FN1 Recombinant Monoclonal Antibody
-
中文名稱:FN1重組抗體
-
貨號:CSB-RA921689A0HU
-
規格:¥1320
-
圖片:
-
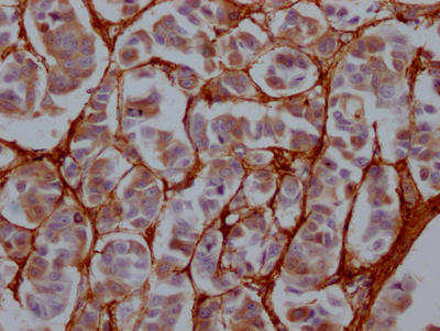
IHC image of CSB-RA921689A0HU diluted at 1:100 and staining in paraffin-embedded human breast cancer performed on a Leica BondTM system. After dewaxing and hydration, antigen retrieval was mediated by high pressure in a citrate buffer (pH 6.0). Section was blocked with 10% normal goat serum 30min at RT. Then primary antibody (1% BSA) was incubated at 4℃ overnight. The primary is detected by a Goat anti-rabbit IgG polymer labeled by HRP and visualized using 0.05% DAB.
-
-
其他:
產品詳情
-
產品描述:FN1重組單克隆抗體(CSB-RA921689A0HU)靶向纖維連接蛋白(Fibronectin 1),該蛋白是細胞外基質的關鍵成分,參與細胞黏附、遷移及組織修復等重要生物學過程,與腫瘤微環境調控、胚胎發育和炎癥反應密切相關。本抗體通過重組技術制備,具有高特異性與批次穩定性,經嚴格驗證適用于ELISA和免疫組化(IHC)實驗,其中IHC推薦使用稀釋比為1:50至1:200,可清晰定位纖維連接蛋白在石蠟包埋組織中的表達分布。其優越的抗原結合能力支持在細胞生物學、組織病理學及再生醫學等領域的應用,尤其適用于探究纖維連接蛋白在腫瘤侵襲、傷口愈合或器官纖維化模型中的功能機制。該產品為科研工作者提供了可靠工具,助力于細胞-基質相互作用、疾病相關信號通路等基礎研究,實驗結果具備高重復性與精準性。
-
Uniprot No.:
-
基因名:
-
別名:Fibronectin (FN) (Cold-insoluble globulin) (CIG) [Cleaved into: Anastellin, Ugl-Y1, Ugl-Y2, Ugl-Y3], FN1, FN
-
反應種屬:Human
-
免疫原:Recombinant Protein of Human FN1
-
免疫原種屬:Homo sapiens (Human)
-
標記方式:Non-conjugated
-
克隆類型:Monoclonal
-
抗體亞型:Rabbit IgG
-
純化方式:Affinity-chromatography
-
克隆號:1E1
-
濃度:It differs from different batches. Please contact us to confirm it.
-
保存緩沖液:Rabbit IgG in 10mM phosphate buffered saline , pH 7.4, 150mM sodium chloride, 0.05% BSA, 0.02% sodium azide and 50% glycerol.
-
產品提供形式:Liquid
-
應用范圍:ELISA, IHC
-
推薦稀釋比:
Application Recommended Dilution IHC 1:50-1:200 -
Protocols:
-
儲存條件:Upon receipt, store at -20°C or -80°C. Avoid repeated freeze.
-
貨期:Basically, we can dispatch the products out in 1-3 working days after receiving your orders. Delivery time maybe differs from different purchasing way or location, please kindly consult your local distributors for specific delivery time.
-
用途:For Research Use Only. Not for use in diagnostic or therapeutic procedures.
