of 23 vulvar squamous cell carcinomas PMID: 26913631
- PD-L2 expression was neither associated with VEGF-TKI responsiveness nor patients' outcome PMID: 26424759
- PD-L1 and PD-L2 are useful new markers for identifying select histiocyte and dendritic cell disorders and reveal novel patient populations as rational candidates for immunotherapy PMID: 26752545
- Genomic amplification of 9p24.1 targeting JAK2, PD-L1, and PD-L2 is enriched in high-risk triple negative breast cancer. PMID: 26317899
- the inflammatory environment in Barrett's esophagus and esophageal adenocarcinoma may contribute to the expression of PD-L2. PMID: 26081225
- PDL2 could promote the ability of human placenta-derived mesenchymal stromal cells to augment the secretion of IL-10. PMID: 26432559
- We suggest that decreased expression of programmed death-ligand 1, 2 on psoriatic epidermis can contribute to its chronic unregulated inflammatory characteristics. PMID: 26133691
- Suggest role for PD-L2 in recurrence of hepatitis C infection post orthotopic liver transplantation. PMID: 25675203
- Report PD-L2 expression in breast neoplasms. PMID: 26541326
- Data indicate that pulmonary pleomorphic carcinoma (PC) very frequently express CD274 antigen (PD-L1) and CD273 antigen (PD-L2). PMID: 26329973
- PD-L1 and PD-L2 expression in pulmonary squamous cell carcinoma is associated with an increased number of CD8(+) tumor infiltrating lymphocytess and increased MET expression. PMID: 25662388
- Results show that human-derived chordoma cell lines demonstrate inducible expression of PD-L1 and PD-L2, and that primary chordoma tissue shows variable expression of PD-1 and PD-L1 in infiltrating immune cells PMID: 25349132
- conclude that PD-L2 protein is robustly expressed by the majority of primary mediastinal (thymic) large B-cell lymphomas PMID: 25025450
- PD-1/PD-Ls pathways on PMCs inhibited proliferation and adhesion activity of CD4+ T cells, suggesting that Mycobacterium tuberculosis might exploit PD-1/PD-Ls pathways to evade host cell immune response in human. PMID: 24406080
- High Expression of PD-L2 is associated with myelodysplastic syndromes. PMID: 24270737
- Data indicate that the bone morphogenetic proteins (BMPs) signaling pathway regulates PD-L1 and PD-L2 expression in monocyte-derived dendritic cells (MoDCs) during the maturation process. PMID: 24532425
- Recurrent genomic rearrangement events in CD274 and PDCD1LG2 underlie an immune privilege phenotype in a subset of B-cell lymphomas. PMID: 24497532
- PD-L1 and PD-L2 expressed on hPMSCs could inhibit the hPMSCs-mediated up-regulation on the expression of IL-17 secreted by peripheral blood T cells PMID: 23388330
- Macrophages from infected animals show increased expression of PDL2 and CD80 that was dependent from the sex of the host. PMID: 23533995
- expression of PD-1 and its ligands, PD-L1 and PD-L2, in liver biopsies from HBV-related acute-on-chronic liver failure (HBV-ACLF) and chronic hepatitis B (CHB) patients were analyzed; results showed all 3 molecules were observed in the HBV-ACLF samples and levels were significantly higher than in CHB PMID: 22895698
- Data show that PD-1, PD-L1, PD-L2, CCL17, and CCL22 mRNA was identified in papillomas. PMID: 22322668
- Data suggest that brain endothelial cells contribute to control T cell transmigration into the CNS and immune responses via PD-L2 but not PD-L1 expression. PMID: 22067141
- increased expression of PD-L2, as a costimulatory molecule, may have an important modulatory function on the local immune responses of OLP in vivo. PMID: 21457347
- Data suggest that PD-L1 may contribute to negative regulation of the immune response in chronic hepatitis B, and that PD-1 and PD-L1 and 2 may play a role in immune evasion of tumors. PMID: 21876620
- Our results suggest that PD-1 G-536A, PD-L1 A8923C and PD-L2 C47103T polymorphisms are associated with the presence of ankylosing spondylitis. PMID: 21791547
顯示更多
收起更多
-
亞細胞定位:[Isoform 3]: Secreted.; [Isoform 2]: Endomembrane system; Single-pass type I membrane protein.; [Isoform 1]: Cell membrane; Single-pass type I membrane protein.
-
蛋白家族:Immunoglobulin superfamily, BTN/MOG family
-
組織特異性:Highly expressed in heart, placenta, pancreas, lung and liver and weakly expressed in spleen, lymph nodes and thymus.
-
數據庫鏈接:
Most popular with customers
-
-
YWHAB Recombinant Monoclonal Antibody
Applications: ELISA, WB, IHC, IF, FC
Species Reactivity: Human, Mouse, Rat
-
Phospho-YAP1 (S127) Recombinant Monoclonal Antibody
Applications: ELISA, WB, IHC
Species Reactivity: Human
-
-
-
-
-















