FBXO21 Monoclonal Antibody
-
中文名稱:FBXO21 Monoclonal Antibody
-
貨號:CSB-MA041523
-
規格:¥1320
-
圖片:
-
Flow cytometric analysis of FBXO21 expression in HAP-1 cells using FBXO21 antibody. Green, isotype control; red, FBXO21.
-
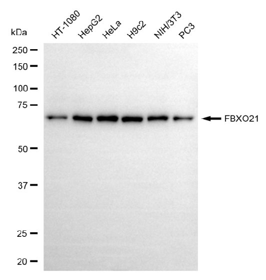
Western blotting analysis using FBXO21 antibody. Total cell lysates (30 μg) from various cell lines were loaded and separated by SDS-PAGE. The blot was incubated with FBXO21 antibody and HRP-conjugated goat mouse secondary antibody respectively.
-
-
其他:
產品詳情
-
產品名稱:Mouse anti-Homo sapiens (Human) FBXO21 Monoclonal antibody
-
Uniprot No.:
-
基因名:FBXO21
-
別名:FBXO21; F-Box Protein 21; FBX21; F-Box Only Protein 21; KIAA0875
-
宿主:Mouse
-
反應種屬:Human, Mouse, Rat
-
免疫原:Recombinant Human FBXO21 protein
-
免疫原種屬:Homo sapiens (Human)
-
標記方式:Non-conjugated
-
克隆類型:Monoclonal
-
抗體亞型:Mouse IgG2a
-
純化方式:Affinity-chromatography
-
克隆號:13F2
-
濃度:It differs from different batches. Please contact us to confirm it.
-
保存緩沖液:PBS (pH 7.4) containing 50% glycerol, and 0.02% sodium azide.
-
產品提供形式:Liquid
-
應用范圍:ELISA, WB, FC
-
推薦稀釋比:
Application Recommended Dilution WB 1:500-1:2500 FC 1:100-1:1000 -
Protocols:
-
儲存條件:Upon receipt, store at -20°C or -80°C. Avoid repeated freeze.
-
貨期:Basically, we can dispatch the products out in 1-3 working days after receiving your orders. Delivery time maybe differs from different purchasing way or location, please kindly consult your local distributors for specific delivery time.
-
用途:For Research Use Only. Not for use in diagnostic or therapeutic procedures.
相關產品
靶點詳情
-
功能:Substrate-recognition component of the SCF (SKP1-CUL1-F-box protein)-type E3 ubiquitin ligase complex.
-
基因功能參考文獻:
- Ser291-phosphorylated form of the multifunctional protein and stem cell marker, CD44, inhibits FBXO21-directed degradation of P-gp. PMID: 26299618
- SCF(FBXO21) polyubiquitylates EID1 both in vitro and in vivo and is required for the efficient degradation of EID1 in both cycling and quiescent cells. PMID: 26631746
- The results suggest that EID1 is a bona fide substrate of FBXO21 and that the control of EID1 abundance by SCF(FBXO)(21) might affect the transcriptional repression activity of EID1. PMID: 26085330
-
數據庫鏈接:
Most popular with customers
-
-
YWHAB Recombinant Monoclonal Antibody
Applications: ELISA, WB, IHC, IF, FC
Species Reactivity: Human, Mouse, Rat
-
Phospho-YAP1 (S127) Recombinant Monoclonal Antibody
Applications: ELISA, WB, IHC
Species Reactivity: Human
-
-
-
-
-