相關產品
靶點詳情
-
功能:Fibronectins bind cell surfaces and various compounds including collagen, fibrin, heparin, DNA, and actin. Fibronectins are involved in cell adhesion, cell motility, opsonization, wound healing, and maintenance of cell shape. Involved in osteoblast compaction through the fibronectin fibrillogenesis cell-mediated matrix assembly process, essential for osteoblast mineralization. Participates in the regulation of type I collagen deposition by osteoblasts.; Binds fibronectin and induces fibril formation. This fibronectin polymer, named superfibronectin, exhibits enhanced adhesive properties. Both anastellin and superfibronectin inhibit tumor growth, angiogenesis and metastasis. Anastellin activates p38 MAPK and inhibits lysophospholipid signaling.
-
基因功能參考文獻:
- Evidence has been presented for FN modification by inflammatory oxidants, and particularly myeloperoxidase (MPO)-derived species including hypochlorous acid (HOCl). Studies using primary human coronary artery smooth muscle cells show that exposure to HOCl-modified FN, results in decreased adherence, increased proliferation and altered expression of genes involved in extracellular matrix synthesis and remodelling. PMID: 30237127
- Depletion of FN1 by siRNA knockdown markedly reduced the invasive capacity of prostate cancer cells in vitro. PMID: 29391407
- Human IL-7 binds more strongly to stretched than to relaxed Fibronectin. PMID: 28845674
- TGFB1-mediated PI3K/Akt and p38 MAP kinase dependent alternative splicing of fibronectin extra domain A in human podocyte culture has been reported. PMID: 29729706
- The findings of this study provide evidence highlighting the prominent role played by FN1 in stimulating glioma growth, invasion, and survival through the activation of the PI3K/AKT signaling pathway. PMID: 30048971
- The simultaneous delivery of multiple proinflammatory payloads to the cancer site conferred protective immunity against subsequent tumor challenges. A fully human homolog of IL2-F8-TNF(mut), which retained selectivity similar to its murine counterpart when tested on human material, may open new clinical applications for the immunotherapy of cancer. PMID: 28716814
- Under the same condition, p53 protein expression, but not mRNA expression, was reversed by MG132. Taken together, our data demonstrate that the level of FN expression is associated with the status and expression of p53 in breast cancer cells PMID: 28765903
- Our study thus demonstrates the dual roles of PTHrP on TGF-b1 signaling and FN up-regulation for the first time in glomerular mesangial cells . These data also provided new insights to guide development of therapy for diabetic kidney disease PMID: 28954822
- data suggest that miR-200b regulates EMT of chemo-resistant breast cancer cells by targeting FN1. miR-200b-based therapy may be an effective strategy in treating advanced breast cancer patients. PMID: 28972876
- Identification of novel integrin-binding domain mutations in FN1 in patients with glomerulopathy with fibronectin deposits. PMID: 27056061
- Fibronectin fragments (FNFr) function as matrikines driving the chemotactic affinity of prostate cancer cells via the alpha5beta1 integrin. PMID: 27715399
- Fn with its inactive compact structure requires unfolding to assemble into active fibrils. Shear stress could induce conformational changes of plasma Fn. PMID: 29470988
- B. burgdorferi does not primarily target insoluble matrix Fn deposited on endothelial surfaces but, instead, recruits and induces polymerization of soluble plasma Fn (pFn), an abundant protein in blood plasma that is normally soluble and nonadhesive. PMID: 28396443
- miR1271 inhibited glioma cell growth by targeting FN1, and a low level of miR1271 in glioma tumor tissues was associated with lower survival rates in patients with glioma. PMID: 28535003
- There is a significant association between a positive fetal fibronectin result and underlying inflammatory pathology of the placenta, even more so than the recognized relationship with short cervical length. PMID: 28535404
