ENO1 Monoclonal Antibody
-
中文名稱:ENO1鼠單克隆抗體
-
貨號:CSB-MA007670A0m
-
規格:¥1320
-
圖片:
-
Western Blot
Positive WB detected in: K562 whole cell lysate, NIH/3T3 whole cell lysate, Rat Brain tissue, Mouse Brain tissue, Rabbit Skeletal Muscle tissue, Rat Kidney tissue, Rabbit Kidney tissue
All lanes ENO1 antibody at 1:10000
Secondary
Goat polyclonal to mouse IgG at 1/10000 dilution
Predicted band size: 47 KDa
Observed band size: 47 KDa
Exposure time: 1min -
Western Blot
Positive WB detected in: MCF-7 whole cell lysate, Hela whole cell lysate, Jurkat whole cell lysate, HepG2 whole cell lysate
All lanes ENO1 antibody at 1:10000
Secondary
Goat polyclonal to mouse IgG at 1/10000 dilution
Predicted band size: 47 KDa
Observed band size: 47 KDa
Exposure time: 10s -
Western Blot
Positive WB detected in: HepG2 whole cell lysate at 20μg, 10μg, 5μg, 2.5μg, 1.25μg, 0.625μg
All lanes: ENO1 antibody at 1:5000
Secondary
Goat polyclonal to Mouse IgG at 1/10000 dilution
