MAPK9 Monoclonal Antibody
-
中文名稱:MAPK9 Monoclonal Antibody
-
貨號:CSB-MA942854
-
規格:¥1320
-
圖片:
-
Flow cytometric analysis of Mitogen-activated protein kinase 9 expression in HeLa cells using Mitogen-activated protein kinase 9 antibody. Green, isotype control; red, Mitogen-activated protein kinase 9.
-
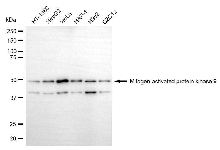
Western blotting analysis using mitogen-activated protein kinase 9 antibody. Total cell lysates (30 μg) from various cell lines were loaded and separated by SDS-PAGE. The blot was incubated with mitogen-activated protein kinase 9 antibody and HRP-conjugated goat anti-mouse secondary antibody respectively.
-
-
其他:
產品詳情
-
產品名稱:Mouse anti-Homo sapiens (Human) MAPK9 Monoclonal antibody
-
Uniprot No.:
-
基因名:
-
別名:MAPK9; Mitogen-Activated Protein Kinase 9; JNK2; PRKM9; P54a; SAPK; Stress-Activated Protein Kinase JNK2; Stress-Activated Protein Kinase 1a; C-Jun N-Terminal Kinase; MAP Kinase 9; EC 2.7.11.24; Jun Kinase; JNK-55; SAPK1a; MAPK 9; C-Jun Kinase; JNK2ALPHA; EC 2.7.11; JNK2BETA; P54aSAPK; SAPK1A; JNK2A; JNK2B
-
宿主:Mouse
-
反應種屬:Human, Mouse, Rat
-
免疫原:Recombinant Human MAPK9 protein
-
免疫原種屬:Homo sapiens (Human)
-
標記方式:Non-conjugated
-
克隆類型:Monoclonal
-
抗體亞型:Mouse IgG1
-
純化方式:Affinity-chromatography
-
克隆號:8F8
-
濃度:It differs from different batches. Please contact us to confirm it.
-
保存緩沖液:PBS (pH 7.4) containing 50% glycerol, and 0.02% sodium azide.
-
產品提供形式:Liquid
-
應用范圍:ELISA, WB, FC
-
推薦稀釋比:
Application Recommended Dilution WB 1:2500-1:5000 FC 1:200-1:2000 -
Protocols:
-
儲存條件:Upon receipt, store at -20°C or -80°C. Avoid repeated freeze.
-
貨期:Basically, we can dispatch the products out in 1-3 working days after receiving your orders. Delivery time maybe differs from different purchasing way or location, please kindly consult your local distributors for specific delivery time.
-
用途:For Research Use Only. Not for use in diagnostic or therapeutic procedures.
相關產品
靶點詳情
-
功能:Serine/threonine-protein kinase involved in various processes such as cell proliferation, differentiation, migration, transformation and programmed cell death. Extracellular stimuli such as proinflammatory cytokines or physical stress stimulate the stress-activated protein kinase/c-Jun N-terminal kinase (SAP/JNK) signaling pathway. In this cascade, two dual specificity kinases MAP2K4/MKK4 and MAP2K7/MKK7 phosphorylate and activate MAPK9/JNK2. In turn, MAPK9/JNK2 phosphorylates a number of transcription factors, primarily components of AP-1 such as JUN and ATF2 and thus regulates AP-1 transcriptional activity. In response to oxidative or ribotoxic stresses, inhibits rRNA synthesis by phosphorylating and inactivating the RNA polymerase 1-specific transcription initiation factor RRN3. Promotes stressed cell apoptosis by phosphorylating key regulatory factors including TP53 and YAP1. In T-cells, MAPK8 and MAPK9 are required for polarized differentiation of T-helper cells into Th1 cells. Upon T-cell receptor (TCR) stimulation, is activated by CARMA1, BCL10, MAP2K7 and MAP3K7/TAK1 to regulate JUN protein levels. Plays an important role in the osmotic stress-induced epithelial tight-junctions disruption. When activated, promotes beta-catenin/CTNNB1 degradation and inhibits the canonical Wnt signaling pathway. Participates also in neurite growth in spiral ganglion neurons. Phosphorylates the CLOCK-ARNTL/BMAL1 heterodimer and plays a role in the regulation of the circadian clock. Phosphorylates POU5F1, which results in the inhibition of POU5F1's transcriptional activity and enhances its proteosomal degradation.; MAPK9 isoforms display different binding patterns: alpha-1 and alpha-2 preferentially bind to JUN, whereas beta-1 and beta-2 bind to ATF2. However, there is no correlation between binding and phosphorylation, which is achieved at about the same efficiency by all isoforms. JUNB is not a substrate for JNK2 alpha-2, and JUND binds only weakly to it.