- The article focuses on summarizing the many binding partners for fibronectin such as extracellular matrix proteins, growth factors, and synthetic binding partners with a particular interest in binding partners whose adhesiveness is impacted by the molecular conformation of the fibronectin fibers. (Review) PMID: 27496349
- FN1 fibrils regulate TGFB1-induced epithelial-mesenchymal transition. PMID: 28109697
- Breast cancer cells alter the dynamics of stromal fibronectin-collagen interactions. PMID: 27503584
- This study suggested that high a1-antitrypsin (AAT)expression might be a negative prognostic marker for lung adenocarcinoma. AAT promoted lung adenocarcinoma metastasis, whose functional target may be fibronectin . Our findings provide new insight into the mechanisms of lung adenocarcinoma metastasis PMID: 28440399
- Data show the expression of ED-B fibronectin was much higher in mesenchymal than prostate cancer cells even after the epithelial to mesenchymal transition. Epithelial to mesenchymal transition is a key step for tumor progression contributing to the metastatic spread. Therefore, circulating cancer cells could seed into the metastatic niche taking advantage from the ED-B fibronectin that secrete their own. PMID: 27902486
- Thrombomodulin (TM) promotes angiogenesis by enhancing cell adhesion, migration, and FAK activation through interaction with fibronectin. PMID: 27602495
- thyroid nodule stiffness is correlated with fibrosis and expression of Gal-3 and FN-1 PMID: 27809694
- EGF and TNFalpha cooperatively promoted the motility of HCC cells mainly through NF-kappaB/p65 mediated synergistic induction of FN in vitro. These findings highlight the crosstalk between EGF and TNFalpha in promoting HCC, and provide potential targets for HCC prevention and treatment. PMID: 28844984
- analysis of FN in breast cancer reveals its role and diagnostic potential PMID: 27250024
- RT-PCR together with Sanger sequencing verified the presence of the FN1-ALK fusion transcripts PMID: 27469327
- Fibronectin is readily modified by ONOOH at low (physiologically-relevant) molar ratios of oxidant to protein. PMID: 27396946
- The 45 kDa gelatin-binding domain of fibronectin is responsible for the binding to TGM2. PMID: 27394141
- Proteomics study showed a strong association of FN1, A2M, C4BPA and CFB in molecular subtypes of breast cancer. The findings also revealed the altered level expressions of these selected proteins could classify BC subtypes through plasma and tissue based expression analysis PMID: 27498393
- FN1/CCL2 levels are elevated in the bronchoalveolar lavage fluid from pulmonary sarcoidosis patients. PMID: 27259755
- Cancer-associated fibroblasts organize the fibronectin matrix and promote directional prostate cancer cell migration. PMID: 29021221
- FN1 mutations that cause defective fibronectin secretion are found in SMD. PMID: 29100092
- FN1 overexpression is an important determinant of thyroid cancer aggressiveness. PMID: 27173027
- Thyroid hormone T3 induces fibronectin and HIF-1alpha synthesis via PI3K/AKT signaling pathway. PMID: 28974422
- Mutations in FN are associated with glomerulopathy, but when we studied mutant proteins, the single-nucleotide mutations had only minor effects on conformation and matrix assembly. The mutations may destabilize their FNIII domains or generate dimers of dimers by disulfide cross-linking. PMID: 28745050
- Fibronectin and Hepatocyte Growth Factor were shown to be produced by lung fibroblasts and, furthermore, to enhance malignant pleural mesothelioma cell migration and invasion PMID: 28476806
- Study identifies four likely Tourette disorder risk genes with multiple de novo damaging variants in unrelated probands: WWC1 (WW and C2 domain containing 1), CELSR3 (Cadherin EGF LAG seven-pass G-type receptor 3), NIPBL (Nipped-B-like), and FN1 (fibronectin 1). PMID: 28472652
- fibrillar fibronectin on this polymer, but not a globular conformation obtained on control polymers, promotes synergistic presentation of integrin-binding sites and bound bone morphogenetic protein 2 (BMP-2), which enhances mesenchymal stem cell osteogenesis in vitro and drives full regeneration of a nonhealing bone defect in vivo at low GF concentrations. PMID: 27574702