Predicted band size: 47 kDa
Observed band size: 47 KDa
Exposure time: 10s -
Western Blot
Positive WB detected in: MCF-7 whole cell lysate
All lanes: ENO1 antibody at 1:5000, 1:10000, 1:20000, 1:40000, 1:80000, 1:160000, 1:320000
Secondary
Goat polyclonal to Mouse IgG at 1/10000 dilution
Predicted band size: 47 kDa
Observed band size: 47 KDa
Exposure time: 10s -
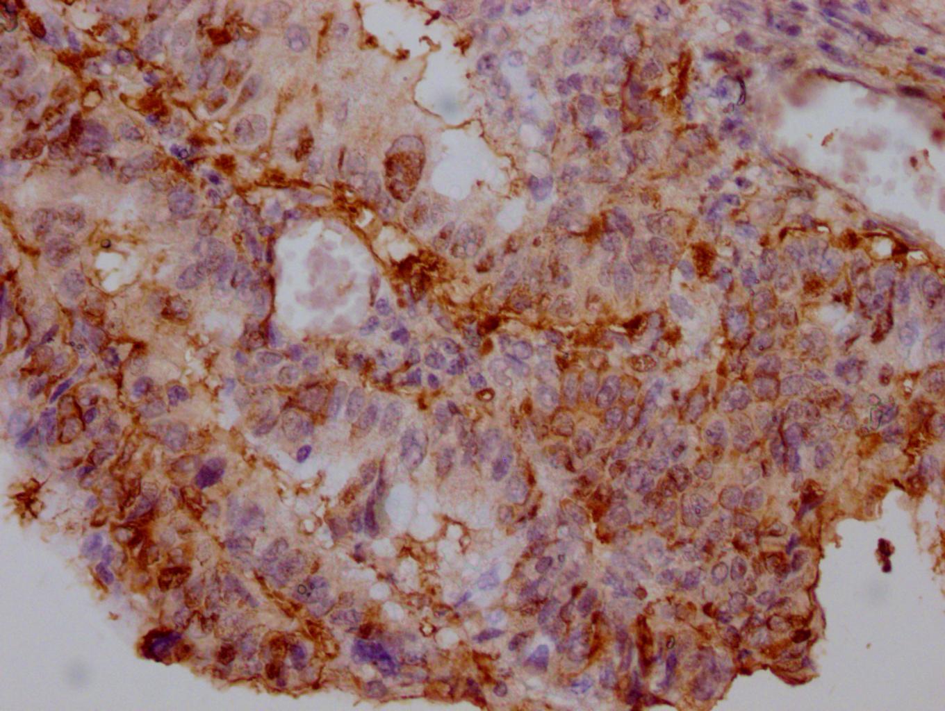
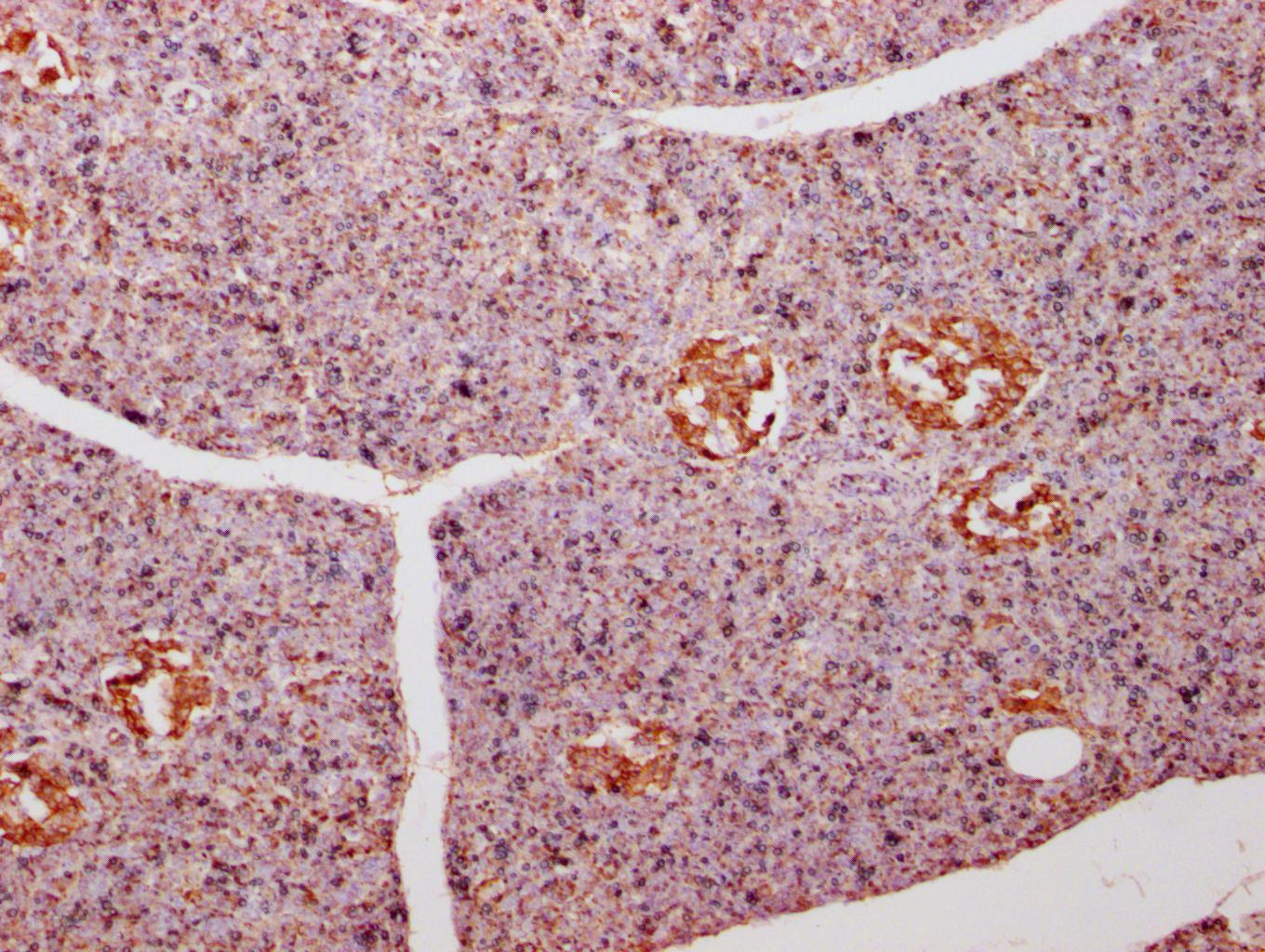
IHC image of CSB-MA007670A0m diluted at 1:500 and staining in paraffin-embedded human liver cancer tissue performed on a Leica BondTM system. After dewaxing and hydration, antigen retrieval was mediated by high pressure in a citrate buffer (pH 6.0). Section was blocked with 10% normal goat serum 30min at RT. Then primary antibody (1% BSA) was incubated at 4°C overnight. The primary is detected by a biotinylated secondary antibody and visualized using an HRP conjugated SP system.
