CTSS Recombinant Monoclonal Antibody
-
中文名稱:CTSS重組抗體
-
貨號:CSB-RA788455A0HU
-
規格:¥1320
-
圖片:
-
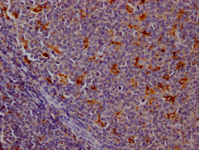
IHC image of CSB-RA788455A0HU diluted at 1:100 and staining in paraffin-embedded human tonsil tissue performed on a Leica BondTM system. After dewaxing and hydration, antigen retrieval was mediated by high pressure in a citrate buffer (pH 6.0). Section was blocked with 10% normal goat serum 30min at RT. Then primary antibody (1% BSA) was incubated at 4℃ overnight. The primary is detected by a Goat anti-rabbit IgG polymer labeled by HRP and visualized using 0.05% DAB.
-
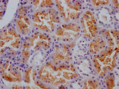
IHC image of CSB-RA788455A0HU diluted at 1:100 and staining in paraffin-embedded human kidney tissue performed on a Leica BondTM system. After dewaxing and hydration, antigen retrieval was mediated by high pressure in a citrate buffer (pH 6.0). Section was blocked with 10% normal goat serum 30min at RT. Then primary antibody (1% BSA) was incubated at 4℃ overnight. The primary is detected by a Goat anti-rabbit IgG polymer labeled by HRP and visualized using 0.05% DAB.
-
-
其他:
產品詳情
-
產品描述:CTSS Recombinant Monoclonal Antibody(CSB-RA788455A0HU)是一款針對組織蛋白酶S(Cathepsin S,CTSS)靶點開發的高特異性重組抗體。CTSS作為半胱氨酸蛋白酶家族成員,在抗原呈遞、細胞外基質重塑及免疫調控中發揮關鍵作用,其異常表達與自身免疫性疾病、腫瘤進展及炎癥反應密切相關。本抗體經ELISA和免疫組化(IHC)技術嚴格驗證,在IHC應用中表現出優異的組織定位能力,推薦使用稀釋比為1:50-1:200,可清晰檢測福爾馬林固定石蠟包埋樣本中CTSS的胞內表達分布,且背景信號低、重復性好。其重組單克隆特性確保了高批次間一致性,適用于免疫學研究中的靶蛋白定量分析、疾病模型組織切片染色及腫瘤微環境相關機制探索。該產品為解析CTSS在免疫調節、神經退行性病變及心血管疾病中的功能研究提供了可靠工具,尤其適合在體外實驗及病理學研究中用于蛋白表達水平與亞細胞定位的精準檢測。
-
Uniprot No.:
-
基因名:
-
別名:Cathepsin S (EC 3.4.22.27), CTSS
-
反應種屬:Human
-
免疫原:A synthesized peptide derived from human Cathepsin S
-
免疫原種屬:Homo sapiens (Human)
-
標記方式:Non-conjugated
-
克隆類型:Monoclonal
-
抗體亞型:Rabbit IgG
-
純化方式:Affinity-chromatography
-
克隆號:9B10
-
濃度:It differs from different batches. Please contact us to confirm it.
-
保存緩沖液:Rabbit IgG in 10mM phosphate buffered saline , pH 7.4, 150mM sodium chloride, 0.05% BSA, 0.02% sodium azide and 50% glycerol.
-
產品提供形式:Liquid
-
應用范圍:ELISA, IHC
-
推薦稀釋比:
Application Recommended Dilution IHC 1:50-1:200 -
Protocols:
-
儲存條件:Upon receipt, store at -20°C or -80°C. Avoid repeated freeze.
-
貨期:Basically, we can dispatch the products out in 1-3 working days after receiving your orders. Delivery time maybe differs from different purchasing way or location, please kindly consult your local distributors for specific delivery time.
-
用途:For Research Use Only. Not for use in diagnostic or therapeutic procedures.
相關產品
靶點詳情
-
功能:Thiol protease. Key protease responsible for the removal of the invariant chain from MHC class II molecules and MHC class II antigen presentation. The bond-specificity of this proteinase is in part similar to the specificities of cathepsin L.
