RAB5C Recombinant Monoclonal Antibody
-
中文名稱:RAB5C Recombinant Monoclonal Antibody
-
貨號:CSB-RA990431A0HU
-
規格:¥1320
-
圖片:
-
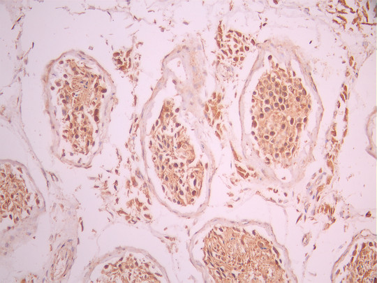
IHC image of CSB-RA990431A0HU diluted at 1:100 and staining in paraffin-embedded human testis tissue performed on a Leica BondTM system. After dewaxing and hydration, antigen retrieval was mediated by high pressure in a citrate buffer (pH 6.0). Section was blocked with 10% normal goat serum 30min at RT. Then primary antibody (1% BSA) was incubated at 4°C overnight. The primary is detected by a Goat anti-rabbit polymer IgG labeled by HRP and visualized using 0.05% DAB.
-
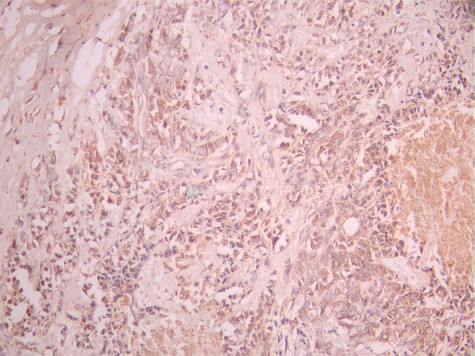
IHC image of CSB-RA990431A0HU diluted at 1:100 and staining in paraffin-embedded human breast cancer performed on a Leica BondTM system. After dewaxing and hydration, antigen retrieval was mediated by high pressure in a citrate buffer (pH 6.0). Section was blocked with 10% normal goat serum 30min at RT. Then primary antibody (1% BSA) was incubated at 4°C overnight. The primary is detected by a Goat anti-rabbit polymer IgG labeled by HRP and visualized using 0.05% DAB.
-
Overlay Peak curve showing A431 cells stained with CSB-RA990431A0HU (red line) at 1:100. The cells were fixed in 4% formaldehyde and permeated by 0.2% TritonX-100 for 10min. Then 10% normal goat serum to block non-specific protein-protein interactions followed by the antibody (1ug/1*106cells) for 45min at 4℃. The secondary antibody used was FITC-conjugated goat anti-rabbit IgG (H+L) at 1/200 dilution for 35min at 4℃.Control antibody (green line) was Rabbit IgG (1ug/1*106cells) used under the same conditions. Acquisition of >10, 000 events was performed.
-
-
其他:
產品詳情
-
Uniprot No.:
-
基因名:
-
別名:L1880 antibody; RAB; member of RAS oncogene family like antibody; RAB5C antibody; RAB5C; member of RAS oncogene family antibody; RAB5C; member RAS oncogene family antibody; RAB5C_HUMAN antibody; RAB5CL antibody; RAB5L antibody; RABL antibody; Ras-related protein Rab-5C antibody
-
反應種屬:Human
-
免疫原:A synthesized peptide from human RAB5C protein
-
免疫原種屬:Homo sapiens (Human)
-
標記方式:Non-conjugated
-
克隆類型:Monoclonal
-
抗體亞型:Rabbit IgG
-
純化方式:Affinity-chromatography
-
克隆號:10C5
-
濃度:It differs from different batches. Please contact us to confirm it.
-
保存緩沖液:Rabbit IgG in 10mM phosphate buffered saline , pH 7.4, 150mM sodium chloride, 0.05% BSA, 0.02% sodium azide and 50% glycerol.
-
產品提供形式:Liquid
-
應用范圍:ELISA, IHC, FC
-
推薦稀釋比:
Application Recommended Dilution IHC 1:50-1:200 FC 1:50-1:200 -
Protocols:
-
儲存條件:Upon receipt, store at -20°C or -80°C. Avoid repeated freeze.
-
貨期:Basically, we can dispatch the products out in 1-3 working days after receiving your orders. Delivery time maybe differs from different purchasing way or location, please kindly consult your local distributors for specific delivery time.
-
用途:For Research Use Only. Not for use in diagnostic or therapeutic procedures.
相關產品
靶點詳情
-
功能:Protein transport. Probably involved in vesicular traffic.
-
基因功能參考文獻:
- We identify RAB5C as a new candidate gene for type-2 diabetes risk with a functional role in endosomal type-2 diabetes module. Functional analysis shows that RAB5C is tyrosine phosphorylated. Data analysis reveals a tyrosine phosphorylation motif in the GTP binding site of RAB5C which may be targeted by insulin receptor. Insulin-dependent tyrosine phosphorylation of RAB5C is inhibited by overexpression of HACD3 (PTPLAD1). PMID: 30300385
- Enforced miR-509 expression in NALM6 cells reduced RAB5C mRNA and protein levels, and RAB5C was demonstrated to be a direct target of miR-509. PMID: 25368993
- PLP2 and RAB5C are binding partners of TPD52. PMID: 24604726
- Rab5C modulates Rac1-mediated cell motility. PMID: 24587345
- GTP-Rab5c also bound to AMAP1, and activation of Rab5c by EGFR signaling was necessary to promote the intracellular association of AMAP1 and PRKD2 PMID: 22734003
顯示更多
收起更多
-
亞細胞定位:Cell membrane; Lipid-anchor; Cytoplasmic side. Early endosome membrane; Lipid-anchor. Melanosome.
-
蛋白家族:Small GTPase superfamily, Rab family
-
數據庫鏈接:
Most popular with customers
-
-
YWHAB Recombinant Monoclonal Antibody
Applications: ELISA, WB, IHC, IF, FC
Species Reactivity: Human, Mouse, Rat
-
Phospho-YAP1 (S127) Recombinant Monoclonal Antibody
Applications: ELISA, WB, IHC
Species Reactivity: Human
-
-
-
-
-















