ITK Recombinant Monoclonal Antibody
-
中文名稱:ITK重組抗體
-
貨號:CSB-RA954682A0HU
-
規格:¥1320
-
圖片:
-
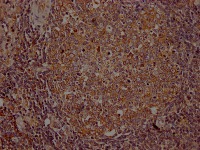
IHC image of CSB-RA954682A0HU diluted at 1:100 and staining in paraffin-embedded human lymph node tissue performed on a Leica BondTM system. After dewaxing and hydration, antigen retrieval was mediated by high pressure in a citrate buffer (pH 6.0). Section was blocked with 10% normal goat serum 30min at RT. Then primary antibody (1% BSA) was incubated at 4℃ overnight. The primary is detected by a Goat anti-rabbit IgG polymer labeled by HRP and visualized using 0.05% DAB.
-
-
其他:
產品詳情
-
產品描述:ITK Recombinant Monoclonal Antibody(CSB-RA954682A0HU)是一款針對人源IL-2誘導T細胞激酶(ITK)的高特異性重組單克隆抗體。ITK作為Tec家族酪氨酸激酶成員,在T細胞受體(TCR)信號通路中發揮關鍵作用,調控T細胞活化、增殖及免疫應答過程,其表達異常與自身免疫性疾病和免疫相關疾病機制密切相關。本抗體經ELISA和免疫組化(IHC)技術嚴格驗證,在IHC應用中推薦使用1:50-1:200稀釋范圍,可清晰檢測石蠟包埋或冰凍組織切片中的ITK蛋白定位與表達水平,實驗結果具有高度可重復性。通過重組表達技術制備的抗體具備優異的批間一致性和低交叉反應性,適用于免疫學研究領域,包括T細胞功能調控機制探索、免疫相關疾病模型分析以及藥物靶點驗證等基礎科研方向。該產品可為研究ITK在炎癥性疾病、腫瘤微環境免疫調節或免疫代謝通路中的作用提供可靠工具,助力科研人員解析T細胞介導的病理生理過程。
-
Uniprot No.:
-
基因名:
-
別名:Tyrosine-protein kinase ITK/TSK (EC 2.7.10.2) (Interleukin-2-inducible T-cell kinase) (IL-2-inducible T-cell kinase) (Kinase EMT) (T-cell-specific kinase) (Tyrosine-protein kinase Lyk), ITK, EMT LYK
-
反應種屬:Human
-
免疫原:A synthesized peptide derived from human ITK
-
免疫原種屬:Homo sapiens (Human)
-
標記方式:Non-conjugated
-
克隆類型:Monoclonal
-
抗體亞型:Rabbit IgG
-
純化方式:Affinity-chromatography
-
克隆號:8F10
-
濃度:It differs from different batches. Please contact us to confirm it.
-
保存緩沖液:Rabbit IgG in 10mM phosphate buffered saline , pH 7.4, 150mM sodium chloride, 0.05% BSA, 0.02% sodium azide and 50% glycerol.
-
產品提供形式:Liquid
-
應用范圍:ELISA, IHC
-
推薦稀釋比:
Application Recommended Dilution IHC 1:50-1:200 -
Protocols:
-
儲存條件:Upon receipt, store at -20°C or -80°C. Avoid repeated freeze.
-
貨期:Basically, we can dispatch the products out in 1-3 working days after receiving your orders. Delivery time maybe differs from different purchasing way or location, please kindly consult your local distributors for specific delivery time.
-
用途:For Research Use Only. Not for use in diagnostic or therapeutic procedures.
