PRPF19 Recombinant Monoclonal Antibody
-
中文名稱:PRPF19 Recombinant Monoclonal Antibody
-
貨號:CSB-RA904109A0HU
-
規格:¥1320
-
圖片:
-
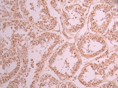
IHC image of CSB-RA904109A0HU diluted at 1:100 and staining in paraffin-embedded human testis tissue performed on a Leica BondTM system. After dewaxing and hydration, antigen retrieval was mediated by high pressure in a citrate buffer (pH 6.0). Section was blocked with 10% normal goat serum 30min at RT. Then primary antibody (1% BSA) was incubated at 4°C overnight. The primary is detected by a Goat anti-rabbit polymer IgG labeled by HRP and visualized using 0.05% DAB.
-
Immunofluorescence staining of PC-3 cell with CSB-RA904109A0HU at 1:50, counter-stained with DAPI. The cells were fixed in 4% formaldehyde, permeabilized using 0.2% Triton X-100 and blocked in 10% normal Goat Serum. The cells were then incubated with the antibody overnight at 4°C. The secondary antibody was Alexa Fluor 488-congugated AffiniPure Goat Anti-Rabbit IgG(H+L).
-
Overlay Peak curve showing jurkat cells stained with CSB-RA904109A0HU (red line) at 1:100. The cells were fixed in 4% formaldehyde and permeated by 0.2% TritonX-100 for 10min. Then 10% normal goat serum to block non-specific protein-protein interactions followed by the antibody (1ug/1*106cells) for 45min at 4℃. The secondary antibody used was FITC-conjugated goat anti-rabbit IgG (H+L) at 1/200 dilution for 35min at 4℃.Control antibody (green line) was Rabbit IgG (1ug/1*106cells) used under the same conditions. Acquisition of >10,000 events was performed.
-
-
其他:
產品詳情
-
Uniprot No.:
-
基因名:
-
別名:Pre-mRNA-processing factor 19 (EC 2.3.2.27) (Nuclear matrix protein 200) (PRP19/PSO4 homolog) (hPso4) (RING-type E3 ubiquitin transferase PRP19) (Senescence evasion factor), PRPF19, NMP200 PRP19 SNEV
-
反應種屬:Human
-
免疫原:A synthesized peptide from human PRPF19 protein
-
免疫原種屬:Homo sapiens (Human)
-
標記方式:Non-conjugated
-
克隆類型:Monoclonal
-
抗體亞型:Rabbit IgG
-
純化方式:Affinity-chromatography
-
克隆號:11A8
-
濃度:It differs from different batches. Please contact us to confirm it.
-
保存緩沖液:Preservative: 0.03% Proclin 300
Constituents: 50% Glycerol, 0.01M PBS, PH 7.4 -
產品提供形式:Liquid
-
應用范圍:ELISA, IHC, IF, FC
-
推薦稀釋比:
Application Recommended Dilution IHC 1:50-1:200 IF 1:50-1:200 FC 1:50-1:200 -
Protocols:
-
儲存條件:Upon receipt, store at -20°C or -80°C. Avoid repeated freeze.
-
貨期:Basically, we can dispatch the products out in 1-3 working days after receiving your orders. Delivery time maybe differs from different purchasing way or location, please kindly consult your local distributors for specific delivery time.
-
用途:For Research Use Only. Not for use in diagnostic or therapeutic procedures.
相關產品
靶點詳情
-
功能:Ubiquitin-protein ligase which is a core component of several complexes mainly involved pre-mRNA splicing and DNA repair. Required for pre-mRNA splicing as component of the spliceosome. Core component of the PRP19C/Prp19 complex/NTC/Nineteen complex which is part of the spliceosome and participates in its assembly, its remodeling and is required for its activity. During assembly of the spliceosome, mediates 'Lys-63'-linked polyubiquitination of the U4 spliceosomal protein PRPF3. Ubiquitination of PRPF3 allows its recognition by the U5 component PRPF8 and stabilizes the U4/U5/U6 tri-snRNP spliceosomal complex. Recruited to RNA polymerase II C-terminal domain (CTD) and the pre-mRNA, it may also couple the transcriptional and spliceosomal machineries. The XAB2 complex, which contains PRPF19, is also involved in pre-mRNA splicing, transcription and transcription-coupled repair. Beside its role in pre-mRNA splicing PRPF19, as part of the PRP19-CDC5L complex, plays a role in the DNA damage response/DDR. It is recruited to the sites of DNA damage by the RPA complex where PRPF19 directly ubiquitinates RPA1 and RPA2. 'Lys-63'-linked polyubiquitination of the RPA complex allows the recruitment of the ATR-ATRIP complex and the activation of ATR, a master regulator of the DNA damage response. May also play a role in DNA double-strand break (DSB) repair by recruiting the repair factor SETMAR to altered DNA. As part of the PSO4 complex may also be involved in the DNA interstrand cross-links/ICLs repair process. In addition, may also mediate 'Lys-48'-linked polyubiquitination of substrates and play a role in proteasomal degradation. May play a role in the biogenesis of lipid droplets. May play a role in neural differentiation possibly through its function as part of the spliceosome.
