SGK1 Recombinant Monoclonal Antibody
-
中文名稱:SGK1 Recombinant Monoclonal Antibody
-
貨號:CSB-RA030568A0HU
-
規格:¥1320
-
圖片:
-
IHC image of CSB-RA030568A0HU diluted at 1:100 and staining in paraffin-embedded human stomach tissue performed on a Leica BondTM system. After dewaxing and hydration, antigen retrieval was mediated by high pressure in a citrate buffer (pH 6.0). Section was blocked with 10% normal goat serum 30min at RT. Then primary antibody (1% BSA) was incubated at 4°C overnight. The primary is detected by a Goat anti-rabbit polymer IgG labeled by HRP and visualized using 0.05% DAB.
-
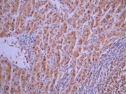
IHC image of CSB-RA030568A0HU diluted at 1:100 and staining in paraffin-embedded human liver cancer performed on a Leica BondTM system. After dewaxing and hydration, antigen retrieval was mediated by high pressure in a citrate buffer (pH 6.0). Section was blocked with 10% normal goat serum 30min at RT. Then primary antibody (1% BSA) was incubated at 4°C overnight. The primary is detected by a Goat anti-rabbit polymer IgG labeled by HRP and visualized using 0.05% DAB.
-
Immunofluorescence staining of Hela cell with CSB-RA030568A0HU at 1:50 , counter-stained with DAPI. The cells were fixed in 4% formaldehyde, permeabilized using 0.2% Triton X-100 and blocked in 10% normal Goat Serum. The cells were then incubated with the antibody overnight at 4°C. The secondary antibody was Alexa Fluor 488-congugated AffiniPure Goat Anti-Rabbit IgG(H+L).
-
Overlay Peak curve showing A431 cells stained with CSB-RA030568A0HU (red line) at 1:100. The cells were fixed in 4% formaldehyde and permeated by 0.2% TritonX-100 for 10min. Then 10% normal goat serum to block non-specific protein-protein interactions followed by the antibody (1ug/1*106cells) for 45min at 4℃. The secondary antibody used was FITC-conjugated goat anti-rabbit IgG (H+L) at 1/200 dilution for 35min at 4℃.Control antibody (green line) was Rabbit IgG (1ug/1*106cells) used under the same conditions. Acquisition of >10, 000 events was performed.
-
-
其他:
產品詳情
-
Uniprot No.:
-
基因名:
-
別名:OTTHUMP00000017247 antibody; Serine/threonine protein kinase SGK antibody; Serine/threonine protein kinase Sgk1 antibody; Serine/threonine-protein kinase Sgk1 antibody; Serum and glucocorticoid regulated kinase antibody; Serum/glucocorticoid regulated kinase 1 antibody; Serum/glucocorticoid regulated kinase antibody; Serum/glucocorticoid-regulated kinase 1 antibody; SGK 1 antibody; SGK antibody; SGK1 antibody; Sgk1 variant i3 antibody; SGK1_HUMAN antibody
-
反應種屬:Human
-
免疫原:A synthesized peptide from human SGK1 protein
-
免疫原種屬:Homo sapiens (Human)
-
標記方式:Non-conjugated
-
克隆類型:Monoclonal
-
抗體亞型:Rabbit IgG
-
純化方式:Affinity-chromatography
-
克隆號:17H5
-
濃度:It differs from different batches. Please contact us to confirm it.
-
保存緩沖液:Rabbit IgG in 10mM phosphate buffered saline , pH 7.4, 150mM sodium chloride, 0.05% BSA, 0.02% sodium azide and 50% glycerol.
-
產品提供形式:Liquid
-
應用范圍:ELISA, IHC, IF, FC
-
推薦稀釋比:
Application Recommended Dilution IHC 1:50-1:200 IF 1:50-1:200 FC 1:50-1:200 -
Protocols:
-
儲存條件:Upon receipt, store at -20°C or -80°C. Avoid repeated freeze.
-
貨期:Basically, we can dispatch the products out in 1-3 working days after receiving your orders. Delivery time maybe differs from different purchasing way or location, please kindly consult your local distributors for specific delivery time.
-
用途:For Research Use Only. Not for use in diagnostic or therapeutic procedures.
