TSC2 Recombinant Monoclonal Antibody
-
中文名稱:TSC2 Recombinant Monoclonal Antibody
-
貨號:CSB-RA984894A0HU
-
規格:¥1320
-
圖片:
-
Flow cytometric analysis of tuberin expression in HeLa cells using tuberin antibody. Green, isotype control; red, tuberin.
-
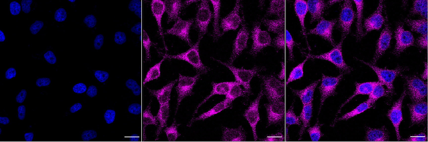
Immunocytochemical staining of HeLa cells with tuberin antibody. Nuclei were stained blue with DAPI; Tuberin was stained magenta with Alexa Fluor? 647. Images were taken using Leica stellaris 5. Protein abundance based on laser Intensity and smart gain: Medium. Scale bar, 20 μm.
-
Western blotting analysis using tuberin antibody. Total cell lysates (30 μg) from various cell lines were loaded and separated by SDS-PAGE. The blot was incubated with tuberin antibody and HRP-conjugated goat anti-rabbit secondary antibody respectively.
-
-
其他:
產品詳情
-
Uniprot No.:
-
基因名:
-
別名:Tuberin; PPP1R160; TSC4; LAM; Protein Phosphatase 1, Regulatory Subunit 160; Tuberous Sclerosis 2 Protein; Tuberous Sclerosis 2
-
反應種屬:Human, Mouse, Rat
-
免疫原:Recombinant Human TSC2 protein
-
免疫原種屬:Homo sapiens (Human)
-
標記方式:Non-conjugated
-
克隆類型:Monoclonal
-
抗體亞型:Rabbit IgG
-
純化方式:Affinity-chromatography
-
克隆號:23D5
-
濃度:It differs from different batches. Please contact us to confirm it.
-
保存緩沖液:Rabbit IgG in PBS (pH 7.4) containing 50% glycerol, and 0.02% sodium azide.
-
產品提供形式:Liquid
-
應用范圍:ELISA, WB, FC, ICC
-
推薦稀釋比:
Application Recommended Dilution WB 1:1000-1:5000 FC 1:200-1:2000 ICC 1:100-1:1000 -
Protocols:
-
儲存條件:Upon receipt, store at -20°C or -80°C. Avoid repeated freeze.
-
貨期:Basically, we can dispatch the products out in 1-3 working days after receiving your orders. Delivery time maybe differs from different purchasing way or location, please kindly consult your local distributors for specific delivery time.
-
用途:For Research Use Only. Not for use in diagnostic or therapeutic procedures.
相關產品
靶點詳情
-
功能:In complex with TSC1, this tumor suppressor inhibits the nutrient-mediated or growth factor-stimulated phosphorylation of S6K1 and EIF4EBP1 by negatively regulating mTORC1 signaling. Acts as a GTPase-activating protein (GAP) for the small GTPase RHEB, a direct activator of the protein kinase activity of mTORC1. May also play a role in microtubule-mediated protein transport. Also stimulates the intrinsic GTPase activity of the Ras-related proteins RAP1A and RAB5.
-
基因功能參考文獻:
- Rapamycin-independent IGF2 expression in Tsc2-null mouse embryo fibroblasts and human lymphangioleiomyomatosis cells. PMID: 29758070
- This study demonstrated that the TSC2 mutation related the cerebellar abnormalities in tuberous sclerosis complex. PMID: 29882962
- a novel TSC2 mutation is a cause of mild tuberous sclerosis in a family and has reduced expression PMID: 28659645
- Data found that TSC2 negatively regulates the expression of EP3 in an mTORC1- independent manner. PMID: 28710231
- Mutations in TSC2 gene on chromosome 9q34 that encode tuberin are associated with fetal Cardiac Rhabdomyoma that can be the initial finding in patients with Tuberous Sclerosis Complex. 5 known "pathogenic" TSC2-causing gene mutations were confirmed, also detected 6 "likely pathogenic" mutations. PMID: 29642139
- When exposed to urotensin-II, TSC2-deficient cells exhibited greater migration, anchorage-independent cell growth, and matrix invasion PMID: 27458154
- To the best of our knowledge, this is the first report of the c.3599G>C (p.R1200P) variant in exon 29 of the TSC2 gene related to a severe clinical course and multiple kidney transplants in a patient with tuberous sclerosis. PMID: 29308833
- These results demonstrate Tsc2-deficient mesenchymal progenitors cause aberrant morphogenic signals, and identify an expression signature including Lgals3 relevant for human disease of TSC1/TSC2 inactivation and mTORC1 hyperactivity. PMID: 28695825
- Functional validation of the oncogenic cooperativity and targeting potential of tuberous sclerosis mutation in medulloblastoma using a MYC-amplified model cell line PMID: 28409891
- This case provides evidence for a unique TSC2 mutation that resulted in an atypical clinical presentation and indicates potential shortcomings of the current diagnostic criteria for TSC. These findings may have implications for genetic counseling and screening. PMID: 28127866
- we report a pathogenic TSC2 variant, c.1864C>T, p.(Arg622Trp), associated with a mild phenotype, with most carriers meeting fewer than two major clinical diagnostic criteria for TSC. This finding has significant implications for counseling patients regarding prognosis. PMID: 28211972
- The results highlight a new role of TSC2 in protecting glioblastoma against photodynamic therapy-induced cell death, and TSC2 and YWHAZ as new RIP3 partners. PMID: 27984090
- Study provides new information regarding cerebellar lesions in tuberous sclerosis complex: cerebellar lesions are significantly much more frequent in patients with TSC2 mutations than TSC1 mutations or patients with no mutation identified, and Crus II is the most frequent location of cerebellar lesions. PMID: 28786492
- Two pathogenic mutations in TSC1 and one in TSC2 genes were identified in patients with tuberous sclerosis complex; the patient with TSC2 mutation manifested a more severe clinical phenotype PMID: 28288225
- Novel missense mutation in the exon 19 of the TSC2 gene is associated with tuberous sclerosis. PMID: 28397210
- Mutation in TSC2 is associated with lymphangioleiomyomatosis. PMID: 28202529
- Results show that tuberous sclerosis complex disease segregates with a silent substitution in TSC2, c.4149C>T, p.(Ser1838Ser), which leads to the formation of an active donor splice site, resulting in three shorter alternatively spliced transcripts with premature stop codons. PMID: 28336152
- Clinical whole exome sequencing of blood and tumor samples con fi rmed the diagnosis of methylmalonic acidemia and revealed two somatic inactivating mutations in TSC2, suggesting the potential consideration of an mTOR inhibitor in the event of tumor recurrence. PMID: 27748010
- TSC2 N-terminal lysine acetylation status affects to its stability modulating mTORC1 signaling and autophagy/cell proliferation. PMID: 27542907
- TSC2 mutations leading to severe tuberous sclerosis in Chinese children. PMID: 27859028
- These results suggested that TSC2 heterozygosity caused neurological malformations in primitive neural stem cells, indicating that its heterozygosity might be sufficient for the development of neurological abnormalities in patients. PMID: 28344003
- the first structural information on TSC2/tuberin with novel insight into the molecular function. PMID: 27493206
- Novel TSC2 mutations in Chinese patients with tuberous sclerosis. PMID: 28178598
- Gankyrin overexpression activates mTORC1 signaling and accelerating TSC2 degradation in colorectal tumor cells. PMID: 26975632
- data provide the first evidence that tuberin plays a novel role in regulating ROS generation, NADPH oxidase activity, and Nox expression that may potentially be involved in development of kidney tumor in patients with tuberous sclerosis complex PMID: 27278252
- Our evidence suggests that variants in TSC2 exons 25 or 31 are very unlikely to cause classical TSC, although a role for these exons in tissue/stage specific development cannot be excluded. PMID: 26703369
- In children with tuberous sclerosis complex, nonsense mutations in the TSC2 gene had a correlation with autistic behavior. PMID: 24698169
- By interfering with TSC-Rheb complex, arginine relieves allosteric inhibition of Rheb by TSC. Arginine cooperates with growth factor signaling which further promotes dissociation of TSC2 from lysosomes and activation of mTORC1. PMID: 26742086
- Results confirm strong association between TSC2 mutation and angiomyolipoma burden, and they indicate that everolimus response occurs regardless of mutation type or location or when no mutation in TSC1 or TSC2 has been identified. PMID: 25782670
- Tuberous sclerosis is a syndrome caused by dominant mutations in Tuberin (TSC2),causing Autism spectrum disorder - like behaviors, seizures, intellectual disability and characteristic brain and skin lesions. PMID: 26393489
- Lysosomal recruitment of TSC2 is a universal response to stimuli that inactivate mTORC1, and that the presence of any single stress is sufficient to cause TSC2 lysosomal localization. PMID: 26868506
- results confirm the consistent finding of TSC2 mutations in LAM samples, and highlight the benefit of laser capture microdissection and in-depth allele analyses for detection, such as NGS PMID: 26563443
- Data shows frequent loss of TSC2 in hepatocellular carcinoma cells (HCC) and that TSC2-null cell lines were more sensitive to mTOR inhibition by everolimus suggesting that TSC2 loss is a predictive biomarker for the response to everolimus in HCC patients. PMID: 25724664
- Multiple mutations in TSC2 during kidney development lead to severe phenotype of multifocal renal cell carcinoma. PMID: 25432535
- A short segment of chromosome 16 encodes the tumor suppressor gene tuberin as well as the protein polycystin 1, which are responsible for tuberous sclerosis complex type 2 and autosomal-dominant polycystic kidney disease type 1, respectively. PMID: 25355409
- A novel frame-shifting mutation c.4258-4261delTCAG in the TSC2 gene is associated with tuberous sclerosis in a Chinese family. PMID: 26252095
- pUL38 can activate mTORC1 in both TSC2-dependent and -independent manners. PMID: 25972538
- a novel frame shift Tuberous Sclerosis Complex-2 Mutation in three patients with Tuberous sclerosis complex but with different severity of symptoms PMID: 25563326
- these results demonstrate that TSC2-deficient cells have enhanced choline phospholipid metabolism and reveal a novel function of the TSC proteins in choline lysoglycerophospholipid metabolism PMID: 25780943
- This study demonstrates that TSC2-deficient tumor cells are hypersensitive to oxidative stress-dependent cell death, and provide critical proof of concept that TSC2-deficient cells can be therapeutically targeted PMID: 25185584
- TSC2/mTORC1 signaling contributes to the maintenance of intestinal epithelium homeostasis by regulating Notch activity. PMID: 25654764
- In TSC2-deficient angiomyolipoma patient cells, IRF7 is a pivotal factor in the Rheb/mTOR pathway. PMID: 25476905
- Studied conditions that increase the sensitivity of cancer cells to MK-2206. and found reduction by salinomycin of Akt and downregulation of pAkt, pGSk3beta, pTSC2, and p4EBP1 by cotreatment with MK-2206. PMID: 25114899
- The features of alpha-smooth muscle cells of a patient affected by lymphangioleiomyomatosis associated with Tuberous sclerosis complex, named LAM/TSC cells, bearing a TSC2 mutation and an epigenetic defect causing the absence of tuberin, were investigated. PMID: 24606538
- study describes 2 cases of genetically proven TCS2, sharing the same genotype; detected a novel, small and in frame deletion/insertion TSC2 mutation on exon 30 (c.3664_3665delinsTT-p.Asp1222Phe) PMID: 24794161
- This is the first mutation and multiplex ligation-dependent probe amplification (MLPA) analyses of TSC2 in Korean Angiomyolipomas that focus on tuberous sclerosis complex. PMID: 25281918
- This work indicates a novel role for this TSC2 gene, which encodes an activator of cell proliferation in response to androgen stimulation. PMID: 24318044
- TSC2 somatic second-hit mutations are associated with angiofibroma development in tuberous sclerosis. PMID: 24271014
- TSC2 mutations are associated with a more severe, earlier presenting tuberous sclerosis complex phenotype. PMID: 24917535
- Two novel gross deletions of TSC2 gene in Malay patients with tuberous sclerosis complex and TSC2/PKD1 contiguous gene deletion syndrome, respectively. PMID: 24683199
顯示更多
收起更多
-
相關疾病:Tuberous sclerosis 2 (TSC2); Lymphangioleiomyomatosis (LAM); Focal cortical dysplasia 2 (FCORD2)
-
亞細胞定位:Cytoplasm. Membrane; Peripheral membrane protein. Note=At steady state found in association with membranes.
-
組織特異性:Liver, brain, heart, lymphocytes, fibroblasts, biliary epithelium, pancreas, skeletal muscle, kidney, lung and placenta.
-
數據庫鏈接:
Most popular with customers
-
-
YWHAB Recombinant Monoclonal Antibody
Applications: ELISA, WB, IHC, IF, FC
Species Reactivity: Human, Mouse, Rat
-
-
-
-
-
-