-
基因功能參考文獻:
- Taken together, the silencing of H4R inhibited the H4R mediated Mast cell functions and SAPK/JNK phosphorylation. Furthermore, the H4R activation utilized SAPK/JNK signaling pathway for IL-1beta release in HMC-1 cells. PMID: 29863427
- RhoGDIbeta overexpression led to downregulation of miR-200c, whereas miR-200c was able directly to target 3'-UTR of jnk2mRNA and attenuated JNK2 protein translation, which resulted in attenuation of Sp1mRNA and protein expression in turn, inhibiting Sp1-dependent MMP-2 transcription. PMID: 28846829
- The MAP kinase JNK2 mediates cigarette smoke-induced tissue factor activation, arterial thrombosis and reactive oxygen species production. PMID: 27761579
- We found p-JNK2 up-regulation in AUC and its early down-regulation in UC-CRC and CRC carcinogenesis. PMID: 28383667
- JNK2 was a novel direct target of miR-20a-5p. PMID: 27494776
- Interleukin-1 acts via the JNK-2 signaling pathway to induce aggrecan degradation by human chondrocytes. PMID: 25776267
- miR200c attenuates P-gp-mediated MDR and metastasis by targeting JNK2/c-Jun signaling pathway in colorectal cancer. PMID: 25205654
- JNK2 activates pro-survival autophagy and inhibits palmitic acid lipotoxicity in hepatocytes. PMID: 24608675
- Our findings demonstrate that AKT/mTOR and JNK2 signaling pathways are required for chrysotile asbestos-induced autophagy PMID: 24735948
- These results indicate that JNK2 is essential for maintenance of normal intestinal epithelial homeostasis and maturation under biological conditions by differentially modulating HuR and CUGBP1. PMID: 24740539
- After overexpression and knockdown of XIAP, the AKT, pAKT, JNK2 and GSK3beta levels were determined in periodontal ligament cells. PMID: 24802394
- This study demonstrates that cyclic stretch disrupts tight junctions and adherens junctions by a JNK2, c-Src, and MLCK-dependent mechanism. PMID: 24722904
- Poly(ADP-ribose) polymerase family member 14 (PARP14) is a novel effector of the JNK2-dependent pro-survival signal in multiple myeloma. PMID: 23045269
- SREBP-1c is a novel insulin/JNK2-regulated gene and that the JNK2/SREBP-1c pathway mediates insulin-induced fatty acid synthesis, which may lead to enlargement of LDs in human adipocytes. PMID: 23515281
- JNK2 is activated during endoplasmic reticulum stress and promotes cell survival. PMID: 23171849
- Data indicate that WDR62 dimerization is required for JNK2 and MKK7beta1 recruitment. PMID: 23341463
- We observed that the phosphorylated expression of JNK2 was upregulated in the skin of patients with hypospadias compared with that in the normal prepuce in the levels of mRNA and protein. PMID: 23273084
- the effect of APRIL is mediated via BCMA, which does not activate the classical NF-kappaB pathway, whereas it induces a novel signaling pathway, which involves JNK2 phosphorylation, FOXO3A activation, and GADD45 transcription PMID: 23071284
- JNK2 regulated nucleolin expression and might in turn stabilize hif-1alpha mRNA. PMID: 22910906
- SEPW1 silencing increases MKK4, which activates p38gamma, p38delta, and JNK2 to phosphorylate p53 on Ser-33 and cause a transient G(1) arrest. PMID: 22730327
- ulinastatin inhibits the proliferation of human breast cancer cells and the growth of xenografted tumors.This mechanism might be related to decreasing signal transduction of JNk-2 and NF-kappaB. PMID: 22217202
- up-regulation of hepatic MRP3/ABCC3 expression in human obstructive cholestasis is likely triggered by TNFalpha, mediated by activation of JNK/SAPK and SP1. PMID: 22105759
- JNK/SAPK signal pathway plays an important role in regulating bFGF-mediated angiogenesis in HUVECs PMID: 21572099
- WDR62 signaling association with JNK2 requires both the JNK2 Cys-Asp (CD) and Glu-Asp (ED) domains. PMID: 21749326
- critical role for JNK2 and EPS8 in receptor tyrosine kinase signaling and trafficking to convey distinctly different effects on cell migration. PMID: 21357683
- JNK2alpha3 and JNK2beta3 showed different levels of substrate phosphorylation, although they both could promote the proliferation of 293T cells. PMID: 21110917