-
IHC image of CSB-MA007670A0m diluted at 1:500 and staining in paraffin-embedded human liver cancer tissue performed on a Leica BondTM system. After dewaxing and hydration, antigen retrieval was mediated by high pressure in a citrate buffer (pH 6.0). Section was blocked with 10% normal goat serum 30min at RT. Then primary antibody (1% BSA) was incubated at 4°C overnight. The primary is detected by a biotinylated secondary antibody and visualized using an HRP conjugated SP system.
-
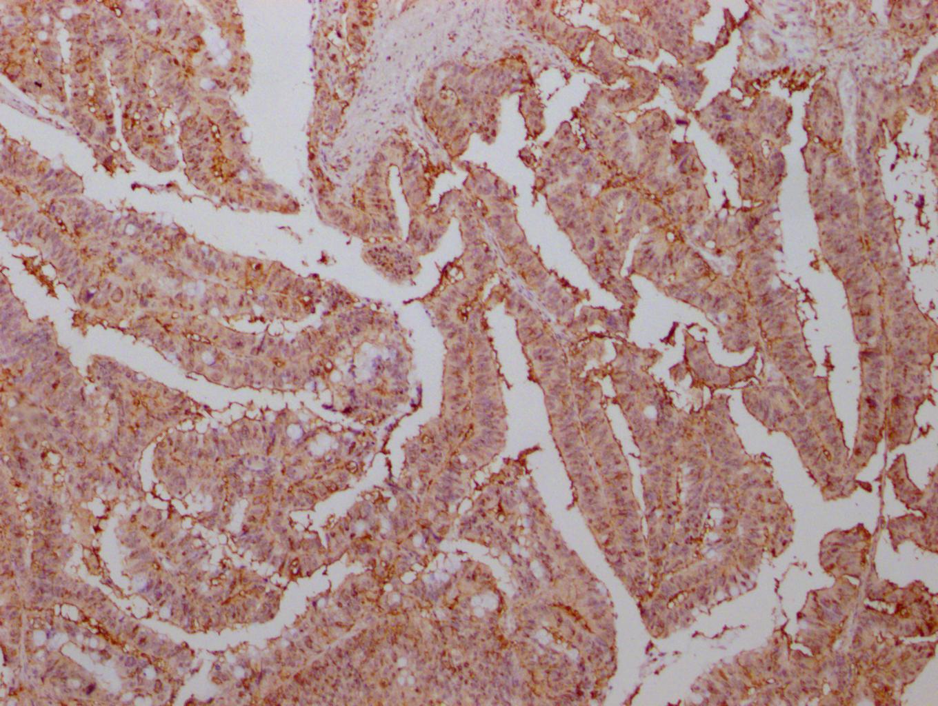
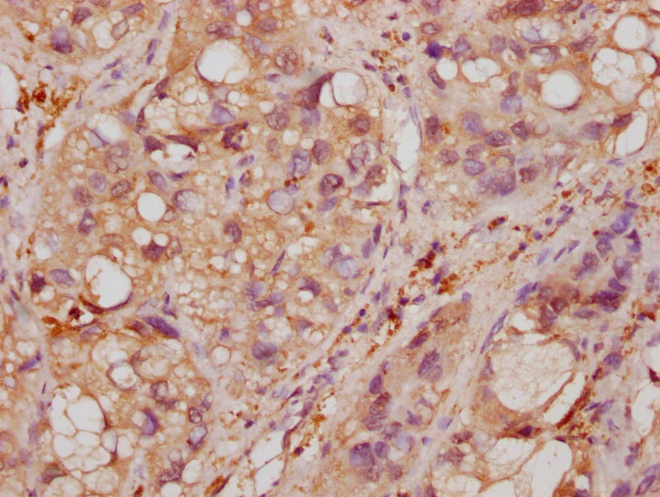
IHC image of CSB-MA007670A0m diluted at 1:500 and staining in paraffin-embedded human colon cancer tissue performed on a Leica BondTM system. After dewaxing and hydration, antigen retrieval was mediated by high pressure in a citrate buffer (pH 6.0). Section was blocked with 10% normal goat serum 30min at RT. Then primary antibody (1% BSA) was incubated at 4°C overnight. The primary is detected by a biotinylated secondary antibody and visualized using an HRP conjugated SP system.
