RPE65 Recombinant Monoclonal Antibody
-
中文名稱:RPE65重組抗體
-
貨號:CSB-RA212530A0HU
-
規格:¥1320
-
圖片:
-
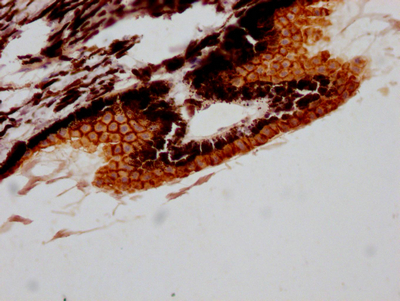
IHC image of CSB-RA212530A0HU diluted at 1:100 and staining in paraffin-embedded human eye tissue performed on a Leica BondTM system. After dewaxing and hydration, antigen retrieval was mediated by high pressure in a citrate buffer (pH 6.0). Section was blocked with 10% normal goat serum 30min at RT. Then primary antibody (1% BSA) was incubated at 4℃ overnight. The primary is detected by a Goat anti-rabbit IgG polymer labeled by HRP and visualized using 0.05% DAB.
-
-
其他:
產品詳情
-
產品描述:CSB-RA212530A0HU RPE65重組單克隆抗體是針對視網膜色素上皮特異性蛋白RPE65開發的高特異性科研工具,該靶點在視覺循環中催化全反式視黃酯轉化為11-順式視黃醇,是維持正常視覺功能的關鍵酶。經嚴格驗證,本抗體在ELISA和免疫組化(IHC)實驗中表現出優異性能,推薦IHC使用稀釋比為1:50-1:200,可在人視網膜組織樣本中精準定位RPE65蛋白表達。其重組單克隆特性確保了批次間的高度一致性,適用于視網膜病變機制研究、基因治療載體表達效率評估以及維生素A代謝相關信號通路探索等科研領域。實驗數據表明,該抗體能清晰顯示視網膜色素上皮層的特異性染色模式,為研究年齡相關性黃斑變性、萊伯先天性黑蒙等遺傳性眼病提供了可靠工具,同時也可用于體外模型中視黃醇代謝調控的分子機制解析。
-
Uniprot No.:
-
基因名:
-
別名:Retinoid isomerohydrolase (EC 3.1.1.64) (All-trans-retinyl-palmitate hydrolase) (Meso-zeaxanthin isomerase) (EC 5.3.3.-) (Retinal pigment epithelium-specific 65 kDa protein) (Retinol isomerase), RPE65
-
反應種屬:Human
-
免疫原:A synthesized peptide derived from human RPE65
-
免疫原種屬:Homo sapiens (Human)
-
標記方式:Non-conjugated
-
克隆類型:Monoclonal
-
抗體亞型:Rabbit IgG
-
純化方式:Affinity-chromatography
-
克隆號:7B10
-
濃度:It differs from different batches. Please contact us to confirm it.
-
保存緩沖液:Rabbit IgG in 10mM phosphate buffered saline , pH 7.4, 150mM sodium chloride, 0.05% BSA, 0.02% sodium azide and 50% glycerol.
-
產品提供形式:Liquid
-
應用范圍:ELISA, IHC
-
推薦稀釋比:
Application Recommended Dilution IHC 1:50-1:200 -
Protocols:
-
儲存條件:Upon receipt, store at -20°C or -80°C. Avoid repeated freeze.
-
貨期:Basically, we can dispatch the products out in 1-3 working days after receiving your orders. Delivery time maybe differs from different purchasing way or location, please kindly consult your local distributors for specific delivery time.
-
用途:For Research Use Only. Not for use in diagnostic or therapeutic procedures.
相關產品
靶點詳情
-
功能:Critical isomerohydrolase in the retinoid cycle involved in regeneration of 11-cis-retinal, the chromophore of rod and cone opsins. Catalyzes the cleavage and isomerization of all-trans-retinyl fatty acid esters to 11-cis-retinol which is further oxidized by 11-cis retinol dehydrogenase to 11-cis-retinal for use as visual chromophore. Essential for the production of 11-cis retinal for both rod and cone photoreceptors. Also capable of catalyzing the isomerization of lutein to meso-zeaxanthin an eye-specific carotenoid. The soluble form binds vitamin A (all-trans-retinol), making it available for LRAT processing to all-trans-retinyl ester. The membrane form, palmitoylated by LRAT, binds all-trans-retinyl esters, making them available for IMH (isomerohydrolase) processing to all-cis-retinol. The soluble form is regenerated by transferring its palmitoyl groups onto 11-cis-retinol, a reaction catalyzed by LRAT.
