PDCD6IP Recombinant Monoclonal Antibody
-
中文名稱:PDCD6IP Recombinant Monoclonal Antibody
-
貨號:CSB-RA848820MA1HU
-
規格:¥1320
-
圖片:
-
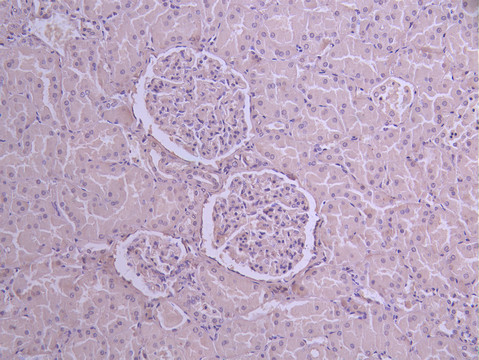
IHC image of CSB-RA848820MA1HU diluted at 1:50 and staining in paraffin-embedded human kidney tissue performed on a Leica BondTM system. After dewaxing and hydration, antigen retrieval was mediated by high pressure in a citrate buffer (pH 6.0). Section was blocked with 10% normal goat serum 30min at RT. Then primary antibody (1% BSA) was incubated at 4°C overnight. The primary is detected by a Anti-Human lgG, Fcy Fragment Specific labeled by HRP and visualized using 0.05% DAB.
-
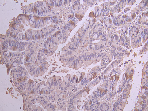
IHC image of CSB-RA848820MA1HU diluted at 1:50 and staining in paraffin-embedded human stomach tissue performed on a Leica BondTM system. After dewaxing and hydration, antigen retrieval was mediated by high pressure in a citrate buffer (pH 6.0). Section was blocked with 10% normal goat serum 30min at RT. Then primary antibody (1% BSA) was incubated at 4°C overnight. The primary is detected by a Anti-Human lgG, Fcy Fragment Specific labeled by HRP and visualized using 0.05% DAB.
-
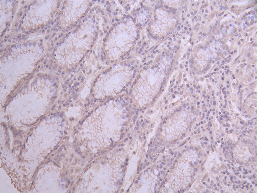
IHC image of CSB-RA848820MA1HU diluted at 1:50 and staining in paraffin-embedded human colorectal cancer performed on a Leica BondTM system. After dewaxing and hydration, antigen retrieval was mediated by high pressure in a citrate buffer (pH 6.0). Section was blocked with 10% normal goat serum 30min at RT. Then primary antibody (1% BSA) was incubated at 4°C overnight. The primary is detected by a Anti-Human lgG, Fcy Fragment Specific labeled by HRP and visualized using 0.05% DAB.
-
Overlay Peak curve showing jurkat cells stained with CSB-RA848820MA1HU (red line) at 1:100. The cells were fixed in 4% formaldehyde and permeated by 0.2% TritonX-100 for 10min. Then 10% normal goat serum to block non-specific protein-protein interactions followed by the antibody (1ug/1*106cells) for 45min at 4℃. The secondary antibody used was Fluorescein (FITC) AffiniPure Goat Anti-Human IgG, Fcγ fragment specific at 1:200 dilution for 35 min at 4℃.Control antibody (green line) was human IgG1 (1ug/1*106cells) used under the same conditions. Acquisition of >10,000 events was performed.
-
-
其他:
產品詳情
-
Uniprot No.:
-
基因名:
-
別名:Programmed cell death 6-interacting protein (PDCD6-interacting protein) (ALG-2-interacting protein 1) (ALG-2-interacting protein X) (Hp95), PDCD6IP, AIP1 ALIX KIAA1375
-
反應種屬:Human
-
免疫原:Recombinant Human PDCD6IP protein
-
免疫原種屬:Homo sapiens (Human)
-
標記方式:Non-conjugated
-
克隆類型:Monoclonal
-
抗體亞型:hIgG1
-
純化方式:Affinity-chromatography
-
克隆號:17B9
-
濃度:It differs from different batches. Please contact us to confirm it.
-
保存緩沖液:Preservative: 0.03% Proclin 300
Constituents: 50% Glycerol, 0.01M PBS, PH 7.4 -
產品提供形式:Liquid
-
應用范圍:ELISA, IHC, FC
-
推薦稀釋比:
Application Recommended Dilution IHC 1:50-1:200 FC 1:50-1:200 -
Protocols:
-
儲存條件:Upon receipt, store at -20°C or -80°C. Avoid repeated freeze.
-
貨期:Basically, we can dispatch the products out in 1-3 working days after receiving your orders. Delivery time maybe differs from different purchasing way or location, please kindly consult your local distributors for specific delivery time.
-
用途:For Research Use Only. Not for use in diagnostic or therapeutic procedures.