-
基因功能參考文獻:
- Plasma apoA-I proteolysis is augmented in aortic valve stenosis and cathepsin S exerts the most deleterious effects on apoA-I integrity in humans. PMID: 29915952
- The present data indicating that Cat-S activity increases with CKD progression suggest that Cat-S might be a therapeutic target to prevent cardiovascular complications in CKD. PMID: 28240259
- High expression of CTSS was independently associated with lymph node metastasis (OR, 2.015; 95% CI, 1.225-3.315; P=0.006). Therefore, CTSS may serve as a predictive risk marker for the progression and prognosis of papillary thyroid cancer . PMID: 29749483
- Authors show a significant increase of circulating CS levels in healthy female subjects induced by long-term physical activity. PMID: 29181829
- This study therefore considerably improves our understanding of the molecular mechanism responsible for cathepsin S inhibition and facilitates the identification of potential novel selective inhibitors of cathepsin S. PMID: 28236030
- cathepsin S is increased in periodontal cells and tissues under inflammatory and infectious conditions, suggesting a critical role of this autophagy-associated molecule in the pathogenesis of periodontitis. PMID: 29362520
- Elevated cathepsin S activity was associated with collagen I degradation and thus might be involved in the progression of abdominal aortic aneurysms. PMID: 29624112
- Cathepsin S was identified as the major IL-36gamma-activating protease expressed in epithelial cells. PMID: 28289191
- Our results indicate that autophagy is essential for decreasing CTSS activity to inhibit tumor metastasis by hispolon treatment in cervical cancer; this finding provides a new perspective on molecular regulation. PMID: 28981104
- These results revealed that CTSS can regulate EGFR signalling by facilitating EGF-mediated EGFR degradation. PMID: 27387133
- This study suggested serum Cat S may be a potential biomarker for the diagnosis and prognosis of gastric cancer PMID: 27058412
- Overall, these results indicate that exploitation of the cathepsin S activity in MPS tissues can be utilized to substantially lower non-target accumulation, suggesting this is a promising approach for the development of diagnostic and radiotherapeutic nanomedicine platforms. PMID: 27372424
- polymorphism of rs7534124 and rs1136774 in cathepsin S promoter may decrease the susceptibility of asthma in a Chinese Han population PMID: 27249607
- cathepsin S mRNA (CTSS), which encodes a cysteine protease associated with angiogenesis and atherosclerosis, is highly edited in human endothelial cells. RNA editing enables the recruitment of the stabilizing RNA-binding protein human antigen R (HuR; encoded by ELAVL1) to the 3' UTR of the CTSS transcript, thereby controlling CTSS mRNA stability and expression. PMID: 27595325
- the essential role of autophagy-regulated early ROS in triggering late apoptotic signaling PMID: 26029922
- Cathepsin S cleaves near the N-terminus of PAR2 to expose a novel tethered ligand, KVDGTS. PMID: 24964046
- Increased plasma CTSS concentration is associated with atherogenesis. PMID: 24727728
- potential marker of pruritus in dandruff/seborrhoeic dermatitis PMID: 24690038
- results identify Cat-S as a biased agonist of PAR2 that causes PAR2- and TRPV4-dependent inflammation and pain. PMID: 25118282
- Its stability at neutral pH and potent proteolytic activity on extracellular matrix components mean that cathepsin S may contribute significantly to cartilage degradation and may thus be considered a potential drug target in joint diseases. PMID: 23152404
- High cathepsin S expression at the primary site correlates with decreased brain metastasis-free survival in breast cancer patients. PMID: 25086747
- cathepsin S and chemerin only correlated positively with insulin resistance and inflammation PMID: 24390241
- Cat S-mediated autophagic flux is an important mechanism for inducing M2-type polarization of tumor-associated macrophages, which leads to tumor development PMID: 24580730
- Cathepsin S plays an important role in the regulation of autophagy and apoptosis in human glioblastoma cells. PMID: 24875536
