GHR Recombinant Monoclonal Antibody
-
中文名稱:GHR重組抗體
-
貨號:CSB-RA978909A0HU
-
規格:¥1320
-
圖片:
-
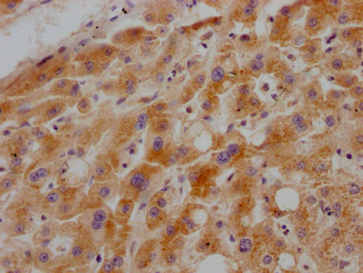
IHC image of CSB-RA978909A0HU diluted at 1:100 and staining in paraffin-embedded human liver tissue performed on a Leica BondTM system. After dewaxing and hydration, antigen retrieval was mediated by high pressure in a citrate buffer (pH 6.0). Section was blocked with 10% normal goat serum 30min at RT. Then primary antibody (1% BSA) was incubated at 4℃ overnight. The primary is detected by a Goat anti-rabbit IgG polymer labeled by HRP and visualized using 0.05% DAB.
-
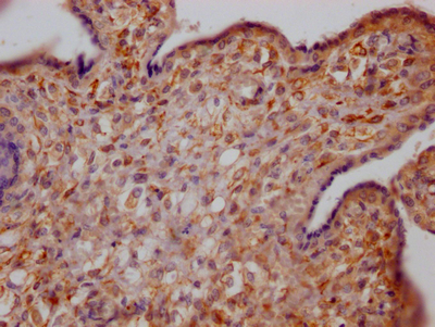
IHC image of CSB-RA978909A0HU diluted at 1:100 and staining in paraffin-embedded human placenta tissue performed on a Leica BondTM system. After dewaxing and hydration, antigen retrieval was mediated by high pressure in a citrate buffer (pH 6.0). Section was blocked with 10% normal goat serum 30min at RT. Then primary antibody (1% BSA) was incubated at 4℃ overnight. The primary is detected by a Goat anti-rabbit IgG polymer labeled by HRP and visualized using 0.05% DAB.
-
Immunofluorescence staining of HepG2 Cells with CSB-RA978909A0HU at 1:50, counter-stained with DAPI. The cells were fixed in 4% formaldehyde and blocked in 10% normal Goat Serum. The cells were then incubated with the antibody overnight at 4℃. Nuclear DNA was labeled in blue with DAPI. The secondary antibody was FITC-conjugated AffiniPure Goat Anti-Rabbit IgG (H+L).
-
-
其他:
產品詳情
-
產品描述:CSB-RA978909A0HU GHR重組單克隆抗體是針對生長激素受體(Growth Hormone Receptor, GHR)開發的高特異性科研工具。GHR作為細胞因子受體超家族成員,廣泛分布于肝臟、肌肉及脂肪組織,介導生長激素信號傳導,參與調控機體生長發育、代謝平衡及細胞增殖等關鍵生理過程。本抗體通過重組表達技術制備,經ELISA驗證顯示與天然GHR蛋白具有高親和力結合能力,在免疫組化(IHC)和免疫熒光(IF)實驗中分別以1:50-1:200和1:20-1:200的推薦稀釋度實現清晰的組織及細胞定位信號,其特異性通過多種陰性對照實驗驗證。該產品適用于探究GHR在能量代謝調控、組織再生及腫瘤發生等領域的分子機制研究,支持包括生長激素信號通路解析、代謝相關疾病模型構建、以及靶向治療基礎研究等應用場景。尤其適用于需要高重復性的細胞亞定位分析和組織樣本中受體表達水平檢測,為體外實驗及基礎醫學研究提供可靠試劑保障。
-
Uniprot No.:
-
基因名:
-
別名:Growth hormone receptor (GH receptor) (Somatotropin receptor) [Cleaved into: Growth hormone-binding protein (GH-binding protein) (GHBP) (Serum-binding protein)], GHR
-
反應種屬:Human
-
免疫原:A synthesized peptide derived from human Growth hormone receptor
-
免疫原種屬:Homo sapiens (Human)
-
標記方式:Non-conjugated
-
克隆類型:Monoclonal
-
抗體亞型:Rabbit IgG
-
純化方式:Affinity-chromatography
-
克隆號:10C11
-
濃度:It differs from different batches. Please contact us to confirm it.