-
IHC image of CSB-MA007670A0m diluted at 1:500 and staining in paraffin-embedded human colon cancer tissue performed on a Leica BondTM system. After dewaxing and hydration, antigen retrieval was mediated by high pressure in a citrate buffer (pH 6.0). Section was blocked with 10% normal goat serum 30min at RT. Then primary antibody (1% BSA) was incubated at 4°C overnight. The primary is detected by a biotinylated secondary antibody and visualized using an HRP conjugated SP system.
-
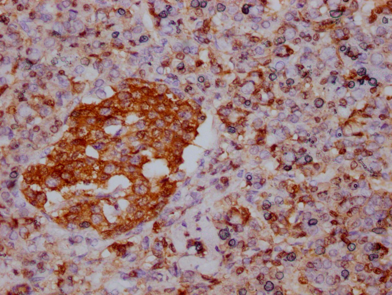
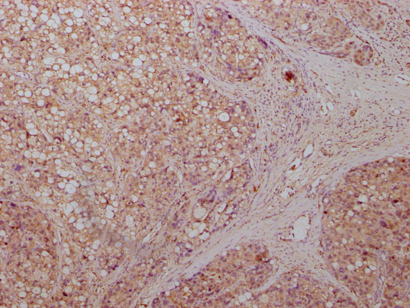
IHC image of CSB-MA007670A0m diluted at 1:500 and staining in paraffin-embedded human pancreas tissue performed on a Leica BondTM system. After dewaxing and hydration, antigen retrieval was mediated by high pressure in a citrate buffer (pH 6.0). Section was blocked with 10% normal goat serum 30min at RT. Then primary antibody (1% BSA) was incubated at 4°C overnight. The primary is detected by a biotinylated secondary antibody and visualized using an HRP conjugated SP system.
-
IHC image of CSB-MA007670A0m diluted at 1:500 and staining in paraffin-embedded human pancreas tissue performed on a Leica BondTM system. After dewaxing and hydration, antigen retrieval was mediated by high pressure in a citrate buffer (pH 6.0). Section was blocked with 10% normal goat serum 30min at RT. Then primary antibody (1% BSA) was incubated at 4°C overnight. The primary is detected by a biotinylated secondary antibody and visualized using an HRP conjugated SP system.
-
Immunofluorescence staining of MCF-7 cells with CSB-MA007670A0m at 1:130, counter-stained with DAPI. The cells were blocked in 10% normal Goat Serum and then incubated with the primary antibody overnight at 4°C. The secondary antibody was Alexa Fluor 488-congugated AffiniPure Goat Anti-Mouse IgG(H+L).
-
Immunofluorescence staining of Hela cells with CSB-MA007670A0m at 1:130, counter-stained with DAPI. The cells were blocked in 10% normal Goat Serum and then incubated with the primary antibody overnight at 4°C. The secondary antibody was Alexa Fluor 488-congugated AffiniPure Goat Anti-Mouse IgG(H+L).