相關產品
靶點詳情
-
功能:Multifunctional protein involved in endocytosis, multivesicular body biogenesis, membrane repair, cytokinesis, apoptosis and maintenance of tight junction integrity. Class E VPS protein involved in concentration and sorting of cargo proteins of the multivesicular body (MVB) for incorporation into intralumenal vesicles (ILVs) that are generated by invagination and scission from the limiting membrane of the endosome. Binds to the phospholipid lysobisphosphatidic acid (LBPA) which is abundant in MVBs internal membranes. The MVB pathway requires the sequential function of ESCRT-O, -I,-II and -III complexes. The ESCRT machinery also functions in topologically equivalent membrane fission events, such as the terminal stages of cytokinesis. Adapter for a subset of ESCRT-III proteins, such as CHMP4, to function at distinct membranes. Required for completion of cytokinesis. May play a role in the regulation of both apoptosis and cell proliferation. Regulates exosome biogenesis in concert with SDC1/4 and SDCBP. By interacting with F-actin, PARD3 and TJP1 secures the proper assembly and positioning of actomyosin-tight junction complex at the apical sides of adjacent epithelial cells that defines a spatial membrane domain essential for the maintenance of epithelial cell polarity and barrier.; (Microbial infection) Involved in HIV-1 virus budding. Can replace TSG101 it its role of supporting HIV-1 release; this function requires the interaction with CHMP4B. The ESCRT machinery also functions in topologically equivalent membrane fission events, such as enveloped virus budding (HIV-1 and other lentiviruses).
-
基因功能參考文獻:
- our results identify the CD63-syntenin-1-ALIX complex as a key regulatory component in post-endocytic HPV trafficking. PMID: 27578500
- Alix acts in concert with endophilin A to promote clathrin-independent endocytosis of cholera toxin and to regulate cell migration. PMID: 27244115
- Revealed the transition of diffuse ALIX protein signals into a multivesicular body-like pattern during adenoma-carcinoma sequence in colorectal neoplasms. PMID: 27150162
- Alix plays an important role in the proliferation of glioma cells and overexpression in gliomas predicts poor survival. PMID: 26980041
- ALIX regulates P2Y1 degradation. PMID: 27301021
- farnesylation of K-Ras was required for its packaging within extracellular nanovesicles, yet expressing a K-Ras farnesylation mutant did not decrease the number of nanovesicles or the amount of Alix protein released per cell. PMID: 27909058
- These findings indicate that Alix binds to Ago2 and miRNAs, suggesting that it plays a key role in miRNA enrichment during extracellular vesicles biogenesis. PMID: 26935291
- The authors find that HIV-1 nucleocapsid mimics the PDZ domains of syntenin, a membrane-binding adaptor involved in cell-to-cell contact/communication, to capture the Bro1 domain of ALIX, which is an ESCRTs recruiting cellular adaptor. PMID: 26962944
- We found that ARRDC3 is required for ALIX ubiquitination induced by activation of PAR1 PMID: 26490116
- phosphorylation of the intramolecular interaction site in the PRD is one of the major mechanisms that activates the ESCRT function of ALIX PMID: 26859355
- homologous domain of human Bro1 domain-containing proteins, Alix and Brox, binds CHMP4B but not STAM2, despite their high structural similarity PMID: 26866605
- Accordingly, ALIX depletion leads to furrow regression in cells with chromosome bridges, a phenotype associated with abscission checkpoint signaling failure. PMID: 26929449
- Findings indicate that the PDCD6IP 15bp insertion/deletion polymorphism decreases the risk of breast neoplasm in an Iranian population. PMID: 26063962
- The serum lever of Alzheimer's disease were decrease and the expression of ALIX strongly correlated with the Mini-Mental State Examination scores of the AD patients PMID: 25502766
- our findings identify heparanase as a modulator of the syndecan-syntenin-ALIX pathway, fostering endosomal membrane budding and the biogenesis of exosomes by trimming the heparan sulfate chains on syndecans PMID: 25732677
- Our data reveal that AIP1, by inhibiting VEGFR2-dependent signaling in tumor niche, suppresses tumor EMT switch, tumor angiogenesis, and tumor premetastatic niche formation to limit tumor growth and metastasis. PMID: 26139244
- Lack of ALG-2, ALIX or Vps4B each prevents shedding, and repair of the injured cell membrane PMID: 25534348
- Alix is critically involved in multivesicular body sorting of membrane receptors in mammalian cells. PMID: 25510652
- Aip1 has a role in actin filament severing by cofilin and regulates constriction of the cytokinetic contractile ring PMID: 25451933
- ALIX is recruited to the neck of the assembling HIV-1 virion and is mostly recycled after virion release. PMID: 24834918
- Results suggest that programmed cell death 6 interacting protein (PDCD6IP) insertion/deletion polymorphism was potentially related to non-small cell lung cancer (NSCLC) susceptibility in Chinese Han population. PMID: 24870593
- HIV-1 Nef interacts with Alix in late endosomes, and this is required for efficient lysosomal targeting of CD4. PMID: 25118280
- Syntenin-ALIX exosome biogenesis and budding into multivesicular bodies are controlled by ARF6 and PLD2. PMID: 24637612
- Alix protein plays a critical role in the maintenance of the barrier function of T84 monolayers PMID: 24712823
- ALIX regulates these mammalian cell-specific cytokinesis, exosome release, and virus budding. [Review] PMID: 24287454
- The results of in vitro binding assays using purified recombinant proteins indicated that ALG-2 functions as a Ca(2)-dependent adaptor protein that bridges ALIX and ESCRT-I to form a ternary complex PMID: 23924735
- Common genetic variations in PDCD6IP may influence hepatocellular carcinoma risk, possibly through promoter activity-mediated regulation. PMID: 23777424
- Alix serves as an adaptor that allows human parainfluenza virus type 1 to interact with the host cell ESCRT system. PMID: 23527201
- Lysobisphosphatidic acid recruits ALIX onto late endosomes via the calcium-bound Bro1 domain, triggering a conformational change in ALIX to mediate the delivery of viral nucleocapsids to the cytosol during infection. PMID: 23664863
- Data indicate that AP-3 facilitates PAR1 interaction with ALIX. PMID: 22833563
- study reports that the V domain of ALIX binds directly and selectively to K63-linked polyubiquitin chains, exhibiting a strong preference for chains composed of more than three ubiquitins PMID: 23201121
- BFRF1 recruits the ESCRT components to modulate nuclear envelope for the nuclear egress of Epstein Barr virus. PMID: 22969426
- At the midbody, BRCA2 influences the recruitment of endosomal sorting complex required for transport (ESCRT)-associated proteins, Alix and Tsg101, and formation of CEP55-Alix and CEP55-Tsg101 complexes during abscission. PMID: 22771033
- Structural recognition mechanisms between human Src homology domain 3 (SH3) and ALG-2-interacting protein X (Alix PMID: 22641034
- Identify key role for syndecan-syntenin-ALIX in membrane transport and signalling processes. PMID: 22660413
- structural analysis of the Bro1 domain protein BROX and functional analyses of the ALIX Bro1 domain in HIV-1 budding PMID: 22162750
- Mutation of residues within the Phe105 loop of the Bro1 domain compromise Alix function in HIV-1 release. PMID: 21889351
- Mutations designed to destabilize the closed conformation of the V domain opened the V domain, increased ALIX membrane association, and enhanced HIV-1 budding. PMID: 21715492
- Data suggest that the boomerang-shaped Bro1 domain of Alix appears to escort hepatitis B virus naked capsids without ESCRT. PMID: 21129143
- HIV-1 infection affects the expression of host factors TSG101 and Alix PMID: 21528537
- The authors demonstrate that ALIX/AIP1, an ESCRT-associated host protein, is required for the incorporation of the nucleoprotein of Mopeia virus, a close relative of Lassa virus, into Z-induced virus-like particles (VLPs). PMID: 21248028
- Crystal structures revealed that anchoring tyrosines and nearby hydrophobic residues contact the ALIX V domain, revealing how SIV gag proteins employ a diverse family of late-domain sequences to bind ALIX and promote virus budding. PMID: 20962096
- studies on intramolecular interactions:the relieving of specific, autoinhibitory interactions within ALIX regulates binding with ESCRT proteins or viral proteins and is critical for ALIX to participate in retroviral budding PMID: 20929444
- Examined changes in subcellular proteomes of different cellular compartments of human endothelial cells upon DENV2 infection. Double immunofluorescence staining revealed colocalization of Alix with late endosomal lysobisphosphatidic acid (LBPA). PMID: 20669987
- Identification and biophysical assessment of the molecular recognition mechanisms between the human haemopoietic cell kinase Src homology domain 3 and ALG-2-interacting protein X PMID: 20670214
- inability of the two-residue shorter ALG-2 isoform to bind Alix PMID: 20691033
- The results indicate YLDL motif in M protein is essential for efficient budding in the context of virus infection and suggest involvement of Alix/AIP1 in Sendai virus budding. PMID: 20605035
- Together these data support a model in which Alix recruits Nedd4-1 to facilitate HIV-1 release mediated through the LYPX(n)L/Alix budding pathway via a mechanism that involves Alix ubiquitination. PMID: 20519395
- p95 has roles in regulating cell adhesion and morphology. PMID: 12360406
- AIP1/Alix interacts with the apoptosis-linked protein ALG-2 and recognizes recognize the protein-protein binding motif YPXL/I, where Tyr, Pro, and Leu/Ile are crucial for its interactive properties PMID: 12588984
顯示更多
收起更多
-
亞細胞定位:Cytoplasm, cytosol. Melanosome. Cytoplasm, cytoskeleton, microtubule organizing center, centrosome. Secreted, extracellular exosome. Cell junction, tight junction. Midbody, Midbody ring.
-
數據庫鏈接:
Most popular with customers
-
-
YWHAB Recombinant Monoclonal Antibody
Applications: ELISA, WB, IHC, IF, FC
Species Reactivity: Human, Mouse, Rat
-
Phospho-YAP1 (S127) Recombinant Monoclonal Antibody
Applications: ELISA, WB, IHC
Species Reactivity: Human
-
-
-
-
-