- Suppression of CD47 by morpholino approach suppressed growth of hepatocellular carcinoma in vivo and exerted a chemosensitization effect through blockade of CTSS/PAR2 signaling. PMID: 24523067
- The miR-31/IRF-1/CTSS pathway may play a functional role in the pathogenesis of cystic fibrosis lung disease. PMID: 24940638
- Markedly high levels of tear CTSS activity are suggestive of Sjogren syndrome. PMID: 24644101
- This study reveals a noncanonical molecular pathway in which, after the inhibition of cathepsin S, autophagy induces early reactive oxygen species production for oxidative DNA damage and cell death through xanthine oxidase. PMID: 23892358
- Amyloid-beta can regulate the proinflammatory state of human macrophages by inducing MMP-2/MMP-9/cathepsin S levels and by reducing TGF-beta1 secretion. PMID: 24335416
- Cat S may participate in the pathophysiology of cystic fibrosis by weakening the antibacterial activity of SP-A. PMID: 23707200
- the genetic polymorphisms of CTSS were associated with metabolic disorders in a Chinese Han population PMID: 23747398
- Cathepsin S activity appears to be involved in the early dysregulation of glucose and insulin metabolism. PMID: 22923671
- Cleavage of nidogen-1 by cathepsin S impairs its binding to basement membrane partners PMID: 22952693
- The present study was designed to determine the role of Cat S in human hepatocellular carcinoma cell growth, invasion and angiogenesis, using RNA interference technology. PMID: 22796222
- CTSS variants seem to be nominally associated to obesity related traits and this association may be modified by dietary protein intake PMID: 22844403
- HCV has an inhibitory role on cathepsin S-mediated major histocompatibility complex (MHC) class II maturation, which may contribute to weak immunogenicity of viral antigens in chronic infections. PMID: 22761382
- Cathepsin S therefore appears to be an important factor that influences selection of autoreactive T cells. PMID: 22424724
- Cathepsin S specificity profile appears to be pH-independent. PMID: 21967108
- Cathepsin S plays an important role in the regulation of cell autophagy through interference with the EGFR-ERK/MAPK-signaling pathway. PMID: 22101325
- results signify that CatS may be an important prognostic biomarker and predictive of response to adjuvant fluoruracil/folinic acid in colorectal carcinoma PMID: 21989182
- The cathepsin S deserves further evaluation as therapeutic targets to develop disease modifying drugs to treat Alzheimer's disease. PMID: 21585286
- Serum cathepsin S showed significantly lower values 4 days after surgery PMID: 21250859
- Among elderly individuals in 2 independent cohorts, higher serum cathepsin S levels were associated with increased mortality risk PMID: 21878432
- results suggest that CTSS mediated atherogenesis may be associated with a CD40 mediated inflammatory and immune response. Further invasive atheroma analysis is reasonable PMID: 21223957
- Cathepsin S activity in human whole blood was dependent on the time of blood collection, suggesting that cathepsin S activity is subject to circadian variations. PMID: 21094118
- Our data provide first evidence that Cathepsin S expression is selectively induced in psoriatic keratinocytes. PMID: 19849712
- Down-regulation of cathepsin S was found in inverted papilloma tissues as compared with its expression level in normal sinus mucosa tissues. PMID: 21038029
- the immunosuppressive effects of IL-10-STAT3 on MHC-II antigen presentation may occur via the inhibition of cathepsin S expres PMID: 20356901
- The researchers found no evidence of an association between the CTSS -25G/A polymorphism and the presence of coronary artery disease in a Chinese population. PMID: 19593952
- cathepsin S was found to be significantly elevated in rheumatoid arthritis and osteoarthritis synovial fluid. PMID: 20180636
顯示更多
收起更多
-
亞細胞定位:Lysosome. Secreted. Cytoplasmic vesicle, phagosome.
-
蛋白家族:Peptidase C1 family
-
數據庫鏈接:
Most popular with customers
-
-
YWHAB Recombinant Monoclonal Antibody
Applications: ELISA, WB, IHC, IF, FC
Species Reactivity: Human, Mouse, Rat
-
-
-
-
-
-