相關產品
靶點詳情
-
功能:Serine/threonine-protein kinase which is involved in the regulation of a wide variety of ion channels, membrane transporters, cellular enzymes, transcription factors, neuronal excitability, cell growth, proliferation, survival, migration and apoptosis. Plays an important role in cellular stress response. Contributes to regulation of renal Na(+) retention, renal K(+) elimination, salt appetite, gastric acid secretion, intestinal Na(+)/H(+) exchange and nutrient transport, insulin-dependent salt sensitivity of blood pressure, salt sensitivity of peripheral glucose uptake, cardiac repolarization and memory consolidation. Up-regulates Na(+) channels: SCNN1A/ENAC, SCN5A and ASIC1/ACCN2, K(+) channels: KCNJ1/ROMK1, KCNA1-5, KCNQ1-5 and KCNE1, epithelial Ca(2+) channels: TRPV5 and TRPV6, chloride channels: BSND, CLCN2 and CFTR, glutamate transporters: SLC1A3/EAAT1, SLC1A2 /EAAT2, SLC1A1/EAAT3, SLC1A6/EAAT4 and SLC1A7/EAAT5, amino acid transporters: SLC1A5/ASCT2, SLC38A1/SN1 and SLC6A19, creatine transporter: SLC6A8, Na(+)/dicarboxylate cotransporter: SLC13A2/NADC1, Na(+)-dependent phosphate cotransporter: SLC34A2/NAPI-2B, glutamate receptor: GRIK2/GLUR6. Up-regulates carriers: SLC9A3/NHE3, SLC12A1/NKCC2, SLC12A3/NCC, SLC5A3/SMIT, SLC2A1/GLUT1, SLC5A1/SGLT1 and SLC15A2/PEPT2. Regulates enzymes: GSK3A/B, PMM2 and Na(+)/K(+) ATPase, and transcription factors: CTNNB1 and nuclear factor NF-kappa-B. Stimulates sodium transport into epithelial cells by enhancing the stability and expression of SCNN1A/ENAC. This is achieved by phosphorylating the NEDD4L ubiquitin E3 ligase, promoting its interaction with 14-3-3 proteins, thereby preventing it from binding to SCNN1A/ENAC and targeting it for degradation. Regulates store-operated Ca(+2) entry (SOCE) by stimulating ORAI1 and STIM1. Regulates KCNJ1/ROMK1 directly via its phosphorylation or indirectly via increased interaction with SLC9A3R2/NHERF2. Phosphorylates MDM2 and activates MDM2-dependent ubiquitination of p53/TP53. Phosphorylates MAPT/TAU and mediates microtubule depolymerization and neurite formation in hippocampal neurons. Phosphorylates SLC2A4/GLUT4 and up-regulates its activity. Phosphorylates APBB1/FE65 and promotes its localization to the nucleus. Phosphorylates MAPK1/ERK2 and activates it by enhancing its interaction with MAP2K1/MEK1 and MAP2K2/MEK2. Phosphorylates FBXW7 and plays an inhibitory role in the NOTCH1 signaling. Phosphorylates FOXO1 resulting in its relocalization from the nucleus to the cytoplasm. Phosphorylates FOXO3, promoting its exit from the nucleus and interference with FOXO3-dependent transcription. Phosphorylates BRAF and MAP3K3/MEKK3 and inhibits their activity. Phosphorylates SLC9A3/NHE3 in response to dexamethasone, resulting in its activation and increased localization at the cell membrane. Phosphorylates CREB1. Necessary for vascular remodeling during angiogenesis. Sustained high levels and activity may contribute to conditions such as hypertension and diabetic nephropathy. Isoform 2 exhibited a greater effect on cell plasma membrane expression of SCNN1A/ENAC and Na(+) transport than isoform 1.