- these data demonstrates for the first time that JNK2a can regulate the transcriptional activity of STAT3 by phosphorylating the Ser727 residue, thereby regulating the expression of oncogenic genes, such as c-Myc. PMID: 20871632
- The role of JNK2 in the mechanism of osmotic stress-induced tight junction disruption in the intestinal epithelium in 3 species is described. PMID: 20595622
- JNK2 collaborates with other oncogenes, such as Ras, at multiple molecular levels to promote tumorigenesis PMID: 20354187
- Our results indicate that the activation of phosphorylated c-Jun NH2-terminal kinase may play a role in the carcinogenesis of basal-like and triple-negative breast carcinoma. PMID: 19913278
- Protein kinase D complexes with C-Jun N-terminal kinase via activation loop phosphorylation and phosphorylates the C-Jun N-terminus. PMID: 11948398
- involves TRAF4 in oxidative activation PMID: 12023963
- biochemical pathway exists wherein fluid shear activates cyclooxygenase-2, via a c-Jun N-terminal kinase2/c-Jun-dependent pathway, which in turn elicits downstream prostaglandin EP2 and EP3a1 receptor mRNA synthesis PMID: 12743126
- JNK2 functions in maintaining the genomic stability of mammalian cells by signaling that is independent of cyclin-dependent kinase 1/cyclin B1 down-regulation. PMID: 15262983
- analysis of the regions required for JNK2alpha2 autophosphorylation PMID: 15637069
- JIP1 and JIP3, have a cross-talk that leads to the regulation of the ASK1-SEK1-JNK signal during glucose deprivation; cross-talk between JIP3 and JIP1 is mediated through SEK1-JNK2 and Akt1. PMID: 15911620
- results indicate that the aberrant p-JNK1/2 expression and the co-expressed p-JNK1/2 and p-p38 in breast tissues may play a role in the carcinogenesis of breast IDC PMID: 16381010
- Results showed that certain regulation involved in c-myc, c-fos, and c-jun was present in the apoptosis, and the c-Myc dependent-on and Jun N-terminal kinase (JNK) pathway also play roles. PMID: 16552729
- we defined the kinetic mechanism for the active form of JNK2alpha2. PMID: 17397142
- Results indicate that purified JNK2 from transfected nonstressed 293T cells is a mixture of the mono-sites pThr183 and pTyr185 of its activation loop and of pThr386 along its unique C-terminal region. PMID: 17637567
- Neutrophils from transgenic JNK2 knockout mice (which are devoid of all JNK isoforms) demonstrate a requirement for JNK2 in Toxoplasma gondii infection-induced interleukin-12p40 and CCL2/MCP-1 production. PMID: 17785791
- These findings are consistent with JNK2 signaling playing a protective role in acetaminophen-induced liver injury. PMID: 18586006
- Player in triglyceride (TG) homeostasis and lipid droplet metabolism and, more specifically, in the regulation of lipolysis. PMID: 18612143
- Results suggest that the MAP kinase insert of JNK2 plays a role in the regulation of JNK2 activation, possibly by interacting with intracellular binding partners. PMID: 18801372
- JNK2 is linked, directly or indirectly, with SIRT1 protein stability and that this function is coupled with SIRT1 phosphorylation at serine 27. PMID: 18838864
- JNK2 alpha2 activity is dependent on a unique mechanism of MAPK activation PMID: 18940813
- detection of the mutation could characterize a subset of ET patients with distinct phenotype, despite its clinical significance being still undetermined PMID: 19093167
- Knock-down of JNK2 unexpectedly increased the intensity of differentiation intensity in human myeloid leukemia cells. PMID: 19339050
- Both cell protective (cell cycle progression) and destructive mechanisms (apoptosis) are simultaneously controlled by a single JNK isoform in the same cell system even under the influence of one stimulus. PMID: 19385049
- NAG7 plays a potential role in promoting nasopharyngeal carcinoma invasion by regulation of ERalpha and the H-ras/p-c-Raf and JNK2/AP-1/MMP1 signaling pathways. PMID: 19591174
顯示更多
收起更多
-
亞細胞定位:Cytoplasm. Nucleus.
-
蛋白家族:Protein kinase superfamily, CMGC Ser/Thr protein kinase family, MAP kinase subfamily
-
數據庫鏈接:
Most popular with customers
-
-
YWHAB Recombinant Monoclonal Antibody
Applications: ELISA, WB, IHC, IF, FC
Species Reactivity: Human, Mouse, Rat
-
-
-
-
-
-