相關產品
靶點詳情
-
功能:Tyrosine kinase that plays an essential role in regulation of the adaptive immune response. Regulates the development, function and differentiation of conventional T-cells and nonconventional NKT-cells. When antigen presenting cells (APC) activate T-cell receptor (TCR), a series of phosphorylation lead to the recruitment of ITK to the cell membrane, in the vicinity of the stimulated TCR receptor, where it is phosphorylated by LCK. Phosphorylation leads to ITK autophosphorylation and full activation. Once activated, phosphorylates PLCG1, leading to the activation of this lipase and subsequent cleavage of its substrates. In turn, the endoplasmic reticulum releases calcium in the cytoplasm and the nuclear activator of activated T-cells (NFAT) translocates into the nucleus to perform its transcriptional duty. Phosphorylates 2 essential adapter proteins: the linker for activation of T-cells/LAT protein and LCP2. Then, a large number of signaling molecules such as VAV1 are recruited and ultimately lead to lymphokine production, T-cell proliferation and differentiation. Required for TCR-mediated calcium response in gamma-delta T-cells, may also be involved in the modulation of the transcriptomic signature in the Vgamma2-positive subset of immature gamma-delta T-cells. Phosphorylates TBX21 at 'Tyr-530' and mediates its interaction with GATA3.
-
基因功能參考文獻:
- These observations have significant therapeutic implications, as pharmacologic inhibition of ITK prevented the activation of this signaling axis and overcame chemotherapy resistance. PMID: 27780854
- Our results provide new insight into the effect of ITK and suboptimal T-cell receptor signaling on CD8(+) T cell function, and how these may contribute to phenotypes associated with ITK deficiency PMID: 28213500
- The data indicate that increased ITK expression could act as a disease activity marker and as a risk factor for involvement in SLE, but it still needs further study to confirm. PMID: 27729219
- We conclude that ITK, formerly considered an immune cell-specific protein, is aberrantly expressed in melanoma and promotes tumor development and progression PMID: 25934889
- The kinase Itk and the adaptor TSAd change the specificity of the kinase Lck in T cells by promoting the phosphorylation of Tyr192. PMID: 25492967
- Found that 38% and 14% of the Angioimmunoblastic T-cell lymphoma cases exhibited gains of ITK and SYK genes, respectively. PMID: 25337257
- These data indicate that PRN694 is a highly selective and potent covalent inhibitor of ITK and RLK, and its extended target residence time enables durable attenuation of effector cells in vitro and in vivo. PMID: 25593320
- approach identified 18 kinase and kinase-related genes whose overexpression can substitute for EGFR in EGFR-dependent PC9 cells, and these genes include seven of nine Src family kinase genes, FGFR1, FGFR2, ITK, NTRK1, NTRK2, MOS, MST1R, and RAF1. PMID: 25512530
- ITK deficiency is a genetic cause of idiopathic CD4+ T-cell lymphopenia. PMID: 25061172
- Data indicate reduced T-cell activation by altered IL-2 inducible T-cell kinase (ITK) expression in vitro. PMID: 24462896
- T-cell-specific human ITK-Syk oncogene in mice leads to early polyclonal T cell lymphoproliferation with B cell expansion. It induces terminal T cell differentiation via Blimp-1, eliminating oncogene-expressing cells early in development. PMID: 24376268
- Case Report/Letter: ITK/SYK translocation in angioimmunoblastic T-cell lymphoma. PMID: 24076779
- a new pathway regulated by Itk in cells, and suggest cross talk between Itk and G-protein signaling downstream of the TcR. PMID: 23454662
- Data indicate that the intracellular signaling of ITK-SYK requires both SLP-76 and the adapter function of SYK/ZAP-70 kinases. PMID: 23293025
- ITK and Gag colocalized at the plasma membrane and were concentrated at sites of F-actin accumulation and membrane lipid rafts in HIV-1 infected T cells PMID: 23260110
- DEF6, a novel substrate for the Tec kinase ITK, contains a glutamine-rich aggregation-prone region and forms cytoplasmic granules that co-localize with P-bodies. PMID: 22829599
- This review focuses on Itk and its role in regulating T-cell signaling and function, especially the activation and development of alpha-beta T cells. PMID: 22449075
- ITK mutations are distributed over the entire protein and include missense, nonsense and indel mutations, reminiscent of the situation in its sister kinase in B cells, Bruton's tyrosine kinase PMID: 22289921