-
Immunofluorescence staining of HepG2 cells with CSB-MA007670A0m at 1:130, counter-stained with DAPI. The cells were blocked in 10% normal Goat Serum and then incubated with the primary antibody overnight at 4°C. The secondary antibody was Alexa Fluor 488-congugated AffiniPure Goat Anti-Mouse IgG(H+L).
-
Overlay histogram showing Hela cells stained with CSB-MA007670A0m (red line) at 1:260. The cells were incubated in 1x PBS /10% normal goat serum to block non-specific protein-protein interactions followed by primary antibody for 1 h at 4°C. The secondary antibody used was FITC goat anti-mouse IgG(H+L) at 1/200 dilution for 1 h at 4°C. Isotype control antibody (green line) was used under the same conditions. Acquisition of >10,000 events was performed.
-
Overlay histogram showing MCF-7 cells stained with CSB-MA007670A0m (red line) at 1:260. The cells were incubated in 1x PBS /10% normal goat serum to block non-specific protein-protein interactions followed by primary antibody for 1 h at 4°C. The secondary antibody used was FITC goat anti-mouse IgG(H+L) at 1/200 dilution for 1 h at 4°C. Isotype control antibody (green line) was used under the same conditions. Acquisition of >10,000 events was performed.
-
Immunoprecipitating ENO1 in HepG2 whole cell lysate
Lane 1: Mouse control IgG (1μg) instead of CSB-MA007670A0m in HepG2 whole cell lysate. For western blotting, a HRP-conjugated Protein G antibody was used as the secondary antibody (1/2000)
Lane 2: CSB-MA007670A1m (2μl) + HepG2 whole cell lysate (500μg)
Lane 3: HepG2 whole cell lysate (10μg) -
1. Exosomes extracted from plasma
2. Exosomes extracted from serum
3. Exosomes extracted from urine
4. Exosomes extracted from Hela cells
5. Exosomes extracted from latex
6. Exosomes extracted from saliva -
1.Exosomes extracted from MG63 cells
2. Exosomes extracted from Ntera-2 cells
3. MG63 cell Lysate -
1.Exosomes extracted from HEPG2 cells
2. Exosomes extracted from PC-3 cells
3. Exosomes extracted from Hela cells
4. Exosomes extracted from U87 cells
5. Hela cell Lysate -
1. Exosomes extracted from Raji cells
2. Exosomes extracted from U251 cells
3. Raji cell Lysate
-
-
其他:
產品詳情
-
產品描述:ENO1 Monoclonal Antibody(CUSABIO貨號:CSB-MA007670A0m)是針對烯醇化酶1(ENO1)研發的高特異性科研用單克隆抗體,適用于人、小鼠、大鼠及兔等多物種樣本的檢測需求。ENO1作為糖酵解通路中的關鍵代謝酶,不僅參與細胞能量代謝調控,還在腫瘤微環境重塑、神經膠質瘤發生等機制中發揮重要作用,是研究腫瘤生物學及代謝疾病的重要靶點。本產品經嚴格驗證可支持ELISA、Western Blot、免疫組化(IHC)、免疫熒光(IF)、流式細胞術(FC)及免疫沉淀(IP)六大實驗平臺,滿足科研人員在不同實驗場景下的需求。其精準的抗原結合能力可有效用于腫瘤標志物篩選、代謝通路解析、細胞能量狀態評估等前沿研究領域,為探索ENO1在癌癥演進、神經退行性疾病中的分子機制提供可靠工具。通過優化的抗體生產工藝保障批次穩定性,助力研究人員在基因表達分析、蛋白互作網絡構建等實驗中獲得可重復的高質量數據。
-
產品名稱:Mouse anti-Homo sapiens (Human) ENO1 Monoclonal antibody
-
Uniprot No.:
-
基因名:
-
別名:Alpha-enolase (2-phospho-D-glycerate hydro-lyase) (C-myc promoter-binding protein) (Enolase 1) (MBP-1) (MPB-1) (Non-neural enolase) (NNE) (Phosphopyruvate hydratase) (Plasminogen-binding protein), ENO1, ENO1L1, MBPB1, MPB1
-
宿主:Mouse
-
反應種屬:Human, Mouse, Rat, Rabbit
-
免疫原:Recombinant Human Alpha-enolase protein (2-434AA)
-
免疫原種屬:Homo sapiens (Human)
-
標記方式:Non-conjugated
-
克隆類型:Monoclonal
-
抗體亞型:IgG1
-
純化方式:>95%, Protein G purified
-
克隆號:8H9G12
-
濃度:It differs from different batches. Please contact us to confirm it.