- Fn plays a critical role in inflammasome-activated cells by amplifying caspase-1 activation and inducing inflammatory cell death. PMID: 27870323
- If the expression of Capon is decreased, myeloma cells are adhered to fibronectin or bone marrow stromal cells (bone marrow mesenchymal stem cells). In addition, the sensitivity of the cell line to chemotherapeutic agents was reduced after silencing Capon in the myeloma cell line which was adhered to bone marrow mesenchymal stem cells. PMID: 28671047
- Protease sensitivity resulting from mutations in the Fn-binding sequence could lead to degradation of type I collagen, early embryonic lethality PMID: 27799304
- C-terminal truncation of transglutaminase 2 (TG2) reduces binding to the small intestinal extracellular matrix (ECM) despite retained fibronectin (FN)-binding capacity. PMID: 27685605
- analysis of novel functions for two fibronectin isoforms and the mediating receptors in osteoblast differentiation PMID: 28325836
- In vitro binding assays with purified components reveal that Tie-integrin recognition is direct, and further demonstrate that the receptor binding domain of the Tie2 ligand Ang-1, but not the receptor binding domain of Ang-2, can independently associate with a5b1 or aVb3. cooperative Tie/integrin interactions selectively stimulate ERK/MAPK signaling in the presence of both Ang-1 and fibronectin PMID: 27695111
- Results directly implicate the heparin-binding sequence of the first type III repeat of fibrillar fibronectin (FNIII1) in realignment of stress fibers in HUVECs and, importantly, show that the matricryptic heparin-binding RWRPK sequence located in FNIII1 is required for the response. PMID: 27521419
- TGFbeta elevated the expression of CamK IIbeta and CamK IIdelta, while siRNA silencing of those two subtypes significantly reduced TGFbeta-mediated expression of collagen A1 and fibronectin 1. PMID: 28130256
- Findings suggest that the up-regulated level of EDA+ FN is associated with liver damage in nonalcoholic fatty liver disease. PMID: 28397039
- In vitro binding studies support a previously unreported two-state "catch-clamp" mechanism of Fn binding by CshA, in which the disordered N-terminal domain of CshA acts to "catch" Fn, via formation of a rapidly assembled but also readily dissociable pre-complex, enabling its neighboring ligand binding domain to tightly clamp the two polypeptides together. PMID: 27920201
- These data add new evidence that thermodynamic stability correlates primarily with unfolding rate rather than folding rate. The study also has implications for the question of whether opening of FNIII domains contributes to the stretching of fibronectin matrix fibrils. PMID: 27909052
- A positive fFN was associate with preterm birth <32 weeks (15.6% versus 4.2%, p = 0.043), <35 weeks (37.5% versus 11.1%, p = 0.002), <37 weeks (65.6% versus 20.8%, p < 0.001), and earlier gestational ages at delivery (35.2 +/- 3.9 versus 37.4 +/- 2.9, p = 0.001). PMID: 26782923
- FN1 plays a role in the development of cisplatin resistance in non-small cell lung cancer (NSCLC), possibly by modulation of beta-catenin signaling through interaction with integrin-beta1 in NSCLC. PMID: 27207836
顯示更多
收起更多
-
相關疾?。?/div>Glomerulopathy with fibronectin deposits 2 (GFND2)亞細胞定位:Secreted, extracellular space, extracellular matrix.組織特異性:Expressed in the inner limiting membrane and around blood vessels in the retina (at protein level). Plasma FN (soluble dimeric form) is secreted by hepatocytes. Cellular FN (dimeric or cross-linked multimeric forms), made by fibroblasts, epithelial and ot數據庫鏈接:
Most popular with customers
-
-
YWHAB Recombinant Monoclonal Antibody
Applications: ELISA, WB, IHC, IF, FC
Species Reactivity: Human, Mouse, Rat
-
Phospho-YAP1 (S127) Recombinant Monoclonal Antibody
Applications: ELISA, WB, IHC
Species Reactivity: Human
-
-
-
-
-