-
基因功能參考文獻:
- Early onset flecked retinal dystrophy associated with new compound heterozygous RPE65 variants in two unrelated Japanese patients. PMID: 29681726
- Autosomal dominant retinal dystrophy resembling choroideremia can arise from a heterozygous mutation in RPE65. It may manifest with mild disease or be non-penetrant. Awareness of these unusual presentations can facilitate targeted molecular investigation. PMID: 27307694
- By using whole-exome sequencing analysis, three RPE65 mutations were identified in two Japanese patients with leber congenital amaurosis (LCA). This approach would be useful for identification of disease-causing mutations of LCA. PMID: 25495949
- RPE65 variants are the most prevalent causes of Leber congenital amaurosis in Denmark. PMID: 26626312
- Hypomorphic mutations of RPE65 are associated with mild disease in childhood with preservation of good visual acuity into adulthood; they may in rare cases be associated with a flecked retina appearance similar to fundus albipunctatus. PMID: 26906952
- Influx of T lymphocytes was associated with retinal pigment epithelium and choroidal thinning and diminished expression of RPE65 mRNA, an essential enzyme of the visual cycle. PMID: 26392743
- These data also help define minimal requirements of chromophore for photoreceptor survival in vivo and may be useful in assessing a beneficial therapeutic dose for RPE65 gene therapy in humans. PMID: 25972377
- three Leber congenital amaurosis -associated RPE65 mutants (R91W, Y249C and R515W) undergo rapid proteasomal degradation mediated by the 26 S proteasome non-ATPase regulatory subunit 13. PMID: 25752820
- Studies indicate that patients with retinol isomerase RPE65R91W mutation have useful cone-mediated vision in the first decade of life, suggesting partial activity of the mutant RPE65R91W protein. PMID: 26427430
- Data show that 4-phenylbutyrate (PBA) displayed a significant synergistic effect on the low temperature-mediated rescue of the mutant isomerase activity of RPE65. PMID: 26427455
- Expressions of MDSC, FOXP3+TILs, and CTLA-4 are relative stable after nCRT PMID: 26364624
- We showed that miR-410 directly regulates predicted target genes OTX2 and RPE65. PMID: 25351180
- Studies indicate that patients consistently reported improvement in their vision following delivery of recombinant adenoassociated virus (rAAV) that carried retinal pigment epithelium 65 protein (REP65) gene. PMID: 25286304
- All RPE65-mutant observers have consistent and substantial losses in temporal acuity and sensitivity compared with normal observers. PMID: 25257057
- when an amino-terminal fragment (Met(1)-Arg(33)) of the N170K/K297G double mutant of hRPE65 was replaced with the corresponding cRPE65 fragment, the isomerohydrolase activity was further increased to a level similar to that of cRPE65. PMID: 25112876
- We identified a novel LCA-related homozygous RPE65 mutation associated with a severe clinical presentation including an early and severe cone dysfunction. PMID: 24771178
- properties of disease causing RPE65 with regard to molecular pathogenic mechanism PMID: 24849605
- These results strongly suggest that causal mutations in RPE65 are responsible for retinal dystrophy in the affected individuals of consanguineous Pakistani families. PMID: 23878505
- These results indicate that the non-viral delivery of hRPE65 vectors can result in persistent, therapeutically efficacious gene expression in the retinal pigment epithelium . PMID: 23335596
- the RPE65-LCA patients had higher variability in kinetic field extent. VA variability in RPE65-LCA fell within reported results for retinitis pigmentosa. PMID: 23341016
- Compound heterozygous missense mutations in the RPE65 gene, Leu67Arg and Tyr368Cys, are related to a relatively mild Leber congenital amaurosis phenotype in Chinese patients. PMID: 22509104
- Gene therapy for Leber congenital amaurosis caused by RPE65 mutations is sufficiently safe and substantially efficacious in the extrafoveal retina. PMID: 21911650
- These data suggest that cone RPE65 supports human diurnal vision, potentially enhancing our strategies for treating Leber congenital amaurosis Type 2. PMID: 22171060
- Dominant mutation in RPE65 identified by whole-exome sequencing causes retinitis pigmentosa with choroidal involvement. PMID: 21654732
- The structural features of the retina and retinal pigment epithelium in postmortem donor eyes of a 56-year-old patient with a homozygous missense RPE65 mutation correlate the pathology with the patient's visual function. PMID: 21931134
