LMNA Recombinant Monoclonal Antibody
-
中文名稱:LMNA重組抗體
-
貨號:CSB-RA013003A0HU
-
規格:¥1320
-
圖片:
-
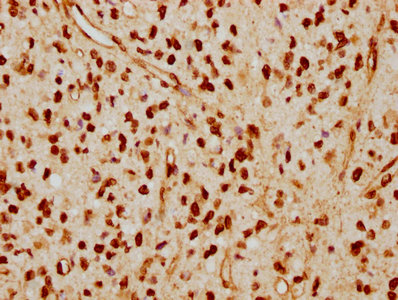
IHC image of CSB-RA013003A0HU diluted at 1:115 and staining in paraffin-embedded human glioma cancer performed on a Leica BondTM system. After dewaxing and hydration, antigen retrieval was mediated by high pressure in a citrate buffer (pH 6.0). Section was blocked with 10% normal goat serum 30min at RT. Then primary antibody (1% BSA) was incubated at 4℃ overnight. The primary is detected by a biotinylated secondary antibody and visualized using an HRP conjugated SP system.
-
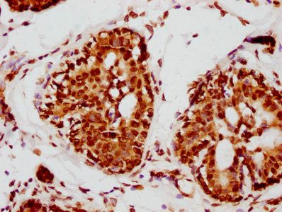
IHC image of CSB-RA013003A0HU diluted at 1:115 and staining in paraffin-embedded human breast cancer performed on a Leica BondTM system. After dewaxing and hydration, antigen retrieval was mediated by high pressure in a citrate buffer (pH 6.0). Section was blocked with 10% normal goat serum 30min at RT. Then primary antibody (1% BSA) was incubated at 4℃ overnight. The primary is detected by a biotinylated secondary antibody and visualized using an HRP conjugated SP system.
-
Immunofluorescence staining of Hela cells with CSB-RA013003A0HU at 1:38, counter-stained with DAPI. The cells were fixed in 4% formaldehyde, permeabilized using 0.2% Triton X-100 and blocked in 10% normal Goat Serum. The cells were then incubated with the antibody overnight at 4℃. The secondary antibody was Alexa Fluor 488-congugated AffiniPure Goat Anti-Rabbit IgG (H+L).
-
Immunoprecipitating Lamin A/C in Hela whole cell lysate
Lane 1: Rabbit control IgG instead of CSB-RA013003A0HU in Hela whole cell lysate. For western blotting, a HRP-conjugated Protein G antibody was used as the secondary antibody (1/2000)
Lane 2: CSB-RA013003A0HU (3μg) + Hela whole cell lysate (500μg)
Lane 3: Hela whole cell lysate (20μg) -
Overlay histogram showing Hela cells stained with CSB-RA013003A0HU (red line) at 1:50. The cells were fixed with 70% Ethylalcohol (18h) and then permeabilized with 0.3% Triton X-100 for 2 min. The cells were then incubated in 1x PBS /10% normal goat serum to block non-specific protein-protein interactions followed by primary antibody for 1 h at 4℃. The secondary antibody used was FITC goat anti-rabbit IgG (H+L) at 1/200 dilution for 1 h at 4℃. Control antibody (green line) was used under the same conditions. Acquisition of >10,000 events was performed.
