RPTOR Recombinant Monoclonal Antibody
-
中文名稱:RPTOR重組抗體
-
貨號:CSB-RA581950A0HU
-
規格:¥1320
-
圖片:
-
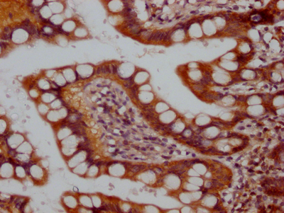
IHC image of CSB-RA581950A0HU diluted at 1:100 and staining in paraffin-embedded human small intestine tissue performed on a Leica BondTM system. After dewaxing and hydration, antigen retrieval was mediated by high pressure in a citrate buffer (pH 6.0). Section was blocked with 10% normal goat serum 30min at RT. Then primary antibody (1% BSA) was incubated at 4℃ overnight. The primary is detected by a Goat anti-rabbit IgG polymer labeled by HRP and visualized using 0.05% DAB.
-
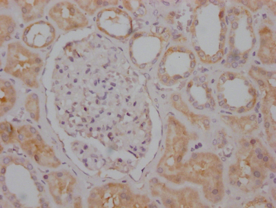
IHC image of CSB-RA581950A0HU diluted at 1:100 and staining in paraffin-embedded human kidney tissue performed on a Leica BondTM system. After dewaxing and hydration, antigen retrieval was mediated by high pressure in a citrate buffer (pH 6.0). Section was blocked with 10% normal goat serum 30min at RT. Then primary antibody (1% BSA) was incubated at 4℃ overnight. The primary is detected by a Goat anti-rabbit IgG polymer labeled by HRP and visualized using 0.05% DAB.
-
-
其他:
產品詳情
-
產品描述:CSB-RA581950A0HU重組單克隆抗體是針對RPTOR靶點研發的高特異性檢測工具。RPTOR(雷帕霉素靶蛋白調控相關蛋白)是mTORC1信號復合體的核心組分,通過整合生長因子、能量狀態及氨基酸信號調控細胞增殖、代謝和自噬等關鍵生物學過程。本抗體經ELISA和免疫組化(IHC)雙重驗證,在IHC應用中展現優異的組織特異性染色效果,推薦使用濃度1:50-1:200范圍內可實現清晰信號與低背景的優化平衡,尤其適用于福爾馬林固定石蠟包埋組織切片的精準定位分析。其重組單克隆特性確保了批次間的高度一致性,為研究mTOR通路在腫瘤發生、代謝性疾病及衰老相關機制中的功能提供可靠工具。該產品主要應用于基礎科研領域,包括但不限于癌癥生物學研究、能量代謝調控機制解析、自噬相關疾病模型構建等實驗場景,為探索RPTOR介導的信號網絡及其病理生理學意義提供高質量的檢測支持。
-
Uniprot No.:
-
基因名:
-
別名:Regulatory-associated protein of mTOR (Raptor) (p150 target of rapamycin (TOR)-scaffold protein), RPTOR, KIAA1303 RAPTOR
-
反應種屬:Human
-
免疫原:A synthesized peptide derived from human Raptor
-
免疫原種屬:Homo sapiens (Human)
-
標記方式:Non-conjugated
-
克隆類型:Monoclonal
-
抗體亞型:Rabbit IgG
-
純化方式:Affinity-chromatography
-
克隆號:1B10
-
濃度:It differs from different batches. Please contact us to confirm it.
-
保存緩沖液:Rabbit IgG in 10mM phosphate buffered saline , pH 7.4, 150mM sodium chloride, 0.05% BSA, 0.02% sodium azide and 50% glycerol.
-
產品提供形式:Liquid
-
應用范圍:ELISA, IHC
-
推薦稀釋比:
Application Recommended Dilution IHC 1:50-1:200 -
Protocols:
-
儲存條件:Upon receipt, store at -20°C or -80°C. Avoid repeated freeze.
-
貨期:Basically, we can dispatch the products out in 1-3 working days after receiving your orders. Delivery time maybe differs from different purchasing way or location, please kindly consult your local distributors for specific delivery time.
-
用途:For Research Use Only. Not for use in diagnostic or therapeutic procedures.
相關產品
靶點詳情
-
功能:Involved in the control of the mammalian target of rapamycin complex 1 (mTORC1) activity which regulates cell growth and survival, and autophagy in response to nutrient and hormonal signals; functions as a scaffold for recruiting mTORC1 substrates. mTORC1 is activated in response to growth factors or amino acids. Growth factor-stimulated mTORC1 activation involves a AKT1-mediated phosphorylation of TSC1-TSC2, which leads to the activation of the RHEB GTPase that potently activates the protein kinase activity of mTORC1. Amino acid-signaling to mTORC1 requires its relocalization to the lysosomes mediated by the Ragulator complex and the Rag GTPases. Activated mTORC1 up-regulates protein synthesis by phosphorylating key regulators of mRNA translation and ribosome synthesis. mTORC1 phosphorylates EIF4EBP1 and releases it from inhibiting the elongation initiation factor 4E (eiF4E). mTORC1 phosphorylates and activates S6K1 at 'Thr-389', which then promotes protein synthesis by phosphorylating PDCD4 and targeting it for degradation. Involved in ciliogenesis. mTORC1 complex in excitatory neuronal transmission is required for the prosocial behavior induced by the psychoactive substance lysergic acid diethylamide (LSD).