- found that the aromatic lipophilic spin traps such as N-tert-butyl-alpha-phenylnitrone (PBN), 2,2-dimethyl-4-phenyl-2H-imidazole-1-oxide (DMPIO), and nitrosobenzene (NB) strongly inhibit RPE65 isomerohydrolase activity in vitro PMID: 21736383
- This is the first reported association between compound heterozygous RPE65 mutations and fundus albipunctatus, indicative of a mutation-specific phenotypic effect in this gene. PMID: 21211845
- To describe in detail the features of Severe Early Childhood Onset Retinal Dystrophy (SECORD) and differentiate it from Lebers congenital amaurosis, caused by RPE65 mutation. PMID: 20811047
- Congenital loss of chromophore production due to RPE65-deficiency together with progressive photoreceptor degeneration cause severe and progressive loss of vision. PMID: 20399883
- oxidative stress during the visual cycle results in cleavage of RPE65 PMID: 20510285
- FATP1 inhibits 11-cis retinol formation via interaction with the visual cycle retinoid isomerase RPE65 and lecithin:retinol acyltransferase PMID: 20356843
- Variations of macular microstructures were observed among LCA (Leber congenital amaurosis) patients with different genotypes. PMID: 19959640
- Loss of charge at the E417Q position of RPE65 may represent a mechanism by which the E417Q mutation causes blindness in Leber congenital amaurosis patients. PMID: 20043869
- Studies demonstrated improvements in rod and cone visual function in patients with RPE65-LCA administered rAAV2-CBSB-hRPE65. PMID: 19806502
- RPE65 is not inherently 11-cis-specific and can produce both 11- and 13-cis isomers, supporting a carbocation (or radical cation) mechanism for isomerization. PMID: 19920137
- retinal dystrophy due to paternal isodisomy for chromosome 1 or chromosome 2, with homoallelism for mutations in RPE65 or MERTK, respectively PMID: 11727200
- RPE65 mutations present in compound heterozygous form cause severe visual compromise. PMID: 11786058
- multiplex PCR follwed by sequencing to screen for mutations in the 14 exons of the RPE65 gene in early-childhood-onset autosomal recessive retinitis pigmentosa and Leber's congenital amaurosis patients PMID: 12357075
- The RPE65 mutations K303X and Y431C in compound heterozygous form cause progressive visual compromise that starts in childhood and advances to severe visual loss by the fourth decade of life. PMID: 14962443
- Gene therapy with this protein to cure Leber congenital amaurosis; Gene therapy in Rpe65(-/-) mice at advanced-disease stages show some success PMID: 15837919
- conserved glutamic acid and histidine residues are essential for the isomerohydrolase activity of RPE65 and its stability PMID: 16198348
- AIPL1, CRB1, GUCY2D, RPE65, and RPGRIP1 mutations may have roles in juvenile retinitis pigmentosa PMID: 16272259
- We identified and characterised an endemic form of early onset rod-cone dystrophy in a consanguineous population from northeastern Tunisia, due to the prevalence of a single RPE65 mutation. PMID: 16518657
- mutations may result in critical structural alterations of RPE65 protein, disrupt its membrane association, and consequently impair its isomerohydrolase activity, leading to retinal degeneration PMID: 16754667
- The results demand critical consideration of the human disease mechanism and the therapeutic approach in patients with mutations in the putative visual cycle gene RDH12. PMID: 17197551
- Testing confirms the diagnosis at the molecular level and allows for a more precise prognosis of the possible future clinical evolution PMID: 17651254
- RPE65 gene mutations represented a significant cause of LCA in the Italian population, whereas GUCY2D and CEP290 mutations had a lower frequency than that found in other reports. PMID: 17724218
- Early cone photoreceptor losses in RPE65-LCA suggest that robust RPE65-based visual chromophore production is important for cones. PMID: 17848510
- RPE65 from the cone-dominant chicken RPE possesses significantly higher specific retinol isomerohydrolase activity, when compared with RPE65 from rod-dominant species PMID: 18216020
- Mutations in the RPE65 gene are rare in patients with leber congenital amaurosis PMID: 18484312
顯示更多
收起更多
-
相關疾病:Leber congenital amaurosis 2 (LCA2); Retinitis pigmentosa 20 (RP20)
-
亞細胞定位:Cytoplasm. Cell membrane; Lipid-anchor. Microsome membrane.
-
蛋白家族:Carotenoid oxygenase family
-
組織特異性:Retina (at protein level). Retinal pigment epithelium specific.
-
數據庫鏈接:
Most popular with customers
-
-
YWHAB Recombinant Monoclonal Antibody
Applications: ELISA, WB, IHC, IF, FC
Species Reactivity: Human, Mouse, Rat
-
Phospho-YAP1 (S127) Recombinant Monoclonal Antibody
Applications: ELISA, WB, IHC
Species Reactivity: Human
-
-
-
-
-