-
保存緩沖液:Preservative: 0.03% Proclin 300
Constituents: 50% Glycerol, 0.01M PBS, PH 7.4 -
產品提供形式:Liquid
-
應用范圍:ELISA, WB, IHC, IF, FC, IP
-
推薦稀釋比:
Application Recommended Dilution WB 1:5000-1:320000 IHC 1:200-1:500 IF 1:50-1:200 FC 1:100-1:300 IP 2μl-4μl -
Protocols:
-
儲存條件:Upon receipt, store at -20°C or -80°C. Avoid repeated freeze.
-
貨期:Basically, we can dispatch the products out in 1-3 working days after receiving your orders. Delivery time maybe differs from different purchasing way or location, please kindly consult your local distributors for specific delivery time.
-
用途:For Research Use Only. Not for use in diagnostic or therapeutic procedures.
相關產品
靶點詳情
-
功能:Glycolytic enzyme the catalyzes the conversion of 2-phosphoglycerate to phosphoenolpyruvate. In addition to glycolysis, involved in various processes such as growth control, hypoxia tolerance and allergic responses. May also function in the intravascular and pericellular fibrinolytic system due to its ability to serve as a receptor and activator of plasminogen on the cell surface of several cell-types such as leukocytes and neurons. Stimulates immunoglobulin production.; MBP1 binds to the myc promoter and acts as a transcriptional repressor. May be a tumor suppressor.
-
基因功能參考文獻:
- Our data provide strong evidence that alpha-enolase short hairpin RNA interference vector can effectively suppress the proliferation and increase chemosensitivity of MKN45 cells, which may provide a novel gene therapy for gastric cancer. PMID: 29986635
- Elevated ENO1 could promote the proliferation of retinoblastoma cells. PMID: 29913409
- Together these findings suggest a possible mechanism of host invasion by HIV-1 through the CAWLEAQ motif of Nef-mediated regulation of ENO1 and identify a potential therapeutic target for HIV-1 entry at mucosal barriers. PMID: 29404888
- We propose that ENO1 is a useful indicator of parakeratosis and might have a potential role in cellular TJ barrier function in the epidermis PMID: 29430682
- The authors found that ENO1 expression was upregulated in the hepatitis B virus-infected liver tissues and cells. Silencing of ENO1 resulted in a significant reduction in hepatitis B virus replication, and this siRNA-mediated reaction also caused the upregulation of expression of type I interferon and downstream interferon-stimulated genes. PMID: 29080231
- serum anti-alpha-enolase antibody levels positively correlated with serum whole IgG and 24-hour urine protein and negatively correlated with serum D-dimer level in patients with systemic lupus erythematosus PMID: 28728510
- ENO1 is a crucial factor promoting neoplastic transformation exclusively in terminal respiratory unit (TRU) subtype lung adenocarcinomas (ADCs). PMID: 29090499
- Protein arginine methyltransferase 5 (PRMT5) was identified to be responsible for Eno-1 methylation. Overexpression of PRMT5 and caveolin-1 enhanced levels of membrane-bound extracellular Eno-1 and, conversely, pharmacological inhibition of PRMT5 attenuated Eno-1 cell-surface localization. PMID: 29501774
- Our results suggested that alpha-enolase level was significantly elevated in pancreatic cancer tissues, which was closely associated with pancreatic cancer progression PMID: 28824297
- ENO1 is a novel biomarker to predict drug resistance and overall prognosis in gastric cancer. PMID: 28548950
- ENO1 can elicit humoral immune response in NSCLC and its autoantibody has association with the tumorigenesis of NSCLC. Furthermore, these intriguing results suggest the possibility of autoantibody against ENO1 serving as a potential diagnostic biomarker in NSCLC and have implications for defining novel histological determinants of NSCLC. PMID: 28456790