-
基因功能參考文獻:
- Study shows that USP9X deubiquitylating enzyme maintains RAPTOR protein levels, mTORC1 signalling and proliferation in neural progenitors. USP9X is the first deubiquitylating enzyme shown to stabilize RAPTOR. PMID: 28341829
- Results suggest that RPTOR mediates, at least partially, the resistance to EGFR inhibition in triple-negative breast cancer cells. PMID: 29344641
- data reveal that RAPTOR up-regulation contributes to PI3K-mTOR inhibitor resistance, and suggest that RAPTOR expression should be included in the pharmacodynamic assessment of mTOR kinase inhibitor trials PMID: 29389967
- Hypomethylation of CpG sites in RPTOR, MGRN1 and RAPSN in blood is associated with breast cancer. PMID: 27577081
- RPTOR (regulatory associated protein of mTOR, complex 1) is a novel target of miR-155 in CF lung epithelial cells. The suppression of RPTOR expression and subsequent activation of TGF-beta signaling resulted in the induction of fibrosis by elevating connective tissue growth factor (CTGF) abundance in CF lung epithelial cells. PMID: 27284727
- Data show that mTOR protein forms a complex with Raptor and estrogen receptor-alpha (ERalpha). PMID: 26522726
- Up-regulation of mTORC1 via raptor by aldosterone is a critical pathobiologic mechanism that controls pulmonary artery smooth muscle cell survival to promote hypertrophic vascular remodeling and pulmonary arterial hypertension. PMID: 27006450
- Hgh mTOR activity and Rictor overexpression could be markers of a bad prognosis. Combined phosphoprotein and Rictor/Raptor expression evaluation revealed even stronger statistical correlation with prognosis. PMID: 27729429
- revealed more than 170 NFAT-associated proteins, half of which are involved in transcriptional regulation. Among them are many hitherto unknown interaction partners of NFATc1 and NFATc2 in T cells, such as Raptor, CHEK1, CREB1, RUNX1, SATB1, Ikaros, and Helios. PMID: 27637333
- In this study we began by validating the expression of four main mTOR pathway components, mTOR, DEPTOR, rictor and raptor, at gene and protein level in in vitro models of endometrioid (MDAH2774) and clear cell (SKOV3) ovarian cancer PMID: 27211906
- Our results demonstrate for the first time that the expression quantitative trait loci of RPTOR, rs7502563, is susceptible to glioma PMID: 26361958
- The positive regulation of mTORC1 activity by NPRL2 is mediated through NPRL2 interaction with Raptor. PMID: 26582740
- RPTOR was not associated with bipolar disorder or schizophrenia. PMID: 25053281
- microRNA-210 and raptor are involved in mithramycin-mediated erythroid differentiation of K562 cells and participate to the fine-tuning and control of gamma-globin gene expression in erythroid precursor cells. PMID: 25849663
- the expressions of Beclin1, Raptor, and Rictor are related to the development and progression of colorectal carcinoma and multidrug resistance. PMID: 26363527
- Common genetic variation in RPTOR is associated with overweight/obesity but does not discernibly contribute to either essential hypertension or isolated systolic hypertension in the Hawaiian population studied. PMID: 25249372
- Studied the impact of SNPs in/near UCP3 and RPTOR on obesity-related traits. PMID: 25533680
- phosphorylating the T-loop Akt residue Thr(308) by PDK1 requires Raptor of the mTORC1 complex as a platform or scaffold protein. PMID: 24516643
- suggest no connection of RPTOR variants with psoriasis or its subphenotypes. PMID: 24005976
- peptides that encompass the Raptor cross-linking region of 4E-BP1 inhibit cross-linking and interaction of 4E-BP1 with Raptor. PMID: 24403073
- Amino acids promote mTORC1 activation without altering Rag GTP charging. PMID: 24337580
- There is a significant downregulation of mTOR, DEPTOR, and Raptor in preterm labouring myometria when compared to non-pregnant tissues taken from the same area. PMID: 23541542
- Raptor polymorphism is associated with gastric cancer. PMID: 23423739
- Histolopathological and clinical information including tumour stage, invasion characteristic and endocrine status were analysed against the gene transcript expression of mTOR, RAPTOR and RICTOR. PMID: 23898069
- Single nucleotide polymorphisms in RPTOR gene is associated with obesity. PMID: 23563607
- An essential role of mTORC1 in autophagy inhibition in cell-free system in which, membrane association of Barkor/Atg14(L), a specific autophagosome-binding protein, is suppressed by cytosol from nutrient-rich medium, is shown. PMID: 22258093
- show that E2F1 is capable of inducing growth by regulating mTORC1 activity PMID: 21283628
- Adiponectin induces vascular smooth muscle cell differentiation via repression of mammalian target of rapamycin complex 1 and FoxO4 PMID: 21454807