-
-
其他:
產品詳情
-
產品描述:CSB-RA013003A0HU LMNA重組單克隆抗體是針對核纖層蛋白A/C(Lamin A/C)開發的高特異性科研工具,該靶標作為維持細胞核結構完整性的關鍵蛋白,參與染色質空間組織及基因轉錄調控,其功能異常與肌肉萎縮癥、擴張型心肌病及早衰綜合征等病理過程密切相關。本產品經多種技術平臺驗證,在ELISA、免疫組化(IHC)、免疫熒光(IF)、流式細胞術(FC)和免疫沉淀(IP)中均表現出優異的檢測性能,推薦工作濃度分別為IHC 1:50-200、IF 1:20-200及IP 1:200-1000。實驗數據顯示該抗體能精準識別天然與重組形式LMNA蛋白,在人類組織樣本和多種細胞系中呈現穩定可靠的檢測結果,特別適用于探究細胞核形態異常機制、衰老相關疾病模型構建以及核膜相關信號通路研究??蒲腥藛T可將其應用于肌肉病理學分析、心血管疾病分子機制探索及細胞周期調控研究等基礎科研領域,為體外實驗和離體組織分析提供特異性檢測支持。
-
Uniprot No.:
-
基因名:
-
別名:70 kDa lamin antibody; Cardiomyopathy dilated 1A (autosomal dominant) antibody; CDCD1 antibody; CDDC antibody; CMD1A antibody; CMT2B1 antibody; EMD2 antibody; FPL antibody; FPLD antibody; FPLD2 antibody; HGPS antibody; IDC antibody; Lamin A antibody; Lamin A/C antibody; Lamin A/C like 1 antibody; Lamin antibody; Lamin C antibody; lamin-a antibody; Lamin-A/C antibody; LDP1 antibody; LFP antibody; LGMD1B antibody; Limb girdle muscular dystrophy 1B (autosomal dominant) antibody; LMN 1 antibody; LMN A antibody; LMN C antibody; LMN1 antibody; LMNA antibody; LMNA_HUMAN antibody; LMNC antibody; LMNL1 antibody; Prelamin A/C antibody; PRO1 antibody; Renal carcinoma antigen NY REN 32 antibody; Renal carcinoma antigen NY-REN-32 antibody; Renal carcinoma antigen NYREN32 antibody
-
反應種屬:Human
-
免疫原:A synthesized peptide derived from human LMNA
-
免疫原種屬:Homo sapiens (Human)
-
標記方式:Non-conjugated
-
克隆類型:Monoclonal
-
抗體亞型:Rabbit IgG
-
純化方式:Affinity-chromatography
-
克隆號:4H7
-
濃度:It differs from different batches. Please contact us to confirm it.
-
保存緩沖液:Rabbit IgG in 10mM phosphate buffered saline , pH 7.4, 150mM sodium chloride, 0.05% BSA, 0.02% sodium azide and 50% glycerol.
-
產品提供形式:Liquid
-
應用范圍:ELISA, IHC, IF, FC, IP
-
推薦稀釋比:
Application Recommended Dilution IHC 1:50-1:200 IF 1:20-1:200 IP 1:200-1:1000 -
Protocols:
-
儲存條件:Upon receipt, store at -20°C or -80°C. Avoid repeated freeze.
-
貨期:Basically, we can dispatch the products out in 1-3 working days after receiving your orders. Delivery time maybe differs from different purchasing way or location, please kindly consult your local distributors for specific delivery time.
-
用途:For Research Use Only. Not for use in diagnostic or therapeutic procedures.
相關產品
靶點詳情
-
功能:Lamins are components of the nuclear lamina, a fibrous layer on the nucleoplasmic side of the inner nuclear membrane, which is thought to provide a framework for the nuclear envelope and may also interact with chromatin. Lamin A and C are present in equal amounts in the lamina of mammals. Recruited by DNA repair proteins XRCC4 and IFFO1 to the DNA double-strand breaks (DSBs) to prevent chromosome translocation by immobilizing broken DNA ends. Plays an important role in nuclear assembly, chromatin organization, nuclear membrane and telomere dynamics. Required for normal development of peripheral nervous system and skeletal muscle and for muscle satellite cell proliferation. Required for osteoblastogenesis and bone formation. Also prevents fat infiltration of muscle and bone marrow, helping to maintain the volume and strength of skeletal muscle and bone. Required for cardiac homeostasis.; Prelamin-A/C can accelerate smooth muscle cell senescence. It acts to disrupt mitosis and induce DNA damage in vascular smooth muscle cells (VSMCs), leading to mitotic failure, genomic instability, and premature senescence.