- The study provides solid evidence that there is the interaction between GRN A and ENO1 and the interaction is responsible for the effects of GRN A on glucose uptake as well as cancer cell migration and invasion. PMID: 28415822
- Our findings showed that both S100beta and NSE levels similarly increased during CPB and immediately after CPB during sevoflurane and propofol based anesthesia. PMID: 26856295
- ENO1 promotes in pancreatic ductal adenocarcinoma (PDA) cells cell survival, migration, and metastasis through cooperation with integrins and uPAR PMID: 28086938
- ENO1 is a potent promoter of colorectal cancer genesis and metastasis at least in part though regulating AMPK/mTOR pathway. PMID: 27996156
- comparing the T cell receptor repertoire of ENO1-specific peripheral and infiltrating tumor T cells from the same patient suggests that ENO1-specific T cells, despite having a different functional profile, can recirculate from the tumor to the periphery. PMID: 27210467
- ENO1 is able to activate in vitro the CD14-dependent TLR4 pathway on monocytes involving a dual mechanism firstly pro-inflammatory and secondly anti-inflammatory. PMID: 27025255
- High ENO1 expression is associated with cancer. PMID: 26734996
- An immune-modulatory role has been proposed for surface alpha-enolase and our findings of decreased expression suggest that deficits in surface alpha-enolase merit investigation in the context of immune dysfunction during ageing and vascular disease PMID: 26432922
- Systems biology approach reveals possible evolutionarily conserved moonlighting functions for enolase PMID: 25978602
- ENO1 was demonstrated to be up-regulated by HIF-1alpha in retinal pigment epithelial cells in response to hypoxia, without influencing VEGF secretion. PMID: 26882120
- In this study, ENO1 silencing significantly reduced cell glycolysis, proliferation, migration, and invasion in vitro, as well as tumorigenesis and metastasis in vivo by modulating p85 suppression. PMID: 25951350
- alpha-Enolase increases after injury and may activate pulmonary endothelial cells and prime PMNs through plasmin activity and PAR-2 activation PMID: 25944790
- High ENO1 expression is associated with invasiveness of pancreatic cancer. PMID: 25860938
- tRK1 forms a complex with human enolases and interacts with tRK1 and human pre-lysyl-tRNA synthetase (preKARS2) PMID: 25918939
- The association of ENO1 and GPI with postthaw sperm viability and motility was confirmed using Pearson's linear correlation. ENO1 and GPI can be used as markers of human sperm freezability before starting the cryopreservation procedure. PMID: 25910678
- This study showed that ENO1 is responsible for non-small cell lung cancer proliferation and metastasis PMID: 25887760
- ENO1 induces gene expression, lactate production, cell proliferation and migration and can be negatively regulated by FBXW7 at the posttranslational level. PMID: 26097998
- alpha-enolase binds plasminogen and modulates its activation, it is plausible to speculate the association of the increase in alpha-enolase secretion by infected hepatic cells with the haemostatic dysfunction observed in dengue patients PMID: 25171719
- Data suggest that endoplasmic reticulum stress up-regulates ENO1/MBP1 expression through the AKT/PERK/eIF2a signaling axis in both breast cancer cells and non-tumor cells. PMID: 26144282
- Low ENO1 expression is associated with clear cell renal cell carcinoma. PMID: 26037892
- ENO1 is an independent prognostic factor, significantly correlated with overall survival of Non-Hodgkin's Lymphoma patients. PMID: 26024773