- results suggest that GRp58/ERp57 is involved in the assembly of mTORC1 and positively regulates mTORC1 signaling at the cytosol and the cytosolic side of the endoplasmic reticulum PMID: 21321085
- found that osmotic stress activates mTORC1 kinase activity in a JNK-dependent manner. Our findings suggest that the molecular link between JNK and Raptor is a potential mechanism by which stress regulates the mTORC1 signaling pathway PMID: 22493283
- an important role for ICK in modulating the activity of mTORC1 through phosphorylation of Raptor Thr-908. PMID: 22356909
- Phosphorylated forms of Raptor are significantly increased in mitotic cells. Raptor resides at the nucleoplasm and nucleolus of interphase cells and remains targeted to nucleolar organizer regions during mitosis. PMID: 21900751
- ULK1 contributes to mTORC1 inhibition through hindrance of substrate docking to Raptor. PMID: 21460630
- a previously unrecognized function of miR-21 that is the reciprocal regulation of PTEN levels and Akt/TORC1 activity that mediate critical pathologic features of diabetic kidney disease PMID: 21613227
- The study identified raptor as a substrate for p44/42 MAPK. PMID: 21325048
- Data show that a SNP (rs11868112) 26 kb upstream to the transcription start site of RPTOR exhibiting the strongest association with temperature variables. PMID: 21060808
- a novel regulatory mechanism by which mitogenic and oncogenic activation of the Ras/MAPK pathway promotes mTOR signaling PMID: 21071439
- there are two parallel cell-survival pathways in prostate cancer cells: a strong Akt-independent, but rapamycin-sensitive pathway downstream of mTORC1, and an AR-dependent pathway downstream of mTORC2 and Akt, that is stimulated by mTORC1 inhibition PMID: 18776922
- Study demonstrates that Serine 696 and Threonine 706 represent two key sites in raptor phosphorylation during mitosis, and that the mitotic cyclin-dependent kinase cdc2/CDK1 is the kinase responsible for phosphorylating these sites. PMID: 20169205
- These data suggest that the raptor/mTORC1 pathway may play a role in increased IRES-dependent mRNA translation during mitosis and in rapamycin insensitivity. PMID: 20439490
- S2448 phosphorylated mTOR binds to both raptor and rictor. PMID: 19145465
- Complex raptor phosphorylation functions as a biochemical rheostat that modulates mTORC1 signaling in accordance with environmental cues. PMID: 19864431
- Raptor is a missing component of the mTOR pathway that through its association with mTOR regulates cell size in response to nutrient levels PMID: 12150925
- raptor is an essential scaffold for the mTOR-catalyzed phosphorylation of 4EBP1 and mediates TOR action in vivo. PMID: 12150926
- raptor binds to p70S6k and 4E-BP1 through their respective TOS (conserved TOR signaling) motifs. PMID: 12604610
- A redox-sensitive mechanism regulates the phosphorylation of the raptor-mTOR effector S6K1, the interaction between raptor and mTOR, and the kinase activity of the raptor-mTOR complex. PMID: 16183647
- Raptor directly binds to and serves as a scaffold for mTOR-mediated phosphorylation of IRS-1 on Ser636/639. PMID: 16354680
- These studies suggest that, through serine phosphorylation, Raptor-mTOR and S6K1 promote the depletion of IRS1 from specific intracellular pools in pathological states of insulin and IGF-I resistance and in lesions associated with tuberous sclerosis. PMID: 16914728
- These data suggest that, during HCMV infection, the rictor- and raptor-containing complexes are modified such that their substrate specificities and rapamycin sensitivities are altered. PMID: 16959881
- ASCT2 silencing inhibits mTORC1 (mTOR/raptor) signaling and leads to growth repression, followed by enhanced survival signaling via mTORC2 (mTOR/rictor) and apoptosis of hepatoma cells. PMID: 17329400
顯示更多
收起更多
-
亞細胞定位:Cytoplasm. Lysosome. Cytoplasmic granule. Note=Targeting to lysosomes depends on amino acid availability. In arsenite-stressed cells, accumulates in stress granules when associated with SPAG5 and association with lysosomes is drastically decreased.
-
蛋白家族:WD repeat RAPTOR family
-
組織特異性:Highly expressed in skeletal muscle, and in a lesser extent in brain, lung, small intestine, kidney and placenta. Isoform 3 is widely expressed, with highest levels in nasal mucosa and pituitary and lowest in spleen.
-
數據庫鏈接:
Most popular with customers
-
-
YWHAB Recombinant Monoclonal Antibody
Applications: ELISA, WB, IHC, IF, FC
Species Reactivity: Human, Mouse, Rat
-
Phospho-YAP1 (S127) Recombinant Monoclonal Antibody
Applications: ELISA, WB, IHC
Species Reactivity: Human
-
-
-
-
-