-
保存緩沖液:Rabbit IgG in 10mM phosphate buffered saline , pH 7.4, 150mM sodium chloride, 0.05% BSA, 0.02% sodium azide and 50% glycerol.
-
產品提供形式:Liquid
-
應用范圍:ELISA, IHC, IF
-
推薦稀釋比:
Application Recommended Dilution IHC 1:50-1:200 IF 1:20-1:200 -
Protocols:
-
儲存條件:Upon receipt, store at -20°C or -80°C. Avoid repeated freeze.
-
貨期:Basically, we can dispatch the products out in 1-3 working days after receiving your orders. Delivery time maybe differs from different purchasing way or location, please kindly consult your local distributors for specific delivery time.
-
用途:For Research Use Only. Not for use in diagnostic or therapeutic procedures.
相關產品
靶點詳情
-
功能:Receptor for pituitary gland growth hormone involved in regulating postnatal body growth. On ligand binding, couples to the JAK2/STAT5 pathway.; The soluble form (GHBP) acts as a reservoir of growth hormone in plasma and may be a modulator/inhibitor of GH signaling.; Isoform 2 up-regulates the production of GHBP and acts as a negative inhibitor of GH signaling.
-
基因功能參考文獻:
- co-administration of Ghr and GH is a promising therapeutic tool for reversing immunosuppression caused by sepsis in the geriatric population. PMID: 28115288
- Growth hormone receptor gene polymorphism is associated with scoliosis in Prader-Willi syndrome. PMID: 29273483
- Study in lung cancer BEAS-2B cells shows that SOCS2 binding to the growth hormone receptor (GHR) is impaired by a GHR threonine substitution at Pro 495. This results in decreased internalisation and degradation of the receptor. PMID: 28967904
- Genotype frequencies of four growth hormone receptor SNPs (rs2972781, rs6451620, rs12518414, and rs7727047) significantly differed between Han and Hani obstructive sleep apnea syndrome (OSAS) patients groups, indicating ethnic differences. The A allele frequency of the rs12518414 polymorphism and G allele frequency of the rs7727047 were significantly higher in Han OSAS patients compared with Hani patients. PMID: 29651721
- Until now, more than 90 GHR mutations relevant to human short stature (Laron syndrome and idiopathic short stature), including deletions, missense, nonsense, frameshift, and splice site mutations, and four GHR defects associated with chicken dwarfism, have been described. PMID: 29748515
- GHRH and GHRH-R are expressed in human adipocytes and are negatively associated; GHRH at low doses may exert an anti-obesity effect by inhibiting HMSC differentiation in adipocytes and by increasing adipocyte lipolysis in an autocrine or paracrine pathway; these effects are mediated by GH and GH-R PMID: 28626214
- Genetic variations at the human growth hormone receptor gene locus are associated with idiopathic short stature. PMID: 28557176
- Short small for gestational age children carrying the d3-GHR polymorphism had increased spontaneous growth, lower Insulin sensitivity and a compensatory increase in glucose, C-peptide and insulin before GH therapy compared to children homozygous for the full-length allele. PMID: 28719834
- In a meta-analysis of a combined group of 324 acromegaly patients obtained from 4 separate study cohorts, the presence of 1 or 2 copies of the exon 3 deletion-GHR polymorphism had no significant effect on the lowest insulin-like growth factor I levels during pegvisomant treatment nor on the required pegvisomant dose to achieve these levels. PMID: 27513761
- Data suggest that subjects with 6Psi GHR point mutation [intronic GHR pseudoexon mutation 6Psi, base change A(-1) to G(-1) in intron 6] exhibit heterogeneity in phenotype and in response to therapy with rhIGF1 (recombinant human insulin-like growth factor I); there is mismatch between clinical and biochemical features in patients with this GHR mutations; rhIGF1 treatment improves target height outcomes in these patients. PMID: 29500309
- these results show that GHR polymorphism is associated with the length and width of the lip PMID: 28415752
- Our set of findings identify an unknown mechanism of GH regulation in mediating melanoma drug resistance and validates GHR as a unique therapeutic target for sensitizing highly therapy-resistant human melanoma cells to lower doses of anti-cancer drugs. PMID: 28293855
- The results suggest that both of the possible single mutation-containing heteromeric GH-GHR complexes, as well as the double GHR mutant complex result in perturbation of complex structures, with altered ability of the GHR dimers to interact with the GH peptide. PMID: 28523647
- GHR and PRLR associate in complexes comprised of GHR-GHR/PRLR-PRLR heteromers consisting of GHR homodimers and PRLR homodimers, rather than GHR-PRLR heterodimers. PMID: 27003442
- d3/d3 GHR genotype was found twice as frequent in appropriate for gestational age (AGA) and large for gestational age (LGA) cohorts compared to small for gestational age (SGA) subjects, whereas no significant differences in the frequency distribution of the GHR genotypes between LGA and AGA newborns were detected. PMID: 25411947
- Molecular interactions of EphA4, growth hormone receptor, Jak2, and STAT5B have been described. PMID: 28686668
- GHR levels correlate with levels of lipases and lipid droplet-associated proteins crucial for lipolysis. Thus, higher GHR expression in the abdominal depot when compared with the gluteal depot may underlie the in vivo effect of GH to specifically reduce abdominal adipose tissue mass. PMID: 27015877
- There was a strong relationship between growth hormone receptor (GHR)-d3/fl gene polymorphism status and leptin levels in acromegalic patients PMID: 28791847
- GHR exon 3 genotype appears to have no clinical significance, at least in Brazilian acromegaly patients. PMID: 27001494
- No differences were observed in GHR genotype distribution between the idiopathic growth hormone deficiency (IGHD)patients and the control group. Patients with IGHD did not differ among each other depending on their genotype (fl/fl-GHR or fl/d3-GHR) in terms of growth velocity before introducing therapy or growth rate after one year of recombinant human GH therapy. PMID: 27857044
- GHR-exon 3 polymorphisms did not show any consistent association with clinical and laboratory features of acromegalic patients even after treatment. PMID: 25552351
- We report a rapid, optimized method for genotyping the GHR full-length versus exon 3-deleted isoform (GHRd3) PMID: 26067082
- Data indicate that growth hormone binding protein (GHR) and KCNQ1 potassium channel variants with large effects on stature. PMID: 26366551
- Association between GHR/exon-3 variants and serum GH, IGF-1 and IGFBP-3 levels in diabetes and coronary heart disease. PMID: 25977383
- Data suggest that cell membrane/lipid bilayer binding of GHR intracellular domain is independent of transient changes in protein secondary structure of GHR. PMID: 25846210
- The d3-GHR variant genotype did not have an effect on clinical features or comorbidity in acromegalic patients, but it might play a role in GH/IGF-1 level discordance in acromegaly. PMID: 24706164
- Genetic and epigenetic variation at the GHR and IGF-1 loci play a major role as independent modulators of individual GH sensitivity. PMID: 25835289
- The E180splice mutation in the GHR gene causing Laron syndrome. PMID: 24664892
- A soluble IGF-1R extracellular domain fragment (sol IGF-1R) interacts with GHR in response to GH. PMID: 25211187
- Effective mandibular length (condylion-gnathion) and lower face height (anterior nasal spina-menton) were associated with P561T variant. finding supports GHR might be candidate gene for mandibular morphogenesis in this population. PMID: 24654940
- miRNA (miR)-129-5p, miR-142-3p, miR-202, and miR-16 are potent inhibitors of human GHR expression in normal (HEK293) and cancer (MCF7 and LNCaP) cells. PMID: 25073105
- The GHRd3 genotype was negatively associated with birth size but it was not associated with adult height or weight, plasma IGF1, metabolic phenotype or any marker of increased cardiovascular risk in young adults PMID: 24893921