- STIM1/ORAI1-mediated Ca2+ influx regulates enolase-1 exteriorization in cancer cells. PMID: 25805497
- the results indicated that the combination of ENO1 and CYPA can serve as a potential molecular marker for the early detection of NPC. PMID: 24998431
- Using shotgun proteomics together with western blotting and ELISA, we identify sputum ENO1 as a biomarker candidate for lung cancer PMID: 24984566
- Our data suggest that ENO1 was upregulated by CagA protein thereby providing a novel mechanism underlying H. pylori-mediated gastric diseases. PMID: 24841372
- These data show a multiantibody composition in lupus nephritis, where IgG2 autoantibodies against alpha-enolase and annexin AI predominate in the glomerulus and can be detected in serum. PMID: 24790181
- Isotypes of anti-citrullinated fibrinogen and alpha-enolase can be found in the serum of children with juvenile idiopathic arthritis of all onset types. PMID: 25068682
- Overexpression of ENO1 is associated with glioma progression. PMID: 24650096
- Citrullination of ENO1 is associated with neoplasms. PMID: 24099319
- the differential association of ENO-1 with caveolar proteins regulates ENO-1 subcellular localization and, consequently, ENO-1-dependent cell migration and invasion. PMID: 24628430
- ENO1 overexpression can inhibit EMT in vitro by suppressing ERK1/2 phosphorylation PMID: 23676977
- surface alpha-enolase promotes extracellular matrix degradation and invasion of cancer cells and that targeting surface alpha-enolase is a promising approach to suppress tumor metastasis. PMID: 23894455
- plasma levels are significantly higher in renal cell carcinoma patients than in controls PMID: 23113677
- results indicate that Streptococcus sanguinis infection and the sera of Behcet's disease patients with active disease are inflammatory stimuli that can induce membranous alpha-enolase expression in endothelial cells PMID: 23131860
- The reduction in enolase-1 expression significantly decreases the response to hypoxia and enhances the sensitivity of the cells to radiation therapy. PMID: 23381546
- ENO1 is a passenger locus homozygously deleted as part of the 1p36 locus in glioblastoma and inhibition of ENO2 is selectively lethal to ENO1 deleted tumor cells, but not normal non-cancerous cells. PMID: 22895339
- These results extend, confirm, and generalize the evidence supporting the specificity of the anti-CEP-1 antibody-positive subgroup of patients with rheumatoid arthritis among anti-CCP antibody-positive patients with RA. PMID: 21360494
- Data show six differentially expressed proteins were identified as HSP70, PPIA and alpha-Enolase (up-regulated) S100-A9, PIMT and beta-5 tubulin (down-regulated), most of which had been shown to play a potential role in the pathogenesis of atherosclerosis. PMID: 21839816
- results indicate that C-peptide has the capacity to activate alpha-enolase through a specific interaction between E27 of the peptide and K434 of the enzyme PMID: 22577163
顯示更多
收起更多
-
亞細胞定位:Cytoplasm. Cell membrane. Cytoplasm, myofibril, sarcomere, M line. Note=Can translocate to the plasma membrane in either the homodimeric (alpha/alpha) or heterodimeric (alpha/gamma) form. ENO1 is localized to the M line.; [Isoform MBP-1]: Nucleus.
-
蛋白家族:Enolase family
-
組織特異性:The alpha/alpha homodimer is expressed in embryo and in most adult tissues. The alpha/beta heterodimer and the beta/beta homodimer are found in striated muscle, and the alpha/gamma heterodimer and the gamma/gamma homodimer in neurons.
-
數據庫鏈接:
Most popular with customers
-
-
YWHAB Recombinant Monoclonal Antibody
Applications: ELISA, WB, IHC, IF, FC
Species Reactivity: Human, Mouse, Rat
-
-
-
-
-
-