-
基因功能參考文獻:
- This work implies that the gain of Prp19 is a critical event during the progression of hepatocellular carcinoma PMID: 26959880
- These results demonstrate that SNEV regulates adipogenesis in hASCs and indicate that DDR capacity in general might be a pre-requisite for this process. PMID: 28041875
- the interactome of influenza A virus NS1 in host cells was comprehensively profiled, and our findings reveal a novel regulatory role for PRP19 in viral replication PMID: 27096427
- Crystal structure revealed features of the WD40 domain of human PRPF19. PMID: 28962858
- The results suggest that RPA phosphorylation enhances the recruitment of PRP19 to RPA-ssDNA and stimulates RPA ubiquitylation through a process requiring both PRP19 and RFWD3, thereby triggering a phosphorylation-ubiquitylation circuitry that promotes ATR activation and homologous recombination. PMID: 28666352
- role of Pso4 in DNA repair and DNA damage PMID: 26364595
- Study demonstrates that the levels of Prp19 and Cdc5L are overexpressed in hepatocellular carcinoma (HCC). Prp19 binds with Cdc5L and its downregulation results in reduction of Cdc5L. Mechanistic insights reveal that silencing Prp19 compromises translation activity of Cdc5L and facilitates lysosome-induced degradation of Cdc5L in HCC cells. PMID: 28387715
- We report that PRP19 expression is elevated in lung carcinoma tissues compared to non-tumor tissues PMID: 24731397
- These findings suggest that SKAP promotes ultraviolet rays-induced cell apoptosis by negatively regulating the anti-apoptotic protein Prp19. PMID: 24718257
- involvement of hPso4 in the recombinational repair of DSBs PMID: 24675077
- DNA damage induces down-regulation of Prp19 via impairing Prp19 stability in hepatocellular carcinoma cells. PMID: 24587161
- The Prp19-CDC5L complex plays a crucial role during human pre-mRNA splicing by catalytic activation of the spliceosome. PMID: 24598747
- Prp19 complex as the first spliceosome subcomplex that directly contributes to mitosis in vertebrates independently of its function in interphase. PMID: 24069358
- PRP19 directly binds RPA and localizes to DNA damage sites via RPA, promoting RPA ubiquitylation in a DNA-damage-induced manner. PMID: 24332808
- New insights into pre-mRNA processing factor 19 PMID: 22967061
- PRP19 over-expression is associated with hepatocellular carcinoma recurrence. PMID: 23220010
- SNEV phosphorylation at S149 is essential for mediating the cytoprotective effect of SNEV upon DNA damage/oxidative stress and partially contributes to the life span extension caused by SNEV overexpression. PMID: 22529335
- hPso4, once it forms a complex with Metnase, negatively regulates Metnase's TIR binding activity PMID: 20416268
- Purified hPrp19/CDC5L complexes exhibit an elongated, asymmetric shape with a maximum dimension of approximately 20 nm. PMID: 20176811
- concluded that hPso4 plays a major and previously undefined role in mammalian DNA DSB repair[Pso4] PMID: 12960389
- required prior to catalytic step 1 of splicing, but not for stable integration of U4/U6.U5 tri-snRNPs PMID: 15175653
- report the identification of two additional factors required in the DNA interstrand cross-links repair process, a previously characterized pre-mRNA splicing complex composed of Pso4/Prp19 and Werner syndrome protein(WRN) PMID: 16223718
- SNEV, the human orthologue of yeast PRP19, functions in splicing and homo-oligomerization of SNEV in HeLa nuclear extract is essential for spliceosome assembly. PMID: 16332694
- The high levels of SNEV might extend the cellular life span by increasing the resistance to stress or by improving the DNA repair capacity of the cells. PMID: 16388800
- ubiquitylated hPrp19 fails to interact with either Cdc5L or Plrg1 indicating that DNA damage can induce profound alterations to hPrp19 core complex. PMID: 17276391
- hPso4 is necessary to bring Metnase to the DSB sites for its function(s) in DNA repair PMID: 18263876
- Blom7alpha is a novel splicing factor of the K homology domain family that might be implicated in alternative splicing by helping to position the CDC5L-SNEV(Prp19-Pso4) complex at the splice sites [Blom7alpha] PMID: 19641227
顯示更多
收起更多
-
亞細胞定位:Nucleus. Nucleus, nucleoplasm. Cytoplasm, cytoskeleton, spindle. Cytoplasm. Lipid droplet.
-
蛋白家族:WD repeat PRP19 family
-
組織特異性:Ubiquitous. Weakly expressed in senescent cells of different tissue origins. Highly expressed in tumor cell lines.
-
數據庫鏈接:
Most popular with customers
-
-
YWHAB Recombinant Monoclonal Antibody
Applications: ELISA, WB, IHC, IF, FC
Species Reactivity: Human, Mouse, Rat
-
Phospho-YAP1 (S127) Recombinant Monoclonal Antibody
Applications: ELISA, WB, IHC
Species Reactivity: Human
-
-
-
-
-