- The growth hormone receptor d3/fl polymorphism was found to be of functional relevance and associated with central adiposity. PMID: 25391539
- Altogether, GHR silencing controls the growth and metastasis of pancreatic cancer and reveals its importance in pancreatic cancer pathogenesis. PMID: 25301264
- The GC genotype of rs6898743 in the GHR gene was negatively associated with esophageal squamous-cell carcinoma. PMID: 24608110
- In the Brazilian population, GHR exon 3 polymorphism is a severity-related risk factor for osteoporosis, but does not appear to be associated with disease status. PMID: 23812803
- The c.266+83G>T is the second intronic GHR mutation identified that activates a cryptic 5' donor splice site and is responsible for Laron syndrome. PMID: 24296660
- An intronic GHR mutation should be considered in all patients with signs of growth hormone insensitivity and no coding exon mutations, even if the phenotype is mild and even if other genetic variants have been found. PMID: 24335149
- Obtained data revealed remarkable increase in the expression levels of GHR and NEDD9 proteins in both epithelial and stromal components of axillary lymph node metastases in comparison with those of non-metastatic tumours. PMID: 24676793
- This study suggests for the first time that exon 3 deletion of GHR may predispose patients with active and controlled acromegaly to a higher risk of vertebral fractures. PMID: 24866575
- GHR-exon 3 polymorphism is not associated with idiopathic short stature. PMID: 23999134
- GHRd3 polymorphism seemed only to have a weak influence on male reproductive function of borderline significance. PMID: 24412931
- siRNA targeted inhibition of GHR in human colon cancer SW480 cells resulted in anti-tumor effects in nude mice. PMID: 24307807
- GHRs occur as approximately 500-kDa complexes that dimerize into active approximately 900-kDa complexes upon GH binding. The dimerized complexes act as platforms for transient interaction with JAK2 and ubiquitin ligases. PMID: 24280222
- growth hormone receptor, insulin-like growth factor-1 receptor and insulin-like growth factors binding protein-3 have a role in the pathogenesis of non-melanoma skin cancers, especially squamous cell carcinoma. PMID: 24022308
- In women, the d3-GHR polymorphism was associated with symptomatic osteoarthritis, especially at the hip site. PMID: 23740230
- The presence of growth hormone receptor (GHR) gene polymorphism affects growth hormone treatment of the Prader-Willi syndrome patients PMID: 23696513
- genetic association study in a population in Sweden: Data suggest that, among patients with growth hormone deficiency treated with hormone replacement therapy, homozygotes of full-length deletion of GHR respond better than those with exon 3 deletion. PMID: 24114431
- Data suggest growth hormone (GH) potentiates estradiol effects on proliferation in breast cancer cells expressing high levels of GHR; GH/GHR signaling overcomes proliferative effect of insulin-like growth factor I receptor tyrosine kinase inhibition. PMID: 23782942
- the GHR and IGF1 genes may have a role in African pygmies' short stature. PMID: 23047741
顯示更多
收起更多
-
相關疾病:Laron syndrome (LARS); Growth hormone insensitivity, partial (GHIP)
-
亞細胞定位:Cell membrane; Single-pass type I membrane protein.; [Isoform 2]: Cell membrane; Single-pass type I membrane protein.
-
蛋白家族:Type I cytokine receptor family, Type 1 subfamily
-
組織特異性:Expressed in various tissues with high expression in liver and skeletal muscle. Isoform 4 is predominantly expressed in kidney, bladder, adrenal gland and brain stem. Isoform 1 expression in placenta is predominant in chorion and decidua. Isoform 4 is hig
-
數據庫鏈接:
Most popular with customers
-
-
YWHAB Recombinant Monoclonal Antibody
Applications: ELISA, WB, IHC, IF, FC
Species Reactivity: Human, Mouse, Rat
-
Phospho-YAP1 (S127) Recombinant Monoclonal Antibody
Applications: ELISA, WB, IHC
Species Reactivity: Human
-
-
-
-
-















