CNN1 Recombinant Monoclonal Antibody
-
中文名稱:CNN1重組抗體
-
貨號:CSB-RA005655A0HU
-
規格:¥1320
-
圖片:
-
Western Blot
Positive WB detected in: 293 whole cell lysate, Mouse lung tissue
All lanes: CNN1 antibody at 1.05μg/ml
Secondary
Goat polyclonal to rabbit IgG at 1/50000 dilution
Predicted band size: 34, 32 KDa
Observed band size: 34 KDa -
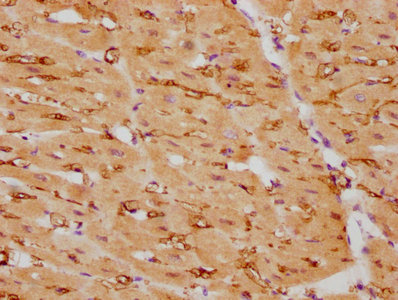
IHC image of CSB-RA005655A0HU diluted at 1:105 and staining in paraffin-embedded human heart tissue performed on a Leica BondTM system. After dewaxing and hydration, antigen retrieval was mediated by high pressure in a citrate buffer (pH 6.0). Section was blocked with 10% normal goat serum 30min at RT. Then primary antibody (1% BSA) was incubated at 4℃ overnight. The primary is detected by a biotinylated secondary antibody and visualized using an HRP conjugated SP system.
-
-
其他:
產品詳情
-
產品描述:CSB-RA005655A0HU是靶向CNN1(Calponin-1)的重組單克隆抗體,專為科研實驗設計。CNN1是平滑肌細胞特異性表達的關鍵調控蛋白,通過結合肌動蛋白和原肌球蛋白參與細胞收縮及骨架動態調節,在血管功能、組織重塑及病理狀態(如纖維化、腫瘤微環境異常)等研究中具有重要價值。本抗體經多種實驗驗證,可在WB中清晰識別目標蛋白條帶,并在IHC中精準定位組織切片內的CNN1表達,其ELISA檢測性能穩定,適用于細胞裂解液、組織勻漿等多種樣本類型。推薦使用濃度為WB 1:500-1:5000、IHC 1:50-1:200,可滿足低豐度蛋白檢測和高分辨率定位的雙重需求。該產品適用于探索平滑肌分化機制、血管病理模型構建、細胞遷移相關信號通路研究等領域,為心血管疾病、纖維化疾病及腫瘤微環境的基礎研究提供可靠工具。
-
Uniprot No.:
-
基因名:CNN1
-
別名:Basic calponin antibody; Calponin 1 antibody; Calponin 1 basic smooth muscle antibody; Calponin H1 antibody; Calponin H1 smooth muscle antibody; Calponin-1 antibody; Calponin1 antibody; Calponins basic antibody; CNN 1 antibody; Cnn1 antibody; CNN1_HUMAN antibody; Epididymis secretory protein Li 14 antibody; HEL S 14 antibody; Sm Calp antibody; SMCC antibody; smooth muscle antibody
-
反應種屬:Human, Mouse
-
免疫原:A synthesized peptide derived from human CNN1
-
免疫原種屬:Homo sapiens (Human)
-
標記方式:Non-conjugated
-
克隆類型:Monoclonal
-
抗體亞型:Rabbit IgG
-
純化方式:Affinity-chromatography
-
克隆號:2H1
-
濃度:It differs from different batches. Please contact us to confirm it.
-
保存緩沖液:Rabbit IgG in 10mM phosphate buffered saline , pH 7.4, 150mM sodium chloride, 0.05% BSA, 0.02% sodium azide and 50% glycerol.
-
產品提供形式:Liquid
-
應用范圍:ELISA, WB, IHC
-
推薦稀釋比:
Application Recommended Dilution WB 1:500-1:5000 IHC 1:50-1:200 -
Protocols:
-
儲存條件:Upon receipt, store at -20°C or -80°C. Avoid repeated freeze.
-
貨期:Basically, we can dispatch the products out in 1-3 working days after receiving your orders. Delivery time maybe differs from different purchasing way or location, please kindly consult your local distributors for specific delivery time.