-
基因功能參考文獻:
- Lamin A-C interaction with Nestin and its role in the tumor senescence.Nestin stabilizes lamin A-C to protect tumor cells from senescence. PMID: 30190500
- Among the 120 dilated cardiomyopathy patients 13 (10.8%) had LMNA variants. A novel recurrent LMNA E115M variant was the most frequent in familial DCM. PMID: 29386531
- lamin A/C interacts with Notch signaling, thereby influencing cellular differentiation, and point mutation in LMNA could halt this interaction PMID: 29040816
- Mutations in LMNA cause autosomal dominant severe heart disease, accounting for 10% of Dilated Cardiomyopathy . PMID: 29175975
- ZMPSTE24-dependent cleavage of prelamin A and the eight known disease-associated ZMPSTE24 missense mutations, were examined. PMID: 29794150
- The LMNA-NTRK1 fusion was likely the molecular driver of tumorigenesis and metastasis in this patient, and the observed effectiveness of crizotinib treatment provides clinical validation of this molecular target. PMID: 30134855
- Three heterozygous missense mutations were identified in unrelated patients - p. W520R (c.1558T > C), p.T528R (small es, Cyrillic.1583capital ES, Cyrillic > G) and p.R190P (c.569G > C). We consider these variants as pathogenic, leading to isolated DCM with conduction defects or syndromic DCM forms with limb-girdle muscular dystrophy and Emery- Dreifuss muscular dystrophy. PMID: 29770364
- The functional integrity of lamin and nesprin-1 is thus required to modulate the FHOD1 activity and the inside-out mechanical coupling that tunes the cell internal stiffness to match that of its soft, physiological-like environment. PMID: 28455503
- The role of 1B and 2B domains in modulating elastic properties of lamin A. PMID: 27301336
- progerin is upregulated in human dilated cardiomyopathy hearts and strongly correlates with left ventricular remodeling PMID: 29702688
- Data indicate that patients with truncation mutations in LMNA (lamin A/C) had an earlier occurrence of cardiac conduction disturbance and low left ventricular ejection fraction, than those with missense mutations. PMID: 29237675
- A novel truncating LMNA mutation associated with Cardiac conduction disorders and dilated cardiomyopathy was discovered in this family characterized by gender differences in clinical severity in LMNA carriers PMID: 29628476
- We find no evidence for an elevated mutation rate in progerin-expressing cells. We conclude that the cellular defect in HGPS cells does not lie in the repair of DNA damage per se. PMID: 28477268
- pathogenic gene mutations in LMNA and MYBPC3 alter RNA splicing and may have a role in heart disease PMID: 28679633
- Patients with the heterozygous LMNA p.T10I mutation have distinct clinical features and significantly worse metabolic complications compared with other patients with atypical progeroid syndrome as well as patients with Hutchinson-Gilford progeria syndrome. PMID: 29267953
- Results suggest that lamin A/C might constitute a type of epithelial marker that better signifies EMT and MET in prostate cancer tissue, since a decrease in lamin A/C expression in Gleason score (GS) 4 is likely associated with the EMT process, while the re-expression of lamin A/C in GS 5 is likely linked with MET. PMID: 29665450
- Using cardiomyocytes derived from human induced pluripotent stem cells carrying different LMNA mutations as model for dilated cardiomyopathy, demonstrate that PTC124 induces translational read-through over the premature stop codon and restores production of the full-length protein. PMID: 28754655
- This study represents a comprehensive report on relative frequency of CMD in the UK population, indicating MDC1A as the most common CMD subtype (37.35%). PMID: 28688748
- in differentiating myoblasts, nuclear HSPB2 compartments sequester lamin A. PMID: 28854361
- A mutation in the gene encoding Lamin A/C (LMNAp.R331Q ) led to reduced maximal force development through secondary disease remodelling in patients suffering from dilated cardiomyopathy. PMID: 28436080