-
基因功能參考文獻:
- Fewer Tumor Copy Number Segments of the SGK1 Gene Are Associated with Glioblastoma Multiforme. PMID: 29976632
- High SGK1 expression is associated with non-small cell lung cancer. PMID: 29328462
- Sgk1 stimulated OAT3 transport activity by interfering with the inhibitory effect of Nedd4-2 on the transporter. This study provides important insights into how OAT3-mediated drug elimination is regulated in vivo. PMID: 28608480
- Decreased expression of SGK1 may play a critical role in increasing the expression of alpha-syn, which is related with dopaminergic cell death in the Substantia nigra of chronic MPTP-induced Parkinsonism mice and in SH-SY5Y cells. PMID: 29604467
- Taken together, our results suggest that SGK1 inhibits PM2.5-induced cell apoptosis and ROS generation via ERK1/2 and AKT signaling pathway in human lung alveolar epithelial A549cells. PMID: 29412164
- High SGK1 expression is associated with gastric cancer. PMID: 26942879
- associated with risk of hypertension development in Chinese PMID: 27664953
- SGK1 was found to be essential for proliferation and survival of thyroid cancer cells harboring PI3K-activating mutations. PMID: 29055016
- miRNA-7-5p can regulate the expression of human alveolar ENaC by targeting the mTORC2/SGK-1 signaling pathway. PMID: 27331901
- Findings illustrate how cancer cells utilize a chromatin remodeling factor to engage a core survival pathway to support its cancerous phenotypes, and reveal new facets of MTA1-SGK1 axis by a physiologic signal in cancer progression. PMID: 28504714
- SGK1 inhibitor SI113 induced a significant reduction in endometrial cancer cells viability, as a result of induction of autophagy, apoptosis, and endoplasmic reticulum stress. PMID: 28177128
- Findings show that serum and glucocorticoid-inducible kinase 1 (SGK1) protein dynamics can be an important part of intracellular signaling, directly influencing cellular response decisions. PMID: 28338770
- In cancer cells resistant to PI3Kalpha inhibition, PDK1 blockade restores sensitivity to these therapies. SGK1, which is activated by PDK1, contributes to the maintenance of residual mTORC1 activity through direct phosphorylation and inhibition of TSC2. PMID: 27451907
- SGK1 promotes YAP/TAZ transcriptional activity. SGK1 enhances YAP/TAZ activity by upregulating YAP/TAZ. SGK1 is a transcriptional target of YAP. SGK1 stabilizes TAZ by inhibiting GSK3beta. PMID: 28634071
- Potassium supplementation has a blocking effect against salt-loading-induced IL-17A production in T lymphocytes, and the protective effect was mediated through suppression of p38/MAPK-SGK1 pathway. PMID: 27020669
- Akt3 constitutively suppresses macropinocytosis in macrophages through a novel WNK1/SGK1/Cdc42 pathway. PMID: 28389565
- Increased expression of SGK1 is associated with Hydrosalpinx. PMID: 26840046
- Human SMCT1 is regulated by insulin and SGK1. PMID: 27488665
- SGK1 overexpression in tissues and serum was found in patients with endometriosis. PMID: 26827666
- SGK1 can mediate chemo- and radio-resistance during the treatment of various human tumors, both in vitro and in vivo. (Review) PMID: 27771704
- Up-regulated expression of SGK1 is associated with lung cancer. PMID: 27251632
- Study provides evidence that enhanced SGK expression and activity in multiple myeloma cells contributes to resistance to ER stress, including bortezomib challenge. PMID: 26869290
- The results from this study may be of particular importance, because SGK1WT over-expression by activating telomerase and reducing reactive oxygen species levels may delay the processes of endothelial senescence. PMID: 26230157
- Highly recurrent mutation of GSK1 is associated with nodular lymphocyte predominant Hodgkin lymphoma. PMID: 26658840
- data suggest that the induction of SGK1 through treatment with dexamethasone alters MT dynamics to increase Sec5-GEF-H1 interactions, which promote GEF-H1 targeting to adhesion sites. PMID: 26359301
- This review focuses on recent advances in understanding of the roles of Akt and SGK1 in the regulation of renal tubular transport. PMID: 26491696
- After adjustment for multiple testing, single-nucleotide polymorphism rs9376026 was significantly associated with diastolic blood pressure and mean arterial pressure responses to low-sodium intervention PMID: 26277930
- SGK1 is overexpressed in non-small cell lung cancer.SGK1 positively regulates the growth, migration and metastasis of non-small cell lung cancer.SGK1 activates beta-catenin signaling in NSCLC cells. PMID: 26548813