-
用途:For Research Use Only. Not for use in diagnostic or therapeutic procedures.
相關產品
靶點詳情
-
功能:Thin filament-associated protein that is implicated in the regulation and modulation of smooth muscle contraction. It is capable of binding to actin, calmodulin and tropomyosin. The interaction of calponin with actin inhibits the actomyosin Mg-ATPase activity.
-
基因功能參考文獻:
- Studied maternal serum calponin 1 levels in the prediction of delivery within 7 days among pregnancies complicated with threatened preterm labor. Of 73 women included in the study, found the maternal serum calponin 1 level was significantly high in women who delivered within 7 days vs. those who delivered after 7 days. PMID: 28068849
- Loss of myoepithelial calponin was specifically associated with gain of the basal marker p63 in adjacent tumor cells. PMID: 26343330
- Loss of CNN1 expression is associated with Ovarian Cancer. PMID: 26504022
- CNN1 immunohistochemical staining allows ready recognition of intracytoplasmic inclusions, aiding diagnosis of infantile digital fibromatosis. PMID: 24117680
- epsilonPKC/ERK/mTOR pathway activation induced by the rescued expression of CNN1 contributed to the improvement of cardiac dysfunction and pathological changes observed in transgenic mice. PMID: 24631115
- Calponin knockdown inhibits autophosphorylation. PMID: 24350264
- Expression of transforming growth factor-beta (4.3 +/- 1.4 vs 2.6 +/- 2.3, p = 0.01) and calponin (3.7 +/- 0.7 vs 0.6 +/- 1.1, p = 0.05) was lower from infants with vs without a PDA. PMID: 23731614
- Calponin-1 expression in the uterine smooth muscle tissue of the body and the lower uterine segment of smooth muscle tissues was significantly different. PMID: 21051832
- Inhibition of calponin-1 expression can inhibit uterine smooth muscle cell migration and cause the morphological change and rearrangement of F-actin without affecting its proliferation and apoptosis in vitro. PMID: 20584679
- A single intronic CArG element is necessary but insufficient for proper CNN1 expression in vivo. CNN1 overexpression antagonizes arterial injury-induced neointimal formation. PMID: 21817093
- D2-40 immunohistochemistry reliably identifies the myoepithelial cells of breast in a variety of lesions in a pattern similar to that of calponin and p63. PMID: 21326813
- The point mutation S175T exhibited more resistance to actin rearrangement by cytochalasin D and PDBu than intact CNh1, suppressing cell motility induced by PDBu. PMID: 20530411
- expression in tumor vessels is a new and useful means to predict prognosis of hepatocellular carcinoma after hepatic resection PMID: 11920541
- results suggest that regulation of h1-calponin is involved in the regulation of differentiation of AR42J cells into insulin-producing cells PMID: 12606518
- the calponin homology domain of Vav1 associates with calmodulin and is prerequisite to T cell antigen receptor-induced calcium release in Jurkat T lymphocytes PMID: 17550897
- analysis of distinct sites of interaction that form the calponin: gelsolin complex and two calcium switches that control its activity PMID: 17556051
- expression of vascular CNN1 in the peripheral region of colon cancer tissues was significantly reduced in association with tumor progression, lymphatic invasion, vascular invasion and recurrence. PMID: 17707120
- Calponin and alpha-inhibin are the most useful positive markers for serous microcystic adenoma, and are negative in most entities in the differential diagnosis. PMID: 19391217
顯示更多
收起更多
-
蛋白家族:Calponin family
-
組織特異性:Smooth muscle, and tissues containing significant amounts of smooth muscle.
-
數據庫鏈接:
Most popular with customers
-
-
YWHAB Recombinant Monoclonal Antibody
Applications: ELISA, WB, IHC, IF, FC
Species Reactivity: Human, Mouse, Rat
-
Phospho-YAP1 (S127) Recombinant Monoclonal Antibody
Applications: ELISA, WB, IHC
Species Reactivity: Human
-
-
-
-
-















