PEX19 Recombinant Monoclonal Antibody
-
中文名稱:PEX19 Recombinant Monoclonal Antibody
-
貨號:CSB-RA188883A0HU
-
規格:¥1320
-
圖片:
-
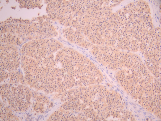
IHC image of CSB-RA188883A0HU diluted at 1:100 and staining in paraffin-embedded human liver cancer performed on a Leica BondTM system. After dewaxing and hydration, antigen retrieval was mediated by high pressure in a citrate buffer (pH 6.0). Section was blocked with 10% normal goat serum 30min at RT. Then primary antibody (1% BSA) was incubated at 4°C overnight. The primary is detected by a Goat anti-rabbit polymer IgG labeled by HRP and visualized using 0.05% DAB.
-
-
其他:
產品詳情
-
Uniprot No.:
-
基因名:
-
別名:33 kDa housekeeping protein antibody; D1S2223E antibody; HK33 antibody; Housekeeping gene 33kD antibody; OK/SW-cl.22 antibody; PBD12A antibody; Peroxin 19 antibody; Peroxin-19 antibody; Peroxisomal biogenesis factor 19 antibody; Peroxisomal farnesylated protein antibody; PEX19 antibody; PEX19_HUMAN antibody; PMP1 antibody; PMPI antibody; PXF antibody; PXMP1 antibody
-
反應種屬:Human
-
免疫原:A synthesized peptide from human PEX19 protein
-
免疫原種屬:Homo sapiens (Human)
-
標記方式:Non-conjugated
-
克隆類型:Monoclonal
-
抗體亞型:Rabbit IgG
-
純化方式:Affinity-chromatography
-
克隆號:8C2
-
濃度:It differs from different batches. Please contact us to confirm it.
-
保存緩沖液:Rabbit IgG in 10mM phosphate buffered saline , pH 7.4, 150mM sodium chloride, 0.05% BSA, 0.02% sodium azide and 50% glycerol.
-
產品提供形式:Liquid
-
應用范圍:ELISA, IHC
-
推薦稀釋比:
Application Recommended Dilution IHC 1:50-1:200 -
Protocols:
-
儲存條件:Upon receipt, store at -20°C or -80°C. Avoid repeated freeze.
-
貨期:Basically, we can dispatch the products out in 1-3 working days after receiving your orders. Delivery time maybe differs from different purchasing way or location, please kindly consult your local distributors for specific delivery time.
-
用途:For Research Use Only. Not for use in diagnostic or therapeutic procedures.
相關產品
靶點詳情
-
功能:Necessary for early peroxisomal biogenesis. Acts both as a cytosolic chaperone and as an import receptor for peroxisomal membrane proteins (PMPs). Binds and stabilizes newly synthesized PMPs in the cytoplasm by interacting with their hydrophobic membrane-spanning domains, and targets them to the peroxisome membrane by binding to the integral membrane protein PEX3. Excludes CDKN2A from the nucleus and prevents its interaction with MDM2, which results in active degradation of TP53.
