HSPE1 Recombinant Monoclonal Antibody
-
中文名稱:HSPE1 Recombinant Monoclonal Antibody
-
貨號:CSB-RA957600A0HU
-
規格:¥1320
-
圖片:
-
Western Blot
Positive WB detected in: Hela whole cell lysate(30μg), HT-29 whole cell lysate(30μg), HepG2 whole cell lysate(30μg), Mouse brain tissue lysate(30μg), Rat kidney tissue lysate(30μg)
All lanes: Hsp10 antibody at 1:1000
Secondary
Goat polyclonal to rabbit IgG at 1/40000 dilution
Predicted band size: 11 kDa
Observed band size: 11 kDa
Exposure time:1min -
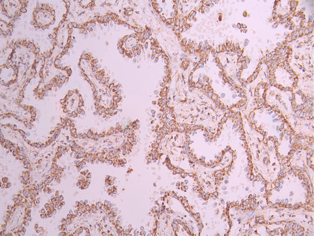
IHC image of CSB-RA957600A0HU diluted at 1:100 and staining in paraffin-embedded human lung cancer performed on a Leica BondTM system. After dewaxing and hydration, antigen retrieval was mediated by high pressure in a citrate buffer (pH 6.0). Section was blocked with 10% normal goat serum 30min at RT. Then primary antibody (1% BSA) was incubated at 4°C overnight. The primary is detected by a Goat anti-rabbit polymer IgG labeled by HRP and visualized using 0.05% DAB.
-
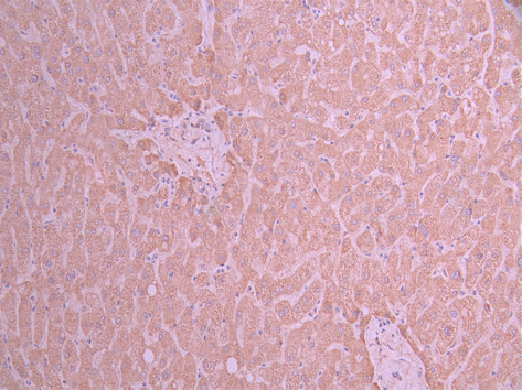
IHC image of CSB-RA957600A0HU diluted at 1:100 and staining in paraffin-embedded human liver tissue performed on a Leica BondTM system. After dewaxing and hydration, antigen retrieval was mediated by high pressure in a citrate buffer (pH 6.0). Section was blocked with 10% normal goat serum 30min at RT. Then primary antibody (1% BSA) was incubated at 4°C overnight. The primary is detected by a Goat anti-rabbit polymer IgG labeled by HRP and visualized using 0.05% DAB.
-
-
其他:
產品詳情
-
Uniprot No.:
-
基因名:HSPE1
-
別名:10 kDa heat shock protein, mitochondrial (Hsp10) (10 kDa chaperonin) (Chaperonin 10) (CPN10) (Early-pregnancy factor) (EPF), HSPE1
-
反應種屬:Human, Mouse, Rat
-
免疫原:Recombinant Antibody
-
免疫原種屬:Homo sapiens (Human)
-
標記方式:Non-conjugated
-
克隆類型:Monoclonal
-
抗體亞型:Rabbit IgG
-
純化方式:Affinity-chromatography
-
克隆號:11D7
-
濃度:It differs from different batches. Please contact us to confirm it.
-
保存緩沖液:Preservative: 0.03% Proclin 300
Constituents: 50% Glycerol, 0.01M PBS, PH 7.4 -
產品提供形式:Liquid
-
應用范圍:ELISA, WB, IHC
-
推薦稀釋比:
Application Recommended Dilution WB 1:500-1:5000 IHC 1:50-1:200 -
Protocols:
-
儲存條件:Upon receipt, store at -20°C or -80°C. Avoid repeated freeze.
-
貨期:Basically, we can dispatch the products out in 1-3 working days after receiving your orders. Delivery time maybe differs from different purchasing way or location, please kindly consult your local distributors for specific delivery time.
-
用途:For Research Use Only. Not for use in diagnostic or therapeutic procedures.
相關產品
靶點詳情
-
功能:Co-chaperonin implicated in mitochondrial protein import and macromolecular assembly. Together with Hsp60, facilitates the correct folding of imported proteins. May also prevent misfolding and promote the refolding and proper assembly of unfolded polypeptides generated under stress conditions in the mitochondrial matrix. The functional units of these chaperonins consist of heptameric rings of the large subunit Hsp60, which function as a back-to-back double ring. In a cyclic reaction, Hsp60 ring complexes bind one unfolded substrate protein per ring, followed by the binding of ATP and association with 2 heptameric rings of the co-chaperonin Hsp10. This leads to sequestration of the substrate protein in the inner cavity of Hsp60 where, for a certain period of time, it can fold undisturbed by other cell components. Synchronous hydrolysis of ATP in all Hsp60 subunits results in the dissociation of the chaperonin rings and the release of ADP and the folded substrate protein.