- In embryonic cells upregulation of lamin A disturbs lamin C, which may influence gene expression. PMID: 27534416
- our data demonstrate the occurrence of lamin A/NF-Y interaction and suggest a possible role of this protein complex in regulation of NF-Y function in cell proliferation. PMID: 27793050
- Findings provide evidence that lamin A mutants (called progerin) activates the DNA damage response pathway and that dysregulation of this pathway may be responsible for the development of cardiovascular pathology in patients with Hutchinson-Gilford progeria syndrome. PMID: 28423660
- Type-2 familial partial lipodystrophy (FPLD2) is a rare autosomal dominant lipodystrophic disorder due to mutations in LMNA. PMID: 28408391
- The metabolic features of women with the Dunnigan variety of familial partial lipodystrophy, caused by several missense mutations of LMNA, are reported. PMID: 28443701
- UVA-induced progerinlamin A complex formation was largely responsible for suppressing 53BP1-mediated NHEJ DSB repair activity. The present study is the first to demonstrate that UVA-induced progerin upregulation adversely affects 53BP1-mediated NHEJ DSB repair in human keratinocytes via progerinlamin A complex formation. PMID: 28498430
- Suggest NF-YAs and lamin A expression levels as novel potential biomarkers useful to identify G1 endometrial carcinoma patients with risk of recurrence. PMID: 27974701
- Finally, we demonstrate Lamins as the major factors in reliable miR-218 and miR-129 functions for breast cancer progression. Our findings uncover a new miRNA-mediated regulatory network for different Lamins and provide a potential therapeutic target for breast cancer. PMID: 29378184
- Data indicates that D243Gfs*4 LMNA as a mutation causing a severe form of cardiomyopathy with conduction defects, and suggest CX43 downregulation as a possible molecular mechanism leading to the conduction defects observed in mutation carriers. PMID: 29197877
- two novel RNA isoforms of LMNA produced through alternative splicing PMID: 28857661
- Lamin A/C is an autoantigen in Han Chinese patients with confirmed Sjogren's syndrome. Lamin A/C shares similar epitopes with U1RNP. PMID: 27835913
- it was demonstrated that suspension state promoted the reattachment of breast tumor cells by up-regulating lamin A/C via cytoskeleton disruption. These findings highlight the important role of suspension state for tumor cells in tumor metastasis. PMID: 28919351
- In this report we show that increased self-association propensity of mutant LA modulates the LA-LB1 interaction and precludes the formation of an otherwise uniform laminar network. Our results might highlight the role of homotypic and heterotypic interactions of LA in the pathogenesis of DCM and hence laminopathies in the broader sense. PMID: 28844980
- Familial partial lipodystrophy type 2 (FPLD2) is caused by an autosomal dominant mutation in the LMNA gene. FPLD2-adipocytes appear to accumulate markers of autophagy and catabolize triglycerides at higher levels than control adipocytes. PMID: 29108996
- we demonstrate that BAF is necessary to modulate prelamin A effects on chromatin structure PMID: 26701887
- Dysmorphic nuclei in patients with an LMNA mutation correlate with the age of heart disease presentation. PMID: 29149195
- These results suggest that the nuclear lamins and progerin have marginal roles in the activation of the antioxidant Nrf2 response to arsenic and cadmium. PMID: 28229933
- developed a proteomic analysis of plasma samples from a family showing history of dilated cardiomyopathy caused by a LMNA mutation, which may lead to premature death or cardiac transplant PMID: 27457270
- Exome sequencing of the proband revealed an extremely rare missense heterozygous variant c.1711_1712CG>TC; p.(Arg571Ser) in LMNA which was confirmed by Sanger sequencing in both the patients. Interestingly, the mutation had no effect on mRNA splicing or relative expression of lamin A or C mRNA and protein in the lymphoblasts PMID: 28686329
- Case Report: pathogenic LMNA mutation gives unifying diagnosis explaining arrhythmogenic right ventricular cardiomyopathy and Charcot-Marie-Tooth type 2B1 phenotypes. PMID: 27405450
- Standard Sanger sequencing of LMNA exon 11 DNA from blood-derived WBCs and cultured skin fibroblasts sequenced at passages 1, 3 and 8 detected differing progerin-producing mutations in the same nucleotide of the exon 11 intronic splice donor site (see online supplementary figure. PMID: 27920058
- the CNOT1-LMNA-Hedgehog signaling pathway axis exerts an oncogenic role in osteosarcoma progression, which could be a potential target for gene therapy. PMID: 28188704
- Pathogenic variants in the LMNA gene responsible for nearly 10%-15%% of Familial Dilated Cardiomyopathy cases. PMID: 27736720
- low lamin A but not lamin C expression in pleural metastatic cells could represent a major actor in the development of metastasis, associated with epithelial to mesenchymal transition and could account for a pejorative factor correlated with a poor Performance status. PMID: 28806747
- These results propose a mechanism for progerin-induced genome instability and accelerated replicative senescence in Hutchinson-Gilford progeria syndrome. PMID: 28515154
- LmnA binds AIMP3 via its extreme C-terminus. Together these findings provide a structural insight for understanding the interaction between AIMP3 and LmnA in AIMP3 degradation. PMID: 28797100
- The R482W mutation results in a loss of function of differentiation-dependent lamin A binding to the MIR335 locus and epigenetic regulation of adipogenesis. PMID: 28751304
- Pathogenic variants of the LMNA gene were determined in nine families with familial partial lipodystrophy PMID: 28641778
- The interaction of progerin with lamin A/C contributes to the development of the senescence phenotype of Hutchinson-Gilford progeria syndrome and aged cells. PMID: 27617860
- we expressed a LEMD2 transgene alone or in combination with lamin C in these cells and observed no restoration of peripheral heterochromatin in either case. We conclude that in contrary to the B-tether, the A-tether has a more intricate composition and consists of multiple components that presumably vary, at differing degrees of redundancy, between cell types and differentiation stages PMID: 28056360
顯示更多
收起更多
-
相關疾?。?/div>Emery-Dreifuss muscular dystrophy 2, autosomal dominant (EDMD2); Emery-Dreifuss muscular dystrophy 3, autosomal recessive (EDMD3); Cardiomyopathy, dilated 1A (CMD1A); Lipodystrophy, familial partial, 2 (FPLD2); Limb-girdle muscular dystrophy 1B (LGMD1B); Charcot-Marie-Tooth disease 2B1 (CMT2B1); Hutchinson-Gilford progeria syndrome (HGPS); Cardiomyopathy, dilated, with hypergonadotropic hypogonadism (CMDHH); Mandibuloacral dysplasia with type A lipodystrophy (MADA); Lethal tight skin contracture syndrome (LTSCS); Heart-hand syndrome Slovenian type (HHS-Slovenian); Muscular dystrophy congenital LMNA-related (MDCL)亞細胞定位:Nucleus. Nucleus envelope. Nucleus lamina. Nucleus, nucleoplasm. Nucleus matrix. Note=Farnesylation of prelamin-A/C facilitates nuclear envelope targeting and subsequent cleavage by ZMPSTE24/FACE1 to remove the farnesyl group produces mature lamin-A/C, which can then be inserted into the nuclear lamina. EMD is required for proper localization of non-farnesylated prelamin-A/C.; [Isoform C]: Nucleus speckle.蛋白家族:Intermediate filament family組織特異性:In the arteries, prelamin-A/C accumulation is not observed in young healthy vessels but is prevalent in medial vascular smooth muscle cells (VSMCs) from aged individuals and in atherosclerotic lesions, where it often colocalizes with senescent and degener數據庫鏈接:
Most popular with customers
-
-
YWHAB Recombinant Monoclonal Antibody
Applications: ELISA, WB, IHC, IF, FC
Species Reactivity: Human, Mouse, Rat
-
Phospho-YAP1 (S127) Recombinant Monoclonal Antibody
Applications: ELISA, WB, IHC
Species Reactivity: Human
-
-
-
-
-