- These results indicate that Itk is required for efficient replication of influenza virus in infected T-cells. PMID: 22302878
- No detrimental mutations were identified in ITK in Chinese children with Epstein-Barr virus-associated hemophagocytic lymphohistiocytosis. PMID: 21674762
- These data suggest a sequential mechanism whereby ZAP-70-dependent priming of SLP-76 at three N-terminal sites triggers reciprocal regulatory interactions between Itk and SLP-76, which are ultimately required to couple active Itk to PLC-gamma1. PMID: 21725281
- People with the -rare allele 196C>T may be more susceptible to asthma via transcriptional regulation of the ITK gene. PMID: 21323647
- Knocking down Itk expression inhibits Jurkat cell proliferation and cytokines production. PMID: 21280324
- TSAd, through its interaction with both Itk and Lck, primes Itk for Lck mediated phosphorylation and thereby regulates CXCL12 induced T cell migration and actin cytoskeleton rearrangements PMID: 20305788
- T-cell receptor (TCR)-induced association between ITK and SLP-76, recruitment and transphosphorylation of ITK, actin polarization at the T-cell contact site, and expression of Th2 cytokines PMID: 20457812
- Expression of patient-derived ITK in mice induces highly malignant peripheral T cell lymphomas. PMID: 20439541
- Data show that tacrolimus modified the expression levels of Foxp3-regulated T cell receptor signal related-genes, PTPN22 and Itk, in Treg cells. PMID: 19714314
- Itk catalytic activity is inhibited by the peptidyl prolyl isomerase activity of cyclophilin A (CypA). PMID: 11830645
- In this review, the pathways are discussed by which Itk might impact the differentiation of T helper (Th) cells. PMID: 16931156
- Itk forms dimers in the membrane and that receptors that recruit Itk do so to specific membrane regions PMID: 17060314
- Vav phosphorylation correlates with calcium flux and Itk phosphorylation during mitogenic CD28 signalaing in Jurkat cells PMID: 17237383
- Active signals from transgenic Tec kinase (ITK) regulate the development of memory-like CD8+ T cells with innate function. PMID: 17724684
- Itk autophosphorylation on Y180 within the SH3 domain occurs exclusively via an intramolecular, in cis mechanism PMID: 17897671
- In transgenic mice specifically lacking Itk kinase activity, active kinase signaling is required for control of T helper (Th)2 cell responses and development of allergic asthma. PMID: 18322190
- These data suggest that inhibition of ITK blocks HIV infection by affecting multiple steps of HIV replication. PMID: 18443296
- Analysis of SNPs in TCR pathway genes revealed that a haplotype that covers a major part of the coding sequence of ITK is a risk factor for seasonal allergic rhinitis. PMID: 19222422
- ITK deficiency as a result of a R335W missense mutation, causes a novel immunodeficiency syndrome that leads to a fatal inadequate immune response to Epstein-Barr virus. PMID: 19425169
- The authors identify the residues on the surface of the Itk SH2 domain responsible for substrate docking and show that this SH2 surface mediates autophosphorylation in the full-length Itk molecule. PMID: 19523959
- Findings identify ITK-SYK as an active, transforming FTK and suggest ITK-SYK as a rational therapeutic target for t(5;9)(q33;q22)-positive lymphomas. PMID: 19535334
- these results provide an initial step in understanding the biological role of Itk-TFII-I signaling in T-cell function. PMID: 19701889
- The Tec family kinase Itk exists as a folded monomer in vivo. PMID: 19717557
- Studies of Itk deletion mutants indicate that the amino acids in the N-terminal 152 residues and proline-rich domains enhance catalysis by affecting turnover rate rather than by substrate binding. PMID: 11437596
顯示更多
收起更多
-
相關疾病:Lymphoproliferative syndrome 1 (LPFS1)
-
亞細胞定位:Cytoplasm. Nucleus. Note=Localizes in the vicinity of cell surface receptors in the plasma membrane after receptor stimulation.
-
蛋白家族:Protein kinase superfamily, Tyr protein kinase family, TEC subfamily
-
組織特異性:T-cell lines and natural killer cell lines.
-
數據庫鏈接:
Most popular with customers
-
-
YWHAB Recombinant Monoclonal Antibody
Applications: ELISA, WB, IHC, IF, FC
Species Reactivity: Human, Mouse, Rat
-
Phospho-YAP1 (S127) Recombinant Monoclonal Antibody
Applications: ELISA, WB, IHC
Species Reactivity: Human
-
-
-
-
-