-
基因功能參考文獻:
- elevated expression of HSP10 protein inhibits apoptosis and associates with poor prognosis of astrocytoma PMID: 29028811
- miR-146a, miR-146b, and miR-155 are exerting anti-inflammatory properties by down-regulating IL-6 and IL-8, and influencing the expression of HSP10 in the activated endothelium PMID: 28662100
- High expression of HSP10 is negatively associated with estrogen receptor/progesterone receptor status and might be a novel independent biomarker for poor prognosis in invasive ductal breast carcinoma. PMID: 27993580
- EPF induces the differentiation of regulatory T cells and increases their immunosuppressive activities. PMID: 27840373
- Cpn10 has a role in the spatial regulation of NPAT signaling PMID: 26429916
- Hsp10 has a role in nuclear localization and lung cells response to cigarette smoke PMID: 25355063
- Data show that that in presence of 300 mg/mL Ficoll the thermodynamic stability of each cpn10 monomer increases by over 30%, whereas the interfaces are stabilized by less than 10%. PMID: 21375247
- HSP10 protein was detected only in oocytes from human preantral follicles, whereas in antral follicles, it was localised in oocytes, granulosa cells, theca cells and stroma cells. PMID: 19903031
- Hereditary spastic paraplegia SPG13 is associated with a mutation in the gene encoding the mitochondrial chaperonin Hsp60. PMID: 11898127
- The low stability of the monomeric unit suggests that folding and assembly reactions for cpn10 are coupled. PMID: 12220543
- Cpn10 and placental lactogen are capable of stimulating the synthesis of type I collagen by human osteoblasts in culture PMID: 12703979
- Identification of amino acids important for the assembly of the cpn10 heptamer. PMID: 14525625
- complex mechanisms are involved in the protection by hsp10 against simulated ischemia and reoxygenation-induced myocyte death PMID: 15059967
- The HSP10 plays a role in bone marrow cell differentiation other than being a mitochondrial co-chaperonin. PMID: 15590416
- Chaperonin 10 and calgranulin A are identified as markers for diagnosis and screening of endometrial carcinoma. PMID: 15816004
- the cpn10 interfaces can adapt to structural alterations without loss of either subunit-subunit affinity or heptamer specificity PMID: 15978542
- biophysical analysis of dissociation equilibrium for the heptameric co-chaperonin proteins 10 from Aquifex aeolicus and human mitochondria PMID: 16100270
- proteomic analysis of possible role of heat shock protein 10 in colorectal cancer PMID: 16502466
- Results describe the time-resolved folding and assembly mechanism of the heptameric co-chaperonin protein 10 (cpn10) in vitro. PMID: 16979655
- Investigation of single-nucleotide variations in the Hsp10 gene and their disease-causing potential. PMID: 17072495
- In this review, we revise the involvement of Hsp10 in signal transduction pathways and its possible role in cancer etiology. PMID: 17278877
- Data show that Hhsp10 formed fibrils from only the acidic unfolded state and Core peptide regions of these protein fibrils were determined by proteolysis followed by a combination of Edman degradation and mass spectroscopy analyses. PMID: 18329043
- The effects of cpn 10 on cells of the oligodendrocyte lineage, were assessed. PMID: 18465204
- In patients with serous ovarian carcinomas, gene expression analysis coupled with immunohistochemistry allowed the identification of HSP10 as an independent factor of progression-free survival. PMID: 18500265
- Results describe a novel function of chaperonin 10 as a general differentiation factor, not limited to erythroid cells, and show how this biological effect is mediated by GSK-3alpha/beta. PMID: 19142874
- HSP10 was identified as a new autoantigen in both autoimmune pancreatitis and fulminant type 1 diabetes. PMID: 19520060
顯示更多
收起更多
-
亞細胞定位:Mitochondrion matrix.
-
蛋白家族:GroES chaperonin family
-
數據庫鏈接:
Most popular with customers
-
-
YWHAB Recombinant Monoclonal Antibody
Applications: ELISA, WB, IHC, IF, FC
Species Reactivity: Human, Mouse, Rat
-
Phospho-YAP1 (S127) Recombinant Monoclonal Antibody
Applications: ELISA, WB, IHC
Species Reactivity: Human
-
-
-
-
-