-
基因功能參考文獻:
- Thus, PEX19 and PEX3 peroxisome biogenesis factors provide an alternative posttranslational route for membrane insertion of the reticulon homology domain-containing proteins, implying that endoplasmic reticulum membrane shaping and peroxisome biogenesis may be coordinated. PMID: 29396426
- The results demonstrate an allosteric mechanism for the modulation of PEX19 function by farnesylation. PMID: 28281558
- that newly synthesized UBXD8 is post-translationally inserted into discrete ER subdomains by a mechanism requiring cytosolic PEX19 and membrane-integrated PEX3, proteins hitherto exclusively implicated in peroxisome biogenesis PMID: 27295553
- suggest a novel regulatory mechanism for peroxisome biogenesis through the interaction between Pex19p and PLA/AT-3 PMID: 26018079
- Thus within the cell, PEX3 is stabilized by PEX19 preventing PEX3 aggregation. PMID: 25062251
- PEX19 formed a complex with the peroxisomal tail anchored protein PEX26 in the cytosol and translocated it directly to peroxisomes by a TRC40-independent class I pathway. PMID: 23460677
- PEX3-PEX19 interaction is crucial for de novo formation of peroxisomes in peroxisome-deficient cells. PMID: 22624858
- The Pex19p peptide contains a characteristic motif, consisting of the leucine triad (Leu18, Leu21, Leu22), and Phe29, which are critical for the Pex3p binding and peroxisome biogenesis. PMID: 21102411
- The crystal structure of the cytosolic domain of PEX3 in complex with a PEX19-derived peptide. PEX3 adopts a novel fold that is best described as a large helical bundle. PMID: 20554521
- data indicate a divided N-terminal and C-terminal structural arrangement in Pex19p, which is reminiscent of a similar division in the Pex5p receptor, to allow separation of cargo-targeting signal recognition and additional functions. PMID: 20531392
- a considerable functional diversity of the proteins encoded by two PEX19 splice variants and thereby provide first experimental evidence for specific biological functions of the different predicted domains of the PEX19 protein. PMID: 11883941
- PEX19 binds and stabilizes newly synthesized PMPs in the cytosol, binds to multiple PMP targeting signals (mPTSs), interacts with the hydrophobic domains of PMP targeting signals, and is essential for PMP targeting and import. PMID: 14709540
- Interaction of PEX3 and PEX19 visualized by fluorescence resonance energy transfer (FRET). PMID: 14713233
- Pex19p has a role in assembly of PTS-receptor docking complexes PMID: 14715663
- Results suggest that PEX3 plays a selective, essential, and direct role in class I peroxisomal membrane protein import as a docking factor for PEX19. PMID: 15007061
- human Pex19p domain architecture and activity PMID: 15252024
- analysis of the PEX19-binding site of human adrenoleukodystrophy protein PMID: 15781447
- Pex19p translocates the membrane peroxins from the cytosol to peroxisomes in an ATP- and Pex3p-dependent manner and then shuttles back to the cytosol PMID: 16280322
- Pex19p binds to PMP70 co-translationally and keeps PMP70 in a proper conformation for the localization to peroxisome. PMID: 16344115
- Nonfarnesylated and farnesylated human Pex19p display a similar affinity towards a select set of peroxisomal membrane proteins. PMID: 16791427
- Data suggest that Pex19p probably functions as a chaperone for membrane proteins and transports them to peroxisomes by anchoring to Pex3p using residues 12-73 and 40-131. PMID: 16895967
- either one or two tryptophan residues of Pex3p (Trp-104 and Trp-224) are directly involved in binding to Pex19p. PMID: 18174172
- targeting of hFis1 to peroxisomes and mitochondria are independent events and support a direct, Pex19p-dependent targeting of peroxisomal tail-anchored proteins. PMID: 18782765
- N-terminal domain of Pex14, Pex14(N), adopts a three-helical fold. Pex5 and Pex19 ligand helices bind competitively to the same surface in Pex14(N) albeit with opposite directionality. PMID: 19197237
- ALDRP interacts with PEX19 splice variants PEX19-delta-E2 and PEX19-delta-E8. PMID: 11883941
- LDRP (ABCD2) interacts with both farnesylated wild-type and farnesylation-deficient mutant PEX19. This interaction is mediated by amino acids 1-218 of ALDRP. PMID: 10777694
- MP70 (ABCD3) interacts with both farnesylated wild-type and farnesylation-deficient mutant PEX19. PMID: 10777694
- MP70 interacts with PEX19 splice variants PEX19-delta-E2 and PEX19p-delta-E8. PMID: 11883941
顯示更多
收起更多
-
相關疾病:Peroxisome biogenesis disorder complementation group 14 (PBD-CG14); Peroxisome biogenesis disorder 12A (PBD12A)
-
亞細胞定位:Cytoplasm. Peroxisome membrane; Lipid-anchor; Cytoplasmic side.
-
蛋白家族:Peroxin-19 family
-
組織特異性:Ubiquitously expressed. Isoform 1 is strongly predominant in all tissues except in utero where isoform 2 is the main form.
-
數據庫鏈接:















