MAPK1/MAPK3 Recombinant Monoclonal Antibody
-
中文名稱:MAPK1/MAPK3重組抗體
-
貨號:CSB-RA984568A0HU
-
規格:¥1320
-
圖片:
-
Western Blot
Positive WB detected in: THP-1 whole cell lysate, HEPG2 whole cell lysate,MCF7 whole cell lysate,293 whole cell lysate,K562 whole cell lysate,PC-3 whole cell lysate, Mouse brain tissue lysate
All lanes: ERK1/2 antibody at 1:1000
Secondary
Goat polyclonal to rabbit IgG at 1/50000 dilution
Predicted band size: 42,44 kDa
Observed band size: 42,44 kDa -
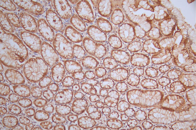
IHC image of CSB-RA984568A0HU diluted at 1:50 and staining in paraffin-embedded human stomach tissue performed on a Leica BondTM system. After dewaxing and hydration, antigen retrieval was mediated by high pressure in a citrate buffer (pH 6.0). Section was blocked with 10% normal goat serum 30min at RT. Then primary antibody (1% BSA) was incubated at 4°C overnight. The primary is detected by a Goat anti-rabbit polymer IgG labeled by HRP and visualized using 0.64% DAB.
-
Overlay Peak curve showing Hela cells surface stained with CSB-RA984568A0HU (red line) at 1:50. Then 10% normal goat serum to block non-specific protein-protein interactions followed by the antibody (1μg/1*106cells) for 45min at 4℃. The secondary antibody used was FITC-conjugated Goat Anti-rabbit IgG(H+L) at 1:200 dilution for 35min at 4℃.Control antibody (green line) was rabbit IgG (1μg/1*106cells) used under the same conditions. Acquisition of >10,000 events was performed.
-
-
其他:
產品詳情
-
產品描述:MAPK1/MAPK3重組單克隆抗體(CSB-RA984568A0HU)靶向絲裂原活化蛋白激酶ERK1/ERK2,該家族蛋白在細胞增殖、分化及應激響應等關鍵信號通路中發揮核心調控作用。本抗體經多種實驗驗證,在Western Blot中可特異性識別內源性靶蛋白,免疫組化實驗顯示其在多種組織樣本中具有清晰的亞細胞定位,流式細胞術進一步證實其適用于活細胞表面檢測,推薦稀釋度分別為WB 1:500-1:2000、IHC 1:50-1:200、FC 1:50-1:200,同時支持ELISA平臺的高靈敏度檢測。該產品通過嚴格的抗原表位篩選和重組表達技術制備,具備高批次一致性和低交叉反應性,適用于腫瘤發生機制、神經信號傳導、細胞周期調控等領域的基礎研究,尤其為MAPK/ERK通路相關藥物靶點探索及疾病模型構建提供可靠工具。本試劑僅限科研用途,需配合標準實驗條件使用。
-
Uniprot No.:
-
基因名:MAPK1/MAPK3
-
別名:Mitogen-activated protein kinase 3 (MAP kinase 3) (MAPK 3) (EC 2.7.11.24) (ERT2) (Extracellular signal-regulated kinase 1) (ERK-1) (Insulin-stimulated MAP2 kinase) (MAP kinase isoform p44) (p44-MAPK) (Microtubule-associated protein 2 kinase) (p44-ERK1), MAPK3, ERK1 PRKM3; Mitogen-activated protein kinase 1 (MAP kinase 1) (MAPK 1) (EC 2.7.11.24) (ERT1) (Extracellular signal-regulated kinase 2) (ERK-2) (MAP kinase isoform p42) (p42-MAPK) (Mitogen-activated protein kinase 2) (MAP kinase 2) (MAPK 2), MAPK1, ERK2 PRKM1 PRKM2
-
反應種屬:Human, Mouse
-
免疫原:A synthesized peptide derived from Human MAPK1/MAPK3
-
免疫原種屬:Homo sapiens (Human)
-
標記方式:Non-conjugated
-
克隆類型:Monoclonal
-
抗體亞型:Rabbit IgG
-
純化方式:Affinity-chromatography
-
克隆號:29B10
-
濃度:It differs from different batches. Please contact us to confirm it.
-
保存緩沖液:Rabbit IgG in 10mM phosphate buffered saline , pH 7.4, 150mM sodium chloride, 0.05% BSA, 0.02% sodium azide and 50% glycerol.
-
產品提供形式:Liquid
-
應用范圍:ELISA, WB, IHC, FC
-
推薦稀釋比:
Application Recommended Dilution WB 1:500-1:2000 IHC 1:50-1:200 FC 1:50-1:200 -
Protocols:
-
儲存條件:Upon receipt, store at -20°C or -80°C. Avoid repeated freeze.
-
貨期:Basically, we can dispatch the products out in 1-3 working days after receiving your orders. Delivery time maybe differs from different purchasing way or location, please kindly consult your local distributors for specific delivery time.
-
用途:For Research Use Only. Not for use in diagnostic or therapeutic procedures.
相關產品
Most popular with customers
-
-
YWHAB Recombinant Monoclonal Antibody
Applications: ELISA, WB, IHC, IF, FC
Species Reactivity: Human, Mouse, Rat
-
Phospho-YAP1 (S127) Recombinant Monoclonal Antibody
Applications: ELISA, WB, IHC
Species Reactivity: Human
-
-
-
-
-