- Data suggest that SGK1 expression is down-regulated in prefrontal cortex neurons of post-traumatic stress disorders subjects (male and female; postmortem samples obtained from tissue bank). PMID: 26506154
- SGK1 plays a pivotal role in vascular inflammation during atherogenesis. SGK1 participates in the regulation of monocyte/macrophage migration and MMP-9 transcription via regulation of nuclear factor-kappaB. PMID: 25614279
- SGK1 was up-regulated in CD4 T cells PMID: 26429539
- Increased SGK-1 expression reduces oxidative stress and improves cell survival in endothelial cells. PMID: 24961472
- These findings have identified an anti-inflammatory function of SGK1, elucidated the underlying intracellular mechanisms PMID: 25993992
- FE65 influences APP degradation via the proteasome, and phosphorylation of FE65 Ser(610) by SGK1 regulates binding of FE65 to APP, APP turnover and processing. PMID: 26188042
- we discuss the expression of DISC1, DBZ, and SGK1 , their roles in the regulation of oligodendrocyte function, possible interactions of DISC1 and DBZ in relation to SZ, and the activation of the SGK1 signaling cascade in relation to MDD. PMID: 25705664
- mRNA levels of ARC and SGK1 did not differ significantly between the schizophrenia or control samples. PMID: 26038830
- MDD patients with low expression of SGK1 have significantly smaller CA2/3 and CA4/DG volumes compared to patients with high expression of SGK1 mRNA and to healthy controls with low/high expression of SGK1, respectively. PMID: 25422956
- Inhibition of SGK1 activity as a novel therapeutic approach for the treatment of occlusive vascular diseases. PMID: 25152363
- SGK1 overexpression was found to decrease reactive oxygen species generation. PMID: 25825522
- C4-CER can replace the PI3K/mTORC2 pathway to directly induce SGK1 to autophosphorylate at Ser422, an initial step leading to activation of PDK1 and of SGK1 by PDK1. PMID: 25384981
- PIN1-mediated SGK1 ubiquitination is a major regulator of tamoxifen-resistant breast cancer cell growth and survival PMID: 25667458
- Numerical simulations of the model solutions yield a better understanding of the process and indicate the importance of the SGK1 gene in the development of medulloblastoma PMID: 24685888
- The role of distinct SGK1/FOXO3A-associated regulation in p53 versus ANXA7 responses were elucidated and proposed that aberrant SGK1 could affect reciprocal SGK1-FOXO3A-Akt regulation. PMID: 24864229
- Significant associations between SGK1 and SBP. PMID: 24878720
- These results suggested that urinary SGK1 should be a good indicator of tubulointerstitial damage in patients of IgA nephropathy. PMID: 24602173
- SGK1 selectively increases wild type-CFTR in the plasma membrane of human airway epithelia cells by inhibiting its endocytic retrieval from the membrane. PMID: 24586903
- SGK1 phosphorylated Shank2E, increasing CFTR abundance. PMID: 24811177
- Orai1 is expressed in the human endometrium and is up-regulated by SGK1 and TGFbeta1. PMID: 24043696
- These data suggest SGK1 plays a key role in regulating neutrophil survival signaling and thus may prove a valuable therapeutic target for the treatment of inflammatory disease. PMID: 24431232
- Neuronal expression of SGK1 in aged human brain and its nuclear compartmentalization suggest a possible neuroprotective role. PMID: 23363009
顯示更多
收起更多
-
亞細胞定位:Cytoplasm. Nucleus. Endoplasmic reticulum membrane. Cell membrane. Mitochondrion. Note=The subcellular localization is controlled by the cell cycle, as well as by exposure to specific hormones and environmental stress stimuli. In proliferating cells, it shuttles between the nucleus and cytoplasm in synchrony with the cell cycle, and in serum/growth factor-stimulated cells it resides in the nucleus. In contrast, after exposure to environmental stress or treatment with glucocorticoids, it is detected in the cytoplasm and with certain stress conditions is associated with the mitochondria. In osmoregulation through the epithelial sodium channel, it can be localized to the cytoplasmic surface of the cell membrane. Nuclear, upon phosphorylation.; [Isoform 2]: Cell membrane.
-
蛋白家族:Protein kinase superfamily, AGC Ser/Thr protein kinase family
-
組織特異性:Expressed in most tissues with highest levels in the pancreas, followed by placenta, kidney and lung. Isoform 2 is strongly expressed in brain and pancreas, weaker in heart, placenta, lung, liver and skeletal muscle.
-
數據庫鏈接:
Most popular with customers
-
-
YWHAB Recombinant Monoclonal Antibody
Applications: ELISA, WB, IHC, IF, FC
Species Reactivity: Human, Mouse, Rat
-
Phospho-YAP1 (S127) Recombinant Monoclonal Antibody
Applications: ELISA, WB, IHC
Species Reactivity: Human
-
-
-
-
-















